Celiac-like disease and celiac sprue associated with widespread use of mycophenolic acid are among the most frequent complications of renal transplant. Most cases have been observed in patients receiving mycophenolate mofetil; however, there have been rare instance after administration of enteric-coated mycophenolate sodium. Here, we describe 4 renal transplant recipients with celiac-like duodenopathy that occurred in association with enteric-coated mycophenolate sodium treatment in a time period of 14 to 19 years after living donor kidney transplant. Three of 4 patients had diarrhea, and all 4 patients had marked loss of body weight. Esophago-gastro-duodenoscopy was not diagnostically helpful; however, randomly performed duodenal biopsies showed mild villous atrophy and intraepithelial lymphocytosis. Replacement of enteric-coated mycophenolate sodium with azathioprine was successful with stopping diarrhea, allowing regained body weight, and stabilization of renal function. This potential complication in kidney transplant recipients can occur more than a decade after transplant. Diagnosis and treatment initiation are urgent to cure this disease.
Key words : Celiac-like disease, Kidney transplant, Long-term complications
Introduction
The frequency of celiac disease is approximately 0.5% to 1% worldwide, and its incidence is growing.1,2 The disease occurs not only in children but also in adults, even at older ages.3 A special form of celiac disease is drug-induced duodenitis due to mycophenolic acid (MPA) treatment. It can be present in 2 distinct clinical conditions, namely, in association with mycophenolate mofetil (MMF) or with enteric-coated mycophenolate sodium (EC-MPS).4
The present cases of celiac-like syndrome are dependent on so-called trigger mechanisms, which can be several different immunosuppressive regimens used in renal transplant recipients. This is especially the case in the presence of predisposing factors. In the modern era, crucial diagnostic elements of celiac disease include serologic testing for tissue transglutaminase, endomysial and deamidated gliadin peptide antibodies, and HLA genotyping.4,5
Gastrointestinal tract toxicity (GITT) is a major clinical issue with medication use after solid-organ transplant. This issue is present in 20% to 45% of transplant recipients. One of the main responsible drugs is MMF.4,5 When present in patients, treatment involves reducing the dose of MMF or introducing EC-MPS therapy to avoid acute rejection. However, EC-MPS treatment can also sometimes be associated with gastrointestinal (GI) tract clinical manifestations like diarrhea and malabsorption, together with treatment-resistant weight loss.6,7 Other factors may also contribute to the pathological process, like allergy to cow milk, soya protein intolerance, autoimmune enteropathy, peptic duodenitis, tropical and refractory sprue, olmesartan treatment, and graft-versus-host disease.2,3 Gluten-sensitive enteropathy with genetic predisposition is one of the most common forms of celiac disease with different types of clinical expression. The cases that we report here are specific drug-induced forms of GITT. Duodenal biopsies performed in these patients showed features considered to be specific for celiac disease, including villous atrophy, inflammatory cell infiltration of the lamina propria, and presence of intraepithelial lymphocytosis.7,8
Mycophenolate mofetil is widely used in immunosuppressive regimens for patients who receive kidney and other solid-organ transplants; the appearance of upper GITT is rare, especially in patients treated with EC-MPS. The syndrome is difficult to recognize and to distinguish from whole GITT. Here, we report 4 living donor transplant recipients who developed a duodenal celiac-like syndrome in association with EC-MPS treatment.
Case Report
Patient 1
A 44-year-old married woman received a living kidney graft in 2006 from her father. She had substantial weight loss of at least 10 kg for 2 years. She was taking standard initial triple drug therapy, including MMF, for 10 years (2 g/day) and EC-MPS for the subsequent 2 years at 2 × 720 mg/day, tacrolimus (2 mg/day), and methylprednisolone (5mg/day). She had no gastrointestinal symptoms or any other potentially malignant disease. A change from MMF to EC-MPS was made because of the introduction of generic MMF, which did not correspond to our clinical standards.
Investigations aimed to determine the disease underlying the weight loss remained negative, including colonoscopy, gynecological status, and radiography investigations. The patient had no gastrointestinal symptoms like diarrhea or changes in stool composition, except the presence of unpleasant abdominal discomfort. Body mass index (in kilograms divided by height in meters squared) was down to 18 with significant muscle wasting. Laboratory investigations showed normochromic anemia with hemoglobin level 10.2 g/dL, serum creatinine of 170 μmol/L, and serum albumin 32 g/L. There was no evidence of an inflammatory state (negative stool cultures, absence of Clostridium difficile, parasites, or bacterial overgrowth syndrome). HLA genotypes (DQ2 and DQ8) and celiac serology tests (IgA and IgG gliadin antibodies, tissue transglutaminase, endomysial and deamidated gliadin peptide antibodies) were negative.
