Begin typing your search above and press return to search.
Volume: 18 Issue: 7 December 2020

FULL TEXT

ARTICLE
Living Donor Liver Transplant in Patients With Budd-Chiari Syndrome: A Single-Center Experience at Our University Hospital

Objectives: Budd-Chiari syndrome is an infrequent, but potentially fatal, hepatic condition with the clinical manifestation of obstructed venous drainage. This may lead to progressive hepatic congestion, portal hypertension, and, ultimately, liver failure. If medical, interventional, and surgical approaches are not effective, liver transplant offers a rescue modality. The primary objective of this study was to report the perioperative and, above all, the vascular challenges associated with living donor liver transplant in patients with Budd-Chiari syndrome.

Materials and Methods: We retrospectively reviewed demographic and clinical characteristics of 6 patients with Budd-Chiari syndrome who underwent living donor liver transplant at our transplant center from April 2004 to July 2020. We also evaluated all data regarding perioperative course, surgical outcome, and the postoperative follow-up period.

Results: All patients displayed advanced liver disease with a Child-Pugh score C. The mean calculated Model for End-Stage Liver Disease score was 32. The causes of Budd-Chiari syndrome were factor V Leiden thrombophilia in 1 patient, myeloproliferative disorder in 3 patients, antiphospholipid antibody syndrome in 1 patient, and a protein C deficiency in 1 patient. The mean age of patients was 40 years. One of the 6 patients was female. All patients had living donor liver transplant from immediate kin according to Jordanian allocation rules. The mean graft-to-recipient weight ratio was 0.9, and the median follow-up period was 89 months. Cumulative 1-, 3-, and 5-year-survival rates were 84%, 67%, and 67%, respectively.

Conclusions: Good survival rates are achievable with living donor liver transplant for patients with advanced Budd-Chiari syndrome, particularly by means of posterior cavoplasty for enlargement of the cava orifice. Therefore, in countries with insufficient deceased donor programs, such as Jordan, living donor liver transplant may be a lifesaving therapeutic possibility.


Key words : Acute liver failure, Chronic liver failure, Hepatic venous outflow obstruction, Venoplasty

Introduction

Budd-Chiari syndrome is a multifaceted disorder characterized by the obstruction of hepatic venous drainage. This life-threatening condition may lead to progressive hepatic congestion, portal hypertension, and liver failure. This vascular obstruction may occur at the level of the hepatic venules, the large hepatic veins, the vena cava inferior, or the right atrium.1 The increased pressure due to clogged outflow may lead to hypoxic destruction of hepatic cells, which eventually destroys the liver parenchyma in a fulminant manner.2,3 The frequency of Budd-Chiari syndrome has been globally estimated4 as 1/100 000 with greater prevalence in Asia and Africa.5 This makes Budd-Chiari syndrome a rare but possibly lethal disorder.6 It is more common in women in their third or fourth decade of life.7 The most common underlying causative reasons for Budd-Chiari syndrome are antiphospholipid antibody syndrome, primary myeloproliferative disorders, and factor V Leiden mutation.7,8

The diagnosis of Budd-Chiari syndrome relies on the fulfillment of 1 or more clinical characteristics featured in the clinical presentation, physical examination, radiological assessment via abdominal magnetic resonance imaging or computerized tomography, and intraoperative observation and histopathological findings. Before liver transplant is recommended as a rescue modality, medical treat­ment with anticoagulation or invasive percutaneous interventional techniques (eg, transjugular intra­hepatic portosystemic shunt and surgical shunts)9 is considered first. Liver transplant is the last resort9 in cases where nonsurgical approaches fail or whenever the patient faces irreversible necrosis of liver tissue or cirrhosis with liver decompensation.9-11 For these cases, we routinely anastomose a very short right hepatic vein directly in a posterior cavoplasty, as first described by Goralczyk and associates.12

The primary objective of this study was to report the perioperative and, above all, the vascular challenges implicated by living donor liver transplant in patients with Budd-Chiari syndrome, as exem­plified by 6 patients seen at our Liver Transplant Institute at Jordan Hospital. Furthermore, we wish to point out the socioeconomic and health care-related significance of liver transplant for countries without sufficient deceased organ donation programs, like Jordan.

