Spleen abscess is a life-threatening disease. Treatment can be done by medical, radiological, or surgical methods. Here, we offer an innovative method of laparoscopic trocar-assisted percutaneous abscess drainage in the treatment of splenic abscess. Our patient, a 48-year-old male who had a kidney transplant 3 years previously, was admitted due to abdominal pain and fever. A-25-cm splenic abscess was detected, and ultrasonography-guided percu-taneous catheter 10F drainage was attempted. However, this attempt was not successful due to the high viscosity of the abscess content. Under general anesthesia, we then attempted abscess drainage percutaneously via a 12-mm laparoscopic trocar, and a large-bore drain of 28F was inserted into the abscess cavity. The drainage was successful (5300 mL high viscosity content) without any complications. The patient was discharged on day 8 and remained well at 9-month follow-up. Percutaneous drainage instead of splenectomy is preferred in the treatment of spleen abscess by preserving the immunologic functions of the spleen, particularly in immunocompromised patients. When percutaneous catheter drainage therapy fails, percutaneous treatment with a laparoscopic trocar is an innovative and reliable alternative.
Key words : Abscesses, Minimally invasive treatment, Renal transplantation
Introduction
Spleen abscess is a rare clinical condition, with an incidence of 0.14% to 0.7% and overall reported mortality of 0% to 47%.1 Metastatic infections are still the most frequent causative factor for splenic abscesses, and immunocomprimised patients (those with hematologic disorders, transplant recipients, and those with AIDS or on chemotherapy) have higher risk.2 Clinical findings of the spleen abscess are usually not specific. Fever, left upper quadrant pain, and leukocytosis are the most common findings. Fever and leukocytosis may not be present in immunosuppressed individuals, thereby causing a delay in diagnosis. Ultrasonography and computed tomography are the most useful imaging methods for diagnosis. Mortality is about 100% when spleen abscess is not treated.3 Instead of splenectomy, the combination of percu-taneous drainage and appropriate antibiotic therapy preserving the immunologic functions of the spleen is the preferred approach in immunocompromised patients.4 Here, we report a case of splenic abscess drainage that was helped by laparoscopic trocar in a patient after percutaneous catheter drainage failure.
Case Report
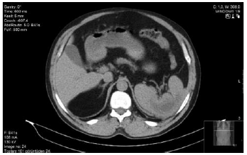
A 48-year-old male patient who had renal transplant 3 years earlier presented with left upper abdominal pain and fever. Splenomegaly and splenic ischemia without any cystic areas were seen on ultraso-nography and magnetic resonance imaging. During follow-up, a cystic lesion with a diameter of 16 × 14 cm appeared in the spleen, but a lack of apparent complaints resulted in a “watch and wait” protocol. At 1-month follow-up, pain symptoms had gradually increased, white blood cell count was 24 900/mm3, and C-reactive protein level was 14 mg/L. A computed tomography scan in the patient revealed a splenic abscess of 25 × 20 cm extending from the upper pole of the spleen to the pelvis (Figure 1). Polyoma hominis 1 (BK) virus, cytomegalovirus, Epstein-Barr virus, and parvovirus B19 polymerase chain reaction results, as well as echinococcus enzyme-linked immunosorbent assay tests, were negative.
Percutaneous drainage with an 10F catheter was performed under ultrasonographic guidance, but only a small amount of abscess content could be sampled. Because of the intense viscosity of the abscess, percutaneous catheter drainage was not successful, and the patient was scheduled for surgery. The patient was on immunosuppressive medications due to history of kidney transplant, and it was considered more appropriate to treat the abscess drainage instead of performing a splenectomy. Our previous experience with percutaneous laparoscopic trocar-assisted drainage for liver abscesses encouraged us to use the same treatment for a splenic abscess.5
A safety window for percutaneous intervention was planned under the guidance of computed tomography images. Ultrasonographic guidance was not needed during the procedure because the abscess size was too large and a safe window for percu-taneous intervention was clear. In the supine position and under general anesthesia, after appropriate markings were made, the patient received Veres needle puncture through the left anterior axillary line under 2 cm of arcus costa. When we observed pus through the Veres needle, a small incision was made in the skin and a 12-mm laparoscopic trocar (Bladeless trocar Endopath XCEL, Ethicon Endosurgery, Cincinnati, OH, USA) was inserted percutaneously in the abscess (Figure 2). Approximately 5300 mL of pus were evacuated, and the abscess cavity was washed with normal saline through the gas orifice of the laparoscopic trocar (Figure 2). A 28F chest tube was left inserted into the abscess through the trocar.
