Dicrocoelium dentriticum, a member of trematode type helminths, is a liver parasite of ruminants. Humans are infected accidentally by ingestion of intermediate host, through infected ants via eating of raw vegetables or drinking of contaminated water. Infection is often asymptomatic or results in subtle symptoms; therefore, infections are usually unrecognized. However, it can produce chronic cholangitis and swelling or adenomatous proliferation in the bile ducts and lead to abdominal pain, diarrhea, fatigue, jaundice, and other symptoms. We report a 49-year-old female patient with end-stage hepatic cirrhosis from viral hepatitis B and D coinfection who underwent liver transplant. Shortly after transplant, she developed symptoms suggesting an obstructed biliary duct. Liver needle biopsy was done 24 hours after transplant to rule out rejection. Biopsy of her explanted liver was also examined pathologically. Microscopic examination of the liver needle biopsy ruled out rejection. Prepared sections of explanted liver revealed a helminth in the common bile duct. Morphologic reconstruction of helminth by microscopic findings and consultation with an expert parasitologist supported the diagnosis of Dicrocoelium dentriticum.
Key words : Cholangitis, Dicrocoeliasis, Parasite, Transplantation
Introduction
Dicrocoelium dentriticum is a member of hermaphroditic liver trematodes and is distributed worldwide.1 Adult forms live in the gallbladder and bile ducts of definite hosts. Ruminants are the usual hosts for Dicrocoelium dentriticum. During the life cycle, the embryonated eggs are shed in the definitive host’s feces. The eggs are ingested by snails as a first intermediate host. Ants, the second intermediate host, are infected by eating the snails’ slime balls.2 True infection of livestock, and occasionally humans, is the result of ingestion of live metacercaria-carrying ants on grass, herbs, fruits, vegetables, and water.3
Once ingested by mammals, metacercaria excyst in the duodenum, and immature flukes migrate up to the biliary duct system without penetrating to the gut wall, liver capsule, and liver parenchyma as seen with fascioliasis. In humans, even heavy infection with Dicrocoelium dentriticum is usually asymptomatic; however, diarrhea, flatulence, biliary obstruction, cholangitis, and acute urticaria may develop.4,5 Spurious infection with Dicrocoelium dentriticum seems to have a higher frequency and predominantly is due to eating of undercooked infected liver of animals.6 The diagnosis of true human infection is made by finding eggs in the stool. It is essential that patients maintain a liver-free diet for at least 3 days to rule out spurious infection.1 Iran has been included among countries known to have a serious problem with trematodes, including fascioliasis and dicrocoeliosis, as listed by the World Health Organization.7 Dicrocoelium dentriticum infection has also been reported in our country among people with gastrointestinal disorders.8
Case Report
We report a 49-year-old female patient with end-stage hepatic cirrhosis due to viral chronic hepatitis B and D coinfection. She presented with pruritus in addition to hypoglycemic attack, abdominal pain, and mild icterus. All symptoms suggested hepatic insufficiency. Shortly after transplant, obstructive biliary signs such as direct hyperbilirubinemia, moderate rise in serum aminotransferase levels, and fever appeared. Liver core needle biopsy was done 24 hours after transplant to rule out rejection. In addition, we examined the explanted liver in our pathology laboratory.
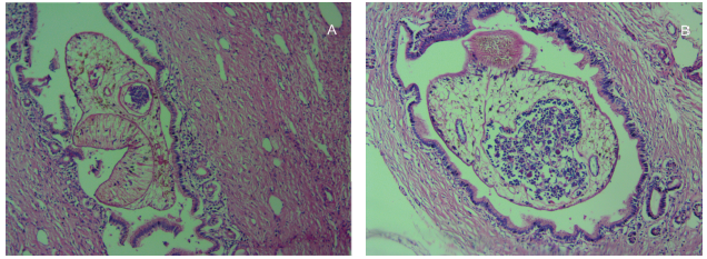
The explanted liver had an irregular bosselated surface, measuring 24 × 16 × 10 cm and weighing 1029 g. Cut sections revealed multiple nodules measuring from 0.2 cm to 1.4 cm at greatest dimension. Hilar biliary ducts were slightly dilated. Cholecystectomy was done for the patient 25 years previously due to symptomatic chronic cholecystitis. Microscopic examination of liver needle biopsy ruled out rejection. Prepared sections of explanted liver showed active cirrhosis with large cell changes. Sections of hilar bile ducts revealed marked periductular fibrosis and intraductal helminths structures. Morphologic reconstruction of helminths by microscopic findings and consultation with an expert parasitologist (Figure 1) supported the diagnosis of Dicrocoelium dentriticum. The patient’s triple consecutive stool examination showed no presence of parasite ova.
Praziquantel (40 mg/kg at 3 times per day) and albendazole (400 mg at twice per day) were administered to the patient, who showed dramatic clinical improvement. After 1 month, the patient was discharged from the hospital with no symptoms. At the 5-year posttransplant follow-up, the patient was symptom free and under optimum control. No parasites were identified in stool examination. Liver function tests including bilirubin were within normal ranges.
