Begin typing your search above and press return to search.
Volume: 24 Issue: 2 February 2026

FULL TEXT

CASE REPORT

A Single Incision for Simultaneous Liver and Kidney Transplant With Right-Side Nephrectomy for Polycystic Liver and Autosomal Dominant Polycystic Kidney Disease

We describe a new surgical approach for simultaneous liver and kidney transplant in which we utilized the same reverse L incision used for liver transplant to perform ipsilateral native nephrectomy and kidney transplant. The 48-year-old male patient had auto-somal dominant polycystic kidney and significant polycystic liver disease. He underwent multidis-ciplinary assessment and was listed for simultaneous liver and kidney transplant. The liver and kidney graft were donated from a donor after neurological determination of death. After hepatectomy and orthotopic liver transplant, a right native nephrectomy was performed followed by kidney transplant using the same incision. The transplanted kidney was placed on the right-hand side, with renal artery anastomosed to the external iliac artery, the renal vein anastomosed to the external iliac vein, and the ureter anastomosed to the end of the retained distal native ureter (ureteroureterostomy). Both liver and kidney graft had immediate function after transplant. This case highlights the feasibility and efficiency of a single reverse L incision approach for simultaneous liver and kidney transplant combined with a right-side nephrectomy.


Key words : Reverse L incision, Simultaneous liver and kidney transplantation, Ureteroureterostomy

Introduction

Autosomal dominant polycystic kidney disease (ADPKD) is a genetic condition that can lead to kid-ney failure. In some cases, ADPKD is accompanied by significant polycystic liver disease, for which simultaneous liver and kidney transplant (SLKT) may be indicated.1-4 In addition, nephrectomy of polycystic kidney(s) may be necessary to create a space for the kidney transplant.
Conventionally, SLKT has been performed as a 2-step procedure, in which kidney transplant follows completion of the liver transplant using a separate incision at the lower abdomen.2,5 However, use of a single reverse L incision for SLKT could enhance recovery and improve efficiency. This report descri-bes a successful case of SLKT with a right-side nephrectomy by a single reverse L incision for a patient with ADPKD and polycystic liver disease.

Case Report

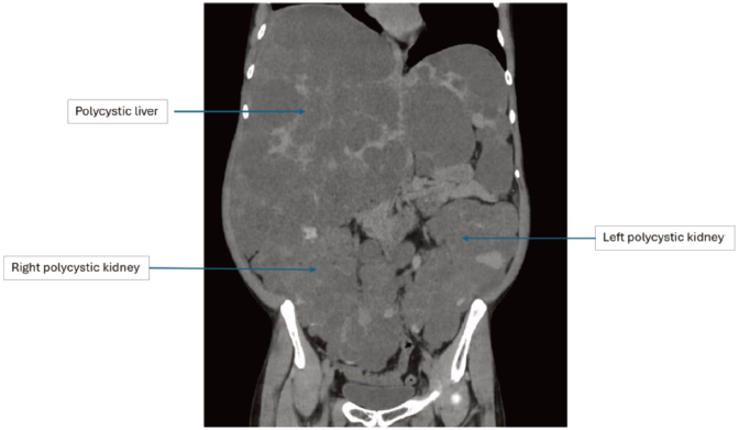
The recipient was a 48-year-old male patient with ADPKD and significant liver involvement. The Chronic Kidney Disease Epidemiology estimated glomerular filtration rate (eGFR) for this patient was 20 mL/min/1.73 m2. He had developed massive hepa-tomegaly and malnutrition. His other comorbidities included refractory hypertension, treated latent tuberculosis, Crohn disease, and pancreatic intraductal papillary mucinous neoplasm. Following multidis-ciplinary assessment, he was listed for SLKT.6 A right-side nephrectomy was necessary due to the large size of the kidney (Figure 1).
The recipient subsequently received an allocation from a donor following neurological determination of donor death with a kidney donor profile index of 28%. The blood group was ABO-compatible with 5 of 6 HLA matches (1 mismatch). There were no donor-specific antibodies. Cytomegalovirus status was positive for the donor and negative for the recipient; Epstein-Barr virus status was negative for the donor and positive for the recipient. The kidney was placed on hypothermic oxygenated machine perfusion at procurement. The initial flow rate was 54 mL/min at pressure of 24 mm Hg. The flow rate improved over the duration of perfusion, which attained 201 mL/min prior to implantation.