There were no complications during or after the procedure. Drainage gradually decreased, and the patient was discharged on day 8. There was no reproduction in the abscess culture. At postoperative month 5, there was serous fluid in the spleen of 2.6 × 1.8 cm on computed tomography (Figure 3). At 9-month follow-up, the patient was well, free of symptoms, and had good renal function.
Discussion
Spleen abscesses usually occur as a localized infection or sepsis. However, the incidence has increased due to increased use of immunosuppressive drugs.3 Our patient was on immunosuppressive treatment (tacrolimus 2× at 0.5 mg/day, mycophenolate mofetil 2× at 360 mg/day, steroids at 5 mg/day) due to kidney transplant 3 years previously. Treatment of spleen abscess can be done medically, surgically or radiologically; however, splenectomy is the traditional treatment option.6 In patients with splenectomy, postsplenectomy sepsis can occur and is an important cause of morbidity and mortality. Spleen-saving actions are important for protecting the immunologic functions of the spleen, and less invasive methods such as percutaneous drainage are increasingly being used.
Percutaneous drainage methods have a number of advantages over surgery, including low cost, perioperative lack of risk, faster recovery, and greater patient compliance.7 Success rates of this technique combined with antibiotherapy have been shown to reach 90%.3,7 However, the success rate of percutaneous drainage is diminished in cases of viscous purulent fluid, necrotic tissue, and especially multilocular abscess. Pigtail catheters tend to become blocked unless they are flushed regularly. These can prolong cavity obliteration and hospitalization. Large-bore catheters can provide less blockage and rapid obliteration of the abscess cavity.8 The risk of repeated applications is lower because large-bore catheters do not need to be replaced.9 Intracavitary fibrinolytics have been proven to be safe and useful adjunctive agents in percutaneous drainage of septated abscesses.10 However, the use of fibrinolytic agents can be risky in spleen abscesses because the vascular structure of the spleen is prone to bleeding.11
Laparoscopic trocar-assisted abscess drainage is another percutaneous drainage method. To the best of our knowledge, the use of laparoscopic trocar in the percutaneous drainage of a spleen abscess has not been previously reported. We chose a 28F chest tube catheter because a 10F catheter drainage was inadequate in our case.
Laparoscopic trocar-assisted abscess drainage is not a risk-free procedure. During the procedure, injuries to the liver, spleen, colon, and abdominal wall may ocur.5 The entry point of the trocar should be the closest to the border of abscess, and the spleen parenchyma should be the thinnest.
Conclusions
Spleen abscess is an extremely rare disease in renal transplant recipients. Laparoscopic trocar-assisted percutaneous drainage in the treatment of spleen abscess in comorbid conditions such as immunosup-pression may produce better clinical outcomes and prognosis versus percutaneous drainage with ultra-sonography and surgical intervention. Laparoscopic trocar-assisted percutaneous abscess drainage is a new and minimally invasive procedure, allowing another way to preserve the immunologic function of the spleen.
References:

Volume : 20
Issue : 6
Pages : 613 - 615
DOI : 10.6002/ect.2018.0191
From the 1Department of Gastrointestinal Surgery, and the 2Department of General
Surgery, Inonu University, Malatya, Turkey
Acknowledgements: The authors have no sources of funding for this study and have
no conflicts of interest to declare.
Corresponding author: Aydin Aktas, Department of Gastrointestinal Surgery, Inonu
University, Malatya, Turkey
Phone: +90 422 3410660 ext. 6239
E-mail: aydinaktas2004@gmail.com
Figure 1. Preoperative Contrast-Enhanced Computed Tomography Revealed 25 × 20 cm Spleen Abscess
Figure 2. Placement of 12-mm Laparoscopic Trocar in Abscess Cavity, Which Was Washed With Normal Saline Through the Gas Orifice
Figure 3. Contrast-Enhanced Computed Tomography Showing Serous Fluid in the Spleen (2.6 × 1.8 cm) on Postoperative Month 5