Objectives: Alagille syndrome is an autosomal recessive disorder with multisystemic involvement. Patients with Alagille syndrome have many accompanying anomalies such as atypical facial appearance, posterior embryotoxon, butterfly vertebra, cardiac anomalies, and biliary problems. Liver and heart complications can determine the mortality and morbidity of patients with Alagille syndrome. The scarcity of intrahepatic bile ducts leads to cholestatic liver damage. In the heart, although the disease most commonly causes peripheral pulmonary stenosis, patients can present with various structural heart diseases. These cardiac anomalies make intraoperative and postoperative management difficult in patients who need liver transplant. Here, we present 10 cases of liver transplant due to Alagille syndrome.
Materials and Methods: From 1988 to the present, our center performed 724 liver transplants, with 366 being pediatric cases; among these, 10 were due to Alagille syndrome. We retrospectively examined patient morphological findings, cardiac pathology, and perioperative complications.
Results: Average weight and age of patients were 11 kg and 4.9 years, respectively. Eight patients had atypical facial appearance, 5 had posterior embryotoxon, and 6 had butterfly vertebra. Portoenterostomy (Kasai procedure) was performed in 3 patients because of suspicion of early biliary atresia. Cardiac pathology was present in 8 patients, with peripheral pulmonary stenosis being the most common (present in 8 patients). One patient had cardiac catheterization, with right ventricular and pulmonary artery pressures measured at 110 and 37 mm Hg, respectively. Two patients required preoperative pulmonary angioplasty. Two patients had double superior vena cava. No complications occurred in any patient during the anhepatic phase with appropriate volume replacement. No patients had early mortality.
Conclusions: Cardiac anomalies should be identified in patients with Alagille syndrome to minimize complications before liver transplant. If necessary, cardiac catheterization should be performed for pulmonary stenosis. Peripheral pulmonary stenosis does not constitute an absolute contraindication to liver transplant.
Key words : Congenital heart disease, High Plumonary Pressure, Peripheral pulmonary stenosis
Introduction
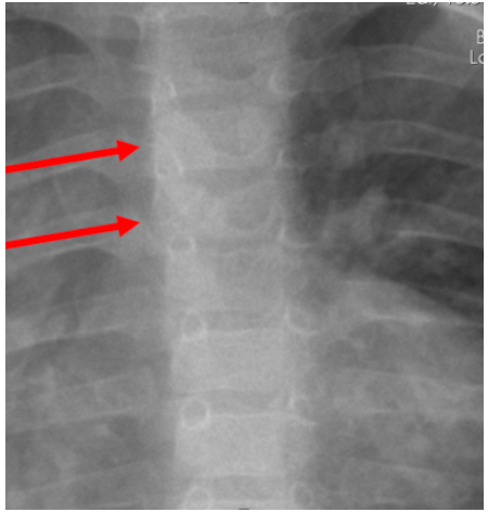
Alagille syndrome (AGS) is an autosomal dominant disease with multisystemic involvement.1 The disease occurs as a result of mutations in the Notch signaling pathway.2 In AGS, the liver (biliopathy, cholestasis), heart (eg, peripheral pulmonary stenosis), skeletal system (butterfly vertebra (Figure 1), hemivertebra, recurrent fractures), eyes (posterior embryotoxon, anomalies affecting the iris and retina), kidney (renal tubular acidosis), and brain (vascular anomalies in the brain) are the most affected areas.3-7 Patients with AGS have characteristic external appearance, which can include prominent forehead, deep-set eyes with moderate hypertelorism, pointed chin, and straight nose with a bulbous type2,8 (Figure 2). Prevalence of AGS is 1 in 70 000 births.9 The clinical presentations of AGS can vary. In 30% of cases, chronic liver failure, portal hypertension, or widespread itching can lead to decreased quality of life and requirement for liver transplant.10,11 Heart involvement also accompanies AGS at a rate of 90%, and this degree of involvement has been associated with early mortality in AGS. Long-term survival is mostly determined by liver involvement. During liver transplant, hemodynamic changes due to the patient’s cardiac involvement are the most important factor determining the outcome of the surgery.12 Here, we report the results of 10 pediatric patients who underwent liver transplant due to AGS at our center.
