Efficacy of mTOR Inhibitors and Intravenous Immunoglobulin for Treatment of Polyoma BK Nephropathy in Kidney Transplant Recipients: A Biopsy-Proven Study
Objectives: We investigated the efficacy of a predetermined protocol that consisted of immunosuppressive drug reduction/withdrawal and intravenous immunoglobulin administration for the treatment of polyoma BK virus nephropathy.
Materials and Methods: Patients with biopsy-proven polyoma BK virus nephropathy received a treatment regimen based on discontinuation of both calcineurin inhibitors and antiproliferative agents and switching to mTOR inhibitors accompanied by intravenous immunoglobulin administration.
Results: Our study included 508 patients, with polyoma BK viremia detected in 80 patients. The mean age was 45.3 ± 9.5 years (range, 18-71 y), 64% were male, and mean follow-up was 37 ± 21 months (6-94 mo). All 16 patients who developed polyoma BK virus nephropathy and 9 patients who had high-grade polyoma BK viremia without nephropathy received intravenous immunoglobulin treatment. Compared with patients with viremia, patients with polyoma BK virus nephropathy had significantly higher rates of graft loss due to rejection (18.8% vs 1.6%; P = .024) and all-cause graft loss (31.2% vs 6.3%; P = .014). Histopathologically, viral inclusion bodies disappeared and SV40 became negative after treatment in all 13 patients who underwent protocol biopsies. Unfortunately, histopathologically complete recovery without chronic tubular and interstitial tissue damage was achieved in only 4 patients after treatment. In addition, 3 patients lost their grafts due to acute antibody-mediated or mixed-type rejection (18.8%).
Conclusions: In patients with polyoma BK virus nephropathy, clearance of viremia and SV40 should not be the sole outcomes to obtain. Aggressive reductions in maintenance immunosuppression and switching to double-drug therapy combined with high-dose intravenous immunoglobulin leads to high rates of graft loss/rejection and sequalae of chronic histological changes.
Key words : Nephropathy, Polyoma, Renal transplant, SV40
Introduction
The improvement in half-lives of deceased donor renal allografts from 6.6 years in 1989 to 8.8 years by 2005 is noteworthy. However, no improvement in the half-life of living donor renal transplants has been shown during the same period (11.4 years in 1989 and 11.9 years in 2005), suggesting that this success was only achieved for short-term survival outcomes.1 From these data, because of the strength of the immunosuppressive protocols implemented in the past 2 decades, significant decreases have occurred in acute rejection rates during the first year posttransplant, whereas rate of polyoma BK virus (PBK) infection has increased.2
El-Zhogby and colleagues determined the causes of kidney allograft loss in 1317 conventional kidney recipients through retrospective analysis of kidney allograft biopsies. Among the causes of graft failure censored for death, PBK nephropathy (PBKN) comprised almost 7% of all graft losses and 23.4% of graft losses due to fibrosis or atrophy.3 In a separate prospective study, allograft survival outcomes were followed up with indication biopsies in 315 recipients, and the graft loss rate due to PBKN was similarly 7% in this group.4 Polyoma BK virus nephropathy often occurs in the first year after transplant; if tubulointerstitial inflammation is not treated successfully, the process ends with an undesirable course, such as interstitial fibrosis and tubular atrophy.5,6
Indeed, many centers have reported graft losses of between 16% and 38%, but transplant failure rates have increased up to 58% for those with uncontrolled viral infection.2,7,8 Polyoma BK virus viruria and viremia are precursors of nephropathy and can be used as surrogate markers to determine the course and survival of the graft. Therefore, routine screening early after transplant and implementing preemptive treatment seem prudent to prevent the emergence and progression of nephropathy.2,9
In this study, we investigated the efficacy and safety of a predetermined protocol for the treatment of PBKN based on the withdrawal of antiproliferative drugs and switching to mechanistic target of rapamycin and low-dose cyclosporine A (CsA) in patients with low and high immunologic risk, respectively, accompanied by high-dose intravenous immunoglobulin (IVIG) administration.
Materials and Methods
This retrospective observational study reviewed 508 patients who received kidney transplants in the Organ Transplantation Clinic of Health Sciences University-İzmir Bozyaka Health Application and Research Center between June 2010 and 2020. Informed consent was obtained from participants included in the study.
