Begin typing your search above and press return to search.
Volume: 19 Issue: 2 February 2021

FULL TEXT

ARTICLE
Use of Computed Tomography Volumetry to Assess Liver Weight in Patients With Cirrhosis During Evaluation Before Living-Donor Liver Transplant

Objectives: Computed tomography liver volumetry has been widely used to detect total and segmental liver volume in living-donor liver transplantation. However, use of this technique to evaluate the cirrhotic liver remains unclear. In this study, we evaluated the accuracy of freehand computed tomography volumetry to assess total liver volume by comparing weights of total hepatectomy specimens in patients with cirrhosis. For our analyses, we considered the density of a cirrhotic liver to be 1.1 kg/L.

Materials and Methods: Liver volume was measured using a freehand computed tomography technique in 52 patients with cirrhosis from different causes and who had no solid lesions before transplant. Measurements were made with a 16-slice multidetector computed tomography scanner (Siemens Somatom Sensation 16, Erlangen, Germany). For volumetric measurements, 10-mm-thick slices with 10-mm reconstruction intervals were preferred. Total hepatectomy weights of explant livers and computed tomography volumetry data were compared.

Results: We excluded 3 cirrhotic patients with Budd-Chiari syndrome due to wide variations in scatterplot results. In the 49 patients included in the final analyses, average estimated liver volume by computed tomo-graphy was 721 ± 398 mL and actual cirrhotic liver weight was 727.8 ± 415 g. No significant differences were shown between these measurements. A simple reg-ression analysis used to analyze correlations between estimated liver volume by computed tomography and real cirrhotic liver weight showed correlation of 0.957 (P < .001). When computed tomography liver volumetry as the independent variable and cirrhotic liver weight as dependent variable were considered, regression analyses showed R2 = 0.915.

Conclusions: Freehand computed tomography liver volumetry can be confidently used to evaluate liver volume in cirrhotic liver patients similar to use of this technique to estimate actual weights in normal livers. This technique can also be valuable during pretransplant and liver resection evaluations to ensure a more successful outcome.


Key words : End-stage liver disease, Hepatectomy, Liver resection

Introduction

Living-donor liver transplant (LDLT) is the most effective treatment method for patients with end-stage liver disease.1-3 A determination of graft weight is an important step in the preoperative evaluation for both recipients and donors. The graft volume in recipients and the remnant liver volume in donors must be sufficient to meet the metabolic demands of patients for a successful transplant. Otherwise, higher mortality and morbidity in both the recipient and the donor will occur due to mismatching between graft size and recipient weight.4

Computed tomography (CT) volumetry generally is the criterion standard for preoperative evaluation of graft volume in LDLT. Its usefulness has been widely studied in healthy living donors.5-9 However, the effectiveness of CT volumetric assessment of cirrhotic livers has been poorly analyzed. In this study, we aimed to evaluate manual CT volumetry to assess total liver volume by comparing total hepatectomy specimen weights in patients with cirrhotic liver disease undergoing LDLT.

Materials and Methods

The study group consisted of 52 patients with cirrhotic liver disease who required LDLT. Of the 52 patients, 31 were men and 21 were women (mean age 6.5 years; range, 0.5-56 years). Patients were seen at our institution between March 2011 and November 2015. Causes of liver disease are listed in Table 1.

Computed tomography examinations were performed with a 16-slice multidetector CT scanner (Siemens Somatom Sensation 16, Erlangen, Germany). All CT examinations were performed within 72 hours before surgery. Patients had fasted for more than 6 hours before CT scanning, and scans were obtained with a single breathhold at the end of inspiration, from the dome of the diaphragm to the lower pole of the more caudally located kidney. After precontrast scans were obtained, a nonionic contrast agent (300 mg/mL Ultravist; Schering, Berlin, Germany) was administered intravenously, generally through the antecubital veins, at a flow rate of 4 mL/s by using an automated injector. Triphasic CT scans, which included the arterial phase (10 s), portal venous phase (60 s), and late phase (300 s), were acquired after a threshold of 100 Hounsfield units in the abdominal aorta was reached. Computed tomography imaging parameters were as follows: tube voltage of 100 kV; tube current-time product of 120 mA; pitch of 1.25; slice thickness of 3 mm for axial images; 0.75-mm slice thickness and 0.75-mm slice reconstruction interval for arterial and portal phase scans; and 10-mm slice thickness and 10-mm reconstruction interval for volumetric measurements.

