The current treatment modalities for patients with hepatocellular carcinoma are discussed in this review. Hepatocellular carcinoma arises in up to 90% of cirrhotic patients, mainly due to chronic viral hepatitis and alcohol abuse. Nearly two-thirds of all patients with hepatocellular carcinoma are diagnosed at advanced stages, thus causing problems with treatment. Regardless of the stage of the disease, interventional radiology offers both curative and palliative treatment options in the management of this disease. Selecting the most appropriate treatment requires an initial staging assessment and detailed clinical and radiologic workup. Treatment allocation is based on liver function, size and number of tumors, macrovascular invasion, and extrahepatic spread of disease.
Key words : Chemoembolization, Liver transplantation, Radioembolization, Radiofrequency ablation
Introduction
Hepatocellular carcinoma (HCC) is one of the most common causes of cancer-related deaths worldwide. Curative treatments include surgical resection and liver transplant. In its earlier stages, surgical treatment (resection or liver transplant) may lead to longer survival, but surgical procedures are reserved for a reduced number of patients because of comorbidities, concomitant complications of liver cirrhosis itself, specific contraindications to liver transplant, and shortages of livers from deceased donors.1 Locoregional therapies are widely used to treat patients with HCC. There are 3 primary interventional radiologic treatment methods for HCC: (1) percutaneous ablative procedures, (2) chemoembolization, and (3) radioembolization.2,3
Pretreatment assessment
The presence of underlying cirrhosis is an essential prerequisite to a noninvasive diagnosis. In a cirrhotic patient, a liver nodule measuring over 10 mm in diameter exhibiting hypervascularization in the arterial phase followed by washout in the portal or late phase on computed tomography or magnetic resonance imaging is suspected to be HCC.4 If the findings on the initial study are not typical for HCC, a biopsy should be performed to establish diagnosis.5
The Barcelona Clinic Liver Cancer (BCLC) classification takes into account cancer characteristics (number and size of nodules, macrovascular invasion, and extrahepatic metastasis), cirrhosis-related variables (liver function and portal hypertension), and general health status of the patients (performance status) (Figure 1). These parameters allow the 5 distinct HCC stages to be associated with different prognosis and specific treatment recommendations to be identified.6 These treatments based on disease stage are listed below.
Percutaneous ablative procedures
Local ablative procedures, which include percutaneous ethanol injection (PEI), microwave coagulation therapy, and radiofrequency ablation (RFA), are liver-directed therapies. Radiofrequency ablation is currently performed widely due to the ease of use, safety, reasonable cost, and applicability to minimally invasive techniques. It is standard therapy for very early and early HCC (stage 0 and stage A of BCLC staging system) in cirrhotic patients who are not suitable for surgical resection or liver transplant.
Transarterial chemoembolization
Transarterial chemoembolization (TACE) is recommended for intermediate-stage HCC (BCLC stage B); however, this group of patients includes those with a broad spectrum of tumors (encapsulated or infiltrating and unifocal or multifocal) and patients with different degrees of liver function. This explains why survival benefits with this treatment vary among patients with intermediate-stage HCC. Careful patient selection is therefore necessary. Transarterial chemoembolization is appropriate for large nonresectable (> 50 mm) or multinodular HCC lesions without vascular invasion or extrahepatic spread.
A subgroup of this treatment is conventional TACE for HCC tissue that does not have associated lymph vessels. These features allow stasis of lipiodol in the sinusoidal or portal vein in or around the HCC lesions. Therapy involving selective infusion into tumor vessels of an anticancer drug/lipiodol mixture and an embolic agent (gelatin sponge) are generally called conventional TACE.
Transarterial radioembolization
Transarterial radioembolization (TARE) is a 2-step procedure: (1) a preparation/simulation phase and (2) a treatment phase. Transarterial radioembolization is a novel treatment using hepatic intra-arterial infusion of radioactive substances such as β-emitting yttrium Y 90 integral to the glass matrix of microspheres or sodium iodine I 131-labeled lipiodol. Published series have shown comparable median survival rates and toxic effects among patients treated with TACE and TARE. First-line TARE is best indicated both for intermediate-stage patients who have lesions that respond poorly to TACE due to multiple tumors or large tumor burden and for patients with locally advanced disease with solitary tumors and segmental or lobar portal vein tumor thrombosis. Transarterial radioembolization is also indicated in patients who are classified beyond Milan criteria for down-staging purposes.
Combination of locoregional treatments
The combination treatment strategy offers both using transarterial and percutaneous procedures. The occlusion of the hepatic arterial flow supplying the HCC lesion is treated with TACE, increasing the ablation volume.