All patients older than 18 years of age who were followed up for at least 6 months after transplant were included in the study. Patients were screened for PBK viral load (VL) levels at discharge and monthly for the first 3 months after transplant and then every 3 months until the end of year 2 posttransplant. However, in patients with PBK viremia, monthly VL determinations were performed until the PBK virus DNA titration became negative. We examined patients according to blood PBK VL levels: high PBK viremia was ≥104 copies/mL and low-PBK viremia was <104 copies/mL.
The PBK VL was measured with the Cobas BK virus test, a polymerase chain reaction VL test that has coverage with a limit of detection of 21.5 IU/mL and an expanded linear range from 21.5 copies/mL to 1E+08 copies/mL in EDTA plasma. Viral load values below 100 copies/mL (2 log10 copies/mL) in plasma were considered negative. The equipment used for this analysis was Cobas z 480 (Roche Molecular Systems).
We received ethical approval for this study from the University of Health Sciences Turkey, Izmir Bozyaka Health Practice and Research Center, Clinical Research Ethics Committee (May 5, 2021; Decision No. 2021/79).
Immunosuppressive regimens
The treatment algorithms for patients with high and low PBK viremia are shown in (Table 1) and (Table 2). The protocolized reduction in immunosuppression was predefined (preceded the start of the study) and applied uniformly to all patients. Patient data were retrospectively obtained from medical records, which were meticulously recorded.
Histopathologic assessment
All transplant recipients included in this study underwent implantation biopsy. Thus, differentiation of all pathologic data belonging to the donor or newly emerging in the indication and protocol biopsies after transplant was ensured.
Indication and protocol biopsy samples were stained with hematoxylin and eosin, periodic acid Schiff, and Masson trichrome. A definitive histologic diagnosis of PBKN was based on viral nuclear inclusion bodies in tubular epithelial cells. An immunohistochemistry study for the SV40 antigen was performed on all samples.
We evaluated tubulitis, inflammation, interstitial fibrosis, and tubular atrophy. The chronicity before and after treatment (interstitial fibrosis and tubular atrophy in the cortex) was scored as 0 (minimal, ≤5%), 1 (mild 6%-25%), 2 (moderate, 26%-50%), or 3 (severe, >50%).
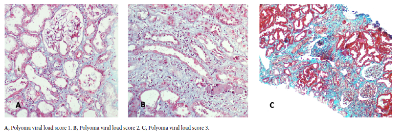
The histologic scoring of PBKN was based on the percentage of tubules with morphologic evidence of polyomavirus replication, as suggested by Nickeleit and colleagues.10 We defined polyoma based on VL on biopsy as follows: polyoma VL-1 indicated ≤1% positive tubules/ducts, polyoma VL-2 indicated 1% to 10% positive tubules/ducts, and polyoma VL-3 indicated >10% positive tubules/ducts.
Statistical analyses
Quantitative data are presented as mean ± SD and were compared using the Mann-Whitney U test. Qualitative data are expressed as numbers and percents, with differences between groups detected by the Fisher exact test. All comparisons were two-sided, and P < .05 was considered significant. We used the Tukey honestly significant difference post hoc analysis of variance (ANOVA) test for graft function and survival analyses (for patient groups of ≥3 patients).
Results
Our study analyzed 508 patients. Mean age was 45.3 ± 9.5 years (range, 18-71 y), 64% were male, and mean follow-up was 37 ± 21 months (range, 6-94 mo). The number of recipients who had transplants from a deceased donor was 266; 60 patients received kidneys from an expanded criteria donor. The mean number of mismatches in tissue typing was 3.4 ± 1.3 (range, 0-6). Delayed graft function developed in 29% of patients.
Maintenance immunosuppressive therapy for all transplant recipients at discharge consisted of methylprednisolone, an antiproliferative agent (mycophenolic acid in 293 patients and mycophenolate mofetil in 215 patients), and a calcineurin inhibitor (tacrolimus in 378 patients and CsA in 130 patients).
Among 508 patients, PBK viremia was detected in 80 patients (15.7%) during follow-up. Of these, 15 patients (18.8%) had high and 65 patients (81.2%) had low PBK viremia. Five of 15 patients with low viremia developed PBKN, and 11 of 65 patients with high viremia developed PBKN. Viremia developed a mean of 7.2 ± 5.7 months (range, 1-24 mo) after transplant and persisted 13.4 ± 16.1 months (range, 1-73 mo). The mean levels of PBK viremia at diagnosis, at peak level, and at last follow-up after treatment were 3871 ± 12 701 copies/mL (range, 119-60 533), 67 049 ± 323 044 copies/mL (208-2 669 398), and 1877 ± 14 144 copies/mL (0-119 135), respectively. Demographic, clinical, and laboratory parameters of patients with and without PBK viremia are shown in (Table 3).
