Scopulariopsis is a species of Aspergillus from the Microascaceae family. It has rarely been reported as a cause of human-borne infection. Here, we describe a 40-year-old female patient who had an invasive pulmonary Scopulariopsis infection following bilateral lung transplant. During her routine follow-up posttransplant, new nodules were found on chest computed tomography imaging, bronchoalveolar lavage fluid cultures grew filamentous fungi, and lung biopsy was positive for Scopulariopsis. The patient had described a generalized weakness and fatigue for several weeks without cough or chest-related symptoms. After the patient received antifungal treatment, the nodules gradually disappeared, and she improved with good tolerance and without any adverse events. This was a rare case of proven invasive pulmonary Scopulariopsis infection in a lung transplant recipient that caused local disease and systemic infection, which we further analyzed by conducting a literature review. Our report can increase the current understanding pertaining to the treatment of a rare and lethal fungal opportunistic infection in immunocompromised humans.
Key words : Fungal opportunistic infection, Immuno-compromised, Microascus infection
Introduction
Opportunistic fungal infections have become a significant cause of morbidity and mortality in patients with severe underlying diseases or impaired host defense capabilities.1 Scopulariopsis, also called Microascus gracilis, which was designated as Scopulariopsis based on recent phylogenetic studies,2 is typically distributed in soil, rotting plant materials, and indoor environments. It is also considered to be an opportunistic pathogen in insects and animals, including humans, although available data are scarce.3 Here, we describe a patient with early invasive pulmonary Microascus infection during the early stages after bilateral lung transplant (BLT).
Appropriate written informed consent was obta-ined from the patient for the publication of this case report and accompanying images. The present study was approved by the Ethics Committee of the China-Japan Hospital (2019-164-K113) and was performed in compliance with the Declaration of Helsinki.
Case Report
The patient was a 40-year-old female with a history of pneumoconiosis from exposure to aluminum powder without effective protective measures for 10 years at the age of 35. The patient’s underlying conditions included respiratory failure, pulmonary hypertension, and right heart failure. The admi-nistered triple immunosuppression agents were tacrolimus, mycophenolate mofetil (MMF), and prednisone after the bilateral lung transplant was performed. Her posttransplant period included grade 3 primary graft dysfunction, left ventricular failure (left ventricular ejection fraction 30%), repeated ventricular arrhythmia, acute renal failure, abnormal liver function, and acute pancreatitis. Because the patient was hemodynamically unstable, she required adrenaline cardiocinetic, diuresis, anticoagulation, and continuous renal replacement therapy. The systemic syndrome was well controlled over time, and she was discharged 40 days after surgery.
About 3 months posttransplant, chest computed tomography (CT) revealed new solid nodules in the apical segment of the right upper lobe of the lung, and ground-glass changes were found in the fields of both lower lungs, especially on the left side (Figure 1). The patient described several weeks of generalized weakness and fatigue but had no pulmonary symp-toms, including no fever, cough, sputum, hemoptysis, chest pain, or dyspnea. Physical examination found right lung breath sounds to be slightly coarse and lower limbs to be mildly edematous. White blood cells and procalcitonin levels were within normal ranges.
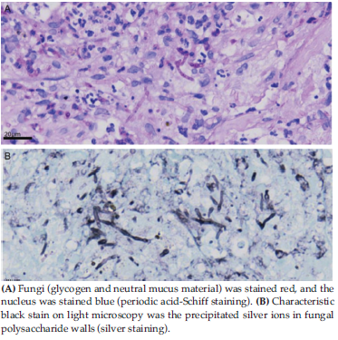
The sensitive Acinetobacter baumannii was identified in her bronchoalveolar lavage fluid (BALF) culture, and antibiotic therapy was given for 2 weeks. Afterward, the patient’s chest CT showed a solid nodule in the right upper lobe, which became larger and was surrounded by several new smaller nodules. At the time, the reexamined microscopic identification of BALF revealed filamentous fungi with negative BALF galactomannan tests. More importantly, CT-guided transparietal lung biopsy determined that the pathogenic agent was Scopulariopsis in the right upper lobe, as positive fungi was found with special silver staining and Periodic acid-Schiff staining (Figure 2).
Invasive pulmonary Scopulariopsis infection was thus diagnosed. Triple antifungal agents with mica-fungin 150 mg daily, posaconazole 200 mg every 6 hours, and terbinafine 250 mg daily were given for 2 weeks; this protocol was then followed with the latter 2 drugs given for up to 3 months. Treatment with MMF was withdrawn; however, intravenous immunoglo-bulin was given according to her immunological risk.
