Drug-induced liver injury after liver transplant occurs in 1.7% of patients. Tacrolimus is an effective immunosuppressant that is used to treat acute rejection. Although rare, it can cause toxicity, which is demonstrated by cholestatic liver injury. Here, we present a case of a young male patient who was diagnosed with Wilson disease, had penicillamine-chelating therapy, and underwent living related liver transplant. Within 1 month posttransplant, he developed deranged, predominantly cholestatic pattern liver function tests. Laboratory parameters showed total bilirubin of 1.12 mg/dL, alanine aminotransferase of 553 IU/L, gamma-glutamyltransferase of 624 IU/L, and tacrolimus level of 10.2 ng/mL. After thorough evaluation, a liver biopsy was performed. Liver biopsy showed hepatocellular necrosis with centrilobular cholestasis without any evidence of graft rejection. However, with normal level of tacrolimus, the biopsy was suggestive of drug-induced liver injury. Thus, tacrolimus dose was reduced, resulting in improved liver function tests and patient discharge from the hospital. Tacrolimus is an effective immunosuppressant after liver transplant and has the ability to treat early acute rejection. The patient’s liver biopsy showed hepatocellular necrosis with centrilobular cholestasis without any evidence of graft rejection. Cholestatic liver injury after tacrolimus usually resolves after dose reduction or by switching to another agent. With demonstrated tacrolimus-induced toxicity in liver transplant recipients, despite normal serum levels, transplant physicians should keep high index of suspicion regarding toxicity in the posttransplant setting.
Key words : Deranged liver function test, Immunosuppression, Living related liver transplant
Introduction
Calcineurin inhibitors are the principal immunosuppressive therapy after liver transplant and are prescribed to >90% of liver transplant recipients.1 However, these drugs have a narrow therapeutic index, and significant interindividual variability is noted in their pharmacokinetics. A low dose can result in rejection, whereas a high dose causes toxicity.2,3 Other common adverse effects that are seen include nephrotoxicity, neurotoxicity, and diabetes mellitus.4,5 Cholestasis after liver transplant has been reported with ischemic reperfusion injury,6 in chronic graft rejection,7 in septic complications,8 in vascular or bile duct strictures,9 and with immunosuppressant use, including tacrolimus, mycophenolate mofetil, and azathioprine.
Here, we present a young male patient, diagnosed with Wilson disease (based on low serum ceruloplasmin and elevated 24-hour urinary copper excretion), who recently underwent living related liver transplant. At 1 month posttransplant, he developed tacrolimus-induced toxicity, which later improved after the withdrawal of the drug.
Case Report
A 23-year-old male patient diagnosed with Wilson disease, with a Child Turcotte Pugh score of B9 and a Model for End-Stage Liver Disease score of 17, underwent living related liver transplant in December 2018 at our institute. The donor was his brother. His primary indication for transplant was decompensated liver disease.
A left lobe liver graft was taken, with a graft weight of 450 g and graft weight-to-recipient weight ratio of 0.9%, with compatible ABO blood group. Duct-to-duct anastomosis was performed. Arterial anatomy was conventional, and segment I, which was intimately bound to the inferior vena cava, required inferior vena cava clamping to free it from the liver. Induction therapy was administered with injection of methylprednisolone for 3 days.
On the day 4 posttransplant, he was switched to oral steroids at a total dose of 20 mg and was also started on tablet mycophenolate mofetil 500 mg twice per day and tablet tacrolimus 0.5 mg twice per day. Prophylactic coverage for bacterial, viral, and fungal infection was also started during this time and included the following: tablet fluconazole 100 mg once daily, oral tablet valganciclovir 900 mg once daily, tablet trimethoprim/sulfamethoxazole and antibiotic coverage with injection Tazobactam 4.5 g 6 hourly in accordance with our institutional protocol. His tacrolimus level on day 6 posttransplant was 3.6 ng/mL; thus, the dose was increased to 1.5 mg twice per day and then the following day to 2 mg twice per day.
On day 11 posttransplant, his liver function tests started worsening. His tacrolimus level at that time was 10.2 ng/mL. The dose was further increased to 2.5 mg twice per day. The patient was asymptomatic, and there were no clinical signs of sepsis or encephalopathy. His kidney function tests were normal, whereas blood, urine, stool, and drain cultures, along with cytomegalovirus DNA polymerase chain reactions test, were all negative. A repeat chest radiography was ordered, which was also unremarkable. An abdominal ultrasonograph and a hepatic Doppler ultrasonograph were both normal. Because his liver function tests continued to increase (Table 1), tacrolimus dose was further increased to 3 mg twice per day. Because of suspicion of acute cellular rejection, he received 4 doses of injection methylprednisolone 500 mg but no significant improvement was noted in his liver function tests. The tacrolimus level at this time was 15 ng/mL.
