Objectives: At the National Scientific Center of Surgery named A. Syzganova, more than 100 liver transplants have been conducted from 2012 to November 2017. Survival and quality of life of patients in the posttransplant period largely depend on the compliance of patients, monitoring of complications, cause of liver disease, the severity of the condition of patients in the pretransplant period, and the technical features of the operation. The aims of the study were to analyze the results of liver biopsy in patients after liver transplant and to evaluate the value of morphologic studies of the liver for the diagnosis of complications in the posttransplant period.
Materials and Methods: Liver transplant recipients undergoing liver biopsy between 2012 and 2017 were analyzed. Our study included 40 liver biopsies in 29 patients after orthotopic liver transplant who fulfilled the inclusion criteria.
Results: In 51.7% of cases in patients (that is, in 15 of 29 patients), biopsy data revealed changes characteristic of rejection. Biliary complications were found in 10.34% of patients, recurrent liver diseases were confirmed in 17.24% of patients, 3.45% of patients had confirmed cholangitis, and 6.90% of patients were diagnosed with liver steatosis.
Conclusions: Histopathology assessment of allograft liver biopsies plays an important role in the differential diagnosis of posttransplant complications and in identifying the cause of graft damage; having this information can lead to the appropriate therapeutic intervention.
Key words : Liver biopsy, Liver cirrhosis, Posttransplant complication, Recurrent hepatitis, Rejection
Introduction
In the management of terminal liver diseases worldwide, liver transplant has been shown to be the most effective method for treatment of liver cirrhosis and hepatocellular carcinoma. Survival and quality of life of patients in the posttransplant period largely depend on the compliance of patients, monitoring of complications, cause of liver disease, the severity of the condition of patients in the pretransplant period, and the technical features of the operation.
An important group of disorders after orthotopic liver transplant(OLT) might be classified as “primary hepatic complications.”These complications manifest with graft dysfunction and can be caused by the following factors: immunologic (acute and chronic rejection, chronic hepatitis, de novo or recurrent autoimmune disease), viral (recurrent hepatitis B virus [HBV] and/or hepatitis C virus [HCV], de novo cytomegalovirus, and other virus-related hepatitis), toxic (usually drug-related), and ischemic (late effects of ischemic and reperfusion injury, manifesting within few days from OLT).1,2 Graft loss can manifest as chronic ductopenic rejection, which typically affects the graft between 6 weeks to 6 months after transplant and occurs in up to 17% of patients,3 and as recurrent disease occurring mainly because of HCV recurrence. Primary hepatic complicationscan be a co-manifestation of vascular or biliary complications (eg, multiple biliary strictures in recurrent sclerosing cholangitis).
Clinical manifestations of complications 1 year after liver transplant require careful analysis and an integrated approach. With early manifestations of complications in most cases, there is a change in the biochemical parameters of the blood, shown as elevation of transaminases, gamma-glutamate transpeptidase, alkaline phosphatase, and/or bilirubin.4 The cause of changes in laboratory indicators can be a crisis of rejection and recurrent liver disease and/or biliary complications and liver diseases that have occurred de novo.
The aims of our study were to analyze the results of liver biopsy in patients after liver transplant in our center and to evaluate the value of morphologic studies of the liver for diagnosis of complications in the posttransplant period.
Materials and Methods
From 2012 to November 2017, the National Scientific Center of Surgery named A.N. Syzganova of the Health Ministry of the Republic of Kazakhstan conducted 106 liver transplants, which included 89 from living donors and 17 from deceased donors. Eighteen transplants were conducted in pediatric patients.
Figure 1 shows the causes of liver diseases. Causes included progression of liver cirrhosis and hepatocellular cancer, with 30% having HBV and hepatitis D virus (HDV). The second most frequent pathology was primary biliary cholangitis (primary biliary cirrhosis; 19% of patients), and the third most frequent was chronic HBV (monoinfection).
There were a total of 40 liver biopsies in 29 patients after OLT who fulfilled the inclusion criteria. The biopsies were classified according to the main histologic diagnosis. All biopsies were clinically indicated. Of the 29 patients, 20 were female patients and 9 were male patients, including one 6-year-old child (girl). The causes of terminal liver disease in these patients was HDV in 34.5%, primary biliary cirrhosis in 24.1%, HBV in 17.24%, HCV in 13.8%, and autoimmune hepatitis in 10.34%. Table 1 presents the patient demographic characteristics and transplant data, including indications for OLT in the study cohort.
