Posterior reversible encephalopathy syndrome encom-passes a spectrum of disorders with a constellation of clinical symptoms and neuroradiological features. It is commonly encountered in organ transplant where it poses a challenge in the diagnosis and treatment in the absence of strong evidence. The underlying pathophysiology of posterior reversible encephalopathy syndrome is the loss of cerebral autoregulation following elevated blood pressure and/or endothelial dysfunction. It is more likely to happen in patients treated with cyclosporine versus with tacrolimus. Posterior reversible encephalopathy syndrome manifests as headache, visual disturbances, seizure, and abnormal mentation. The characteristic radiological features are the result of posterior-circulation vasogenic edema secondary to blood-brain barrier disruption. Treatment varies based on the etiology of the condition. In addition to the symptomatic management of hypertension and seizure disorders, switching or replacing the calcineurin inhibitor with another immunosup-pressant or decreasing the dose of the calcineurin inhibitor is the key in calcineurin inhibitor-associated posterior reversible encephalopathy syndrome. Here, we have reviewed the terminology, pathogenesis, clinical features, diagnosis, and treatment of posterior reversible encephalopathy syndrome with special reference to its presence in the posttransplant period.
Key words : Autoregulation, Blood-brain barrier, Calcineurin inhibitor, Immunosuppression, Pathophysiology
Introduction
Hinchey and colleagues in 1996 first coined the term posterior reversible encephalopathy syndrome (PRES) to describe a plethora of clinical features with distinct neuroradiological findings in parieto-occipital circulation, secondary to vasogenic edema.1 Posterior reversible encephalopathy syndrome is referred to by other names like reversible posterior cerebral edema syndrome, hyperperfusion enceph-alopathy, brain capillary leak syndrome, and posterior leukoencephalopathy syndrome. No single term is adequate enough to define this syndrome completely, as it is not always reversible and it can involve areas of cerebral circulation other than the posterior one and is not always confined to white matter. Posterior reversible encephalopathy syndrome can occur in any age group, from as young as 2 years to 90 years of age,2 with increased prevalence in female patients.3,4 Posterior reversible encephalopathy syndrome can occur in various diseases in the background of high blood pressure (eg, preeclampsia, hypertensive emergency, kidney disease, autoimmune diseases, after stem cell transplant, and with cytotoxic medications). Common causes associated with PRES are shown in Table 1.
Clinical Manifestations
Clinical features can be an acute presentation to subacute, with various degrees of severity, with mild cases only presenting as a headache with or without visual disturbances or with severe cases presenting as altered levels of consciousness and seizures. Clinical manifestations are shown in Table 2.
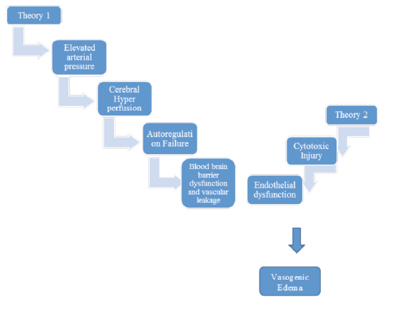
Two main theories explain the possible pathogenesis of PRES; however, the exact mechanism is not clear. These 2 theories of PRES are depicted in Figure 1 and Figure 2. Posterior reversible encephalopathy syndrome develops as a result of disturbances of autoregulation in cerebral circulation and dysfunction of cerebral endothelium.5
Proposed Mechanisms: Autoregulatory Failure and Hypertension
The rate of elevation of blood pressure determines the occurrence of PRES. In chronic elevation of blood pressure, corrective, adaptive changes set in and regulate the blood flow to reset the autoregulation to new higher blood pressure to maintain constant cerebral blood flow. However, when there is an acute rise in blood pressure, cerebral autoregulation fails. As the blood pressure rises above the upper range of autoregulation, there is dilatation of cerebral arterioles, and this passively increases the perfusion pressure across the vessels and causes disruption of the blood-brain barrier (BBB), which results in exudation of plasma proteins and fluid across the BBB. Autoregulation maintains intracranial blood flow constant in the given range of blood pressure by vasoconstriction arteriolar dilatation.6 Posterior circulation is more vulnerable to elevation in blood pressure and failure of cerebral autoregulation, as this part of the circulation lacks the sympathetic tone in the basilar artery vasculature.7
Endothelial Dysfunction
Of patients with PRES, 30% do not have hypertension; these patients also do not have failure of autoregulation.8,9 In these cases, there is endothelial dysfunction that is caused by one of the following endogenous or exogenous factors: immunosup-pressive medications, chemotherapy, or sepsis.10 In these situations, the circulating toxins and cytokines cause damage to vascular endothelium, leading to vasogenic edema and endothelial ischemia, leading to the disruption of BBB by increasing permeability resultant leakage of fluids and proteins in the extravascular compartment.