Materials and Methods

In this study, we retrospectively reviewed the demographic and surgical data of 6 patients with end-stage Budd-Chiari syndrome who underwent living donor liver transplant at our institute. Although this study is a retrospective clinical study, the approval of the local ethics committee was received. In advance, we obtained written informed consent from all patients for the publication of this report. Between April 1, 2004 and July 30, 2020, a total of 124 living donor liver transplants were performed at Jordan Hospital in Amman, with 6 (5%) conducted in patients with Budd-Chiari syndrome.

Many patients with Budd-Chiari syndrome are successfully treated at our institute with no need for surgical intervention. Liver transplant is considered a treatment option for patients with medical and interventional treatment failure or established cirrhosis or fulminant liver failure. There are no generally recognized listing criteria for patients with Budd-Chiari syndrome. Patients who qualify as candidates for living donor liver transplant are discussed at our weekly transplant board meeting on a case-by-case basis after they have completed all medical assessments. The contraindications for liver transplant at our university hospital are summarized in Table 1. For our 6 cases, an accelerated donor and recipient work-up was accomplished, and the ethical committee and psychiatric team accepted liver donation. All indications for living donor liver transplant were approved by the Liver Transplant Board.

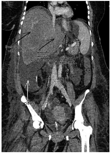
Manifest complete or incomplete hepatic vein thrombosis with or without inferior vena cava involvement detected in radiological examination is reason enough to diagnose Budd-Chiari syndrome, regardless of underlying causes.13 For example, the CT scan of our last patient (Figure 1) showed a severely narrowed retrohepatic vena cava with vanished hepatic veins. Moreover, the image revealed ascites with bilateral pleural effusion, an enlarged hepatic segment one, congestion of the liver, and areas of necrosis. Histopathologic examination confirmed the diagnosis: Budd-Chiari syndrome accompanied by severe acute centrolobular liver cell necrosis and vanished hepatic veins.

During the surgical procedure and mobilization of the liver, the hepatic artery, bile duct, and main portal vein were exposed and divided. All hepatic veins of the diseased livers were resected directly at the inferior vena cava wall with a vascular stapler device. All 6 recipients received right lobe liver transplant. The short right hepatic vein orifice of the graft was directly anastomosed with the inferior vena cava wall after the stapler line was removed from the inferior vena cava and the posterior wall of the cava was widened with a running 5-0 vascular suture. All hepatic veins with a diameter of ≥ 5 mm were anastomosed directly with the inferior vena cava using synthetic or homologous vascular grafts. The portal vein anastomoses and the hepatic artery and bile duct anastomoses were carried out using the standard end-to-end technique in all patients. Only the patient with narrowing inferior vena cava received patch cavoplasty to the anterior-lateral wall with artificial vascular material.

Results

We reviewed baseline characteristics of 6 patients with Budd-Chiari syndrome who underwent living donor liver transplant at our Liver Transplantation Department at Jordan Hospital. For patient analyses, the following epidemiological data were included: age, sex, underlying disease, body weight, and various features of the donors. The mean age of patients was 40 years; only 1 of the 6 patients was female. Model for End-Stage Liver Disease (MELD) and Child-Pugh scores provided documentation of patients’ health conditions before living donor liver transplant. All patients had severe liver disease with a Child-Pugh score C. The mean calculated MELD score was 32, with scores ranging from 27 to 40. Of 6 patients, 5 showed complete hepatic vein occlusion, whereas 1 patient had severe inferior vena cava narrowing due to external compression by an enlarged hepatic segment one (Table 2). None of our patients showed contraindications for liver transplant. Causes of Budd-Chiari syndrome in our study population included factor V Leiden thrombophilia in 1 patient, primary myeloproliferative disorder in 3 patients, antiphospholipid antibody syndrome in 1 patient, and protein C deficiency in 1 patient. Therefore, all participants in the study were consi­dered to have primary Budd-Chiari syndrome.

