Patients with chronic kidney disease who are candidates for transplant may experience changes in capillary permeability, coagulation, and the endocrine system; alterations in the pulmonary vasculature; and cardiac structural and functional changes. Patients with renal replacement by hemodialysis have a mortality rate 30 times higher than those who do not have uremia. According to the onset, duration, and severity of chronic kidney disease, cardiovascular disease will be reflected in baseline function and response to stress. For this reason, it is important to establish the functional condition so that preoperative management can be started and factors inherent to the patient and the surgical procedure can be modified. Here, we report a 29-year-old male patient with chronic kidney disease secondary to renal hypoplasia, with no family history. The patient had renal replacement therapy with peritoneal dialysis and had progressive deterioration of general status, decreased functional capacity, decreased tolerance to physical activity, presence of fatigue and pulmonary congestion, and retention of liquids, with a diagnosis of moderate to severe mitral regurgitation.
Key words : Cardiovascular change, Chronic kidney disease, Renal transplantation
Introduction
In the United States, patients with chronic kidney disease have a rate of valvular heart disease of 14% in patients receiving hemodialysis, 12% in those receiving peritoneal dialysis, and 7.4% in patients after kidney transplant. There is increased tendency for valvular calcification and functional deterioration among patients with chronic end-stage renal disease compared with those with valvular involvement without this chronic disease. Cardiovascular events occur more frequently with chronic kidney disease.1
The presence of volume overload, calcification of the arterial vessels, and increased stress and dilation in the cardiac chambers contribute to changes in the geometry and function of the valvular apparatus, mainly the mitral and tricuspid valves, causing insufficiency.2 Depending on the progression of chronic kidney disease, mitral regurgitation may be functional due to dilatation of the left atrium and ventricle, which can be reversed if diagnosed early or can follow a degenerative course, with calcification of the valvular apparatus.3
Valve disease in renal transplant patients can be preceded by a preclinical stage of variable time, in which the patient remains asymptomatic without significant changes in their functional capacity; patients can then present with nonspecific symptoms, such as muscle weakness, fatigue, and tiredness, which can be confused with anemia.4 Calcification of the mitral annulus is similar to that which occurs in the aortic position. This occurrence is related to the process of atherosclerosis and associated factors of the inflammatory component, which are evaluated by 18F-fluorodeoxyglucose activity.5
Options for the treatment of symptomatic valve disease are limited. On the one hand, the control of fluid overload plays an important role, with the use of diuretics and hemofiltration, which can improve symptoms secondary to pulmonary congestion in valvular insufficiencies and reduce intracavitary pressure. Vasodilators to reduce left ventricular load in the presence of aortic regurgitation or functional mitral regurgitation may also be beneficial, although this remains controversial.6
Young patients with early-stage chronic kidney disease who are candidates for kidney transplant should be closely monitored in accordance with the guidelines described for the management of valve disease in the general population. Medical management should be in accordance with the progression of the pathology. In specific cases, an option is valve replacement, which is performed if the survival prognosis is greater than the risk of the intervention, taking into account the functional status, age, and concomitant diseases.7,8
Case Report
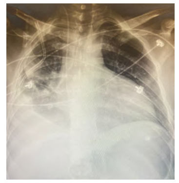
A 29-year-old male patient with chronic kidney disease secondary to renal hypoplasia with no family history had been diagnosed at age 20 years and had renal replacement therapy for 5 years by peritoneal dialysis. Anemic syndrome was treated with erythropoietin 4000 IU at twice a week. For difficult-to-control secondary arterial hypertension, the patient received nifedipine 30 mg every 12 hours, losartan 50 mg every 12 hours, and metoprolol 50 mg every 12 hours orally. In the previous 2 years, the patient had been hospitalized for generalized fatigue, weakness, progressive dyspnea, and changes in skin color. Anemia had been detected with hemoglobin level of 7.8 g/dL. Chest radiography showed right pleural effusion (Figure 1), and thoracic echocardiogram showed dilatation of the left ventricle, with preserved function left ventricular ejection fraction of 48%, enlargement of the left atrium with moderate to severe mitral regurgitation with regurgitant fraction >40%, and vena contracta width of 0.44 cm.
