Successful Living Donor Liver Transplant Following Roux-en-Y Gastric Bypass in a Patient With Super Obesity With Hepatitis B Virus-Related Cirrhosis: A 7-Year Follow-Up Case Report
Living donor liver transplant remains the only viable treatment for some patients with cirrhosis in countries with low deceased donor organ donation rates. However, morbid obesity limits the feasibility of living donor liver transplant because of increased perioperative risks and poor graft-to-recipient weight ratios. This report presents a case of living donor liver transplant following Roux-en-Y gastric bypass in a patient with super obesity (ie, body mass index ≥50, measured as kilograms per meter squared) with hepatitis B virus-related cirrhosis. A 44-year-old female with a body mass index of 54.5 (130 kg) was diagnosed with hepatitis B virus-related cirrhosis. Despite 1 year on the transplant wait list and supervised weight loss efforts, her body mass index increased to 56. Laparoscopic Roux-en-Y gastric bypass was performed. One year after surgery, her weight reduced to 78 kg (body mass index 34.2), enabling a right lobe living donor liver transplant from her 24-year-old son. Postoperative recovery was uneventful, and 7 years after transplant, the patient remains healthy, with no graft rejection or hepatitis B virus recurrence. Roux-en-Y gastric bypass may serve as a feasible bridge to living donor liver transplant in patients with super obesity and compensated cirrhosis, especially in regions with limited deceased donation.
Key words : Bariatric surgery, Chronic hepatitis B, Liver transplantation, Morbid obesity, Roux-en-Y gastric bypass surgery
Introduction
Obesity, defined as a body mass index (BMI, measured as kilograms per meter squared) ≥30, has become a global epidemic. Morbid obesity (BMI ≥40) and super obesity (BMI ≥50) are associated with a range of comorbidities including type 2 diabetes mellitus, hypertension, obstructive sleep apnea, and cardiovascular disease. Bariatric surgery is recognized as the most effective intervention for sustainable weight loss and can reduce hepatic steatosis, fibrosis, and metabolic syndrome associated with nonalcoholic fatty liver disease.1-4
Despite improvements in antiviral therapies, liver transplant remains the only curative option for end-stage liver disease secondary to chronic hepatitis B viral (HBV) infection. In regions with limited deceased donor organ donation, living donor liver transplant (LDLT) has become increasingly critical. However, morbid obesity complicates the transplant process as a result of increased metabolic demands and the need for larger grafts, leading to poor outcomes, including small-for-size syndrome and increased surgical risks.5,6
This report describes a unique case of successful LDLT in a patient with super obesity following weight reduction achieved through Roux-en-Y gastric bypass (RYGB). A literature review revealed no previously reported cases of LDLT following RYGB.
Case Report
A 44-year-old woman presented in June 2014 with bilateral knee pain secondary to degenerative arthritis. She had no significant comorbidities or habits (nonsmoker, nonalcoholic), but her BMI was 54.5. During preoperative evaluation for bariatric surgery, she tested positive for the hepatitis B surface antigen (HBsAg) and was referred to the hepatology department.
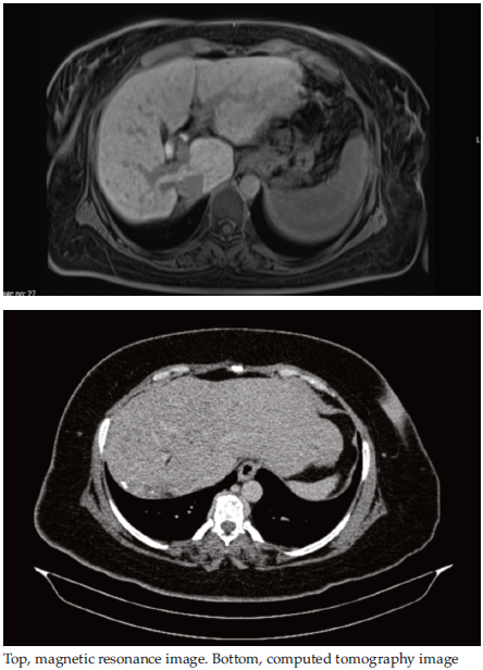
The HBV DNA polymerase chain reaction results revealed a viral load of 2290000 IU/mL. The patient’s laboratory test results are shown in Table 1. Magnetic resonance images and dynamic computed tomog-raphy images showed signs of chronic liver disease, including hypertrophy of the left lateral and caudate lobes (Figure 1). Liver biopsy revealed macro-vesicular steatosis (20%), moderate inflammation (histological activity index score 7/18), and HBsAg.