The 80 patients who developed PBK viremia were older and had more HLA mismatches and more often received tacrolimus with high-dose antiproliferative drugs. In contrast, 428 patients without PBK viremia more often had a triple immunosuppression protocol based on CsA or an mTOR inhibitor accompanied by a relatively low-dose antiproliferative agent. However, graft and patient survival rates were statistically similar between groups.
Nephropathy (PBKN) developed in 16 of 80 patients (20%) with PBK viremia. Antiproliferative agents were discontinued in all patients with PBKN. Thirteen patients were switched from tacrolimus to an mTOR inhibitor, and 3 patients received low-dose CsA. All patients with PBKN received IVIG treatment. A total of 25 patients received IVIG treatment: the 16 patients with PBKN and 9 patients with high-grade PBK-viremia without nephropathy. The maintenance immunosuppression protocol of these 9 patients was modified by mTOR inhibitor switch plus low-dose CsA + methylprednisolone. Demographic, clinical, and laboratory parameters of patients with and without PBKN are shown in (Table 4).
After treatment regimens ((Table 1) and (Table 2)), PBK VL became negative in 64 of 80 (80%) patients. The 64 patients had relatively higher rate of PBK viremia (11% vs 44%; P = .04) and PBKN (15% vs 35%; P = .06) compared with those who did not achieve negative PBK VL after treatment.
When patients with PBK viremia and PBKN were compared, no differences in baseline demographic, immunological, and laboratory data were shown. However, in patients with PBKN, baseline PBK VL level (12.971 ± 20.481 vs 1.635 ± 7.678 copies/mL; P = .05), duration of viremia (26 vs 10 months; P = .03), and percentage of patients with viremia >6 months (79% vs 44%; P < .01) were increased. In addition, glomerular filtration rate in PBKN patients at month 24 and at last follow-up were significantly lower than in patients with PBK viremia (44.4 ± 22.7 vs 59.5 ± 10.1 mL/min/1.73m2; P = .03) and (46.7 ± 40.9 vs 66.3 ± 12.9 mL/min/1.73 m2; P = .016) (Table 4).
Rate of graft loss due to rejection (18.8% vs 1.6%; P = .024) and rate of all-cause graft loss (31.2% vs 6.3%; P = .014) were significantly higher in the PBKN group compared with patients with PBK viremia.
During follow-up, 5 patients with PBKN lost their allografts (31.2%): 3 had rejection (2 antibody-mediated chronic rejection and 1 mixed-type rejection), 1 patient had polyoma-related nephropathy, and 1 patient had recurrent focal segmental glomerulosclerosis. In addition, 2 patients with functioning grafts died as a result of gastric adenocarcinoma and as a result of cardiovascular disease.
During mean follow-up of 58 months, 4 patients (6.3%) with PBK viremia returned to hemodialysis. One patient had chronic antibody-mediated rejection. The etiology of graft loss in the remaining 3 patients was recurrent membranous nephropathy, de novo tubulointerstitial nephritis due to obstructive uropathy, and noncompliance. Among these 4 patients, 3 with functioning grafts died as a result of gastric cancer, rectum cancer, and COVID-19 pneumonia.
Among 16 patients with PBKN, excluding 3 patients who developed graft loss due to antibody-mediated rejection, the final follow-up eGFR value for the remaining 13 patients who recovered with an uneventful course (group 1) was 54.8 ± 22.7 (range, 27-97) mL/min/1.72 m2. The eGFR values of 64 patients with only PBK viremia (group 2) and 428 patients without PBK viremia (group 3) were 66.3 ± 12.9 and 56.0 ± 21.0 mL/min/1.72 m2, respectively, at last follow-up. When we compared these 3 groups using the Tukey honestly significant difference post hoc ANOVA test (group 2 vs group 3 showed difference of 7.2000, 95% CI, -9.0925 to 23.4925, P = .553; group 1 vs group 3 showed difference of 1.2000, 95% CI, -13.9397 to 16.3397, P = .981; and group 1 vs group 2 showed difference of -6.0000, 95% CI, -13.0459 to 1.0459, P = .113), no statistical difference was found between the PBKN group and the other 2 groups.