The patient’s pretransplant laboratory studies showed hemoglobin level of 9.8 g/dL, hematocrit of 30%, platelet count of 229?000, leukocyte count of 9.8 109/L, albumin level of 3.8 g/dL, and total proteins of 60 g/L. Hydroelectrolytic alterations showed potassium level of 5.4 mmol/L, sodium level of 129 mmol/L, chloride level of 95 mmol/L, total calcium of 7.8 g/dL, glucose level of 104 mg/dL, creatinine level of 23.1 mg /dL, and serum urea nitrogen level of 151 mg/dL. Coagulation times were within normal limits.
A kidney transplant was performed from a living related donor (the patient’s mother). The kidney allograft was placed in the extraperitoneal iliac fossa via a curvilinear incision along the lateral margin of the rectus muscle, approximately 8 to 10 inches from just above the pubic bone to just above the umbilicus.
A left kidney was inserted into the right iliac fossa while the patient was under general balanced anesthesia. Two arteries were anastomosed, with the smallest artery polar to the internal iliac artery and the main artery to the external iliac artery. A single vein was anastomosed to the right external iliac vein. Once the vessels were anastomosed, the ureter was implanted with the use of the Lich-Gregoir technique (Figure 2).
For perioperative management, balanced general anesthesia was given with rapid sequence intubation and mechanical ventilation, with tidal volume of 6 mL/kg of weight, inspiratory pressure of 15 cmH2O, positive end-expiratory pressure of 5 cmH2O, inspired fraction of oxygen of 60%, and respiratory rate of between 12 and 14 breaths/min.
For hemodynamic management and monitoring, the patient had a 7F three-lumen right internal jugular central venous catheter placed with a right radial arterial line and a 20G catheter for close monitoring. Intravenous fluids were administered with caution according to goal-directed response (mean arterial pressure >75 mm Hg, oxygen saturation >98%, mixed venous oxygen saturation >70%, pulse pressure variation <10%, cardiac output >4.5 beats/min); the patient received continuous intravenous administration of norepinephrine 0.08 μg/kg/min and milrinone 0.3 to 0.6 μg/kg/min.
The goals following the procedure were to maintain a neutral initial fluid balance with volume load challenges according to the response to their distribution after graft unclamping, avoiding a drop in vascular resistance and cardiac output. In addition, it was important to avoid fluid overload and right heart failure with close monitoring of indirect pulmonary parameters, such as peak and plateau pressure of the airway, pulmonary compliance, and oxygen saturation. Other values were pH between 7.35 and 7.45, serum potassium and sodium within normal parameters, base deficit less than 6, and serum lactate <1.2 mmol.
The surgical procedure and perioperative management were carried out successfully, with presence of uresis and adequate hemodynamic stability. During the first postoperative hours, inotropic and vasoconstrictor support was gradually withdrawn. The patient had improvement in laboratory studies compared with baseline and compared with control renal ultrasonography, showing adequate perfusion of the graft without significant changes in vascular resistance (Figure 3).
Conclusions
Caution is necessary in the care of patients who are candidates for renal transplant and have valvular disease, with particular care of their hemodynamic status and their particular goals, depending on the type of valvular disease. Care is needed to maintain an adequate and effective circulating volume, to preserve cardiac contractility without affecting the pressure of the left cavities, and to avoid pulmonary fluid overload, with the help of agents with inotropic properties and pulmonary vasodilators to improve right heart function.
References:

Volume : 22
Issue : 1
Pages : 345 - 347
DOI : 10.6002/ect.MESOT2023.P21
From the Cardiothoracic Anesthesia and Ultrasound Perioperative from the Departments of Transplantation and Anesthesiology, Servicios de Salud Del Estado de Queretaro, Hospital General de Querétaro, Santiago de Querétaro, México
Acknowledgements: The authors have not received any funding or grants in support of the presented research or for the preparation of this work and have no declarations of potential conflicts of interest.
Corresponding author: Juan Carlos Delgado Márquez, Cardiac Surgery and Transplant Programme, Av. Jose Antonio Garcia Jimeno num 1000, Col. Jardines de la Hacienda, CP 76180, Santiago de Querétaro, Mexico
Phone: +52 01 442 430 0924.120
E-mail: cjuanc@hotmail.com
Figure 1. Chest Radiography With Pulmonary Congestion and Right Drainage Tube