In this study, we report our experiences on the role of transplantation in 2 patients with large liver tumors in the setting of Abernethy malformation. Patient 1 was a 17-year-old boy who was referred for hepatic masses and recurrent hepatic encephalopathy episodes. Computed tomography and magnetic resonance imaging showed 2 large tumors (4 and 8 cm) in the liver. The portal vein drained directly into the vena cava. Core biopsy of the larger mass revealed fibrosis and regenerative hyperplasia. There were hyperintense signals in the T1-weighted images in the globus pallidus. The Stanford-Binet intelligence scale showed moderate mental retardation (IQ 39); however, the patient showed good ability for caring for himself. His cognitive defect was ascribed partially to chronic encephalopathy. The patient received a right hepatic lobe from his older brother. The congenital portacaval shunt was disconnected to provide inflow to the graft. Pathologic examination of the explanted liver revealed no evidence of malignancy. His IQ improved to 75 at 29 months posttransplant. The hyperintensity of the globus pallidus on magnetic resonance imaging disappeared. The patient has maintained a normal life during 9 years of follow-up. Patient 2 was a 17-year-old girl who was referred for multiple hepatic masses; she had no symptoms at admission. Magnetic resonance imaging showed type 1 Abernethy malformation and multiple hepatic masses (largest was 10 cm), which appeared to be hyperplastic lesions. Because malignancy could not be definitely excluded, she received a right lobe without the middle hepatic vein from her uncle. Pathologic examination of the explanted liver showed localized nodular hyperplasia; there was no evidence of malignancy. She has maintained normal life activities during 3 years of follow-up. Liver transplant is a curative treatment option for patients with large liver tumors, replacing the hepatic parenchyma in the setting of Abernethy malformation.
Key words : Congenital absence of the portal vein, Encephalopathy
Introduction
Abernethy malformation is a congenital anomaly in which the portal vein drains directly into the inferior vena cava. It belongs to a group of portosystemic vascular malformations that are broadly categorized according to whether portal perfusion of the liver is partially preserved (type 2) or not (type 1).1 Although the concept of totality of the Abernethy malformation has been challenged (see Discussion), the emphasis of the degree of the portal perfusion is useful in planning treatment,2,3 ie, whether shunt closure (by radiologic or surgical methods) or liver transplant should be attempted.
Abernethy malformation may be associated with various cardiac, vascular, hepatobiliary, pancreatic, intestinal, and genetic anomalies.1 The shunt may go undiagnosed until old age4; however, it is frequently complicated by encephalopathy and development of liver tumors.2,3 Although many of these tumors are focal nodular hyperplasias,5 nodular regenerative hyperplasias,6 and adenomas,7 malignant transformations to hepatoblastomas8 and hepatocellular carcinomas have been reported.9,10 A spectrum of lesions in a single patient has also been reported.11
In this report, we communicate our experiences with 2 young patients who had large liver tumors in the setting of Abernethy malformation and were treated by living-donor liver transplant.
Case Reports
Patient 1
A 17-year-old male patient was referred for multiple hepatic masses and recurrent hepatic encephalopathy episodes. The results of the biochemical tests at admission showed increased transaminase levels, normal synthetic liver function, and a slightly increased ammonia level: aspartate aminotransferase 263 IU/L, alanine aminotransferase 134 IU/L, gamma-glutamyltranspeptidase 102 IU/L (range, 5-85 IU/L), total bilirubin 1.0 mg/dL, albumin 4.4 g/dL, international normalized ratio 1.1, ammonia 86 μg/dL (range, 10-60 μg/dL), and α-fetoprotein 8.4 ng/mL (< 13.0 ng/mL). Serologic tests for hepatitis B and C viruses and human immunodeficiency virus yielded negative results.
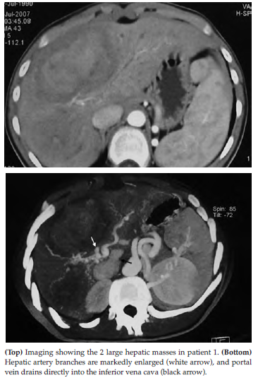
Computed tomography and magnetic resonance imaging (MRI) of the abdomen showed 2 large tumors (4 and 8 cm) in the liver; the intrahepatic branches of the portal vein could not be identified (Figure 1, top). The portal vein drained directly to the vena cava just below the level of the right inferior hepatic vein; the hepatic arteries were markedly enlarged (Figure 1, bottom). T1-weighted MRI of the brain revealed hyperintense signals in the globus pallidus, a finding that is considered compatible with hepatic encephalopathy. The Stanford-Binet intelligence scale showed moderate mental retardation (IQ 39). Biopsy of the larger mass revealed severe fibrosis and regenerative hyperplasia; however, malignancy could not be definitely excluded for the whole lesion. Although the IQ could be considered as a contraindication, the fact that he could take care of himself during intervals between encephalopathy episodes and the possibility that the shunt could be a culprit in his cognitive defect led to a decision to proceed with liver transplant.
The right hepatic lobe without the middle hepatic vein was procured in the usual manner from his 31-year-old brother. The recipient had a shortportal vein that drained directly into the vena cava (Figure 2). The congenital portacaval shunt was disconnected, and the recipient’s portal vein was used to provide inflow to the graft.