Early-stage disease
The survival of patients with early-stage HCC may reach 50% to 70% at 5 years after resection, liver transplant, or percutaneous treatments.7 Surgical resection is the treatment of choice for noncirrhotic patients with HCC. However, most patients with HCC have underlying cirrhosis; thus, resection is not possible. These patients are at risk for hepatic decompensation if they do not have adequate hepatic reserves. It is important to consider both quality and quantity of the future liver remnant (FLR) after resection. In patients with limited fibrosis, the risk of postoperative morbidity is low if FLR exceeds 30%; however, an FLR of 40% is typically required in patients with cirrhosis.8 In patients with insufficient FLR, portal vein embolization can be a useful way to promote hypertrophy of the unaffected hepatic lobe.5
Liver transplant not only removes the HCC nodules but also corrects the underlying liver disease. According to Milan criteria, patients are eligible for liver transplant if they have a single HCC < 5 cm in diameter or no more than 3 tumors < 3 cm in diameter.9 In addition, living-donor liver transplant is an excellent treatment for early HCC because deceased-donor liver transplant is limited because of shortages of grafts. An alternative approach to expanding transplant criteria is down-staging tumors to Milan criteria using TACE, TARE, or percutaneous ablation.10
Percutaneous ablation
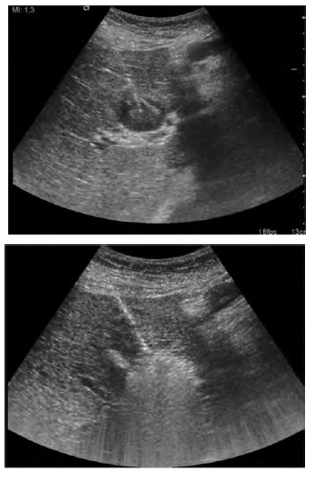
Percutaneous ablation is the best alternative for patients with early-stage HCC who are not eligible for resection or transplant procedures.5 Tumor ablation is achieved by modifying the temperature of neoplastic cells (radiofrequency, microwave, laser, and cryoablation) or by using chemical substances (alcohol, acetic acid).7 The most common techniques are RFA and PEI. Radiofrequency ablation achieves higher rates of complete tumor ablation than PEI. Recurrence rate is higher with PEI treatment. Radiofrequency ablation significantly improves survival and reduces local recurrence compared with PEI, supporting the use of RFA as first-line treatment in patients with small HCC lesions (< 3 cm) and who have well-preserved hepatic function (Figure 2). Percutaneous ethanol injection should be reserved for cases in which RFA is not technically possible (pericholecystic lesions or lesions near the hepatic hilum).11
For patients with intermediate-stage HCC, TACE is the standard treatment; however, radioembolization also has a role in treatment. The liver receives blood from the portal vein and hepatic artery at a ratio of 3:1 in the normal liver. Those with HCC receive blood flow through the hepatic artery only and do not depend on portal vein blood flow. Transarterial chemoembolization involves selective delivery of intra-arterial chemotherapy into the tumor, followed by embolization with a goal of inducing tissue necrosis. Transarterial chemoembolization results in a significantly prolonged 2-year survival of 63% versus 27% with supportive care.3,12 Superselective TACE for HCC has been shown to result in overall median survival of 3.3 years and 5-year survival rate of 34%. Transarterial chemoembolization has also resulted in higher survival rates in patients with fewer tumor numbers, smaller tumor size, and better liver function.13 Adverse effects associated with TACE include nausea and vomiting, bone marrow aplasia, renal failure, and the potential for cardiac toxicity. Fever after TACE is usually due to postembolization syndrome, which is reflective of tumor necrosis, acute cytokine release, and systemic exposure to chemotherapeutic agents. The most important contraindications for TACE are the absence of portal flow due to portal vein thrombosis, hepatofugal flow, or portosystemic anastomosis. Patients with Child-Pugh C score, some patients with Child-Pugh B score, patients who are BCLC stage D, and patients with clinical symptoms of end-stage cancer should also be excluded, as the ischemic insult can lead to severe and even fatal adverse events.14
