Successful Anesthetic Management of Orthotopic Liver Transplant in a Patient with Deoxyguanosine Kinase Deficiency: A Case Report
Deoxyguanosine kinase deficiency is a rare autosomal recessive mitochondrial DNA depletion syndrome characterized by severe progressive hepatic failure and neurologic involvement in infancy or early childhood. The disease often progresses to end-stage liver disease, necessitating liver transplant in selected patients. We present the anesthetic management of a 17-year-old female patient with end-stage liver disease due to deoxyguanosine kinase deficiency who was scheduled for liver transplant. Liver transplant is currently the only definitive treatment option for hepatic failure associated with deoxyguanosine kinase deficiency, although perioperative morbidity and mortality remain high. Anesthesia management of patients with deoxyguanosine kinase deficiency who undergo liver transplant requires aggressive blood glucose and lactic acidosis monitoring. Comprehensive preoperative assessment, with careful consideration of systemic manifestations and underlying mitochondrial dysfunction, is essential. Successful anesthetic mana-gement requires a multidisciplinary team approach, meticulous perioperative planning, and watchful intraoperative monitoring to optimize outcomes and improve prognosis in this high-risk population.
Key words : DGUOK deficiency, End-stage liver disease, Mitochondrial disorder
Introduction
Deoxyguanosine kinase (DGUOK) deficiency is a rare autosomal recessive hepatocerebral mitoc-hondrial disorder caused by mutations in the DGUOK gene, leading to impaired mitochondrial DNA replication and depletion.1 The clinical pre-sentation is heterogeneous, ranging from severe neonatal-onset hepatic failure with neurologic impairment to milder, later-onset hepatic disease. Patients may also exhibit metabolic disturbances such as hypoglycemia, hypotonia, jaundice, rotatory nystagmus, lactic acidosis, and elevated serum tyrosine and ferritin levels, reflecting impaired mitochondrial energy metabolism.2 The most common phenotype involves a rapid and progressive hepatic failure during infancy or early childhood, often associated with hepatocellular dysfunction, cholestasis, and cirrhosis, ultimately progressing to end-stage liver disease (ESLD).
Liver transplantation (LT) remains the only potential life-saving treatment for patients with DGUOK deficiency who develop decompensated cirrhosis. However, the presence of multisystem invol-vement, particularly extrahepatic manifestations such as neurologic deficits and mitochondrial dysfunction, makes perioperative management complex and highly challenging.3,4
Optimal perioperative management requires a detailed preoperative evaluation, recognition of underlying pathophysiological mechanisms, and a multidisciplinary team approach involving anest-hesiologists, hepatologists, and transplant surgeons. Careful intraoperative monitoring and tailored anesthetic strategies are crucial for improving outcomes in this vulnerable patient population.
Herein, we report successful anesthetic mana-gement of LT in a patient with ESLD due to DGUOK deficiency. Written consent and verbal informed consent were obtained from the patient’s parents for publication of this case.
Case Report
A 17-year-old female patient (height: 160 cm; weight: 60 kg; body mass index: 23.4 kg/m2) with a diagnosis of hepatocellular carcinoma (HCC) on the background of hepatic failure secondary to a DGUOK mutation was admitted for LT. She had previously been evaluated by the pediatric metabolism department at aged 4 years. Over the course of her disease, she developed portal hypertension, hypersplenism, jaundice, ascites, esophageal varices, tubulopathy, and metabolic acidosis. Band ligation had been performed for esophageal varices.
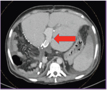
On admission, the patient presented with dyspnea, orthodeoxia, platypnea, cyanosis, and weakness. Transthoracic echocardiography revealed a bicuspid aortic valve and pulmonary arteriovenous fistula, without pulmonary hypertension. Liver computed tomography-angiography demonstrated HCC in the right lobe, associated with splenomegaly and throm-bosis of the right portal vein (Figure 1). Preoperative chest radiography was normal, and the electrocar-diogram showed regular sinus rhythm. On room air in the supine position, venous oxygen pressure was 79 mm Hg with oxygen saturation of 92%. Laboratory findings were as follows: hemoglobin 10.4 g/dL, hematocrit 31.7%, platelet count 45×103/μL, alanine aminotransferase 23 IU/L, aspartate aminotransferase 105 IU/L, gamma-glutamyl transferase 107 IU/L, total bilirubin 1.5 mg/dL, direct bilirubin 1.3 mg/dL, albumin 2.6 g/dL, and international normalized ratio 1.4. Other parameters were within normal limits. The patient’s Child-Pugh-Turcotte score was B, and her Model for End-Stage Liver Disease score was 6. According to the American Society of Anesthe-siologists physical status classification, she was class III, and the Mallampati score was II.
The patient was instructed to fast for 6 hours before surgery. A 10% dextrose solution infusion was started to prevent hypoglycemia and close blood glucose levels. Her fasting blood glucose level at the beginning of the operation was 52 mg/dL, and she had lactic acidosis (lactic acid 8.1 mmol/L, pH 7.31). She was admitted to the operating room without premedication. Pulse oximetry on room air showed Spo2 values of 91% to 94%. Standard monitoring included electrocardiogram, Spo2, noninvasive blood pressure, capnography, temperature, and bispectral index. After 3 minutes of preoxygenation with 80% oxygen, anesthesia was induced with lidocaine, propofol, fentanyl, and rocuronium. Endotracheal intubation was successfully performed with a 7.0-mm cuffed tube, and the patient was connected to mec-hanical ventilation. Anesthesia was maintained with a mixture of oxygen and air, sevoflurane, continuous remifentanil, and rocuronium infusion.