Imaging
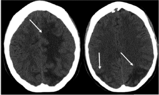
On imaging, PRES manifests as vasogenic edema of subcortical white matter mainly involving posterior and parietal areas of the cerebral circulation and usually showing bilateral and symmetrical distribution.11 There is occasional involvement of frontal lobes, especially around the superior frontal gyrus. Computed tomography (CT) scans often display an initial modality that depicts hypoat-tenuation in the affected areas,12 as shown in Figure 3.
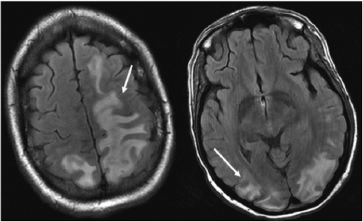
Magnetic resonance imaging (MRI) is more sensitive and has a better correlation with underlying pathophysiology compared with CT.13 In addition, MRI can differentiate PRES from other conditions that can mimic PRES. T2-weighted and T2 fluid-attenuated inversion recovery (FLAIR) images can detect vasogenic edema related to PRES. Figure 4 and Figure 5 show MRI images of PRES.
Various other diseases may masquerade as PRES on imaging, including progressive multifocal leukoencephalopathy, demyelinating disorders, infectious diseases (eg, meningitis, encephalitis), and ischemia/infarction. Reversible cerebral vasocon-striction syndrome results from vasoconstriction and manifests during the postpartum period or after use of medications that enhance the adrenergic or serotonergic system. Both reversible cerebral vasoconstriction syndrome and PRES can occur simultaneously, especially in the postpartum setting, and may be challenging to differentiate on CT or MRI. However, on angiographic imaging, there are multiple areas that demonstrate constriction of the cerebral vasculature.14 Acute ischemia or infarction can be differentiated from PRES by the presence of a hyperintense signal on diffusion-weighted imaging and corresponding decreased signal on apparent diffusion coefficient because of reduced movement of water molecules. However, PRES shows an increased intensity of signal on diffusion-weighted imaging that is not associated with corresponding loss of signal on apparent diffusion coefficient.15 Several recent improvements in imaging modalities, including magnetic resonance spectrograph, susceptibility-weighted imaging, positron emission tomography (PET), and single-photon emission tomography, have helped to diagnose complex cases. Increased blood flow in the cerebral circulation is seen as hyperperfusion, increased total blood volume, and shortened perfusion transit span in MRI/CT perfusion images.16 Hemorrhage associated with PRES can be better demonstrated with the susceptibility-weighted imaging technique than with other imaging techniques.17 With fluorodeoxyglucose-PET, low metabolism in PRES can be shown with an associated increased flow in the cerebral circulation, especially as the number of transplants has increased. The incidence of PRES after solid-organ transplant has been reported to range from 0.5% to 5%, depending on the organ transplanted.18 The causes of PRES in transplant settings vary, and these causes can include hypertensive encephalopathy, immunosuppressive drugs used to treat rejection and maintenance of graft function (eg, calcineurin inhibitors [CNI]) and autoimmune diseases,19 the use of high-dose corticosteroid, ischemia-reperfusion injury during surgery, and the use of antibiotics.20
Hypertension is found in approximately 70% to 80% of patients after transplant21 and is associated with PRES in 56% of these patients. A diagnosis of CNI-associated PRES has been reported in 50% to 77% of transplant recipients, who present with altered consciousness and seizure.22 Calcineurin inhibitors are considered as one of the important drugs causing PRES in these patients; CNI levels in these patients have been found to be above the acceptable upper range, with mean cyclosporine concentration of 296 ± 200 ng/mL (range, 44-778 ng/mL) and mean tacrolimus concentration of 17.9 ± 12 ng/mL (range, 4.1-56 ng/mL). Patients having CNI levels in the therapeutic range can also present with PRES, although this is more likely with those under cyclosporine versus tacrolimus treatment (40% vs 25.8%).23
Clinical presentation in the posttransplant setting
The most common presentation of PRES in posttransplant recipients is seizures (74%), followed by encephalopathy (28%), headache (26%), and visual disturbance (20%). Pediatric hematopoietic stem cell transplant recipients have also presented with status epilepticus.24 Atypical presentations like incoordination of the limbs, dysarthria, paresis, visual hallucinations, and sensory deficits have also been reported.25 Investigations have shown that 15% of patients can have intracranial hemorrhage with PRES, an incidence more often seen in hematopoietic stem cell transplant than in solid-organ transplant recipients.26
