Surgical Complexities in Kidney Transplant of a Redo Donor and Recipient: A Case Report
Performing surgery on a previously operated kidney can be difficult and technically demanding. Like re-operative renal surgery, redo donor nephrectomy is also risky, because normal tissue planes are obscured by perinephric fibrosis and adhesions, and dissection of hilar vessels can result in serious vascular damage. Revisiting an aborted implantation site in a recipient
is also very demanding, and presence of arterial calcification adds to the difficulty. We report a unique case involving a donor and recipient who had previously proceeded with transplant surgery, but the transplant had been aborted and was then subsequently reattempted with success. We discuss the surgical challenges, as this is the first report of a successful kidney transplant in a recipient with a graft from the same previous donor after a failed first attempt.
Key words : Arterial calcification, Kidney transplantation, Redo donor nephrectomy, Redo recipient procedure, Surgical challenges
Introduction
Performing surgery on a previously operated kidney can be difficult and technically demanding.1,2 Similar to reoperative renal surgery, redo donor nephrectomy is risky, because normal tissue planes are obscured by perinephric fibrosis and adhesions, and incomplete/interrupted resection of hilar vessels can result in serious vascular damage.3,4 Revisiting an aborted implantation site in a recipient is also very demanding, and presence of arterial calcification adds to the difficulty. We report and discuss the surgical challenges of a unique case involving a donor and recipient who had previously proceeded with transplant surgery, but the transplant had been aborted and then was subsequently reattempted with success. To the best of our knowledge, this is the first report of a successful kidney transplant in a recipient with a graft from the same previous donor after a failed first attempt.
Case Report
A recipient was referred for kidney transplant after a previous attempt at another center had been aborted. In the first attempt, recipient and donor procedures were started simultaneously but were aborted on discovery of widespread arterial calcification in the recipient. By the time of the discovery of the recipient’s arterial calcification-, the donor left kidney had been fully dissected laparoscopically but not removed, and both donor and recipient procedures were aborted.
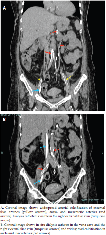
A 28-year-old son (body weight 62 kg, body mass index [measured in kilograms body weight per meter squared] 25) was the donor in the first attempt, and he agreed to donate for the second attempt at transplant to his 55-year-old mother (weight 68 kg, body mass index 31); the mother had end-stage renal disease secondary to 20 years of diabetes and hypertension. This recipient had been on regular hemodialysis for the previous 24 months; the cytotoxic crossmatch was negative with a 5-antigen human leukocyte antigen mismatch. Both donor kidneys were equal in size and had single renal arteries, and the left kidney was selected, despite clear evidence that it had been dissected previously, because the renal vein of the donor’s right kidney was too short. The recipient’s right iliac vein was not usable because of the long-term presence of a long dialysis catheter that occupied the right iliac vein and vena cava (Figure 1).
The left iliac fossa was cemented because of dense unyielding adhesions in the recipient from the previous attempt, and access to the external iliac vessels was gained via the peritoneal cavity. With appropriate exposure, the required lengths of both vein and artery were prepared, and soft areas on the calcified artery were identified for placement of clamps.
In the donor open nephrectomy, as expected, the perirenal tissue planes were obscured by dense adhesions, and the hilar structures were approached with great care. After 7 hours of painstaking dissection, we were able to salvage a graft with an unusual appearance (Figure 2).
The renal vein, which is normally blue in color, was white, with separation of the layers of its wall; which had to be tacked down with 6/0 polypropylene sutures to preserve the lumen to enable anastomosis ((Figure 2), inset). The artery and vein were both essentially the same color, and minimal bench dissection was carried out to avoid any inadvertent vascular damage.
Both anastomoses were challenging due to (1) the poor quality of the donor vein and depth of the recipient iliac vein and (2) calcification of the recipient artery. End-to-side venous anastomosis (6/0 polypropylene) was followed by an end-to-side arterial anastomosis (5/0 polypropylene), with global graft perfusion after removal of clamps (Figure 3).
The success of the procedure was demonstrated when the kidney produced urine. The ureterovesical anastomosis was fashioned by a full-thickness extravesical technique (6/0 polydioxanone) over a stent. Induction immunosuppression was carried out with a cumulative dose of 6 mg/kg in 4 doses of anti-thymocyte globulin (Thymoglobulin; Sanofi) and methylprednisolone. Immediate graft function was achieved with a donor warm ischemia time of 2 minutes, a cold ischemia time of 45 minutes, and a rewarming time of 73 minutes. No blood transfusion was required, and both donor and recipient were managed in our ward. Doppler ultrasonography on day 2 confirmed global graft perfusion with a resis-tive index of 0.6. The preoperative serum creatinine was 6.1 mg/dL, and day 7 serum creatinine was 1.2 mg/dL. Maintenance immunosuppression included tacrolimus, mycophenolate mofetil, and prednisolone.
The patient was discharged on day 7 and has remained well, with a serum creatinine of 0.9 mg/dL at 2 years after transplant.