Pathologic evaluation of indication and protocol biopsies
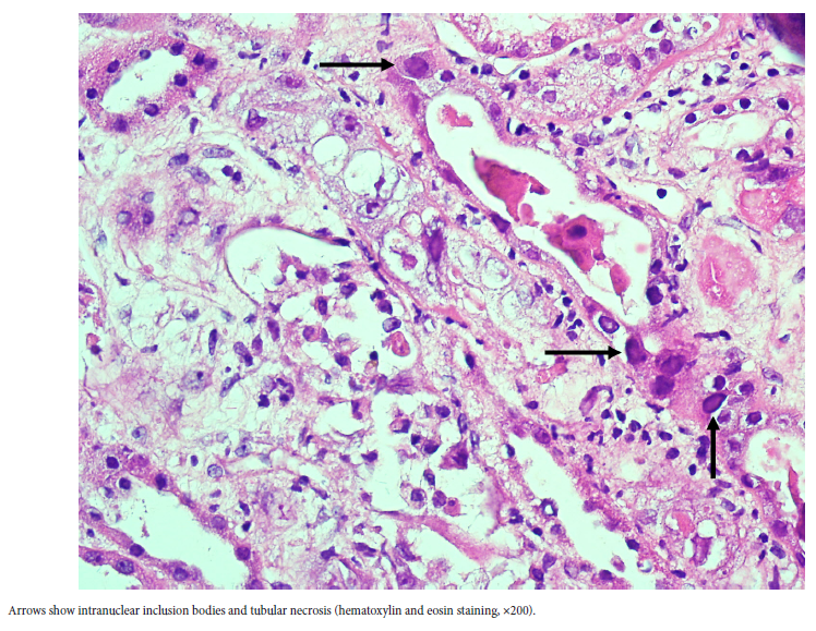
The characteristic features of indication biopsies were intraepithelial inclusion bodies accompanied by tubular necrosis (Figure 1). Sixteen patients had a histologic diagnosis of PBKN in indication biopsies, and the percentages of polyoma VL in the tubular epithelium were ≤1% in 4 patients, 1% to 10% in 6 patients, and >10% in 6 patients (Figure 2). Posttreatment protocol biopsy was performed in 13 of 16 patients with PBKN in indication biopsies.
Histopathologic complete recovery without residual tissue damage was achieved in 4 patients after treatment, and there was no increase in the chronicity score compared with before PBKN. Three patients had only indication biopsies. In these patients, PBKN was mild and polyoma VL was ≤1%. These patients did not accept the protocol biopsy. However, the clinical course and graft functions following treatment were excellent, and PBK viremia was negative in all 3 patients. In the remaining 9 patients, viral inclusion bodies disappeared and SV40 became negative, 3 patients had polyoma VL-2, and 6 had polyoma VL-3 in indication biopsies. However, the ultimate interstitial fibrosis and tubular atrophy scores of these 9 patients were ≥2 (Figure 3). Moreover, 3 of 6 patients with PVL-3 in indication biopsies developed acute antibody-mediated rejection after completion of PBKN treatment.
Discussion
In the literature, the incidence of PBK viremia is reported as 13% and PBKN is reported as 8% in kidney transplant recipients; without prompt diagnosis and treatment, PBKN can lead to graft loss in 50% of patients.11-14 In our study, the incidence of PBK viremia and PBKN was 15.7% and 3.1%, respectively. Interestingly, 10 patients who developed PBKN had high-grade viremia, and the other 6 had low-grade viremia. In 9 patients with high-grade viremia not accompanied by PBKN, the treatment changes were not sufficient to improve the viremia, and recovery in these patients could only occur after IVIG treatment. Hassan and colleagues suggested that the currently recommended BK virus plasma VL cutoff of >4 log10/mL for allograft biopsy by the Kidney Disease Improving Global Outcomes underestimates the diagnosis of PBKN. They showed that this cutoff value might lead to underdiagnosis because 35% of their patients with PBKN had <4 log10/mL copies of BK virus in their plasma. When we evaluate our results together with the result of this previous study, we believe that protocol biopsies can be useful in diagnosis of PBKN without delay, especially in patients with low-grade PBK viremia with mild fluctuations in allograft functions.15
There is a direct relationship between the choice of immunosuppressive drug protocol after kidney transplant and the development of PBK viremia and nephropathy. Borni-Duval and colleagues examined 240 kidney recipients for 2 years via monitoring of viral replication every 2 months in blood samples; 48 patients (20%) had sustained viremia, and 17 patients (7%) had biopsy-proven PBKN at 8 and 10 months after transplant. Risk factors associated with BK virus infection in multivariate analyses were higher with mycophenolate mofetil exposure and elevated tacrolimus trough levels.16 In our study, among 80 patients with PBK viremia, PBKN did not develop in 9 patients who received maintenance immunosuppression therapy with a CsA-based triple-drug regimen. On the other hand, 16 of 71 patients (22.5%) who received tacrolimus-based triple immunosuppression after transplant manifested PBKN. Similarly, in another single-center study, PBKN was detected in the indication biopsy in only 1 of 87 transplant patients (1.1%) who received CsA-based triple immunosuppression after kidney transplant.17 Thus, in examinations of the development of PBKN from the perspective of the immunosuppressive regimen, the negative effects of tacrolimus are very evident, as emphasized by all studies.
