Objectives: Although the incidence of bile stones after liver transplant is rare (2%-6%), various complications can occur, including recurrent cholangitis, biliary strictures, graft loss, and patient mortality.
Materials and Methods: We retrospectively evaluated bile stone incidence, pathogenesis, and treatment in 352 liver transplant recipients, comparing demographics, transplant indication, blood lipid profile, bile reconstruction technique, postoperative complications, time of diagnosis, and treatment regimens.
Results: Of 352 recipients, 18 had bile stones, with 13 of these patients (72.2%) receiving duct-to-duct bile reconstruction, 17 having biliary complications before bile stone development, 7 (38.9%) having biliary stricture, 6 (33.3%) having biliary leakage, 4 (22.2%) having biliary strictures secondary to biliary leakage, and 7 (38.9%) having hepatic artery complications early posttransplant. Previous biliary complications and recurrent cholangitis significantly increased bile stones. Incidence in patients with triglyceride levels > 250 mg/dL was significantly different from those with levels at < 250 mg/dL. Cold ischemia time was significant in those with and without bile stones (P = .001). Three patients (16%) were treated by endoscopic tools, with others (15/18, 84%) treated via percutaneous procedures.
Conclusions: Bile stone risk can be greater in those with previous biliary complications, hepatic artery problems, long cold ischemia time, and high cholesterol levels. It can be successfully treated by endoscopic and percutaneous techniques.
Key words : Biliary complications, Cholangitis, Treatment options
Introduction
Although the incidence of bile stones after liver transplant (LT) is rare (2%-6%), it causes various complications such as recurrent cholangitis, biliary strictures, secondary biliary cirrhosis, sepsis, graft loss, and patient mortality.1
The pathogenesis of bile stones after LT has not yet been clarified, but it is thought to be multifactorial. Many variables like biliary strictures after LT, ischemia-reperfusion injury, hepatic arterial thrombosis, and long cold ischemia periods are possible predisposing factors for bile stones.2 In addition, immunosuppressive drugs that inhibit bile acid synthesis (such as cyclosporine), hyperlipidemia, and hypercholesterolemia increase bile stone formation.3-5
Ultrasonography is usually insufficient in bile stone diagnosis. Endoscopic retrograde cholangiopancreatography and percutaneous transhepatic cholangiography are noninvasive techniques that can be used for both diagnosis and treatment of bile stones.1
More systematic and careful observation and treatment options are required for bile stones after LT because bile stones can cause graft loss and even patient mortality. In this study, we evaluated the incidence, pathogenesis, and treatment of bile stones after LT.
Materials and Methods
Between December 8, 1988 and December 31, 2015, our group performed 512 LT procedures to 492 patients in our centers. We excluded patients with early postoperative mortality, patients with insufficient data records, and patients who had transplant the previous year so that we could have a reasonable follow-up for development of de novo bile stones. We retrospectively evaluated demographic features (sex, age, body mass index, LT indication, immunosuppressive regimen, and blood lipid profile), bile reconstruction technique, postoperative complications, time of bile stone diagnosis, treatment modalities, and cold and warm ischemia time of grafts.
Biliary reconstruction technique (duct-to-duct or hepaticojejunostomy) was chosen according to cause of liver failure and diameter and length of bile ducts. Treatment with low-dose prednisolone (1 mg/kg), tacrolimus (0.1 mg/kg), or cyclosporine (5 mg/kg) or mycophenolate sodium or mycophenolate mofetil (30 mg/kg) was initiated for immunosuppression. We continued 3 to 5 mg/kg/day prednisolone for the first 7 days. Heparin infusion was initiated during the early postoperative period, and the dose was regulated by activated partial thromboplastin time. For the first 7 days, Doppler ultrasonography and liver function monitoring were performed twice per day. Three days after transplant, we started ursodeoxycholic acid to all LT patients. After discharge, patients continued with routine liver function tests and Doppler ultrasonography. For patients with biliary complications (eg, acute cholangitis, biliary dilatations), further therapeutic tools, such as magnetic resonance cholangiopancreatography or percutaneous transhepatic cholangiography, were used.
Statistical analyses
Statistical analyses were performed by using SPSS software (Statistical Package
for the Social Sciences, version 11.0, SSPS Inc, Chicago, IL, USA). Normality of
data was analyzed by using a Kolmogorov-Smirnov test. All numeric variables with
normal distribution were expressed as means ± standard deviations, whereas
variables with skew distribution were expressed as medians and interquartile
range. Categorical variables were expressed as percentages and compared by
chi-square tests. Normally distributed numeric variables were analyzed by
independent sample t tests, whereas skew-distributed numeric variables were
compared with the use of Mann-Whitney U tests. Binominal regression analysis was
done for determining main predictors of development of choledocholithiasis. P <
.05 was considered statistically significant.
Results
We retrospectively evaluated 352 LT patients, with 169 (48.1%) being adult patients and 183 (51.9%) being pediatric patients. Of 352 recipients, 300 had living-donor LT (129 adult, 171 pediatric) and 52 had deceased-donor LT (42 adult, 12 pediatric). All patients were ABO compatible. University of Wisconsin solution was used for perfusion in all transplant procedures. In Table 1, demographic data, cause of liver disease, bile reconstruction technique, immunosuppression protocol, and hepatic artery and biliary complications are given.
