We present an unusual etiology of primary renal allograft dysfunction attributed to myeloma cast nephropathy in a patient with no history of multiple myeloma before kidney transplant. The patient, a 54-year-old woman, had been on hemodialysis for 6 months before transplant for presumed diabetic nephropathy; she developed graft dysfunction immediately after transplant. Graft biopsy specimens were consistent with myeloma cast nephropathy, and she was treated with bortezomib, cyclophosphamide, and dexamethasone. She achieved a complete hematological response and regained excellent graft function 3 months after transplant. The patient then received autologous stem cell transplant 8 months after kidney transplant. To our knowledge, this is the second report of a successful graft outcome after chemotherapy and the first report treated with autologous stem cell transplantation after remission of monoclonal disease.
Key words : Kidney transplantation, Immunosuppression, Myeloma cast nephropathy
Introduction
Primary renal allograft dysfunction (PRAD) is defined as renal dysfunction in the immediate posttransplant period and is characterized by the absence of significant renal function after transplant. Common causes of PRAD include ischemic acute tubular necrosis, reperfusion injury, thrombosis of the renal artery or vein, ureteral obstruction, and rarely hyperacute rejection. In this case report, we present an unusual etiology of PRAD attributed to myeloma cast nephropathy (MCN) in a patient with no history of multiple myeloma prior to transplant. Although there are previous reports of cast nephropathy leading to PRAD, this is the second report of a successful graft outcome and the first report, to our knowledge, in which the patient was treated with autologous stem cell transplant (SCT).
Case Report
A 54-year-old woman was admitted to our hospital to be placed on the wait list for a deceased donor kidney transplant (KT). She had a history of end-stage renal disease secondary to diabetic nephropathy and had been on hemodialysis for 6 months. Her medical history was notable for long-standing type 2 diabetes mellitus, hypertension, and diabetic retinopathy. At the time of admission, the patient had no history of weight loss, bone pain, difficulty in achieving target hemoglobin levels, or hypercalcemia. On physical examination, the patient was well-developed and well-nourished. She was 160 cm tall, weighed 93 kg, and had a body mass index of 36.3 kg/m2. Vital signs were stable, with blood pressure of 145/80 mm Hg and heart rate of 84 beats/min. Further physical examination did not reveal any notable findings. Admission laboratory tests were unremarkable (Table 1). A suitable donor was found 1 month after her inclusion on the wait list for deceased donor KT. The donor was a 32-year-old woman with cardiac arrest as a result of acute coronary syndrome. There was a 1 DR match, and cold ischemia time was 8 hours.
The case patient underwent an uneventful KT and received the following: 3 doses of intravenous methylprednisolone on postoperative days 0 to 2, 7 doses of antithymocyte globulin (1.5 mg/kg) on postoperative days 0 to 6, and mycophenolate mofetil (MMF; 1 g twice daily), started preope-ratively. She had no residual renal function and was anuric before transplant. After KT, the recipient remained anuric on postoperative day 1. She also remained oliguric with daily urine output of 250 to 400 mL until postoperative day 5. The patient’s serum creatinine level was 7.21 mg/dL on postoperative day 1. Of note, the patient’s contralateral kidney, which was transplanted on the same day in a different hospital, showed immediate graft function. Serial allograft ultrasonography scans were negative for renal artery or vein thrombosis or ureteral obstruction but showed a slight increase in resistive indices from 0.75 to 0.85. Hemodialysis was started on postoperative day 1 for hyperkalemia and hypervolemia.
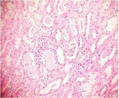
Because of persistent graft dysfunction, an allograft biopsy was performed on postoperative day 5. The biopsy revealed glomerulitis, patchy acute tubular injury characterized by intratubular casts surrounded by neutrophils, and positive staining for C4d, suggesting acute antibody-mediated rejection (Figure 1). Although donor-specific antibody was not detected, the patient was treated with a total of 5 sessions of plasmapheresis on alternate days. Cyclosporine was started on postoperative day 7, and the patient received maintenance immunosuppression consisting of prednisone, cyclosporine, and MMF. Although the urine output reached up to 1.5 L/day during the patient’s follow-up, she required hemodialysis 3 times per week because she showed no substantial decrease in creatinine levels.
Because of persistent graft dysfunction, a second allograft biopsy was performed on postoperative day 24. The second biopsy revealed glomerulitis, multifocal acute tubular injury characterized by intratubular casts surrounded by neutrophils, and negative staining for C4d. In addition to the multifocal acute tubular injury, there was also formation of new intratubular casts. The patient’s findings of acute tubular injury seemed to have increased compared with findings at the first biopsy (Figure 2).
During this period, the patient had urinary tract infection and cytomegalovirus infection and was treated with meropenem and intravenous ganciclovir. Serum and urine immunoelectrophoresis on postoperative day 50 showed kappa M-protein band, serum free kappa light chains (3530 mg/L), serum free lambda light chains (36.801 mg/L), and free kappa/free lambda ratio of 95.92 (normal range, 0.31-1.56).