Materials and Methods
Between 1988 and 2024, 760 liver transplants were performed at our center. Of these, 380 were pediatric patients. We retrospectively examined the medical records of 10 pediatric patients diagnosed with AGS who underwent liver transplant between 2000 and 2024. We examined patients in terms of morphological findings, cardiac pathology, and perioperative complications.
The diagnosis of patients was made with clinical findings, liver biopsy, and/or genetic mutations. We collected data on patients’ morphological findings, cardiac findings, indications for liver transplant, pulmonary artery pressure, perioperative complications, and presence of hepatocellular carcinoma (HCC).
Results
All 10 study patients underwent liver transplants from living donors. All patients had at least 3 of the typical 5 features of AGS: chronic cholestasis (ductopenia), congenital heart disease, butterfly vertebra, posterior embryotoxon, and typical facial appearance. Early Kasai portoenterostomy was performed on 3 patients who were diagnosed with biliary atresia. Genetic studies were conducted in 4 patients, and mutations in the Notch signaling pathway were shown (Table 1).
The average age of the patients was 3.9 years (range, 1-6.5 y). Four of the donors were fathers, 4 were mothers, 1 was an uncle, and 1 was an aunt. All donors underwent abdominal tomography, magnetic resonance cholangiopancreatography, and liver biopsy before surgery. None of the donors had any signs of cholestasis or chronic liver disease.
Four of the patients underwent liver transplant due to cirrhosis and 6 due to untreatable itching and developmental delay. All patients had characteristic facial features and cholestasis. Among the 10 patients, 7 had posterior embryotoxon, 7 had butterfly vertebra, 10 had varying degrees of peripheral pulmonary stenosis, 1 had atrial septal defect (ASD), and 1 had patent ductus arteriosus. No kidney disease was observed in any patient. Proteinuria developed in 1 patient in postoperative year 13, and focal segmental glomerulosclerosis was observed in the kidney biopsy. The patient died 6 months later due to chronic kidney failure and sepsis.
After transplant, infection was observed in 3 patients, biliary stricture in 2 patients, acute rejection in 2 patients, and stenosis in the hepatic vein anastomosis in 1 patient. The stenosis in the hepatic vein was resolved with balloon dilation and stent placement. Decreased flow in the portal vein was observed in 1 patient due to hepatic artery thrombosis and in 1 patient due to hypersplenism. Decreased flow was treated with splenic coil embolization. This patient died 5 years after surgery due to recurrent infections and pneumonia. One patient died 5 months after surgery due to respiratory syncytial virus pneumonia and recurrent pleural effusion.
Patients were also followed up by pediatric cardiology. Two patients had ASD, and 2 patients had double superior vena cava. An endovascular procedure was performed on 1 patient due to ASD and 1 patient due to patent ductus arteriosus. Pulmonary hypertension was detected in 8 patients in the preoperative echocardiography (10-110 mm Hg). The patient with 110 mm Hg underwent cardiac catheterization; an invasive measurement was made, and pressure was measured as 37 mm Hg in the periphery (Figure 3). Pulmonary angioplasty was performed on 1 patient because of narrow exits of the pulmonary arteries (left pulmonary artery and right pulmonary artery).
No perioperative complications occurred in any patient with appropriate intraoperative volume replacement. No early mortality was observed in any patient.
Hepatocellular carcinoma was detected in the dynamic liver tomography taken preoperatively in 1 patient. The mass was 3 × 2 cm in size and was in the right lobe. The alpha-fetoprotein level was 11.5 ng/mL. No recurrence was observed in the postoperative follow-up. Other patients were followed for 16, 16, 9, 9, 2, 1, and 1 year posttransplant. Three patients died at year 13, year 5, and month 4 posttransplant (Table 2).
Discussion
The clinical presentations of patients with AGS can vary on the basis of their multisystemic involvement.13 Jaundice that appears in early infancy is usually seen with biliary atresia; however, cholestasis in children also occurs due to liver involvement in AGS.14 Kasai portoenterostomy was performed on 3 of our study patients because of biliary atresia. These patients did not benefit from Kasai. The main pathology in AGS is cholestasis, which occurs because of loss of intrahepatic biliary ducts. The use of Kasai portoenterostomy in patients who could have AGS has shown poor results.15 Therefore, patients who are preliminarily diagnosed with biliary atresia in early infancy should be well evaluated and differentiated from AGS. To make this evaluation, the characteristics of AGS can be utilized. Genetic tests can help distinguish from biliary atresia, as the typical facial appearance, eye involvement, and cardiac findings may not appear in early infancy.16 Family history can be beneficial in the early diagnosis of AGS.