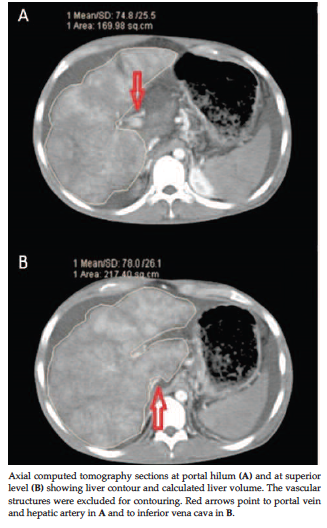
At an interactive workstation (Leonardo, Siemens) for each slice of a 10-mm reconstruction interval image, the liver contour was delineated manually using the optical mouse. The extrahepatic vena cava and portal vein, the gallbladder, and attached ligaments were excluded (Figure 1). Volumes were calculated by summation of the slice volumes. The density of a healthy liver was previously10 found to be 1 kg/L; however, according to Goumard and associates,11 the density of cirrhotic liver parenchyma can be considered to be 1.1 kg/L. Therefore, for our study, the estimated cirrhotic liver weight (CLW) was the result of multiplying the summation of the slice volumes by 1.1. Explanted cirrhotic livers were weighed immediately by pathology staff.

Quantitative values are expressed as means and standard deviation. Nominal data are shown as frequency and percentages. Normality assumption was checked by the Shapiro-Wilks test, which found that data conformed to normal distribution. Paired t tests were used to assess differences between CT liver volume and CLW, whereas parametric Pearson correlation analysis and simple linear regression analysis were used to analyze the association between CT liver volume and CLW. Associations between nominal data were assessed by Pearson chi-square analysis, with the Bland-Altman plot used to assess agreement among methods. For all analyses, SPSS software was used (SPSS: An IBM Company, version 21.0, IBM Corporation, Armonk, NY, USA), with statistical significance set at P < .05.

Results

Our first statistical evaluation revealed wide variations between CT liver volumetry and CLW. We realized that this unexpected result was due to data from 3 patients with the same cause of cirrhotic liver disease (Budd-Chiari syndrome) (Figure 2). Budd-Chiari syndrome is characterized by hepatic venous outflow obstruction at any level from the hepatic veins to the junction of the inferior vena cava and right atrium. The inability of blood flow to drain the liver causes increased sinusoidal pressure and hepatic congestion.12,13 The CT liver volumetry measurements were almost twice as high as the CLW measurements in these patients. Therefore, data of these 3 patients were excluded from the statistical analyses.

Our second statistical evaluation with the remaining 49 patients revealed an average estimated liver volume by CT of 721 ± 398 mL and an actual CLW of 727.8 ± 415 g. Differences between liver volume by CT and CLW were not significant.

A simple regression analysis was used to analyze correlations between estimated liver volume by CT and actual CLW. Our analysis revealed a correlation of 0.957 (P < .001). When liver volume by CT as the independent variable and CLW as the dependent variable were considered, the regression equation showed R2 = 0.915 (curve shown in Figure 3).