Results and Discussion
Histologic assessments continue to play an important role in the diagnosis and management of liver allograft rejection. Since 1997, with the introduction of the Banff classification of liver allograft rejection, most centers have assumed a unified approach to the diagnosis and grading of acute cellular rejection.3 Although the prevalence of acute rejection has been declining, 20% to 40% of patients still have one or more episode requiring treatment with additional immunosuppression.5 These episodes usually occur during the first 3 months after transplant, and the diagnosis at this time is generally easy. The updated Banff schema published in 2000 is also widely used for the diagnosis and staging of chronic rejection.6
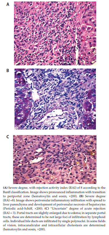
Table 2 presents the histologic diagnoses of 29 liver biopsies obtained > 3 months after transplant during the 5.5-year study period (2011-2017). Most patients were treated with a triple therapy, and only 3.6% (1/28) received monotherapy. One patient with severe rejection had autoimmune hepatitis overlapping with primary biliary cirrhosis. The patient was refractory to methylprednisolone. Simultaneously with the rejection, the patient developed end-stage renal failure. A second incident of severe acute cellular rejection developed in a patient with recurrent HBV infection. The patients with rejection activity index of 3 or 4 did not receive pulse therapy (methylprednisolone) because they had biliary and septic complications. One patient with severe rejection (rejection activity index of 8) stopped immunosuppressive therapy for 1.5 months at 1.5 years after liver transplant. He had cirrhosis due to HBV and HDV and biliary stricture 6 months after liver transplant (Figure 2, A and B).
Recurrence of hepatitis C virus
For diagnosis of recurrent HCV (excluding other causes of graft dysfunction), liver biopsies are used to assess disease severity and progression. Histologic abnormalities are often present in protocol biopsies from HCV-positive patients who are clinically healthy, with apparently normal graft function.7 The changes seen in these specimens may have implications for prognosis and treatment.8 For example, the presence and severity of fibrosis at 1 year have been shown to be predictive of subsequent progression to cirrhosis and graft failure.7,9,10 This information may help identify patients who are most likely to benefit from antiviral therapy.11
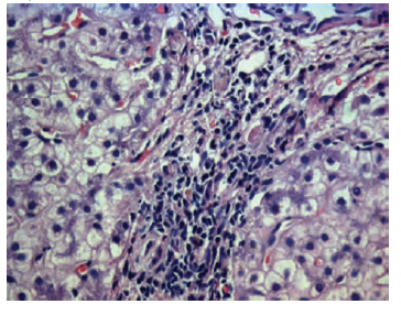
Recurrent HCV was found in a patient with genotype 1b. This patient received pegylated interferon and other direct-acting antiviral drugs. The reason for recurrent HBV was the interruption of antiviral therapy 9 months after liver transplant (Figure 3).
Recurrence of hepatitis B virus
According to the recommendations of the International Liver Transplantation Society (2016), patients who undergo liver transplant in connection with terminal liver disease from HBV are classified into 3 categories: (1) patients with low risk of recurrent HBV infection, (2) patients with a high risk of recurrent HBV infection, and (3) patients with limited therapeutic options for specific prevention of recurrent HBV infection.
The first category includes patients with undetectable levels of HBV DNA during the pretransplant period and during liver transplantation, patients with viral load less than 1000 IU/mL, and patients with fulminant HBV with absence of HDV coinfection. Patients with a viral load of more than 1000 IU/mL, patients with chronic liver failure, and patients with HBeAg-positive HBV belong to the second category. The third category includes patients with HDV coinfection, patients with a high risk of recurrent viral hepatitis, patients with enhanced resistance to nucleotide analogs, and patients with human immunodeficiency virus coinfection.
In our center, patients with cirrhosis because of HBV and HDV receive nucleoside analogs of entecavir or tenofovir during the pretransplant and posttransplant periods for prevention of recurrent hepatitis (n = 20). Twelve patients, in addition to nucleoside analogs, received specific hepatitis B immunoglobulin during transplant.
A patient with the recurrent HDV infection received entecavir at 0.5 mg per day. The patient had positive HBsAg, negative results of polymerase chain reaction HBV DNA analysis, and positive results of polymerase chain reaction HDV RNA analysis at 72 weeks after liver transplant. However, 3 months later, results of polymerase chain reaction HDV analysis were negative and results of HBsAg were positive. In the liver tissue (Figure 4), moderate inflammatory infiltrates were seen spreading to the hepatic lobes, forming step necroses. In periportal fields, an increase in the content of connective tissue is visible, with the spread of fibrosis in most portal tracts with single short fibrotic septa.