We performed living donor liver transplant with posterior cavoplasty in all patients, meaning that all grafts were obtained from living donors. The mean graft weight was 818.8 g, whereas the mean patient weight was approximately 75 kg. Accordingly, the mean graft-to-recipient weight ratio was 0.91 (Table 3). During the surgical procedure, 2 patients received no packed red blood cells, 2 needed 3 packed red blood cell units each, 1 patient needed 4, and 1 patient received 6. All patients required fresh frozen plasma during the procedure, averaging at approximately 8 units per patient. The cold ischemia times averaged about 60 minutes (Table 3). One should keep in mind that 1 patient received a left anterior-lateral patch cavoplasty due to the inferior vena cava narrowing opposite to the venous anastomosis, which required the longest cold ischemia time of nearly 120 minutes. All complications and posttransplant outcomes were documented and are summarized in Table 4. Postoperatively, all 6 patients received a heparin infusion course. Our therapeutic goal was set for an activated partial thromboplastin time of 60 to 80 seconds.

At the time of hospital discharge, all patients were switched from heparin to warfarin therapy with an additional 100 mg of acetylsalicylic acid. We recommended a continuance of warfarin therapy for approximately 1 year and the use of acetylsalicylic acid for life. All patients received tacrolimus as immunosuppressive therapy. The median follow-up period was 89 months. Cumulative 1-, 3-, and 5-year survival rates were 84%, 67%, and 67%, respectively. Outcome results showed a survival rate of 67% with good clinical outcomes. Two-thirds of patients are still alive today and doing well. Two patients are deceased, with 1 patient having a lethal myocardial infarction 15 months after transplant. The second patient died after a fatal sepsis and multiple organ failure 44 days after transplant (Table 4).

Discussion

To the best of our knowledge, this is the first study evaluating living donor liver transplant outcomes of Jordanian Budd-Chiari syndrome patients with more than a 10-year-follow-up. Presently, our center offers several invasive and noninvasive therapeutic approaches in the treatment of Budd-Chiari syndrome. Noninvasive modalities include anticoagulation therapy, thrombolytic therapy, and diuretic drug therapy, as well as percutaneous transluminal angioplasty with and without stenting. Transjugular intrahepatic portosystemic shunting and surgical shunting are additional therapeutic possibilities.1

Nonetheless, fatal hepatic complications often leave no option other than liver transplant. As reported by Saleh and colleagues, liver transplant should be considered if all other steps of the standard therapeutic algorithm fail.14 Transplant indications for patients with Budd-Chiari syndrome include fulminant liver failure, cirrhosis of the liver, and failure of preceding treatment attempts with portosystemic shunts or nonsurgical therapeutic approaches.1,4

Most available studies on liver transplant in patients with Budd-Chiari syndrome refer to records on deceased donor liver transplant. However, less scientific research has focussed on the clinical outcome of living donor liver transplant,6 with most evaluations of living donor liver transplant for Budd-Chiari syndrome being case reports. In 2006, Yamada and associates15 reported on 9 patients with Budd-Chiari syndrome and living donor liver transplant in which patch plasty for inferior vena cava reconstruction was performed in 4 cases. Similarly, Mentha and associates16 published a study on one of the largest sample sizes of patients (n = 248) receiving deceased donor liver transplant for Budd-Chiari syndrome. They reported 1-, 5-, and 10-year survival rates of 76%, 71%, and 68%, respectively. Despite our limited number of patients, we showed comparable survival figures of 84%, 67%, and 67% after 1, 3, and 5 years. This may indicate similar outcomes in deceased donor versus living donor liver transplant. Another commonality between the work of Mentha and associates and our findings is the early occurrence of mortality during the first months after transplant due to infectious com­plications, multiorgan and graft failure, or vascular complications. This implies an especially vulnerable period for these patients shortly after transplant. The survival rates of 57 Budd-Chiari syndrome patients after living donor liver transplant as presented by Ara and colleagues13 was quite satisfactory. Therefore, living donor liver transplant is supported as a practical therapeutic approach in patients with Budd-Chiari syndrome.