Although relaparotomy and hemostasis had to be performed for early postoperative bleeding, he was extubated the next day. A triple regimen of tacrolimus, mycophenolate mofetil, and steroids was used for immunosuppression. On postoperative day 6, he had a grand mal epilepsy episode that was controlled with diazepam. No causative factor could be found. The hyperammonemia disappeared during the early postoperative period. A macroscopic and histologic examination of the explanted liver showed 2 large areas of localized nodular hyperplasia and hepatic fibrosis. He was discharged from the hospital 20 days after transplant.
The hepatic function of the patient has remained normal through 9 years of follow-up. His family reported marked improvements in mental skills, an observation that was confirmed in outpatient clinic visits. The Stanford-Binet intelligence test was repeated at 29 months after the transplant procedure, and the new IQ was found to be 75. The hyperintensity of the globus pallidus in the T1-weighted images in MRI disappeared completely.
Patient 2
A 17-year-old girl was referred for incidentally detected multiple hepatic masses. Computed tomography and MRI showed type 1 Abernethy malformation and multiple hepatic tumors (largest was 10 cm) that appeared to be hyperplastic lesions, based on radiologic criteria. Because malignancy could not be definitely excluded, the patient received a right lobe allograft without the middle hepatic vein from her uncle. She also had a short portal vein that drained directly into the vena cava. The congenital portacaval shunt was disconnected, and the recipient’s portal vein was used to provide inflow to the graft as in patient 1. An interesting finding was that the patient also had a rudimentary “portal vein” (diameter, 3-4 mm) perfusing the liver (Figure 3).
Pathologic examination of the explanted liver showed localized nodular hyperplasia; there was no evidence of malignancy. She has had a normal life during 3 years of follow-up.
Discussion
Adequate portal flow is vital for normal liver structure and function. Diversion of portal flow away from the liver by the congenital portosystemic shunt is associated with encephalopathy and the development of liver tumors. However, these are not universal phenomena, and there seems to be a significant degree of individual variation with both complications.1 Some patients experience no encephalopathy; in others, neurologic symptoms may manifest over a wide interval, ranging from early life to old age.1,2,4 The degree of shunting and the sensitivity of the central nervous system to incompletely cleared toxic metabolites may account for this variability. Although liver nodules are common, they are not detected in all patients.1 Whether the time of detection explains why some patients have benign lesions and others have malignant ones is unclear. The presence of mutations with oncogenic potential have been reported in some lesions11 but not in others.10
The heterogeneity of the clinical entity requires individualized treatment. In patients with partial shunts, shunt closure by either radiologic or surgical methods relieves hepatic encephalopathy.2,3 Interestingly, these interventions, if performed before the development of malignant lesions, can result in the partial or complete regression of hyperplastic liver nodules.1,2 Resection of the refractory lesions may be required.2
Liver transplant has long been considered the only treatment for hepatic encephalopathy and liver tumors (especially for hepatocellular carcinoma10) in the setting of a total shunt2. This approach was successfully implemented in both patients in this report. The large preneoplastic lesions were removed, with encephalopathy completely resolved in patient 1. The IQ of the patient improved dramatically over time, an observation that resembled improvement of hepatocerebral degeneration after liver transplant.12 However, the concept of the totality of the type 1 shunt based on computed tomography and MRI has been challenged. Under temporary shunt occlusion from the vena cava side, venography can demonstrate the intrahepatic portal vessels that could not visualized by axial imaging.2,3 Kanazawa and associates have classified the degree of hypoplasia of the intrahepatic portal vein branches as mild, moderate, and severe and recommended radiologic treatment in mild cases and in moderate cases when portal pressure does not rise above 25 mm Hg; the remaining patients were considered to be candidates for gradual shunt closure or liver transplant.3 Interestingly, a rudimentary portal vein was identified intraoperatively in one of the patients in this report. Both patients had large lesions (8 cm and 10 cm), and the healthy parenchyma had been "replaced" by the masses; in addition, the possibility of malignancy in these masses could not be excluded. On retrospective review, we still consider these patients as candidates for liver transplant. However, we agree with Blanc and associates2 that the most effective approach would be "preemptive closure of CPSs [congenital portosystemic shunts, sic] before the development of refractory complications, to avoid liver transplantation."2
Prenatal diagnosis of Abernethy malformation is possible,13 but the necessary expertise is not widely available and the rarity of the lesion may render this approach unsuccessful. On the other hand, although not a direct test, the results of galactosemia screening should alert the physician. Increased galactose levels in the absence of enzyme deficiency may reflect the presence of a significant portosystemic shunt.14
Conclusions
Liver transplant is a curative treatment option for patients with large liver tumors, replacing the hepatic parenchyma in the setting of Abernethy malformation.
References:

Volume : 15
Issue : 2
Pages : 82 - 85
DOI : 10.6002/ect.TOND16.L23
From the Departments of 1General Surgery (Hepatopancreatobiliary Surgery Unit), 2Anesthesiology, 3Pathology, and 4Pediatrics, Istanbul Faculty of Medicine, Istanbul University, Istanbul, Turkey
Acknowledgements: The authors declare that they have no sources of funding for this study, and they have no conflicts of interest to declare.
Corresponding author: İlgin Özden, İstanbul Faculty of Medicine, Department of General Surgery, Hepatopancreatobiliary Surgery Unit, Millet Caddesi-Çapa-Şehremini, Istanbul 34093, Turkey
Phone: +90 532 415 08 87
E-mail: iozden@hotmail.com
Figure 1. Imaging Results of Abdomen in Patient 1
Figure 2. Operative Field After Recipient Hepatectomy in Patient 1
Figure 3. Operative Field After Hepatectomy in Patient 2