Laparoscopic sleeve gastrectomy was attempted, but this option was abandoned after intraoperative discovery of cirrhosis. The patient was placed on the wait list for a liver transplant (Model for End-Stage Liver Disease score 15; Child-Turcotte-Pugh score 8, class B) in November 2015 (Table 1), and antiviral therapy with tenofovir reduced HBV DNA to undetectable levels within 9 months. Despite a supervised dietary program, her BMI increased to 56 (Figure 2).
No suitable deceased donor was available for our patient, and her critically high BMI precluded LDLT; therefore, she underwent laparoscopic RYGB in November 2016. During the procedure, the stomach was divided proximally with staplers to create a small gastric pouch, and gastrojejunostomy was performed using a jejunal limb approximately 50 cm distal to the Treitz ligament. Subsequently, a Roux-en-Y confi-guration was completed via a jejunojejunostomy approximately 150 cm distal to the gastrojejunostomy, and mesenteric defects were carefully closed to minimize the risk of internal herniation. The patient was discharged on postoperative day 3 without complications.
One year later, the patient’s weight had decreased to 78 kg (BMI 34.2), making her eligible for LDLT. The patient’s 24-year-old son was an appropriate donor. The donor liver volumes were as follows: right lobe, 850 cm3; left lobe, 360 cm3; and remnant, 30%. Right-lobe LDLT was successfully performed in November 2017. Intraoperative findings confirmed cirrhosis (Figure 3). According to the established procedure at our institution, an external biliary catheter was routinely placed intraoperatively for biliary drainage. The graft weight was 850 g, with a graft-to-recipient weight ratio of 1.08, and the total operation time was 6 hours and 10 minutes.
After surgical removal of the cirrhotic liver, hepa-titis B immunoglobulin (HBIG) therapy was initiated and continued for 5 postoperative days. The HBIG therapy was discontinued after HBsAg negativity was confirmed. Maintenance antiviral therapy (tenofovir) was continued, and HBIG was readministered when hepatitis B surface antibody titer values fell below
50 IU/L during follow-up. In postoperative tests, neither HBsAg nor HBV DNA was detected Table 2). The patient received tacrolimus, mycophenolate mofetil, and corticosteroids as maintenance immuno-suppression therapy. The target trough level of tacrolimus was 5 to 10 ng/mL. Serial monitoring demonstrated that trough levels of tacrolimus remained consistently within the therapeutic range, and no significant dose adjustment beyond routine titration was required (Figure 2).
No biliary leakage or stenosis was observed in postoperative cholangiography. The patient was discharged on postoperative day 17. The biliary catheter was removed uneventfully during postope-rative month 6. Vitamin D3, vitamin B12, and iron levels were regularly monitored and supplemented when required. The patient maintained a stable body weight until 2023 (73 kg, BMI 30.4), and at the most recent follow-up in 2025 her body weight was 85 kg (BMI 35.4). During the long-term follow-up period, the patient did not develop diabetes mellitus, hypertension, or dyslipidemia. Seven years after LDLT, the patient remained stable without graft rejection or features of metabolic syndrome (Table 2).