Discussion

Liver density in cirrhotic livers has been poorly analyzed. Goumard and associates reported findings in 15 explanted cirrhotic livers; 7 patients had alcohol-related cirrhosis, 4 had biliary disease, 3 had hepatitis C virus, cirrhosis, and 1 had nonalcoholic steatohepatitis cirrhosis with a median Model for End-Stage Liver Disease (MELD) score of 12 (range, 8-20). The calculated median liver density of cirrhotic livers in their study was 1.1 kg/L (range, 1.07-1.14 kg/L).11 In a study from Van Thiel and associates, who measured volume and weight of livers during transplant, a linear relationship was demonstrated between CLW and liver volume.14 However, calculation for volume and weight in that study were based on the traditional concept that 1 mL of liver volume is equal to 1 g of liver weight. Yoneyama and associates demonstrated that the specific gravity of a cirrhotic liver was significantly different from that of a noncirrhotic liver, which was calculated as 1 kg/L.15 In their study, the distribution of causes of cirrhosis were 7 due to hepatitis B virus cirrhosis, 7 due to hepatitis C virus cirrhosis, 2 due to biliary disease, and 1 due to cryptogenic cirrhosis.15 However, correlations to MELD score were not investigated.

A high percentage of the liver diseases in our study were primarily hepatocellular, and the cirrhotic liver density was accepted as 1.1 kg/L in our study. We found that CT liver volumetry measurements were strongly correlated with actual CLW when the cirrhotic liver density was accepted as 1.1 kg/L. Another reason for the strong correlation could be due to high hepatocellular damage; that is, patients had high fibrotic parenchymal changes as indicated by overall high MELD score in patients with all disease causes at the time of transplant (although MELD score could not be statistically analyzed).

Previous studies have found that cirrhotic livers show wide variations in volume and weight according to both the cause and severity of cirrhosis.16-19 Biliary diseases and nonalcoholic steatohepatitis-related cirrhosis tended to have higher liver volumes, and cirrhotic livers with hepatitis B virus infection tended to have increased liver density with lower CT liver volumetry measurements.11 In our study group, patients with Wilson disease and Budd-Chiari syndrome with biliary diseases tended to have higher liver volumes. Lower CT liver volumetry was also found in patients with advanced liver diseases with MELD score > 15, whatever the cause of cirrhosis.11

In the literature, the slice thickness used for CT volumetric liver measurements ranges from 1 to 10 mm.20-22 A significant overestimation of the total liver volume was reported when 3-mm or thinner slice thicknesses were used in healthy patients; slice thicknesses of 6 mm are preferable for CT volumetry as a standard of reference with respect to the precision of calculated volumes and the significant gain of time.23 In the present study, we preferred to use a 10-mm slice thickness to decrease the time of volumetric measurements needed for the operator. Mean overestimations and underestimations of approximately 2% to 14% are calculated on CT volumetry. In this study, our error ratio compared with those shown in similar studies.6,14 The potential causes of discrepancies between CT liver volumetry and CLW may include examination technique and partial volume effects, hepatic physical density, variations in exact contour, intraoperative drainage of liquids from the liver, and hepatic volume deviations.24 In our study, the main source of error was believed to be the different mechanisms of cellular damage affecting liver parenchyma such as fatty discharge in nonalcoholic steatohepatitis, cholestatic discharge in biliary diseases, hepato-cellular damage in hepatitis, and variations in results due to advanced liver disease.

We acknowledge the following limitations in our study: differences in liver density due to different causes and severities of liver disease and not classifying the study patients according to cause of liver disease or MELD score. A further well-designed study with a larger study population is needed to determine a reliable value of liver density for specific etiologies. In our study, we calculated volume measurements of the liver with 10-mm-thick slices; however, previous studies significantly underes-timated liver volumes when this slice thickness was used.21,23 Further studies with a larger series are necessary to determine the accuracy of CT liver volumetry by using CT scans reconstructed with 10-mm section intervals.