Recurrent primary biliary cirrhosis
Four patients transplanted for primary biliary cirrhosis were followed for up to 3.5 years. At about 1.5 years after surgery, 3 patients experienced elevations of alanine aminotransferase and alkaline phosphatase, with liver biopsy indicating graft dysfunction. Two patients had diabetes, and 1 patient had biliary stricture 2 years after transplant. Titers of antimitochondrial antibodies fell to undetectable levels shortly after transplant in all recipients; however, values similar to or higher than those before transplant were observed over time. Biopsies revealed portal inflammation, lymphoid aggregates, granulomas, bile duct injury, and ductopenia. The histology was not suggestive of chronic rejection (Figure 5).
Nonalcoholic fatty liver disease
The distinction between recurrent and de novo nonalcoholic fatty liver disease (NAFLD) is often difficult. Liver transplant patients are at risk for developing a number of features of metabolic syndrome, such as diabetes mellitus, weight gain, hypertension, and hyperlipidemia and are thus predisposed to the development of NAFLD.12 Steatosis in the donor liver has also been identified as a risk factor for the development of steatosis in late posttransplant biopsies, although the mechanism for this is uncertain.13 Cases of NAFLD have been identified that appear to have arisen de novo after liver transplant.12 However, some of these have occurred in patients who were transplanted for cryptogenic cirrhosis and/or had risk factors for metabolic syndrome before transplant and could thus be regarded as having recurrent rather than de novo disease.6,14 Interactions between HCV infection, insulin resistance, and NAFLD also appear to be important in the pathogenesis of recurrent HCV and de novo NAFLD.15
In the 2 cases of NAFLD, the cause in 1 patient was metabolic changes that occurred de novo. The second patient was a 6-year-old child. The most likely cause in this case was steatosis of the donor liver. In this pediatric patient, indications for liver biopsy were high rates of transaminases throughout the posttransplant period (1 year and 3 months) (Figures 6 and 7).
Morphologic results showed that most patients, that is, in 15/29 patients (51.7%),were diagnosed with acute and chronic rejection. Biliary complications were found in 10.34% of cases. Recurrent liver diseases were confirmed in 17.24% of patients after liver transplant. Studies have shown the frequency of recurrent liver disease to vary from 13.2% to 20%.7,16 Among our patients, 3.45% had confirmed cholangitis and 6.90% were diagnosed with liver steatosis.
An evaluation of allograft liver biopsies at our center revealed that, although acute and chronic rejection episodes were major factors in liver dysfunction, all cases of acute rejection were promptly diagnosed and successfully treated as a result of close cooperation between clinicians and pathologists.16 The overall occurrence of chronic rejection was 3.6%.
Conclusions
Liver histology remains the criterion standard test for diagnosis of allograft dysfunction, rejection of the transplant,17 NAFLD,18,19 and recurrence of viral hepatitis. Therefore, histopathologic assessments of allograft liver biopsies play an important role in treatment of liver transplant patients.
Many common posttransplant complications cannot be differentiated by clinical, paraclinical, and imaging studies; in many situations, more than 1 cause contributes to graft dysfunction. Therefore, histopathologic assessment of allograft liver biopsies plays an important role in the differential diagnosis of posttransplant complications, allowing identification of cause of graft damage and subsequently the initiation of appropriate therapeutic intervention.
References:

Volume : 16
Issue : 1
Pages : 89 - 94
DOI : 10.6002/ect.TOND-TDTD2017.O35
From the National Scientific Center of Surgery, named after A. Syzganova, Almaty,
Kazakhstan
Acknowledgements: The authors have no sources of funding for this study and have no conflicts of interest to declare. This research was carried out as part of Inova Healthcare Technologies’ scientific program to improve the results of the treatment of chronic diseases and the consequences of injuries with severe loss of function and complications.
Corresponding author: Bibigul Ilyassova, National Scientific Center of Surgery, named after A. Syzganova, Almaty, Kazakhstan
Phone: +77011334390 E-mail: bs-hepatolog@mail.ru
Figure 1. Reasons for Terminal Liver Diseases in Liver Transplant Recipients of the National Scientific Center of Surgery named A.N. Syzganova of the Republic of Kazakhstan From 2012 to October 2017
Table 1. Indications for Orthotopic Liver Transplant
Table 2. Histological Diagnoses
Figure 2. Acute Cellular Rejection
Figure 3. Liver Biopsy at 1 Year, 2 Months After Transplant, With Recurrent Hepatitis C
Figure 4. Recurrent Hepatitis B with Hepatitis D Virus (hematoxylin and eosin, ×200)
Figure 5. Liver Biopsy 2 Years After Transplant, With Recurrent State II Primary Biliary Cirrhosis (According to Hubscher)
Figure 6. Large-Droplet Steatosis in Liver Graft of a 6-Year-Old Patient 1 Year After Transplant
Figure 7. Large-Droplet Steatoses in 52% of Liver Graft of 54-Year-Old Patient 3 Years After Transplant (oil red, ×100)