Time of onset in the posttransplant period
The time course of PRES presentation varies in patients after transplant. It can typically develop within 2 to 3 months after liver transplant.27 The timing of PRES is even later in renal transplant recipients. Some patients have shown an onset time within 1 week after transplant.28,29 The mean time of presentation of PRES varies among studies and differs among the type of organ transplanted and the underlying cause, occurring as early as 17 days (range, 24 hours to 5 years). It was reported that, overall, 25.5%, 38.2%, 12.7%, and 16.4% of cases occurred within 1 week, 1 week to 1 month, 1 to 3 months, and 3 months to 1 year posttransplant, respectively; only a few cases (7.3%) presented later than 1 year posttransplant. Patients who received cyclosporine had an earlier occurrence of PRES than those who were given tacrolimus (12 vs 26 days).30
Mechanism of calcineurin inhibitor-induced posterior reversible encephalopathy syndrome
Calcineurin inhibitors are the most common agent causing PRES in the posttransplant setting and do so in 2 possible ways: by causing BBB dysfunction and by downregulation of expression of P-glycoprotein. The CNI disrupts the cell membrane directly and the tight junction, increasing the cytoplasmic concentration of calcium, which disrupts the cell membrane and causes apoptosis on the brain capillary endothelium, especially with tacrolimus.31 In addition, although cyclosporine decreases cAMP formation, which again disrupts the BBB, the role of P-glycoprotein dysfunction caused by cyclosporine has also been postulated, which is an important transmembrane protein vital for membrane integrity.32
Treatment/management of posterior reversible encephalopathy syndrome and clinical outcomes in the posttransplant settings
The management of PRES is directed to address the primary etiology, such as treatment of the high blood pressure with an urgency similar to that in a hypertensive emergency, delivery of the fetus if PRES is related to preeclampsia, and discontinuation of chemotherapy or immunosuppressive treatment. There are no definite targets of blood pressure control; however, this depends on the severity of hypertension on presentation. Patients should be closely monitored. In a severe hypertensive emergency, the initial target should be to decrease the diastolic blood pressure to 100 to 105 mm Hg within 2 to 6 hours of presentation, and the degree of fall should not be more than 25% of initial readings within the first 2 to 6 hours. If blood pressure is decreased too rapidly, it will lead to loss of the autoregulatory mechanism and precipitate cerebral ischemia and reduced perfusion in coronary arteries and renal vasculature. For a patient with a lesser degree of hypertension, a reasonable target is to initially decrease mean arterial blood pressure by 10% to 25% and to closely monitor the clinical condition. Posterior reversible encephalopathy syndrome is a benign condition and reversed within days to weeks. However, the complications can include permanent neurologic disability, death due to cerebral edema, and hemorrhage.33,34 In less than 10% of cases, PRES can recur even if the initial precipitating factors persisted after the initial symptoms.
General Management of Cerebral Edema in Posterior Reversible Encephalopathy Syndrome
Increased knowledge of hypertonic saline and osmotic agents like mannitol has resulted in their use for cerebral edema.
Hypertonic saline
Hypertonic saline use, whether as bolus or infusion, can lower cerebral edema by its osmotic action; however, long-term studies are needed to ascertain the outcome of this therapy. The concentration of saline tonicity used has been shown to vary from 7.2% to 23.4% with similar efficacy and safety.35
Mannitol
Mannitol draws free water from cerebral parenchyma into to the circulation, which is excreted through kidneys, thereby decreasing cerebral edema. In addition, mannitol can lower systemic blood pressure. The most common is the use of a 20% solution as a bolus of 1 g/kg. This amount can be repeated at 0.25 to 0.5 g/kg every 6 to 8 hours depending on severity. Osmotic agents should be used cautiously in patients with renal insufficiency, serum sodium >150 mEq, serum osmolality >320 mosm, or evidence of evolving acute tubular necrosis.