In conclusion, because liver weight is an important prognostic factor in patients with cirrhosis and in patients with hepatocellular carcinoma to evaluate hepatic functional reserve, our study has shown that CT volumetry with 10-mm slice thickness, with the assumption that the specific density of cirrhotic liver parenchyma is 1.1 kg/L, can be confidently used in patients with a MELD score of > 15. This technique is particularly important in clinical practice to allow for successful major hepatic surgeries or transplant procedures in cirrhotic patients. A future liver remnant volume should be > 30% of the total liver volume with diseased liver and > 40% to 50% of the total liver volume with cirrhotic livers.25-27 It should also be noted that use of liver weight-to-body weight ratio is more sensitive and specific than volumetric measurements in predicting outcomes after hepa-tectomy outcomes, with an optimal ratio being about 1%.28 It is our recommendation that, during evaluations prior to LDLT and liver resection in cirrhotic patients, liver density should be 1.1 kg/L (as opposed to 1 kg/L in healthy livers) to ensure a more successful outcome.


References:

  1. Kawasaki S, Makuuchi M, Matsunami H, et al. Living related liver transplantation in adults. Ann Surg. 1998;227(2):269-274.
    CrossRef - PubMed
  2. Lee SG, Park KM, Lee YJ, et al. 157 adult-to-adult living donor liver transplantation. Transplant Proc. 2001;33(1-2):1323-1325.
    CrossRef - PubMed
  3. Haberal M, Gulay H, Buyukpamukcu N, et al. Liver transplantation in Turkey. Transplant Proc. 1991;23(5):2563-2565.
    PubMed
  4. Kiuchi T, Kasahara M, Uryuhara K, et al. Impact of graft size mismatching on graft prognosis in liver transplantation from living donors. Transplantation. 1999;67(2):321-327.
    CrossRef - PubMed
  5. Heinemann A, Wischhusen F, Puschel K, Rogiers X. Standard liver volume in the Caucasian population. Liver Transpl Surg. 1999;5(5):366-368.
    CrossRef - PubMed
  6. Lemke AJ, Brinkmann MJ, Schott T, et al. Living donor right liver lobes: preoperative CT volumetric measurement for calculation of intraoperative weight and volume. Radiology. 2006;240(3):736-742.
    CrossRef - PubMed
  7. Emiroglu R, Coskun M, Yilmaz U, Sevmis S, Ozcay F, Haberal M. Safety of multidetector computed tomography in calculating liver volume for living-donor liver transplantation. Transplant Proc. 2006;38(10):3576-3578.
    CrossRef - PubMed
  8. Urata K, Kawasaki S, Matsunami H, et al. Calculation of child and adult standard liver volume for liver transplantation. Hepatology. 1995;21(5):1317-1321.
    CrossRef - PubMed
  9. Yu HC, You H, Lee H, Jin ZW, Moon JI, Cho BH. Estimation of standard liver volume for liver transplantation in the Korean population. Liver Transpl. 2004;10(6):779-783.
    CrossRef - PubMed
  10. Fu-Gui L, Lu-Nan Y, Bo L, et al. Estimation of standard liver volume in Chinese adult living donors. Transplant Proc. 2009;41(10):4052-4056.
    CrossRef - PubMed
  11. Goumard C, Perdigao F, Cazejust J, Zalinski S, Soubrane O, Scatton O. Is computed tomography volumetric assessment of the liver reliable in patients with cirrhosis? HPB (Oxford). 2014;16(2):188-194.
    CrossRef - PubMed
  12. Janssen HL, Garcia-Pagan JC, Elias E, et al. Budd-Chiari syndrome: a review by an expert panel. J Hepatol. 2003;38(3):364-371.
    CrossRef - PubMed
  13. Cura M, Haskal Z, Lopera J. Diagnostic and interventional radiology for Budd-Chiari syndrome. Radiographics. 2009;29(3):669-681.
    CrossRef - PubMed
  14. Van Thiel DH, Hagler NG, Schade RR, et al. In vivo hepatic volume determination using sonography and computed tomography. Validation and a comparison of the two techniques. Gastroenterology. 1985;88(6):1812-1817.