Undoubtedly, the construction of adequate anastomoses with the recipient’s inferior vena cava is challenging, as it is often affected by Budd-Chiari syndrome and, thus, in a highly stenotic condition.6 Karaca and colleagues17 came to a similar conclusion. The authors presented a surgical technique in which the hepatic venous drainage was preserved despite a lack of inferior vena cava from living donors. In deceased donor liver transplant, the recipient’s inferior vena cava is usually removed with the native liver, since the hepatic graft encloses a retrohepatic inferior vena cava.18,19 The piggyback liver transplant technique is the only exception to this case. In contrast, the inferior vena cava is mostly preserved in living donor liver transplant, even though it is often in narrowing condition due to massive compression by an enlarged liver.20

In our cases, we managed the reconstruction of a sufficient venous outflow by performing an anastomosis between the right hepatic vein and the recipient’s preserved inferior vena cava via posterior cavoplasty. This is a clear strength of our study. That is, we implemented the technique of posterior cavoplasty consistently in all our patients, allowing us to surmount the vascular challenges related to Budd-Chiari syndrome. We performed a venous anastomosis between the graft hepatic vein and the enlarged cava opening (Figure 2) as first described by Goralczyk and associates,12 who showed that venous outflow and portal vein pressure in those who had posterior cavoplasty was significantly better than results in the control group. Similarly, Kubo and colleagues21 reported on a formed horizontal orifice on the anterior surface of the suprahepatic inferior vena cava to match the graft vein, without requiring any resection of the narrowed retrohepatic inferior vena cava. In 1 of the 6 patients reported here, we conducted additional patch plasty to the left anterior-lateral wall with artificial vascular material, due to a narrowed area of the cava situated opposite of the venous anastomosis. Accordingly, this additional step explained the unusually long cold ischemia time of 120 minutes for this patient (Table 3). All other patients required rather short cold ischemia times, as the donors’ and recipients’ hepatectomies were coordinated nearly simultaneously by 2 different teams, allowing an optimized operation times (Table 3).

Several groups have proposed new and different techniques to overcome inferior vena cava involvement, including management of the un­healthy innate inferior vena cava and adequate reconstruction.18,22-28 Our study’s long-term results are comparable to the results of similar studies. With the understanding that all our patients had severely advanced liver failure with high MELD scores and thus displayed very poor prognoses to begin with, the significant outcomes are very encouraging.

One limitation of our study is the inherent bias of our retrospective study design. In addition, we had a modest number of patients, which could be enlarged to ensure reliability. However, even with the small size of both our university hospital in Amman and its hepatobiliary surgery department, it is remarkable that living donor liver transplant is performed, let alone for patients with Budd-Chiari syndrome. Previously, patients with this syndrome were categorically sent abroad to foreign countries when they reached decompensating liver function. A second center in Amman also offers living donor liver transplantation but lacks operative experience in treating patients with Budd-Chiari syndrome. Now, in view of our patients’ promising survival rates and their good posttransplant results, our findings have significant health care implications, as Jordan Hospital is a major regional health care provider for patients from various Middle Eastern countries. All affected individuals who cannot afford clinical treatment overseas can be offered a treatment option at home and are thereby given a chance to live.

