Objectives: Brain tumors are the most challenging causes of brain deaths due to the lack of pathology results in many cases. It is not uncommon to find a brain tumor in a brain-dead patient with no pathology results or neuroradiology reports available; this would exclude the deceased from organ donation. The mortality that occurs while patients are on transplant wait lists motivated us to find a solution to prevent losing brain-dead patients as potential donors. We present our experiences in autopsy examinations of brain tumors and the results of frozen-section pathology.
Materials and Methods: We performed autopsy examinations of 8 brain-dead patients who were suspected of having highly malignant brain tumors and in whom there were no pathology or radiology reports available. The autopsy process began at the conclusion of organ retrieval. First, we performed a complete brain dissection; the tumor was then removed with its adjacent brain tissue and sent for examination by an expert pathologist. Organ transplant was deferred until the pathology examination was completed.
Results: Organ transplant was cancelled if the frozen sections revealed a high-grade tumor. For all other results, the transplant was performed. If a medulloblastoma was confirmed, only the heart was transplanted. The duration of the delay for pathologic examination was 30 to 45 minutes. A total of 21 organs were donated that would otherwise have been rejected.
Conclusions: It is worth performing an autopsy and frozen-section pathology examination to prevent losing potential organs from donors with brain tumors who are suspected of having a high-grade neoplasm but have no pathology or neuroradiology reports.
This process is simple and has the potential to save lives.
Key words : Organ donation, Transplant
Introduction
An important complication of transplant is transmission of cancer from donor to recipient.1-3 One of the controversial issues in organ donation from brain death are cases in which cause of brain death is either due to brain tumors or, although brain death has occurred due to other reasons, the deceased has brain tumors as well. Because there is no pathologic diagnosis in many patients, there is the potential for error if the decision is made based on neuroradiology reports describing the tumor type and grade. A decedent with a presumed high-grade tumor will therefore not be considered for organ donation, and a decedent with a presumed low-grade tumor would be considered. Although organ donation from brain-dead patients with high-grade tumors is possible, the decision must be made carefully, and the organ recipient must be informed. According to the recommendations of the United Network for Organ Sharing, there is a low risk of transmission (0.1%-1%) with low-grade central nervous system (CNS) tumors (World Health Organization [WHO] grade I or II). In contrast, there is a high risk (> 10%) of transmission with CNS tumors of WHO grade III or IV, any CNS tumor in a patient with a ventriculoperitoneal or ventriculoatrial shunt, surgery other than an uncomplicated biopsy or postirradiation status, or a CNS tumor displaying a metastasis outside the CNS.4
We report 8 instances of brain death caused by brain tumors in patients with no previous pathologic diagnosis.
Materials and Methods
Between March 2015 and July 2016, 8 patients experienced brain death caused by a single brain tumor without a pathologic diagnosis. All were reported by neuroradiologists as malignant tumors with high-grade behavior. After clamping the aorta, we performed a brain autopsy in the operating room using a full skull incision. After opening the brain from the center and finding the tumor, the mass with its surrounding tissue was sent for pathologic frozen-section diagnosis. While the pathologic examination was in progress, suitable organs for donation were removed; continuation of the process of donation was contingent on the pathologic diagnosis.
Results
The patients were 7 women and 1 man. The average age of the women was 35 years (range, 15-52 years), and the man was 37 years of age. In 3 patients, brain death occurred from hemorrhage caused by the brain tumor (or suspected to result from the brain tumor); in the 5 others, the cause of death was brain edema with shift. The neuroradiology report for 7 patients listed a high-grade tumor; in 1 patient, the report described a suspected tumor with bleeding. The response time for frozen section ranged from 20 to 60 minutes (mean, 40 min).
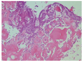
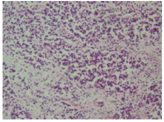
In 5 patients, the frozen section was only able to determine the tumor grade, and the type of tumor was contingent on full pathologic examination with sample staining. Of these 5 patients, 1 had a high-grade tumor and 4 had a low-grade lesion. Organ donation was not performed for the patient with the high-grade tumor. In the other 4, organ donation was performed after the final pathology report was received. In 3 frozen-section reports, the type of tumor was diagnosed accurately: these included 1 medulloblastoma (Figure 1), 1 meningioma, and 1 patient with a subarachnoid hemorrhage but no tumor. The final pathology report for the 5 patients that only received a grade during frozen section was meningioma in 1 patient, craniopharyngioma in 1 patient (Figure 2), astrocytoma in 2 patients, and neurofibroma in 1 patient.