A number of factors have been correlated with effective post-TACE response. These include tumor diameter < 5 cm, < 50% replacement of liver by tumor tissue, and unilobar tumor. Other prognostic factors include the alpha-fetoprotein level, differentiation of HCC, number of tumor nodules, portal vein thrombosis, presence of tumor capsule, and degree of lipiodol retention postprocedure.5,10,15 Drug-eluting beads are microspheres that can be loaded with chemotherapeutic agents and used for TACE. Drug-eluting beads produce controlled, sustained release of chemotherapy at decreased peak plasma levels within the systemic circulation (Figure 3). A randomized clinical trial among 212 patients with intermediate-stage HCC found that TACE with drug-eluting beads resulted in similar response rates to conventional TACE (27% vs 22% complete response and 25% vs 21% partial response) and similar treatment-related serious adverse effects.16
Radioembolization
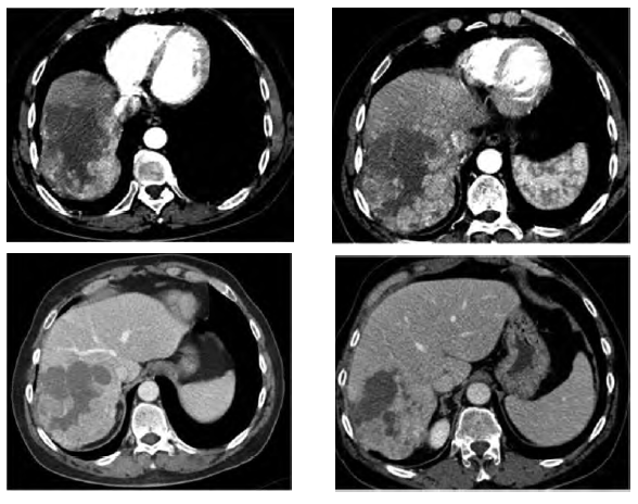
Radioembolization is also based on the arterial vascularization of the HCC and involves injection of micron-sized embolic particles with a radioisotope, yttrium Y 90, into the hepatic artery. The intra-arterial radioactive compounds have the ability to deliver high doses of radiation to small target volumes and have a relatively low-toxicity profile. First-line TARE is indicated for intermediate-stage patients who have lesions that respond poorly to TACE due to multiple tumors or a large tumor burden, locally advanced-stage patients with solitary tumors, and those with segmental or lobar portal vein tumor thrombosis.17 Preparatory angiography is necessary before injection of the radioactive particles into the right or left hepatic artery, depending on the site of the tumor. Embolization of the any extrahepatic branch is conducted to avoid dispersion of microspheres to duodenum, stomach, or other nontargeted organs, and then macroaggregates of albumin labeled with technetium Tc 99 are injected. The diffusion of these particles is studied by a single photon emission computed tomography18 (Figure 4). A single-center prospective cohort study of 291 patients treated with TARE found a complete response rate of 23% and a partial response rate of 34%. Median survival was 17.2 months in patients with Child-Pugh A and 7.7 months in patients with Child-Pugh B. Transarterial radioembolization was better tolerated, with significantly lower rates of abdominal pain and elevated liver enzymes (Figure 5). Although there was a trend toward higher response rates with TARE than TACE (49% vs 36%; P = .10), median survival was not significantly different (20.5 vs 17.4 mo; P = .23).19
Conclusion
Hepatocellular carcinoma is currently the leading cause of death in patients with liver cirrhosis. Tumor staging and treatment planning are often based on the Barcelona Clinic Liver Cancer staging system. The mainstays of treatment of HCC are surgery, radiological approach, and systemic drugs. Regardless of the stage of the disease, different interventional radiological treatment options are available for the patients.
References:

Volume : 15
Issue : 2
Pages : 25 - 30
DOI : 10.6002/ect.TOND16.L8
From the Department of Interventional Radiology, Baskent University, Ankara, Turkey
Acknowledgements: The author has no sources of funding for this study and no conflicts of interest to declare.
Corresponding author: Fatih Boyvat, Department of Interventional Radiology, Baskent University, Ankara, Turkey
Phone: +90 312 203 6868
E-mail: boyvatf@yahoo.com
Figure 1. Changes in Composition of Overweight and Obese Patients as a Function of Years From Surgery Comparing Body Mass Index Before Surgery and at Point of Initial Study Contact Before Any Diet or Nutrition Counseling
Figure 2. Percutaneous Radiofrequency Ablation of HCC Lesion
Figure 3. Hypervascular Hepatocellular Carcinoma Lesion in the Right Lobe of Liver
Figure 4. Hypervascular Multiple Hepatocellular Carcinoma Lesions in the Right Lobe of Liver
Figure 5. Computed Tomography Showing Hypervascular Irregular and Large Hepatocellular Carcinoma Lesion (top panels) and Stable Lesion for 2 Years After 1 Session of Chemoembolization and Radioembolization (bottom panels)