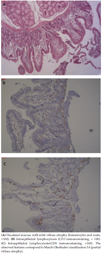
The patient was placed on a gluten-free diet for several months, but this did not improve her clinical state. With abnormalities of the lower GI excluded, we performed esophago-gastro-duodenoscopy, which showed no macroscopic changes. However blind biopsies done in the upper GI tract revealed a mild villous atrophy together with a large lymphoplasmacyte infiltration in the lamina propria. Immunohistochemistry identified intraepithelial localized CD8 and CD3 (Figure 1). We subsequently replaced EC-MPS with azathioprine treatment (75 mg/day). After several months, the patient had regained 10 kg; after 2 years, the patient has been stable on the azathioprine treatment regimen and feels well.
Patient 2
A 50-year-old male patient received a living kidney graft from his mother 18 years previously. His initial immunosuppressive regimen consisted of cyclos-porine A (200 mg/day), MMF (2 × 1000 mg/day), and methylprednisolone(5 mg/day) over a time period of 10 years. Thereafter, again because of the introduction of generic MMF, the treatment was replaced with EC-MPS. The patient had stable renal function (estimated glomerular filtration rate of 72 mL/min/1.73 m2) over 3 years.
In the previous 6 months before presentation, the patient developed diarrhea (5-6 episodes per day), had various GI tract symptoms, and started losing body weight down to a loss of 10 kg. A variety of diagnostic investigations were undertaken, all with negative results. Colonoscopy was also negative. His body mass index declined to 19, and he developed anemia accompanied by asthenia. He had HLA-DQ2 genotype but celiac serology was negative. Investigations aimed at identifying an inflammatory state were also negative.
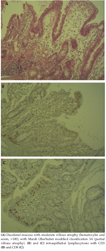
An esophago-gastro-duodenoscopy was perfor-med, and it did not reveal any specific macroscopic changes. In contrast, blind biopsies on duodenum and light microscopy examination showed that a part of the postbulbar mucosae had an impaired villi and crypts associated with goblet metaplasia (Figure 2). The diagnosis was chronic bulbo-duodenitis with celiac-like syndrome. The patient’s therapy was immediately changed, in which EC-MPS was replaced with azathioprine at a dose of 100 mg/day. All symptoms disappeared 4 to 5 months later. The patient regained 10 kg body weight and feels well. Kidney function remained stable.
Patient 3
A 31-year-old male patient received a living kidney transplant from his father in September 2010. His initial treatment consisted of cyclosporine (2 × 75 mg/day), MMF (2 × 1000 mg/day), and methylprednisolone (5 mg/day). Seven years later, the patient’s treatment was changed to tacrolimus (2 × 1 mg/day) because of the occurrence of first symptoms of rejection. After an additional year, MMF was replaced with EC-MPS (2 × 720 mg/day) because of introduction of the suspicious generic form of MMF. The patient remained on this treatment regimen for 2 years, and his renal function stayed stable.
Several months after the introduction of EC-MPS, the patient started to lose body weight down to approximately 10 kg. He developed diarrhea, about 4 to 5 stools per day, together with GI tract symptoms, including nausea and anorexia. All serological investigations were negative. He was not a carrier of HLA-DQ2 or HLA-DQ8.
Blind biopsies of the duodenum revealed a villous atrophy (3B in accordance with Marsh-Oberhuber classification) and moderate degree of celiac-like ente-ropathy (Figure 3). After the patient’s treatment was changed from EC-MPS to azathioprine (75 mg/day), the patient regained body weight and recovered, showing excellent clinical condition several weeks later. Kidney function remained stable with a serum creatinine level of 135 μmol/L.
Patient 4
A 56-year-old-male patient received a living kidney graft from his father 19 years previously. His starting therapy was triple drug immunosuppression, inclu-ding cyclosporine (2 × 100 mg/day), MMF (2 × 1000 mg/day), and methylprednisolone (5 mg/day). Ten years later, he had diarrhea with symptoms of dyspepsia, which was clinically evident. At that time, cyclosporine was replaced with tacrolimus (2 × 1 mg/day) and MMF with EC-MPS.
Several months later, the patient started to lose body weight. His estimated glomerular filtration rate was 69 mL/min/1.73 m2. Colonoscopy revealed normal findings. Esophago-gastro-duodenoscopy was unremarkable, but blind biopsies led to the diagnosis of celiac-like duodenopathy with moderate villous atrophy and typical intraepithelial T-lymphocyte infiltration. HLA-DQ2 and HLA-DQ8 status and celiac serology investigations were negative. Similarly, investigations for potential causes of colonic toxicity were also negative.
The patient’s immunosuppression was switched from EC-MPS to azathioprine (75 mg/day), and all GI symptoms resolved progressively. After change of treatment, the patient started to gain body weight in the subsequent 6 months.