We diagnosed bile stones in 18 LT patients (5.1%; 11 adult and 7 pediatric patients). Six of these patients had deceased-donor LT; mean cold ischemia time of the grafts was 9.4 hours. In those with living-donor LT, we used 8 right lobes (8/18, 44.5%) and 4 left lateral segments (4/18, 22.2%) as liver grafts. In these 18 patients, 13 (72.2%) had duct-to-duct procedures for bile reconstruction. Seventeen of 18 patients with bile stones had previous biliary complications: 7 (38.9%) with biliary stricture, 6 (33.3%) with biliary leakage, and 4 (22.2%) with biliary strictures secondary to biliary leakage. One patient (5.6%) had no previous biliary complication. We found that 17 patients (44.4%) of the 18 with bile stones had previous endoscopic or interventional biliary procedures. Seven patients (38.9%) had hepatic artery complications during the early postoperative period.
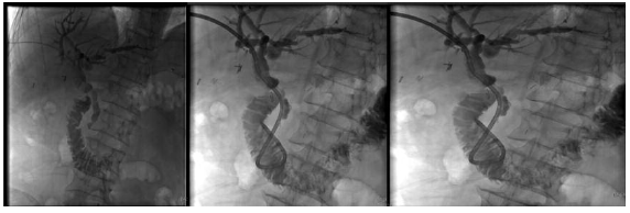
Doppler ultrasonography allowed diagnoses of biliary dilatation in 12 LT patients with bile stones. Five patients with normal ultrasonography findings had intrahepatic dilatation and filling defect in the major bile duct diagnosed by magnetic resonance cholangiopancreatography, and one patient was diagnosed by interventional radiology. Nine patients with bile stones had endoscopic retrograde cholangiopancreatography first, with 5 of these patients having a successful procedure (Figure 1). The remaining 4 patients required bile duct casts and stones cleared by percutaneous transhepatic cholangiography (basket catheter or balloon dilatations) (Figure 2). The percutaneous transhepatic cholangiography procedures were repeated in 10 patients every 3 weeks. With these treatments, all patients recovered, showing normal radiologic, clinical, and laboratory findings. One patient lost graft function as a result of recurrent biliary complications and cholangitis. No patients died as a result of bile stones.
All LT patients with bile stones had recurrent cholangitis. However, 95 patients (28.4%) of 334 without bile stones also had recurrent cholangitis (P = .001). Previous biliary stricture at anastomosis was shown in 11 patients with bile stones (11/18, 61.1%) and 72 patients without bile stones (72/334, 21.5%; P = .001). Previous biliary leakage was shown in 10 patients with bile stones (10/18, 55.5%) and 31 patients without bile stones (59/334, 17.6%; P = .18). Previous biliary complications and recurrent cholangitis significantly increased incidence of bile stones in LT patients.
We also found a significant difference between patients with triglyceride levels higher than 250 mg/dL and patients with triglyceride levels lower than 250 mg/dL (P = .001). In addition, as shown in Table 2, incidence of bile stones was high in patients with high cholesterol levels (> 200 mg/dL; P = .001).
In our 352 evaluated patients, 52 (14.7%) received whole transplants, 127 (36.1%) received right lobes, 74 (21%) received left lobes, and 99 (28.2%) received left lateral segments as liver grafts. No significant differences were shown in bile stone incidence between types of transplanted graft. In addition, there was no significant difference between patients who received deceased-donor and patients who received living-donor LT (6/52 vs 12/300; P = .239) regarding incidence of bile stones. However, as shown in Table 3, cold ischemia was found to be a significant risk factor for bile stones (P = .001).
Seven of 71 LT patients with hepatic artery complication had bile stones during follow-up. Compared with LT patients without hepatic artery problems, a hepatic artery complication was found to be a risk factor for bile stones. When we compared age, sex, anhepatic phase, comorbid disease, bile reconstruction type, immunosuppressive regimen, and cause of liver disease, we found no statistically significant difference between patients with and without bile stones.
Discussion
The presence of bile stones, including casts and debris formation, is the third most common biliary complication after LT, with a reported incidence of 2% to 6%.1,6 In our study, incidence of bile stones was 5.1%, similar to the literature. There are many inflammatory, physical, and metabolic predisposing factors for bile stone formation. All factors that increase bile viscosity and decrease bile flow can cause bile stones. Decreased bile flow is the main determinant leading to formation of bile stones.
Shah and associates7 reported that ischemic injury and coexistence of biliary stricture that decreased bile flow are independent risk factors for bile cast and bile stone formation. Presence of bile duct pathology, cholesterol levels higher than 200 mg/dL, and triglyceride levels higher than 150 mg/dL are reported to be risk factors for bile stones.7 In our study, 94% of patients with bile stones had biliary stricture or biliary leakage and 38.9% had hepatic artery complication. In addition, all had high blood cholesterol and triglyceride levels and long cold ischemia time.