No specific antiviral treatment is currently available against BK virus infections.4,6,18 Regular screening of BK viremia or viruria accompanied by a reduction of immunosuppressive therapy has remained the only viable strategy to control BK virus replication thus far.19 In a systematic review, the annual rate of death-censored graft loss was 8/100 patients for the reduction of immunosuppression alone and was 8/100 and 13/100 patients for the addition of cidofovir or leflunomide, respectively. Adding cidofovir or leflunomide to reduce immunosuppression for PBKN treatment does not appear to have a graft survival benefit.20 Indeed, in an observational retrospective study conducted in 3 French transplant centers, among 55 patients enrolled because of BK virus-associated nephropathy, the reduction of immunosuppression combined with leflunomide therapy yielded rejection episodes in 33%.21
Human immunoglobulin preparations (IVIG) have long been promising in the treatment of PBK viremia and nephropathy. Randhawa and colleagues coincubated BK virus and a clinically significant concentration of IVIG from healthy and hepatitis B-vaccinated patients and observed more than 90% inhibition of viral DNA in tissue culture at 7 days. These data show that IVIG acts on viral DNA through a direct neutralizing mechanism.22 These results were further substantiated in another study, with administration of a single high-dose IVIG (1 g/kg of body weight/day) or a low-dose IVIG (0.4 g/kg/day) that resulted in a significant increase in PBK neutralizing antibody titers against BK virus genotype I (ie, the largely predominant genotype) over the protective threshold of 4 log10, which persisted for almost 3 weeks in kidney transplant recipients.23 Similar results were obtained in another study where IVIG was administered preemptively in patients with low neutralizing antibody titers (“high-risk”) who received IVIG for the first 3 months posttransplant. At 1-year follow-up, the incidences of PBKN and PBK viremia were similar in the high-risk group (6.8%) and the low-risk group (10.1%), which had had high neutralizing antibody titers on the day of transplant.24
We found that PBK viremia significantly improved after treatment with high-dose IVIG (2 g/kg total dose) in all 16 patients with PBKN and in 9 patients with high-grade viremia. No evidence of viral replication was shown in the 25 patients in sequential PBK DNA analysis during follow-up. Moreover, inclusion bodies in the tubular epithelium disappeared and SV40 became negative in all 13 patients who underwent protocol biopsies. Kable and colleagues incorporated IVIG with conventional treatment in patients with PBKN and observed efficient clearance of viremia and recovery of PBK immunohistochemistry in protocol biopsies compared with standard-of-care controls. However, despite IVIG treatment, the investigators reported almost 60% acute rejection episodes due to immunosuppressive reduction requiring pulse steroid therapy.25 In another study, a treatment protocol based on dose reduction of calcineurin inhibitor and antiproliferative agents by 50% resulted in graft loss in 15% to 20% of patients with biopsy-proven PBKN.26 These results reveal that combating viral infection and preventing rejection should be considered together while reducing immunosuppression in the treatment of PBK viremia and PBKN. In addition, PBKN treatment should be given according to a protocol and the effectiveness of the treatment should be proven in protocol biopsies, if possible.