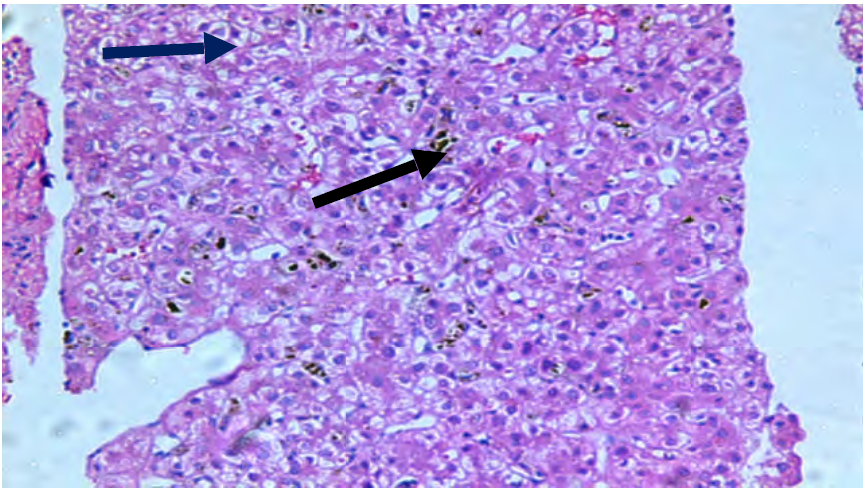
Because of worsened liver function tests, a liver parenchymal biopsy was performed. The biopsy showed lobular parenchyma having mild balloon of hepatocytes along with moderate intracanalicular cholestasis with no lobular or portal inflammation, bile duct loss, and no viral inclusion body or necrosis (Figure 1). A diagnosis of tacrolimus-induced hepatotoxicity was made, with tacrolimus being withdrawn. The patient showed marked improvement in liver function tests within 1 week. The patient was discharged the following week.
Discussion
The incidence of drug-induced liver injury in patients after liver transplant is around 1.7%.10 Drug-induced liver injury in the post-liver transplant setting is mostly seen within the first 30 days after transplant, with the antifungal drugs being the main culprits.10
Tacrolimus is an effective immunosuppressant after liver transplant. Patients with a CYP3A1/1/genotype have difficulty in reaching the desired trough level despite receiving high dosage of tacrolimus.11
Many features of drug-induced liver injury overlap those of ischemic reperfusion injury, acute rejection, chronic rejection, and viral hepatitis recurrence.12 A tacrolimus level between 5 and 8 ng/mL is least associated with toxicity.13 Calcineurin inhibitors are believed to cause hepatoxicity, with tacrolimus being the less common culprit.14
The mechanism of toxicity remains largely unidentified and is chiefly due to inhibition of the biliary excretion of bicarbonate and glutathione, without any effect on bile secretion. Another suggested mechanism is via its ability to cause venoocclusive disease.
Cholestatic liver injury after tacrolimus usually resolves after dose reduction or by switching to another agent.15 Cases of severe toxicity have been treated with the administration of phenytoin.16
A retrospective analysis of children who underwent liver transplant and were switched to tacrolimus showed evidence of cholestasis in 5.4% of patients, which resolved on switching to cyclosporine and prednisolone. Liver biopsy in these patients showed hepatocellular necrosis with centrilobular cholestasis without any evidence of graft rejection.17 Yadav and colleagues showed that reducing the dose of immunosuppressant improved the cholestasis secondary to tacrolimus after liver transplant.17
Our case highlights that physicians working in liver transplant units must keep in mind the possibility of tacrolimus-induced toxicity in patients with deranged liver function tests within 1 month after liver transplant, in whom the workup is unrevealing and no cause is found.
References:

Volume : 22
Issue : 1
Pages : 338 - 341
DOI : 10.6002/ect.MESOT2023.P8
1From the 1Department of Hepato-Gastroenterology, and the 2Department of Histopathology, Sindh Institute of Urology and Transplantation (SIUT), Pakistan
Acknowledgements: The authors have not received any funding or grants in support of the presented research or for the preparation of this work and have no declarations of potential conflicts of interest.
Corresponding author: Zain Majid, Department of Hepato-Gastroenterology, Sindh Institute of Urology and Transplantation (SIUT), Pakistan
E-mail: Zain88@hotmail.com
Table 1. Pattern of Liver Function Tests Posttransplant
Figure 1. Medium-Power View Showing Lobular Parenchyma Having Mild Balloon of Hepatocytes (dark blue arrow) Along With Moderate Intracanalicular Cholestasis (black arrow)