Operative details
After completion of routine preparation for liver transplant, we proceeded with a single reverse L incision with the transverse segment near to the level of umbilicus. The procedure commenced with hepatectomy, and venovenous bypass was performed as described previously.7 We used the piggy-back technique for liver transplant. The total cold ischemia time for the liver was 8 hours and 15 minutes, and warm ischemia time was 42 minutes. Good perfusion of the liver graft and bile production was observed before the biliary reconstruction was started.
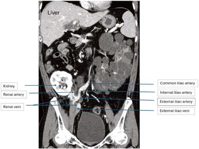
We proceeded with right-side nephrectomy im-mediately after completion of the liver transplant. The kidney hilum was exposed, and the renal artery and renal vein were secured and divided. The ureter was divided at the level of iliac vessels with careful preservation of the blood supply to the distal ureter.The kidney graft was transplanted into the right iliac fossa using the same incision. We used a right medial visceral rotation (the Cattell-Braasch maneuver) to gain access to the iliac vessels. The renal artery and renal vein were anastomosed to the external iliac artery (EIA) and the external iliac vein (EIV), respectively, using 5/0 polypropylene nonabsorbable monofilament (Prolene) sutures (Figure 2). The total cold ischemia time was 13 hours, and warm ischemia time was 38 minutes.
The donor ureter was shortened and spatulated. The end of the retained distal native ureter was also spatulated. We proceeded with a ureteroureterostomy using 5/0 polydioxanone absorbable sutures with placement of a 6F double J stent. The incised peri-toneum was closed. There was no drain placed in the renal bed. Two drains were placed around the liver graft. The wound was then closed in layers.
Liver graft function recovered steadily, with liver enzyme normalization by postoperative day 7. The serum creatinine level improved to 94 μmol/L (eGFR of 82 mL/min/1.73 m2) on day 2 posttransplant from 343 μmol/L (eGFR of 17 mL/min/1.73 m2) prior to transplant. The patient was discharged from the inten-sive care unit on postoperative day 5. His recovery was uneventful, and he was discharged home on postoperative day 29. The double J stent was removed at postoperative week 8 by flexible cystoscopy.
At 3 months, a protocol biopsy of the kidney showed no signs of rejection or other pathology. At 5 months, a liver core biopsy was required for investigation of mildly abnormal aspartate amino-transferase level, which showed mild T-cell-mediated rejection; this mild rejection response was managed with an increased dosage of mycophenolate mofetil and resolved on repeat biopsy.
At 12-month follow-up, the patient remained in excellent health. The liver function remained good with bilirubin 10 μmol/L, alanine aminotransferase 86 U/L, aspartate aminotransferase 30 U/L, alkaline phosphatase 101 U/L, and albumin 39 g/L. The kid-ney function remained stable with serum creatinine at 85 mmol/L (eGFR of >90 mL/min/1.73 m2).