Discussion
Performing surgery on a previously operated kidney can be difficult and technically demanding.1,2 In reoperative renal surgery, because the normal tissue planes are obscured by fibrosis and adhesions, dissection of the kidney and its hilar vessels has the potential for serious vascular damage.3,4 Procurement of a donor kidney that has been previously dissected but not removed from the donor is more challenging than a standard primary recovery. Identification and isolation of the artery and vein during hilar dissection are challenging and risky, because the hilar vessels must be preserved for implantation.5 As shown previously, redo kidney recovery, as in recovery of transplanted kidneys from recipients who become deceased donors, is also understandably challenging.6,7 This recovery procedure is rare and not without complications, which include decapsulation and a short ureter, as reported in the literature.6,7
For grafts such as this, for which the initial procedure had been abandoned and then redone at a subsequent attempt,, an additional requirement is the successful safe separation of its artery from the vein to enable revascularization. Redo surgeries have higher blood loss and transfusion rates compared with primary procedures.4,5 The need for multiple transfusions, as well as the extended operative time, often requires such patients to be monitored in the intensive care unit with the likelihood of a longer hospital stay.3 Both the recipient and donor did not require transfusions, and both were managed in the ward after the difficult and prolonged surgery.
The recipient bed preparation took 9 hours, which included multiple family counseling sessions where the difficulties encountered were explained. Finally, once the bed was ready, the donor procedure took 7 hours to recover the kidney, and it was then that the recipient implantation began and took another 3 hours.
This case highlights several important points. With a long recipient history of diabetes, as in this case, it is crucial to establish the extent of arterial calcification on the side of implantation. In the presence of the extensive calcification that we encountered in this case, the artery should be considered usable only if soft areas can be identified on computed tomography imaging that would allow application of clamps (Figure 4). In such cases, our practice is to expose the recipient arteries first to confirm that the artery is indeed usable. As a further precaution, the donor procedure should not be started until it is confirmed that the artery is usable.Several factors made our case challenging: (1) arterial calcification in the recipient, (2) unavailability of the recipient right iliac vein, (3) difficult access to the left iliac vessels, and (4) poor quality of the donor renal vein. The left iliac fossa was cemented from the previous attempt, and retroperitoneal access was not possible; the iliac vessels were approached from inside the peritoneal cavity at a greater depth. It may be that the first surgical team was not aware of the extent of calcification of the external iliac artery because the retroperitoneum had been accessed with full intention of implantation. With a history of 20 years of diabetes, as in the case of our recipient, the prospects of arterial calcification are deemed high. Exposure of this type of atheromatous calcified artery is also difficult and must not be hurried because it is adherent to the periarterial tissue.
The difficulty in dissecting this redo kidney and its hilum is reflected in the long duration of time that it took (7 hours) to complete. Donor nephrectomy is technically more demanding than routine nephrec-tomy because, in this case, the artery and vein need to be preserved for implantation. When tissue planes are obscured, as in our donor, identifying and dissecting hilar vessels become extremely challenging, with the looming risk of vascular damage.3,4 The normally blue-colored vein in this case was white, indicating fibrosis of the vein wall, and redo dissection had resulted in separation of the layers of its wall, which needed to be tacked down with 6/0 polypropylene sutures to preserve the lumen. The artery and vein were both the same color and indistinguishable; therefore, bench dissection was kept to a minimum to avoid inadvertent vascular damage.
Both anastomoses were performed deep in the pelvis on the left side, and 5/0 polypropylene was used for the arterial anastomosis because the procedure involved suturing through calcified areas. The rewarming time was prolonged (73 minutes), but the graft perfused well and made urine. We routinely use intermittent cold saline irrigation throughout the period of implantation to prevent a rise in graft temperature, and we and others have shown that this maneuver is beneficial and prevents delayed function.8,9 The postoperative course was surprisingly uneventful, and our recipient was discharged home on day 7 with a serum creatinine of 1.2 mg/dL.
In our rare case where both the donor and recipient presented surgical challenges, tenacious adhesions in the donor made the redo kidney recovery difficult because the donor vessels needed to be preserved. Because of the extended time for the redo recipient bed preparation, as well as the recipient’s arterial calcification, the arterial anasto-mosis was challenging. To successfully complete complex transplants such as this, detailed radiological information about local arterial calcification is crucial for the surgical team, and donor procedures should not proceed until the recipient’s artery has been examined and deemed usable.
References:

Volume : 23
Issue : 12
Pages : 833 - 837
DOI : 10.6002/ect.2025.0262
From the Division of Transplant Surgery, Department of Nephrology and Transplantation, Rehman Medical Institute, Peshawar, Pakistan
Acknowledgements: The authors have not received any funding or grants in support of the presented research or for the preparation of this work and have no declarations of potential conflicts of interest.
Corresponding author: Taqi T. Khan, Department of Nephrology and Transplantation, Division of Transplant Surgery, Rehman Medical Institute, Peshawar, Pakistan
Phone: +92 303 445 5734
E-mail: taqi.toufeeq@rmi.edu.pk
Figure 1.Computed Tomography Coronal Images of Widespread Arterial Calcification
Figure 2.Salvaged Graft with an Unusual Appearance
Figure 3.Globally Perfused Graft and Its Ureter
Figure 4.Computed Tomography Image of Calcified Left External Iliac Artery