Discussion
Bariatric surgery is indicated in patients with BMI ≥40 or with BMI ≥35 accompanied by comorbidities.3,4 However, in patients with cirrhosis, concerns regar-ding malnutrition and sarcopenia must be considered. For patients with compensated cirrhosis, pret-ransplant bariatric surgery offers substantial benefits, including weight reduction, improved metabolic status, and increased eligibility for LDLT.2,7,8
The incidence of obesity in liver transplant candidates is rising.8 Obesity was once considered a relative contraindication because of increased peri-operative complications and mortality.9 Patients who undergo post-bariatric surgery may experience muscle wasting and hypoalbuminemia, which may necessitate careful perioperative management.9,10
Laparoscopic RYGB is an effective method for long-term weight control; however, it introduces challenges such as impaired drug absorption and limited endoscopic access. Sleeve gastrectomy, by contrast, is technically simpler and does not impair endoscopic access. Nonetheless, RYGB may be the preferred method when rapid and sustained weight loss is necessary.11-13
Cirrhotic changes increased the risk of bleeding and leakage at the site of the staple line, which made sleeve gastrectomy unsuitable.12 The RYGB surgery is considered more advantageous in this setting because of its stronger metabolic effects and sustained weight loss outcomes.8 In our case, RYGB facilitated sufficient weight loss to allow for LDLT despite prior failure with nonsurgical interventions. Long-term follow-up demonstrated that pretransplant RYGB can be safely and effectively used as a bridge to LDLT in patients with compensated liver disease.
Roux-en-Y gastric bypass surgery, although often preferred for its potential to achieve rapid and sustained weight loss, may exert significant long-term effects on nutrient absorption. Previous studies have demonstrated that RYGB can lead to deficiencies in fat-soluble vitamins and trace elements, which may necessitate close metabolic monitoring and supple-mentation in the posttransplant period.3 In addition, the altered anatomic configuration markedly restricts endoscopic access to the biliary tract and small intestine, which may complicate the diagnosis and management of biliary complications following transplant.13 Consequently, the long-term implications of RYGB should be considered not only in terms of weight reduction and metabolic improvement but also with regard to the maintenance of nutritional balance and the feasibility of endoscopic interventions after transplant, which illustrates the importance of a comprehensive multidisciplinary approach.10,14
Our case underscores the feasibility and benefits of performing bariatric surgery before LDLT in carefully selected patients. In countries with low rates of organ donation from deceased donors, this staged approach (with bariatric surgery as a prelude to transplant surgery) may be the only path to transplant for patients with morbid obesity.
Conclusions
Bariatric surgery, specifically RYGB, can serve as a successful bridge to LDLT in patients with super obesity and compensated liver cirrhosis. This approach not only expands the transplant candidacy of these patients but also reduces the risk of pos-toperative complications. Early intervention with bariatric surgery in eligible patients may significantly improve access to life-saving liver transplant.
References:

Volume : 24
Issue : 3
Pages : 285 - 288
DOI : 10.6002/ect.2025.0147
From the 1Florya Medical Park Hospital Organ Transplantation Unit, Istanbul Aydin University Department of General Surgery, Istanbul; the 2Fethi Sekin City Hospital, General Surgery Clinic, Elazig; the 3Department of Surgery and Liver Transplant Institute, Inonu University Faculty of Medicine, Malatya; and the 4Private Gastrointestinal Surgery Clinic, Istanbul Atlas University Department of General Surgery, Istanbul, Turkey
Acknowledgements: The authors thank the clinical and nursing staff of the liver transplant unit for support in patient care and follow-up. The authors have not received any funding or grants in support of the presented research or for the preparation of this work and have no declarations of potential conflicts of interest.
Corresponding author: Adem Tuncer, Istanbul Aydin University, Florya VM Medical Park Practice and Research Hospital, Organ Transplantation Center, İstanbul, Turkey
Phone: +90 537 564 83 18 E-mail: ademtuncer89@hotmail.com
Figure 1. Preoperative Computed Tomography and Magnetic Resonance Images of the Liver
Table 1. Laboratory and Clinical Test Results Before Bariatric Surgery
Figure 2. Changes in Tacrolimus Levels and Body Mass Index for the Period 2014-2025
Figure 3. Intraoperative Cirrhotic Image of the Liver
Table 2. Changes in Patient’s Laboratory and Clinical Parameters for the Period 2014-2025