    CrossRef - PubMed
  15. Yoneyama T, Asonuma K, Okajima H, et al. Coefficient factor for graft weight estimation from preoperative computed tomography volumetry in living donor liver transplantation. Liver Transpl. 2011;17(4):369-372.
    CrossRef - PubMed
  16. Schiano TD, Bodian C, Schwartz ME, Glajchen N, Min AD. Accuracy and significance of computed tomographic scan assessment of hepatic volume in patients undergoing liver transplantation. Transplantation. 2000;69(4):545-550.
    CrossRef - PubMed
  17. Lin XZ, Sun YN, Liu YH, et al. Liver volume in patients with or without chronic liver diseases. Hepatogastroenterology. 1998;45(22):1069-1074.
    PubMed
  18. Li WX, Zhao XT, Chai WM, et al. Hepatitis B virus-induced liver fibrosis and cirrhosis: the value of liver and spleen volumetry with multi-detector spiral computed tomography. J Dig Dis. 2010;11(4):215-223.
    CrossRef - PubMed
  19. Ludwig J, Elveback LR. Parenchyma weight changes in hepatic cirrhosis. A morphometric study and discussion of the method. Lab Invest. 1972;26(3):338-343.
    PubMed
  20. Radtke A, Sotiropoulos GC, Nadalin S, et al. Preoperative volume prediction in adult living donor liver transplantation: how much can we rely on it? Am J Transplant. 2007;7(3):672-679.
    CrossRef - PubMed
  21. Emirzeoglu M, Sahin B, Selcuk MB, Kaplan S. The effects of section thickness on the estimation of liver volume by the Cavalieri principle using computed tomography images. Eur J Radiol. 2005;56(3):391-397.
    CrossRef - PubMed
  22. Kamel IR, Kruskal JB, Warmbrand G, Goldberg SN, Pomfret EA, Raptopoulos V. Accuracy of volumetric measurements after virtual right hepatectomy in potential donors undergoing living adult liver transplantation. AJR Am J Roentgenol. 2001;176(2):483-487.
    CrossRef - PubMed
  23. Reiner CS, Karlo C, Petrowsky H, Marincek B, Weishaupt D, Frauenfelder T. Preoperative liver volumetry: how does the slice thickness influence the multidetector computed tomography- and magnetic resonance-liver volume measurements? J Comput Assist Tomogr. 2009;33(3):390-397.
    CrossRef - PubMed
  24. Lemke AJ, Brinkmann MJ, Pascher A, et al. [Accuracy of the CT-estimated weight of the right hepatic lobe prior to living related liver donation (LRLD) for predicting the intraoperatively measured weight of the graft]. Rofo. 2003;175(9):1232-1238.
    CrossRef - PubMed
  25. Guglielmi A, Ruzzenente A, Conci S, Valdegamberi A, Iacono C. How much remnant is enough in liver resection? Dig Surg. 2012;29(1):6-17.
    CrossRef - PubMed
  26. Ferrero A, Vigano L, Polastri R, et al. Postoperative liver dysfunction and future remnant liver: where is the limit? Results of a prospective study. World J Surg. 2007;31(8):1643-1651.
    CrossRef - PubMed
  27. Vauthey JN, Chaoui A, Do KA, et al. Standardized measurement of the future liver remnant prior to extended liver resection: methodology and clinical associations. Surgery. 2000;127(5):512-519.
    CrossRef - PubMed
  28. Truant S, Oberlin O, Sergent G, et al. Remnant liver volume to body weight ratio > or =0.5%: A new cut-off to estimate postoperative risks after extended resection in noncirrhotic liver. J Am Coll Surg. 2007;204(1):22-33.
    CrossRef - PubMed


Volume : 19
Issue : 2
Pages : 149 - 153
DOI : 10.6002/ect.2018.0008


PDF VIEW [191] KB.
FULL PDF VIEW

From the Departments of 1Radiology and 2Pathology, Baskent University Faculty of Medicine, Ankara, Turkey
Acknowledgements: The authors have no sources of funding for this study and have no conflicts of interest to declare.
Corresponding author: Kemal Murat Haberal, Baskent University Faculty of Medicine, Department of Radiology, Ankara, Turkey
Phone: +90 532 3726637
E-mail: kmhbjk@hotmail.com