To our knowledge, our study is the first in which the efficacy of treatment in patients with PBKN was followed and proven by protocol biopsies. Our predetermined protocol for the treatment of PBKN was based on withdrawal of antiproliferative drugs, switching to mTOR and low-dose CsA in patients with low- and high-immunologic risk, respectively, and administration of high-dose IVIG administration, resulting in complete resolution of PBK viremia with no evidence of viral replication during follow-up. Histopathologically, viral inclusion bodies disappeared and SV40 became negative after treatment in all 13 patients who underwent protocol biopsies. Unfortunately, histopathologically complete recovery without chronic tubular and interstitial tissue damage was achieved in only 4 patients after treatment. Three patients also lost their grafts due to acute antibody-mediated or mixed-type rejection (18.8%) despite the maintenance of dual immunosuppression accompanied by high-dose IVIG administration. The patient and graft survival rates of 16 patients with PBKN in our study were 88% and 68.8%, respectively. Parajuli and colleagues reviewed outcomes among kidney transplant recipients with biopsy-proven PBKN (96 cases) and acute rejection (256 cases) and reported that acute rejection developed in 8/96 patients (8.3%) after PBKN treatment.27
On the other hand, with our treatment algorithm based on partial dose reduction in maintenance triple immunosuppression, which we applied only to cases with PBK viremia, PBK DNA values successfully reduced to 0 in 55 of 64 patients and below the negative cutoff value of 100 copies/mL in 4 patients. Of the remaining 5 patients, 4 had PBK DNA values <4 log10 (214, 218, 482, and 3072 copies/mL), and 1 patient had high viremia (119 135 copies/mL). In this group, 4 patients (6.3%) lost their graft during the study period. However, graft loss due to rejection was observed in only 1 patient (1.6%), whereas graft loss due to PBK viremia or nephropathy did not occur in any of the cases. Graft outcomes were significantly different between PBKN and PBK viremia groups.
Our study is a single-center, retrospective study and has some limitations. First, with respect to patients with biopsy-proven PBKN, we did not wait a prespecified period after switching the immunosuppression before introducing high-dose IVIG. Thus, it is hard to discern whether the reduction in BK titers would be attributable to reduction in immunosuppression or IVIG or both. Also, the numbers of patients in the main intervention group (PBKN) were low, and we had no comparison group (where only immunosuppression was reduced or where only high-dose IVIG was given without a reduction in immunosuppression).
Conclusions
Modest reductions in immunosuppressive drug doses were safe in renal transplant recipients with low PBK viremia (<10 000 copies/mL), with acceptable graft loss rates. The most important etiological difference in patients who developed PBK viremia or PBKN was the significantly higher doses of antiproliferative immunosuppressive drugs in the latter group. Thus, to prevent the transition from viremia to nephropathy, it is especially important to adjust the doses of mycophenolic acid or mycophenolate mofetil. In patients with PBKN, clearance of viremia and SV40 should not be the sole outcomes to obtain. Aggressive reductions in maintenance immunosuppression and switching to double-drug therapy (eg, mTOR inhibitor plus prednisolone or low-dose CsA with prednisolone) combined with high-dose IVIG leads to high rates of graft loss/rejection and sequalae of chronic histological changes.
References:

Volume : 22
Issue : 1
Pages : 118 - 127
DOI : 10.6002/ect.MESOT2023.O29
From the 1Department of General Surgery and Transplantation, the 2Department of Nephrology and Transplantation, and the 3Department of Pathology, University of Health Sciences, Izmir Bozyaka Education and Research Hospital, Izmir, Turkey
Acknowledgements: Native-speaker English editing in an early draft was conducted by David F. Chapman, BSc (Hons) (certificate No. 2022-1605-02). The authors have not received any funding or grants in support of the presented research or for the preparation of this work and have no declarations of potential conflicts of interest.
Corresponding author: Murat Karatas, University of Health Sciences, Izmir Bozyaka Education and Research Hospital, Department of General Surgery and Transplantation, Karabaglar, Izmir 35100, Turkey
E-mail: drmuratkaratas@gmail.com
Table 1.Treatment Algorithm Chart for Patients With Low Polyoma BK Virus Viremia
Table 2.Treatment Algorithm Chart for Patients With High Polyoma BK Virus Viremia
Table 3.Demographic, Clinical, and Laboratory Parameters of Patients With and Without Polyoma BK Viremia
Table 4.Demographic, Clinical, and Laboratory Parameters of Patients With and Without Polyoma BK Virus Nephropathy
Figure 1.Cytopathic Effect of BK Virus
Figure 2.SV40 Positivity in Tubular Epithelium Via Immunohistochemical Staining
Figure 3.De Novo Interstitial Fibrosis After Treatment