Discussion

The SLKT procedure has been widely accepted for the treatment of patients with both liver and kidney failure. This was first reported by Margreiter and colleagues in 1984, with both liver and kidney from the same donor.8 In 1992, Haberal and colleagues9 expanded the donor source and successfully perfor-med the first living donor SLKT using liver left lateral lobe and right kidney. In recent years, the use of organs from donors after circulatory determination of death has been well accepted for SLKT with satisfactory results.10 Presently, SLKT has been gra-dually increasing to about 5% to 10% of the liver transplants using either deceased donors or living donors.1,11-13 However, from the surgical technique point of view, there has been no established standard technique for this type of combined transplant. Conventionally, the kidney transplant stage of a combined kidney-liver transplant proceeds as a separate surgery after completion of the liver transplant.2,5,14,15 Therefore, there is an opportunity to improve the surgical approach for SLKT.
Here, we have described a case in which the same reverse L incision of the liver transplant was emp-loyed for a right-side native nephrectomy and kidney transplant. The exposure by this approach for the EIA and EIV were appropriate for kidney graft imp-lantation. The kidney graft ureter was anastomosed to the remaining native ureter in an end-to-end fashion (ureteroureterostomy). There was no urine leak or ureter stenosis during 12 months of follow-up. This approach is therefore feasible and effective for SLKT.
Recently, some innovative approaches for SLKT have been reported. Jochmans and colleagues2 reported a 1-step SLKT via a midline xiphopubic incision for patients with polycystic liver and kidney disease; the kidney graft is placed at the iliac fossa in the extraperitoneal pocket and a urete-roneocystostomy is performed. Felgendreff and colleagues3 reported a technique using a single L incision for SLKT in a cohort of 7 patients with polycystic liver and kidney disease. In particular, the surgeons used a vascular allograft for renal artery extension and anastomosis to the common iliac artery, whereas the renal vein was anastomosed to the inferior vena cava.3 Imai and colleagues5 have shown comparable outcomes in a small cohort by using a single so-called Mercedes-Benz incision (rooftop incision combined with a sternotomy incision) for both liver and kidney transplant (in 18 cases) with 2 conventional incisions (in 19 cases). Compared with these innovations, we have demonstrated that a single reverse L incision is less invasive and could provide adequate access to iliac vessels for kidney transplant; also, with our technique, there is no need for vascular allograft extension with no challenges encountered for renal artery to EIA and renal vein to EIV anastomosis. This technique of ureteroureterostomy preserves the native vesicoureteral antireflux junction and reduces the risk of reflux-induced pyelonephritis. Furthermore, a single incision for SLKT is a more efficient alternative, as it saves 1 to 2 hours of surgical time versus the extended time needed for the con-ventional 2-step approach by 2 separate incisions.2,3,5 Ultimately, to save an incision for kidney transplant is meaningful simply due to the associated reduction in risk for wound complications that would negatively affect patient outcomes.16,17
In our case, the kidney graft was placed on hypothermic oxygenated machine perfusion while the liver transplant was in progress. The kidney graft functioned immediately after transplant. Other studies have also shown that the use of machine perfusion supports a staged approach to kidney implantation in multiorgan transplants with reduced incidence of kidney delayed graft function.18,19

Conclusions

Our case report demonstrated the feasibility and efficiency of a single reverse L incision approach for SLKT with right-side nephrectomy for patients with ADPKD. The ureteroureterostomy is an ideal option for the recovery of urinary tract continuity. This approach should be considered for future SLKT cases for which clinical and recipient factors are permissive.


References:


  1. Ekser B, Contreras AG, Andraus W, Taner T. Current status of combined liver-kidney transplantation. Int J Surg. 2020;82S:149-154. doi:10.1016/j.ijsu.2020.02.008
    CrossRef - PubMed
  2. Jochmans I, Monbaliu D, Ceulemans LJ, Pirenne J, Fronek J. Simultaneous liver kidney transplantation and (bilateral) nephrectomy through a midline is feasible and safe in polycystic disease. PLoS One. 2017;12(3):e0174123. doi:10.1371/journal.pone.0174123
    CrossRef - PubMed
  3. Felgendreff P, Tautenhahn HM, Lux S, et al. Simultaneous right-sided nephrectomy with orthotopic liver and kidney transplantation: an alternative method for patients with autosomal dominant polycystic liver and kidney disease. Langenbecks Arch Surg. 2021;406(6):2107-2115. doi:10.1007/s00423-021-02206-9
    CrossRef - PubMed
  4. Norcia LF, Watanabe EM, Hamamoto Filho PT, et al. Polycystic liver disease: pathophysiology, diagnosis and treatment. Hepat Med. 2022;14:135-161. doi:10.2147/HMER.S377530
    CrossRef - PubMed
  5. Imai D, Sambommatsu Y, Sharma A, et al. Single incision simultaneous liver kidney transplantation: feasibility and outcomes. Clin Transplant. 2023;37(1):e14849. doi:10.1111/ctr.14849
    CrossRef - PubMed
  6. Transplantation Society of Australia and New Zealand. Clinical Guidelines for Organ Transplantation From Deceased Donors. Version 1.14. June 30, 2025.
    https://tsanz.com.au/storage/Guidelines/TSANZ_Clinical_Guidelines_Version-115_101225.pdf
    CrossRef:
    PubMed:
  7. Weinberg L, Caragata R, Hazard R, et al. Venovenous bypass in adult liver transplant recipients: A single-center observational case series. PLoS One. 2024;19(5):e0303631. doi:10.1371/journal.pone.0303631
    CrossRef - PubMed
  8. Margreiter R, Kramar R, Huber C, et al. Combined liver and kidney transplantation. Lancet. 1984;1(8385):1077-1078. doi:10.1016/s0140-6736(84)91486-7
    CrossRef - PubMed
  9. Haberal M, Abbasoglu O, Buyukpamukcu N, et al. Combined liver-kidney transplantation from a living-related donor. Transplant Proc. 1993;25(3):2211-2213.
    CrossRef:
    PubMed
  10. Kumar S, Pedersen R, Sahajpal A. Impact of donation after circulatory death allografts on outcomes following simultaneous liver-kidney transplant: a single-center experience and review of the literature. Exp Clin Transplant. 2023;21(4):299-306. doi:10.6002/ect.2023.0035
    CrossRef - PubMed
  11. Prudhomme T, Mesnard B, Branchereau J, et al. Simultaneous liver-kidney transplantation: future perspective. World J Urol. 2024;42(1):489. doi:10.1007/s00345-024-05174-z
    CrossRef - PubMed
  12. Lum EL, Bunnapradist S, Wiseman AC, et al. Novel indications for referral and care for simultaneous liver kidney transplant recipients. Curr Opin Nephrol Hypertens. 2024;33(3):354-360. doi:10.1097/MNH.0000000000000970
    CrossRef - PubMed
  13. Yankol Y, Karatas C, Kanmaz T, Kocak B, Kalayoglu M, Acarli K. Extreme living donation: a single center simultaneous and sequential living liver-kidney donor experience with long-term outcomes under literature review. Turk J Surg. 2021;37(3):207-214. doi:10.47717/turkjsurg.2021.5387
    CrossRef - PubMed
  14. Ruiz R, Kunitake H, Wilkinson AH, et al. Long-term analysis of combined liver and kidney transplantation at a single center. Arch Surg. 2006;141(8):735-741; discussion 741-742. doi:10.1001/archsurg.141.8.735
    CrossRef - PubMed
  15. Demirci G, Becker T, Nyibata M, et al. Results of combined and sequential liver-kidney transplantation. Liver Transpl. 2003;9(10):1067-1078. doi:10.1053/jlts.2003.50210
    CrossRef - PubMed
  16. Yamanaka K, Kakuta Y, Nakazawa S, Kobayashi K, Nonomura N, Kageyama S. Surgical and infectious complications following kidney transplantation: a contemporary review. J Clin Med. 2025;14(10):3307. doi:10.3390/jcm14103307
    CrossRef - PubMed
  17. Wong RBK, Minkovich M, Famure O, et al. Surgical site complications in kidney transplant recipients: incidence, risk factors and outcomes in the modern era. Can J Surg. 2021;64(6):E669-E676. doi:10.1503/cjs.015820
    CrossRef - PubMed
  18. Ekser B, Mangus RS, Fridell W, et al. A novel approach in combined liver and kidney transplantation with long-term outcomes. Ann Surg. 2017;265(5):1000-1008. doi:10.1097/SLA.0000000000001752
    CrossRef - PubMed
  19. Lunsford KE, Agopian VG, Yi SG, et al. Delayed implantation of pumped kidneys decreases renal allograft futility in combined liver-kidney transplantation. Transplantation. 2020;104(8):1591-1603. doi:10.1097/TP.0000000000003040
    CrossRef - PubMed


Volume : 24
Issue : 2
Pages : 189 - 192
DOI : 10.6002/ect.2025.0279


PDF VIEW [158] KB.
FULL PDF VIEW

From the 1Renal Surgery and Transplant Unit and the 2Hepatobiliary and Pancreatic Surgery and Liver Transplant Unit, Austin Health; the 3Department of Surgery, University of Melbourne; the 4Department of Nephrology, Austin Health; the 5Department of Medicine, University of Melbourne; and the 6Australian Centre for Transplantation Excellence and Research, Austin Health, Melbourne, Australia
Acknowledgements: The authors have not received any funding or grants in support of the presented research or for the preparation of this work and have no declarations of potential conflicts of interest. The authors thank the perioperative staff, anesthetists, liver and kidney transplant teams, intensive care unit staff, and the donor’s family for their contributions to the case.
Corresponding author: Bulang He, Australian Centre for Transplantation Excellence and Research, Austin Health, Melbourne, Australia
E-mail: bulang.he@austin.org.au.