If liver donors evaluated for planned liver transplant need to be selected from relatives, the physical appearance of the person to be a donor should be well evaluated and liver biopsy should show no ductal insufficiency. Genetic involvement in AGS can manifest with different clinical findings; therefore, if related donors are carriers, a possible liver transplant poses a risk.17 We also examined all of our donors for possible AGS carrier status. No findings were found in any donor at liver biopsy or physical examination.
In the literature, growth and developmental delay and resistant itching form transplant indications for AGS, even in the absence of cirrhosis.18 Transplants were performed in 6 of our 10 patients due to growth developmental delay and itching, even despite the absence of cirrhosis. In our other patients, there were signs of cirrhosis.
Heart involvement complicates liver transplant in AGS. Severe pulmonary hypertension is a contraindication for liver transplant. Pulmonary hypertension is defined as a mean pulmonary artery pressure above 25 mm Hg as measured by right heart catheterization at rest.19 In AGS, peripheral pulmonary stenosis of varying degrees leads to pulmonary hypertension.20 In a study conducted by Zussman and colleagues, pulmonary hypertension was reduced in the acute and chronic period with 34 endovascular interventions in 9 patients.21 In a single-center study of 51 patients, Luong and colleagues showed that liver transplant can be safely performed following surgical repair in those with AGS and complex pulmonary disease.22 The mean pulmonary artery pressures of 6 patients in our study was above 30 mm Hg. Patients with high mean pulmonary arter pressure by echocardiography should have their pulmonary pressures measured with heart catheterization. In patients with AGS, the intraoperative volume imbalance secondary to peripheral pulmonary stenosis is more pronounced in the anhepatic phase. For these reasons, the patient should be closely monitored intraoperatively, and appropriate volume replacement should be made by invasive cardiac output monitoring.
Hepatocellular carcinoma is seen in patients with AGS, although its incidence is unknown.23 In a study and literature review conducted by Schindler and colleagues,24 HCC was reported in 21 pediatric patients with AGS. Some of these patients could not undergo liver transplant, some underwent liver transplant after transarterial chemoembolization, and some underwent direct liver transplant.24 The emergence of HCC in AGS was initially associated with cholestasis.25 Two studies have reported that mutations in the Notch signal increase HCC in the environment of cirrhosis with increased necroinflammation and fibrosis.26,27 In our series, there was 1 patient with HCC. No recurrence was detected in postoperative follow-up.
Conclusions
Although AGS is a multisystemic disease, liver transplant can be safely performed. However, before liver transplant, the patient should be evaluated by nephrology, cardiology, ophthalmology, anesthesiology, and gastroenterology specialists. The patient should be examined for pulmonary hypertension, investigated for kidney involvement, and also screened for HCC. With a multidisciplinary evaluation and careful follow-up, liver transplant can be safely performed in patients with AGS.
References:

Volume : 22
Issue : 10
Pages : 94 - 99
DOI : 10.6002/ect.pedsymp2024.O27
From the 1Division of Transplantation, Department of General Surgery, the 2Department of Pediatric Cardiology, the 3Department of Pediatric Gastroenterology, and the 4Department of Anesthesiology, Baskent University, Ankara, Turkey
Acknowledgements: The authors have not received any funding or grants in support of the presented research or for the preparation of this work and have no declarations of potential conflicts of interest.
Corresponding author: Adem Şafak, Division of Transplantation, Department of General Surgery, Baskent University, Ankara, Turkey
Phone: +90 5346685548
E-mail: sademsafak@gmail.com
Figure 1. Butterfly Vertebrae (arrows)
Figure 2. Prominent Forehead (purple arrow), Deep-set Eyes (red arrow), Bulbous Type of Nose (black arrow), Pointed Chin (blue arrow)
Figure 3. Peripheral Pulmonary Stenosis (arrows)
Table 1. Phenotypical Findings of Patients
Table 2. Clinical Features of Patients