This combination of antifungal therapy was shown to be an effective treatment. Her chest CT subsequently demonstrated that the lung nodule was much smaller than before (Figure 1). With regard to the patient’s immunological condition, MMF was restarted at intervals, and she was discharged with no chief complaints. A chest CT imaging scan at 7 months showed that the lung nodule almost disappeared, with another scan at 12 months posttransplant showing relatively normal results. The follow-up results of the lung function tests are shown in (Table 1). The results of the 6-minute walking test showed a walking distance of 454 meters, lowest oxygen saturation by pulse oximetry of 97%, and highest Borg score of 0 at 12 months after the transplant procedure (she was unable to complete the 6-minute walking test before the transplant). Her weight gain in the past year was about 5 kg, and she is now on a regular follow-up regimen.
Discussion and Conclusions
In a BLT recipient with exhausted opportunistic Scopulariopsis pneumonia, a combination therapy may be both safe and feasible. Moreover, given the histopathologic assessment and the BALF cultures described in our patient, despite maximal sym-ptomatic treatment, combination antifungal treatment with immunomodulatory therapy was the only effective intervention. Radiographic findings of disappearance of pulmonary nodules confirmed this clinical assessment (Figure 2). The demographic characteristics of 11 previously reported cases are shown in (Table 2).4-12 The average age was 53.82 years old, with the oldest being 65 years old and the youngest 23 years old. There were 3 female and 8 male patients. The clinical manifestations included tracheobronchitis, bronchial pulmonary infection, and disseminated infection. Among the 11 patients, disseminated fungal infection was found in 5 patients (45.5%) after lung transplant. We found that the median time from transplant to diagnosis was 90 days, and the fastest time for infection to occur was 17 days after surgery. The mortality rate among cases varied, ranging from 0% for patients with fungal tracheobronchitis and bronchial pulmonary infection to as high as 100% for patients with disseminated fungal infection, who had very critical conditions. Voriconazole and caspofungin were the most common drugs of choice for treating invasive Scopulariopsis infections, followed by lipid formulations of amphotericin B. However, whether monotherapy or combination antifungals should be used as the primary therapy remains controversial.
When we compared the death cases in the literature with those that survived, including the patient from our center, we found that the key role of immune regulation in reported case of Microascus species infection in lung transplant recipients was not emphasized. At our center, we started antifungal treatment, we held multidisciplinary rounds with experienced clinical pharmacists to determine the patient’s daily immune condition, and we made a suitable plan for triple antifungal agent therapy. We also had a previous case of fungal bronchial pulmo-nary infection reported to be successfully treated using this combined antifungal treatment.4 Early confir-mation of clinical, radiographic, and pathological evidence is a necessity to ensure recovery when considering combination antifungal treatment. This case challenges previous recommendations that mandated monotherapy (micafungin treatment) in lung transplant recipients with Microascus tracheobronchitis.6
Opportunistic fungal infections have become a significant cause of morbidity in lung transplant recipients. Our described case may offer insight into rare fungal infections and provide knowledge related to the impact of combination antifungal therapy on prognosis.
References:

Volume : 21
Issue : 3
Pages : 275 - 278
DOI : 10.6002/ect.2022.0361
From the 1Department of Rehabilitation Medicine, the 2Department of Lung Transplantation,Centre of Respiratory Diseases, China-Japan Friendship Hospital, Beijing; the 3National Center for Respiratory Medicine, Beijing; the 4Institute of Respiratory Medicine, Chinese Academy of Medical Science, Beijing; and the 5National Clinical Research Center for Respiratory Diseases,Beijing, China
Acknowledgements: We thank the staff who worked in the Department of Lung Transplantation in China-Japan Friendship Hospital from 2019 to 2021. All data and material are available for sharing if needed. The authors declare no potential conflicts of interest. The study was sponsored by the Chinese Academy of Medical Sciences (CAMS) Innovation Fund for Medical Sciences (2021-12M-1-049 to W. Chen). The funding body had no role in the design of the study or collection, analysis, or interpretation of data, nor in writing the manuscript.
Corresponding author: Wenhui Chen, 2 Yinghuayuan East St. Hepingli, Chaoyang District, Beijing 100029
E-mail:wenhuichen1004@sina.com
Table 1. Lung Function of Patient Before and After Bilateral Lung Transplant
Figure 1. Manifestations Shown in Chest Computed Tomography Scans
Table 2. Reported Cases of Microascus Species Infection in Lung Transplant Recipients
Figure 2. Laboratory Results Showing Positivity for Scopulariopsis