At the beginning of the operation, severe hy-poglycemia (44 mg/dL) and lactic acidosis were observed; thus, we provided an aggressive intra-venous infusion of 10% dextrose at 50 mL/h and sodium bicarbonate. Arterial blood gas sampling was performed every 30 minutes. Intraoperatively, lactate levels peaked at 18 mmol/L. Because of platelet dysfunction and the nature of major surgery, the patient received 4 units of packed red blood cells, 500 mL of cell-saver blood, 12 units of fresh frozen plasma, and 6 units of cryoprecipitate intraope-ratively.
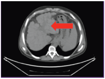
A 1250-g diseased liver was explanted (Figure 2), and the new graft from the left lobe of the patient’s brother (a 500-g living liver graft) was implanted. After completion of vascular anastomoses in the anhepatic phase, reperfusion was initiated after portal vein unclamping. At the end of the 7.5-hour surgery, Doppler ultrasonography confirmed normal flow in the portal vein, hepatic artery, and hepatic veins. The transplanted liver was clearly visualized by computed tomography-angiography (Figure 3).
The patient was extubated in the operating room and transferred to the intensive care unit with a stable hemodynamic and neurological status. Her lactate level was 8 mmol/L in the intensive care unit, but normalized over the next 24 hours. She was started on immunosuppressive therapy, corticosteroids, and other supportive treatments. She was transferred to the hospital ward on postoperative day 3 and discharged home on day 15 without complications.
Discussion
Our case illustrates the complex perioperative and anesthetic challenges encountered in successfully performing LT in a pediatric patient with HCC in the setting of liver fibrosis with DGUOK mutation-induced ESLD. Mutations in DGUOK are known to cause mitochondrial DNA depletion syndromes, often leading to progressive liver disease in childhood. Although the natural course frequently culminates in cirrhosis and hepatic failure, the development of HCC in this context remains relatively rare but has been reported in pediatric populations with mitochondrial hepatopathies.1,2
The patient presented with significant comor-bidities, including portal hypertension, hyper-splenism, metabolic acidosis, and esophageal varices, which collectively increased the perioperative risk. Such conditions complicate perioperative oxygena-tion and anesthetic management and have been described as important risk factors for morbidity in LT recipients.3,4
Intraoperative management was particularly challenging because of severe bleeding during the dissection phase, necessitating massive transfusion support with red blood cells, cell-saver blood, fresh frozen plasma, and cryoprecipitate. Coagulopathy is a well-recognized complication in pediatric LT, often exacerbated by preexisting portal hypertension and hypersplenism.5,6 In our case, aggressive correction of coagulopathy and volume replacement allowed stabilization and successful graft implantation.
The reperfusion phase was marked by transient hypotension, a common hemodynamic disturbance following portal unclamping, attributed to the sudden release of vasoactive and metabolic subs-tances from the graft. Prompt pharmacologic intervention with norepinephrine, ephedrine, and calcium chloride was effective in restoring stability. Postoperative Doppler ultrasonography confirmed satisfactory vascular flow, which is critical for graft survival. Our patient was extubated in the operating room and had an uneventful postoperative course, highlighting the importance of comprehensive preoperative evaluation, vigilant intraoperative management, and coordinated multidisciplinary care. Previous reports have emphasized that, despite high anesthetic and surgical risk, pediatric LT offers excellent long-term survival in selected patients with metabolic and oncologic indications.7,8
Conclusions
Our patient had multiple clinical abnormalities and ESLD, resulting from the DGUOK mutation, making LT extremely challenging. Our case emphasizes the necessity of individualized anesthetic strategies in pediatric LT, especially in patients with rare mitoc-hondrial disorders, HCC, and severe extrahepatic manifestations. Anesthesia management of patients with DGUOK deficiency who undergo LT requires aggressive monitoring of blood glucose and lactic acidosis. Successful management requires meticulous preoperative evaluation, comprehensive intraopera-tive proactive management, and a multidisciplinary team approach (anesthesiologists, hepatologists, and transplant surgeons). Timely LT remains the only curative option, and careful anesthetic planning plays a crucial role in improving outcomes and reducing morbidity and mortality in patients with DGUOK deficiency.
References:

Volume : 24
Issue : 2
Pages : 193 - 196
DOI : 10.6002/ect.2025.0218
From the 1Department of Anesthesiology and Intensive Care Unit, and the 2Department of General Surgery and the Department of General Surgery and Transplantation Unit, Baskent University, Faculty of Medicine, Ankara, Turkey
Acknowledgements: The authors have not received any funding or grants in support of the presented research or for the preparation of this work and have no declarations of potential conflicts of interest.
Corresponding author: Denada Haka, Baskent University, Faculty of Medicine, Department of Anesthesiology and Intensive Care Unit, Ankara, Turkey
Phone: +0312 203 68 68-4867 E-mail: denadahaka97@gmail.com
Figure 1. Liver Computed Tomography-Angiography of Patient, Showing Multiple Nodules in the Liver Parenchyma
Figure 2. Liver Tissue (1050 g) Removed From the Patient
Figure 3. Liver Computed Tomography-Angiography of Patient, Showing Transplanted Liver