Discussion
Adult trematodes, or flukes, which are members of the phylum Platyhelminthes, may be found in the intestinal tract, bile ducts, lungs, or blood of humans as a definitive or intermediate host. In some situations, humans enter in a transmission cycle accidentally. The presence of trematode parasites in the body does not mean presence of disease. In general, trematodes do not multiply in humans, and the presence of few organisms is usually tolerated with minimum discomfort and often remains undetected.1,9
Dicrocoelium dentriticum, also named “small liver fluke” or “lancet fluke,” belongs to the Dicrocoeliidae family, which is a parasite of bile ducts and gallbladders of sheep and other herbivores. Adult worms are flat and lancet-shaped, measuring 5 to 15 mm × 1.5 to 2.5 mm.9 During its life cycle, first, eggs are shed in the feces of the definitive host (ie, ruminants or rarely humans). Second, the eggs are ingested by snails, as a first intermediate host. Hatched metacercariae transform to mother sporocysts. Sporocysts migrate to snail digestive glands and excrete in the snail’s slime ball. Ants, as a second intermediate host, infect by ingesting the snail’s slime ball. Next, an ant is eaten by the definitive host, and the metacercariae excyst in the small intestine. The worms migrate to the bile ducts. Humans can serve as definitive host after accidental ingestion of infected ants.10
Compared with fascioliasis, Dicrocoelium dentriticum produce mild symptoms in infected animals and humans.11 Spurious infection, which is not uncommon, occurs by ingestion of undercooked infected animal liver. Spurious infection is determined as presence of Dicrocoelium eggs in the stool in the absence of adult worms in the body. Diagnosis is made with repeat stool examination after 3 days of liver-free diet.6,7
Dicrocoeliasis is reported in many parts of the world, such as Asia, Africa, Europe, Canada, and North America, in livestock. Consequently, there have been few cases of true human infection with a variety of symptoms.10
Cengiz and associates reported a case of a 21-year-old male patient with right upper quadrant abdominal pain, weight loss, chronic relapsing watery diarrhea, and slightly elevated serum levels of alkaline phosphatase, alanine aminotransferases, aspartate aminotransferase, and immunoglobulin E. The group documented Dicrocoelium dentriticum infection by finding parasite eggs in examined stool after a 3-day liver-free diet.5 Karadag and associates reported a 65-year-old female patient with biliary obstruction symptoms and dilated bile duct. Imaging showed spontaneously mobile echogenic structures. Stool examination showed Dicrocoelium dentriticum eggs.12 Soyer and associates also introduced a 12-year-old girl with right upper quadrant abdominal pain and diarrhea associated with peripheral eosinophilia.
She tolerated cholecystectomy with diagnosis of cholecystitis. Pathologic examination revealed calcified larvae of Dicrocoelium dentriticum and accompanying eosinophil-rich inflammation in gallbladder. Her stool examination was devoid of parasite eggs. The group proposed consideration of helminth infection as a cause of cholecystitis in children in endemic areas.13 In addition, triple worm infestation in a human immunodeficiency virus-infected patient, which included Dicrocoelium dentriticum, was reported by Sammet and associates, with infection verified by stool examination.14
Iran, as the most important focus of human disease in Asia, has been included by the World Health Organization among 6 countries known to have a serious problem with fascioliasis. In addition, a high prevalence of Dicrocoelium dentriticum infection among domestic animals in Iran has also been documented; therefore, presence of true human infection is expected. Ashrafi and associates reported 2 cases of dicrocoeliasis in north Iran who had heartburn, flatulence, borborygmus, and abdominal pain. Stool examinations after 3 days of liver-free diet revealed Dicrocoelium dentriticum eggs. Liver function tests and imaging of hepatobiliary system were unremarkable.15 Zali and associates investigated the prevalence of parasitic pathogens among human immunodeficiency virus-positive individuals in Iran and reported 1 case of true Dicrocoelium dentriticum infection besides other parasitic pathogens.16
Discrimination between true and pseudoinfection is important for care of patients. The patients must be on a liver-free diet for 3 days, and then a coprologic test for identification of parasite eggs is done. Microscopic examining of stool, bile, or duodenal fluid for eggs is the criterion standard diagnostic tool; however, molecular techniques are also recommended.17
In conclusion, in endemic areas, true infection with Dicrocoelium dentriticum must be considered by clinicians, especially in immunocompromised patients such as our patient who was a recipient of liver transplant.
References:

Volume : 15
Issue : 1
Pages : 178 - 181
DOI : 10.6002/ect.mesot2016.P62
From the Pathology Department, Cancer Research Institute, Liver Transplant
Research Center, Tehran University of Medical Sciences, Tehran, Iran
Acknowledgements: The authors declare that they have no sources of funding for
this study, and they have no conflicts of interest to declare. The authors would
like to thank Dr. Iraj Mobedi the parasitologist of school of health of TUMS for
his valuable comments regarding the morphologic features of the identified
parasite.
Corresponding author: Behnaz Jahanbin, PO Box 1419733141, Keshavarz Boulevard,
Imam Khomeini Hospital Complex, Cancer Research Institute, Department of
Pathology, Tehran, Iran
Phone: +98 21 6692 3557
E-mail: b-jahanbin@sina.tums.ac.ir
Figure 1. Presence of Adult Dicrocoelium Worm in Bile Duct Showing (A) Head and (B) Body