Diuretics
Diuretics, especially loop diuretics (eg, furosemide at 0.5 to 1.0 mg/kg), can be used with mannitol to potentiate its effect. However, caution is needed to avoid dyselectrolytemia and dehydration.
Hyperventilation
Mechanical ventilation has been used to decrease Paco2 to 26 to 30 mm Hg, which induces cerebral vasoconstriction and decreases cerebral blood flow, thereby decreasing cerebral edema. A 1-mm Hg change in Paco2 has been associated with a 3% change in cerebral blood flow.36
Treatment of Posterior Reversible Encephalopathy Syndrome Posttransplant
In patients with PRES in the posttransplant setting, in addition to the symptomatic management of hypertension and seizure disorder, the CNI should be changed with another immunosuppressant (as performed in 43.7% of cases) or replaced with mechanistic target of rapamycin inhibitors (mTOR; as performed in 26.8% of cases) or with mycophenolate mofetil or hydrocortisone (as performed in 16.9% of cases). The key to CNI-associated PRES is a decreased dose of CNI (as shown in 22.5% of cases). In clinical practice, patients with PRES in the posttransplant setting initially have decreased CNI by 25% and then are assessed in 48 to 72 hours. If the patient is still symptomatic, then CNIs should be stopped and replaced with mTOR inhibitors or mycophenolate mofetil without overlap while adequate immunosup-pression is maintained.37
With this treatment, 89.3% of the patients with CNI-associated PRES showed a full recovery and an additional 10.7% recovered with residual neurologic sequelae, including the persistence of vigilance alteration; deterioration of visual acuity; epilepsy; amnesia; difficulties with speech, hemiparesis, and homonymous hemianopia; dysarthria and sporadic myoclonus; and visual field defects.37
Conclusions
Posterior reversible encephalopathy syndrome comprises a wide range of clinical and imaging features. The underlying pathophysiology is a dysfunction of the BBB leading to cerebral edema, especially in the parieto-occipital region. It can be better characterized with certain imaging modalities like MRI sequencing with T2 hyperintensities, mainly in the white matter. Improved imaging techniques have helped when it is not possible to distinguish various situations that can be confused with PRES. Treatment of PRES is directed at its underlying etiology, the symptomatic treatment of blood pressure, and anticonvulsant therapy.
References:

Volume : 20
Issue : 7
Pages : 642 - 648
DOI : 10.6002/ect.2021.0268
From the 1Narayana Super Speciality Hospital Guwahati, Assam, India; the 2Faculty of Health and Life Science, University of Liverpool, Institute of Learning and Teaching, School of Medicine, Liverpool, United Kingdom; the 3Department of Transplantation Surgery, Royal Liverpool University Hospitals, Liverpool, United Kingdom; and the 4Department of Transplantation Surgery, Sheffield Teaching Hospitals, Sheffield, United Kingdom
Acknowledgements: The authors have not received any funding or grants in support of the presented research or for the preparation of this work and have no declarations of potential conflicts of interest.
Corresponding author: Ahmed Halawa, University of Liverpool, Consultant Transplant Surgeon, Department of Transplantation Surgery, Sheffield Teaching Hospital, Herries Road, Sheffield S5 7AU, UK
E-mail: md1ahxx@liverpool.ac.uk
Table 1. Common Causes of Posterior Reversible Encephalopathy Syndrome
Table 2. Clinical Manifestations Related to Posterior Reversible Encephalopathy Syndrome
Figure 1. Two Theories of Possible Mechanism of Posterior Reversible Encephalopathy Syndrome17
Figure 2. Representation of 2 Theories of Posterior Reversible Encephalopathy Syndrome17
Figure 3. Noncontrast Computed Tomography Images Showing Vasogenic Edema Involving Both Parietal and Occipital and With Extension Into Left Frontal Lobe11
Figure 4. T2-Fluid-Attenuated Inversion Recovery Magnetic Resonance Images Showing Vasogenic Edema Around Both Occipital and Parietal Lobes and Extension of Edema in Left Frontal Lobe12
Figure 5. Coronal T2-Fluid-Attenuated Inversion Recovery Magnetic Resonance Images Showing Involvement of Parietal Lobes and Occipital Characteristic of Posterior Reversible Encephalopathy Syndrome12