Discussion
According to the WHO classification system, the risk of tumor transmission from brain-dead donors with brain tumors to graft recipients is divided into 4 classes: (1) high risk of transmission (over 10%), (2) medium risk of transmission (2%-10%), (3) low risk of transmission (1%-2%), and (4) slight risk of transmission (less than 1%).5,6 In the United States, approximately 17 000 patients are diagnosed annually with malignant primary brain tumors.7 According to data from the United Network for Organ Sharing, between 1992 and 2005, a total of 1039 donors had either a past history of CNS tumor or a cause of death recorded as a CNS tumor.8,9 Only a single donor with an active glioblastoma multiforme was confirmed to have transmitted fatal tumors to 3 separate recipients (kidney, liver, and lung).10
In a retrospective review from 1992 to 2006, a total of 42 liver donors were diagnosed with a CNS tumor. Twenty (47.6%) of the CNS tumors were glioblastoma multiforme (astrocytoma grade IV), 11 (26.2%) were other astrocytomas, and 1 (2.4%) was an anaplastic ependymoma. Twenty neoplasms (62.5%) were grade IV tumors, 8 (25%) were grade II tumors, and 4 (12.5%) were grade III tumors. Over 80% of patients had at least 1 invasive procedure violating the blood-brain barrier, but there was no difference in survival between recipients of grafts from donors with or without CNS tumors. The authors concluded that grafts from donors with CNS tumors can be used, particularly in recipients with a high risk of mortality.11
The only absolute contraindications for organ donation from patients with brain tumors are metastatic primary brain tumors and lymphoma. In tumors with a high transmission risk, the decision to donate is made based on the status of the recipient on the wait list and the assessment of the risk ratio between transmission and patient death without transplant. A history of craniotomy or shunt implantation increases the risk of transmission. In addition, a history of chemotherapy and radiotherapy are contraindications to donation. In general, organ donation from a brain-dead patient with a high-grade tumor, especially if there is a history of surgical manipulation, is not recommended unless the recipient is at risk of dying without the transplant. In this case, the donation might be possible after informing the recipient and their family and obtaining consent. In other situations, organ donation is possible, but not all patients with brain death caused by a brain tumor have a pathology report available, and neuroradiology reports are not always reliable.
In patients with brain death caused by a brain tumor, we encounter 4 statuses: (1) a pathologic diagnosis of the brain tumor is available, (2) a pathologic diagnosis of the brain tumor is not available, (3) the patient has a long history of brain tumor and pathologic diagnosis of a previous tumor is available, but the recurrent tumor has no pathologic diagnosis and there is a possibility of a tumor with different behavior, and (4) a pathologic result is available, but it is based on needle-biopsy samples and is not highly reliable. It may be difficult to make a decision in statuses 2, 3, and 4. In these cases, the next step is to review the neuroradiology report, which may have 4 types: (1) there is radiologic evidence of high-grade malignancy, (2) the tumor grade (or benign status) cannot be determined, (3) the presence of a tumor cannot be confirmed with certainty, and (4) there is radiologic evidence of low-grade malignancy or benign status.
In neuroradiology statuses 1, 2, and 3, we have 2 choices: either excluding donation or maintaining a chance for donation by performing an autopsy and preparing pathologic specimens to make a more accurate decision for donation. Our strategy for the 8 patients reported in this study was the second. For 7 of 8 patients, despite a neuroradiology report describing high-grade malignancy or uncertainty, organ donation was performed successfully. Because patients on transplant wait lists are at risk for death and because there is a shortage of organs, patients with brain death caused by brain tumors that were initially diagnosed as high grade can be considered for organ donation. Pathologic samples can be prepared while harvesting organs to achieve certainty in the donation decision-making.
References:

Volume : 15
Issue : 1
Pages : 113 - 115
DOI : 10.6002/ect.mesot2016.O110
From the 1Department of Thoracic Surgery and the 2Organ Procurement Unit, Lung
Transplantation Research Center, Masih Daneshvari Hospital, Shahid Beheshti
University of Medical Sciences, Tehran, Iran; and the 3Department of Pathology,
Chronic Respiratory Research Center, Masih Daneshvari Hospital, Shahid Beheshti
University of Medical Sciences, Tehran, Iran
Acknowledgements: The authors have no financial disclosures and have no
conflicts of interest to disclose. We thank the Pathology Department of Masih
Daneshvari Hospital for excellent cooperation.
Corresponding author: Farahnaz Sadegh Beigee, Department of Thoracic Surgery,
Organ Procurement Unit, Lung Transplantation Research Center, Masih Daneshvari
Hospital, Shahid Beheshti University of Medical Sciences, Tehran, Iran
Phone: +98 21 2712 2103
E-mail: beigeef@hotmail.com
Figure 1. Medulloblastoma
Figure 2. Craniopharyngioma