Discussion
Drug-induced celiac-like enteropathy is most often observed in kidney transplant recipients. Among he medications that are commonly prescribed to these patients are the immunosuppressive agents MPA or EC-MPS and calcineurin inhibitors. The fact that we have been unable to identify a specific cause despite the use of colonoscopy in our transplant recipients who experienced a dramatic loss of body weight led us to consider upper GI tract lesions as a possible culprit due to drug-induced toxicity. However, when HLA-DQ2 and HLA-DQ8 and celiac serology turned out to be negative, we initially discarded the potential diagnosis of celiac disease. Diarrhea was present in 3 of 4 patients. All standard tests such as stool culture, presence of Clostridium difficile, and laboratory tests for parasites and bacterial overgrowth as potential causes of colonic toxicity were also negative (Table 1).
Although it is well known that ~30% of patients receiving MPA treatment may develop diarrhea, only the presence of a malabsorption syndrome is a sufficient reason to proceed to biopsies of the upper GI tract. In all 4 of our study patients, duodenal light microscopy revealed features of villous atrophy type 3A or 3B according to the Marsh-Oberhuber classification, confirming the presence of upper GITT.9 The induction of diarrhea with MPA might be due to villous atrophy as part of an antiproliferative effect on the intestinal basement membrane and subsequent epithelial injury. These pathological changes and the ensuing malabsorption syndrome could thus be the result of an increase in enterocyte MPA or EC-MPS concentrations.7,8
The reasons for symptoms in our 4 patients appeared to be strongly associated with EC-MPS treatment, although such deleterious effects were not observed in any of other patients who were switched from MPA to EC-MPS. After the withdrawal of EC-MPS and its replacement with azathioprine, diarrhea disappeared, body weight was regained, and general condition improved rapidly in the patients. Kidney function remained stable. The patients did not receive other medications that might have induced celiac syndrome. Our observations are comparable to these of others made in kidney transplant patients.7,8
Kidney transplant centers should consider the rare occurrence of this type of complication, which may be at the origin of potential graft loss. The diagnosis must be made as early as possible and should be distinguished from other disorders with similar presentation. Withdrawal of the responsible drug, EC-MPS, and the rapid subsequent impro-vement of the patient’s conditions are in favor of the correct diagnosis.7,8
The introduction of a gluten-free diet was ineffective in our patients. The diarrhea did not stop, and the patients continued losing body weight. Esophago-gastro-duodenoscopy did not reveal any pathologic changes. Only the performance of blind duodenal biopsies allowed the detection of moderate villous atrophy and an observation of increased intraepithelial CD3 and CD8 lymphocytes, pointing to the importance of performing appropriate investigations. After transplantation, it is especially crucial to have appropriate investigations to guarantee an intact absorption of immunosuppressive agents for the preservation of graft function.10-12
Important unsolved issues are the specificity of EC-MPS toxicity and the reason it manifested in only a minority of organ graft recipients. The development of celiac-like syndrome more than 10 years after kidney transplant remains unexplained. We also do not know whether any preexisting condition in association with the use of MPA favored its occurrence.
Conclusions
Our report of GI tract celiac-like syndrome should be of concern to all physicians taking care of kidney transplant recipients, especially in those with marked loss of body weight and unexplained bowel symptoms. The use of EC-MPS despite its capacity of resolving many issues among the MPA-induced GI tract alterations in such patients may be responsible for individual cases of GITT, as we reported here.13-15 Although this side effect is rare, knowledge of its existence is extremely useful in those who present with these symptoms, and changing the modality of immunosuppression easily allowed full patient recovery.
References:

Volume : 21
Issue : 5
Pages : 471 - 476
DOI : 10.6002/ect.2023.0034
From the 1Clinical Hospital Zan Mitrev Skopje, North Macedonia, the 2Ss Cyril and Methodius University, Medical Faculty, Skopje, North Macedonia, the 3University Clinic of Nephrology, the 4University Clinic of Urology, the 5Institute of Pathology, the 6Institute of Clinical Pharmacology and Toxicology, and the 7Macedonian Academy of Sciences and Arts. Macedonia
Acknowledgements: The authors have not received any funding or grants in support of the presented research or for the preparation of this work and have no declarations of potential conflicts of interest. Drs. Ninoslav Ivanovski and Galina Severova contributed equally to this article.
Corresponding author: Ninoslav Ivanovski, Clinical Hospital Zan Mitrev, Ul Bledski Dogovor No. 8, 1000 Skopje, North Macedonia
Phone: +389 70231662
E-mail: nivanovski@yahoo.com
Figure 1. Patient 1
Figure 2. Patient 2
Figure 3. Patient 3
Table 1. Clinical Characteristics and Laboratory Parameters of 4 Kidney Graft Recipients With Celiac-Like Disease