Bile stones have been reported to be seen 600 days after LT. In our center, we diagnosed biles stones as early as 360 days and as late as 95 months after LT. In previous reports, ursodeoxycholic acid was shown to decrease bile stone formation.7 However, all of our patients with bile stones were receiving ursodeoxycholic acid treatment. Recurrent cholangitis and biliary interventions deteriorate bile viscosity, damage bile ducts, and cause bile stones. Rosmorduc and associates8 confirmed that bile stone incidence is high in patients with recurrent cholangitis and repeated biliary interventions. We had significantly more incidence of recurrent cholangitis in our patients with bile stones than in our patients without bile stones (100% vs 28.4%; P = .001). In our patient group with bile stones, 21% had endoscopic retrograde cholangiopancreatography, with the remainder having repeated percutaneous transhepatic procedures. One patient lost graft function, necessitating retransplant. No patients died as a result of bile stones.
Early diagnosis and treatment of bile stones are crucial for patient and graft survival. A high serum bilirubin level is the first finding of bile stones. Doppler ultrasonography is an easy and the primary diagnostic tool for bile stones in LT patients. However, in 50% of patients, it is insufficient for diagnosis.9 Magnetic resonance cholangiopancreatography is noninvasive and more sensitive in differential diagnosis of stones, casts, and debris.10 It is difficult to differentiate small aggregated stones, debris, and hematoma in patients with biliary stents. In our study, we diagnosed bile stones with Doppler ultrasonography in 66.6% of our patients. Because it is noninvasive, easy to use, and inexpensive, it should be the first choice for diagnosis. When bile stones are suspected but ultrasonography findings are normal, magnetic resonance cholangiopancreatography should be used to confirm diagnosis.
Girometti and associates11 showed that cold ischemia time is an important predisposing factor for biliary complications after LT. Extended cold ischemia time causes bile duct epithelium damage and biliary stricture.11 We found that, with longer cold ischemia time, incidence of bile stones was higher in our deceased-donor LT recipients (P = .001). Endoscopic tools are safe and efficient in treatment of bile stone patients with duct-to-duct anastomosis. Endoscopic balloon dilatation should be preferred versus sphincterotomy because it preserves function of the Oddi sphincter. Herein, the aim is to avoid further infection. Percutaneous transhepatic procedures can be selected for patients with bile stones with Roux-en-Y hepaticojejunostomy or failed endoscopic tools. Because intrahepatic casts or stones are soft and sticky, it is hard to treat them with endoscopic retrograde cholangiopancreatography; therefore, repeated percutaneous therapy may be needed.
Morbidity has been shown in up to 30% of LT patient with bile stones.12 Therefore, the primary strategy should be prevention. It is important to avoid biliary infections for graft and patient survival. Selective intestinal decontamination, preemptive antibiotic therapy, and antifungal and antiviral therapies decrease biliary infections after LT. Early enteral feeding decreases bacterial translocation and provides early cessation of parenteral nutrition that causes bile stones. The critical point is the prevention of bile duct ischemia to prevent all biliary complications. Hydrophobic bile salts have been shown to lead to bile epithelium injury.13 Perfusion through the bile duct with cold perfusion solution decreases ischemic injury and decreases the metabolic need of bile epithelium, thus decreasing bile stone formation. Ursodeoxycholic acid therapy after LT increases expression of transport proteins on hepatocyte canalicular membrane, provides more hydrophilic bile salt, and increases bile phospholipid secretion. Thus, ursodeoxycholic acid therapy prevents bile stone formation.3 At our center, we initiate oral ursodeoxycholic acid therapy to all LT patients for at least 3 months after transplant. Ursodeoxycholic acid therapy is continued for longer periods in patients with biliary complications.
In pediatric patients, biliary strictures and cholangitis are shown more often than in adult LT patients. Protocols for diagnosis and treatment of bile stones in pediatric patients are the same as in adults.14
The incidence of bile stones after LT is rare but can affect graft and patient survival. It should not be ignored, especially in LT patients with previous history of biliary complications, hepatic artery problems, long cold ischemia time, and high cholesterol levels. Doppler ultrasonography is the primary diagnostic tool because it is inexpensive and easy to use. Bile stones can be treated via endoscopic and percutaneous transhepatic interventions without surgery.
References:

DOI : 10.6002/ect.2017.0023
From the Departments of 1General Surgery and 2Radiology, Baþkent University,
Faculty of Medicine, Ankara, Turkey
Acknowledgements: The authors have no sources of funding for this study and no
conflicts of interest to declare.
Corresponding author: Mehmet Haberal, Baskent University, Taskent Caddesi No:
77, Bahcelievler, Ankara 06490, Turkey
Phone: +90 312 212 73 93
E-mail: rectorate@baskent.edu.tr
Table 1. Patient Demographics (N = 352)
Table 2. Comparison of Patients With and Without Bile Stones
Table 3. Risk Factors for Bile Stones
Figure 1. Bile Stones After Liver Transplant Treated With Endoscopic Retrograde Cholangiopancreatography
Figure 2. Bile Stones After Liver Transplant Treated With Percutaneous Transhepatic Procedure