On postoperative day 50, the patient required a third allograft biopsy specimen because of persistent dysfunction. Despite negative immunofluorescence and immunohistochemical findings, the diagnosis of light-chain cast nephropathy was made based on the biopsy findings and the positive results of serum and urine immune electrophoresis. A bone marrow biopsy done on postoperative day 52 showed 40% plasma cells consistent with plasma cell myeloma (Figure 3). On the basis of these new findings, she was diagnosed with light-chain cast nephropathy as the cause of PRAD.
The patient was started on every 7-day cycles of chemotherapy on postoperative day 55. Each cycle consisted of 1 day of bortezomib (1.5 mg/m2 daily), 500 mg cyclophosphamide, and intravenous dexamethasone (40 mg weekly). Her graft function gradually recovered, and she was discharged from hemodialysis on postoperative day 72. At 3 months posttransplant, her serum creatinine level is stable at 1.53 mg/dL, with an estimated glomerular filtration rate of 38.29 mL/min/1.73 m2. The patient received a total of 16 cycles of chemotherapy. A control bone marrow biopsy was performed after the last cycle of the chemotherapy at 7 months after transplant. Control bone marrow biopsy showed no evidence of residual disease.
At 8 months posttransplant, her serum creatinine level was stable at 0.98 mg/dL, with estimated glomerular filtration rate of 69 mL/min/1.73m2. Her current immunosuppression consists of prednisone 5 mg daily and cyclosporine titrated to a target serum trough level of 150 to 200 mg/L and MMF. On the recommendation of the hematology clinic, she was then referred to another hospital where autologous SCT could be performed. Autologous SCT was performed 8 months after KT.
Discussion
In this report, we describe a case of MCN that developed immediately after KT and was attributed to undiagnosed multiple myeloma before KT. Common causes of PRAD include ischemic acute tubular necrosis, reperfusion injury, thrombosis of the renal artery or vein, ureteral obstruction, and rarely hyperacute rejection. Myeloma cast nephropathy caused by multiple myeloma has been identified as a potential cause of PRAD after KT, with 6 cases reported in the literature.1-6 In our patient, MCN was observed in the kidney biopsy performed early after transplant, suggesting that it may have been the underlying cause of native kidney failure. Unfortunately, the patient’s primary condition was misdiagnosed as diabetic nephropathy, and the underlying disease (multiple myeloma) responsible for the development of end-stage renal disease was missed before initiation of hemodialysis.
Kidney disease is one of the most common complications of multiple myeloma. Approximately 50% of patients with multiple myeloma experience acute kidney injury or chronic kidney disease at some point during the course of their disease.7 Patients with multiple myeloma overproduce monoclonal immunoglobulin light chains, which are filtered by the glomeruli, are nephrotoxic, and in their various forms can damage virtually all areas of the renal parenchyma. Diagnosis of renal involvement can be made by urinalysis or renal biopsy. Treatment of renal disease in multiple myeloma focuses on treatment of the underlying factors that promote the formation of casts, such as dehydration, infection, and hypercalcemia. Patient treatment also includes cor-recting these reversible factors, reducing light-chain production with chemotherapy, rapidly reducing circulating free light chains with plasmapheresis, and providing supportive therapy for renal failure. Because multiple myeloma has a poor prognosis, KT is not considered an option.8 However, with the introduction of novel agents in the past 2 decades, outcomes of patients with multiple myeloma have tremendously improved, and several case reports have described patients with multiple myeloma who underwent KT after chemotherapy and/or SCT.9-14
If diagnosis of multiple myeloma is missed before KT, the disease will recur in the transplanted kidney after transplant. In published reports on outcomes of multiple myeloma after KT, multiple myeloma recurred in 50%, graft loss occurred in approximately 25%, and death occurred in approximately 32% of patients.15 Patients with multiple myeloma who are in hematological remission on maintenance therapy can be considered for KT. A multidisciplinary approach with a team familiar with KT in this high-risk population is recommended.
Conclusions
Our case report emphasizes the importance of accurate diagnosis of primary kidney disease before KT. Patients with type 2 diabetes mellitus who present with advanced kidney dysfunction should not always be assumed to have diabetic nephropathy, and kidney biopsy should be considered in patients with atypical features. Serum protein electrophoresis and immunofixation electrophoresis should be requested in the pretransplant workup, especially in elderly patients. When there is PRAD because of multiple myeloma, kidney function can be restored in patients with MCN with early and correct treatment.
References:

Volume : 22
Issue : 7
Pages : 572 - 575
DOI : 10.6002/ect.2023.0155
From the 1Department of Nephrology, the 2Department of Pathology, 3Department of Hematology, and the 4Department of Urology, University of Health Sciences, Umraniye Training and Research Hospital, Istanbul, Turkey
Acknowledgements: The authors have not received any funding or grants in support of the presented research or for the preparation of this work and have no declarations of potential conflicts of interest.
Corresponding author: Zeki Toprak, Department of Nephrology, University of Health Sciences, Umraniye Training and Research Hospital, Istanbul, Turkey
Phone: +90 216 632 18 18
E-mail: zktprk@gmail.com
Table 1. Laboratory Tests on Admission
Figure 1. Posttransplant Day 5 Allograft Biopsy
Figure 2. Second Allograft Biopsy Posttransplant on Day 24
Figure 3. Bone Marrow Biopsy on Posttransplant Day 52