Of interest, most epidemiological data in the present literature have reported on female patients, as they make up most of the diseased population. However, our study comprised 83% male patients. This aspect delivers additional noteworthy infor­mation about the management of this disease in the less frequently affected sex. As pointed out by Zhang and associates29 in 2018, the clinical characteristics of the obstructive lesions in Budd-Chiari patients vary broadly between Western and Asian populations. Consequently, the clinical presentations and treatment approaches for patients also differ. Although we found hepatic thromboses as the main obstructive lesions in Western countries, Asian patients tend to display membranous and segmental obstructions of the suprahepatic or retrohepatic portion of the inferior vena cava. This implies that interventional recanalization and surgical treatment modalities are much more relevant in Asian countries than anticoagulation and transjugular intrahepatic portosystemic shunt, which often suffice for Western patients. This carries vital sociocultural implications, making living donor liver transplant an essential treatment option for the Middle Eastern Budd-Chiari syndrome population.

Ultimately, the findings of our small transplant center in Jordan can have major clinical consequences for countries with small or scarce deceased organ donation programs. In countries like Jordan, and in small transplant centers like ours, living donor liver transplant with posterior cavoplasty for patients with end-stage liver disease caused by Budd-Chiari syndrome is extremely efficient. It provides a new opportunity for these patients and a chance to live with acceptable long-term outcomes.

Conclusions

Further studies are needed to increase the knowledge of this clearly feasible procedure. However, we can affirm that living donor liver transplant in Budd-Chiari syndrome is a life-saving treatment approach, especially in fulminant cases of hepatic failure.


References:

  1. Obed A, Bashir A, Jarrad A. A case of live donor liver transplantation in acute-on-chronic liver failure with Budd-Chiari syndrome: donor and recipient with antiphospholipid antibody syndrome. Am J Case Rep. 2018;19:767-772. doi:10.12659/AJCR.909694
    CrossRef - PubMed
  2. Menon KV, Shah V, Kamath PS. The Budd-Chiari syndrome. N Engl J Med. 2004;350(6):578-585. doi:10.1056/NEJMra020282
    CrossRef - PubMed
  3. Goel RM, Johnston EL, Patel KV, Wong T. Budd-Chiari syndrome: investigation, treatment and outcomes. Postgrad Med J. 2015;91(1082):692-697. doi:10.1136/postgradmedj-2015-133402
    CrossRef - PubMed
  4. Valla DC. The diagnosis and management of the Budd-Chiari syndrome: consensus and controversies. Hepatology. 2003;38(4):793-803. doi:10.1053/jhep.2003.50415
    CrossRef - PubMed
  5. Wang ZG, Jones RS. Budd-Chiari syndrome. Curr Probl Surg. 1996;33(2):83-211. doi:10.1016/s0011-3840(96)80001-3
    CrossRef - PubMed
  6. Valla DC. Primary Budd-Chiari syndrome. J Hepatol. 2009;50(1):195-203. doi:10.1016/j.jhep.2008.10.007
    CrossRef - PubMed
  7. Valla DC. Hepatic vein thrombosis (Budd-Chiari syndrome). Semin Liver Dis. 2002;22(1):5-14. doi:10.1055/s-2002-23202
    CrossRef - PubMed
  8. Janssen HL, Garcia-Pagan JC, Elias E, et al. Budd-Chiari syndrome: a review by an expert panel. J Hepatol. 2003;38(3):364-371. doi:10.1016/s0168-8278(02)00434-8
    CrossRef - PubMed
  9. Plessier A, Valla DC. Budd-Chiari syndrome. Semin Liver Dis. 2008;28(3):259-269. doi:10.1055/s-0028-1085094
    CrossRef - PubMed
  10. Hoekstra J, Janssen HL. Vascular liver disorders (I): diagnosis, treatment and prognosis of Budd-Chiari syndrome. Neth J Med. 2008;66(8):334-339.
    CrossRef - PubMed
  11. Horton JD, San Miguel FL, Membreno F, et al. Budd-Chiari syndrome: illustrated review of current management. Liver Int. 2008;28(4):455-466. doi:10.1111/j.1478-3231.2008.01684.x
    CrossRef - PubMed
  12. Goralczyk AD, Obed A, Beham A, Tsui TY, Lorf T. Posterior cavoplasty: a new approach to avoid venous outflow obstruction and symptoms for small-for-size syndrome in right lobe living donor liver transplantation. Langenbecks Arch Surg. 2011;396(3):389-395. doi:10.1007/s00423-010-0736-9
    CrossRef - PubMed
  13. Ara C, Akbulut S, Ince V, Karakas S, Baskiran A, Yilmaz S. Living donor liver transplantation for Budd-Chiari syndrome: Overcoming a troublesome situation. Medicine (Baltimore). 2016;95(43):e5136. doi:10.1097/MD.0000000000005136
    CrossRef - PubMed
  14. Saleh Y, Eldeen FZ, Kamel Y, Kabbani M, Al Sebayel M, Broering D. Liver transplant in Budd-Chiari syndrome: a single-center experience in Saudi Arabia. Exp Clin Transplant. 2014;12(1):52-54. doi:10.6002/ect.2013.0153
    CrossRef - PubMed
  15. Yamada T, Tanaka K, Ogura Y, et al. Surgical techniques and long-term outcomes of living donor liver transplantation for Budd-Chiari syndrome. Am J Transplant. 2006;6(10):2463-2469. doi:10.1111/j.1600-6143.2006.01505.x
    CrossRef - PubMed
  16. Mentha G, Giostra E, Majno PE, et al. Liver transplantation for Budd-Chiari syndrome: A European study on 248 patients from 51 centres. J Hepatol. 2006;44(3):520-528. doi:10.1016/j.jhep.2005.12.002
    CrossRef - PubMed
  17. Karaca C, Yilmaz C, Ferecov R, et al. Living-Donor Liver Transplantation for Budd-Chiari Syndrome: Case Series. Transplant Proc. 2017;49(8):1841-1847. doi:10.1016/j.transproceed.2017.04.028
    CrossRef - PubMed
  18. Akamatsu N, Sugawara Y, Kokudo N. Budd-Chiari syndrome and liver transplantation. Intractable Rare Dis Res. 2015;4(1):24-32. doi:10.5582/irdr.2014.01031
    CrossRef - PubMed
  19. Zieniewicz K, Krawczyk M, Nyckowski P, et al. Liver transplantation: comparison of the classical orthotopic and piggyback techniques. Transplant Proc. 2002;34(2):625-627. doi:10.1016/s0041-1345(01)02867-6
    CrossRef - PubMed
  20. Sabra TA, Okajima H, Tajima T, et al. Living donor liver transplantation for adult Budd Chiari syndrome - Resection without replacement of retrohepatic IVC: A case report. Int J Surg Case Rep. 2018;42:50-54. doi:10.1016/j.ijscr.2017.11.050
    CrossRef - PubMed
  21. Kubo S, Ichikawa T, Takemura S, et al. Reconstruction of hepatic veins by anastomosis with suprahepatic IVC in the posterior mediastinum in living donor liver transplantation for Budd-Chiari syndrome. Hepatogastroenterology. 2009;56(94-95):1521-1524.
    CrossRef - PubMed
  22. Gonultas F, Akbulut S, Barut B, et al. Usability of Inferior Vena Cava Interposition Graft During Living Donor Liver Transplantation: Is This Approach Always Necessary? J Gastrointest Surg. 2020;24(7):1540-1551. doi:10.1007/s11605-019-04342-6
    CrossRef - PubMed
  23. Kazimi M, Karaca C, Ozsoy M, et al. Live donor liver transplantation for Budd-Chiari syndrome: anastomosis of the right hepatic vein to the right atrium. Liver Transpl. 2009;15(10):1374-1377. doi:10.1002/lt.21815
    CrossRef - PubMed
  24. Yoon YI, Lee SG, Moon DB, et al. Surgical techniques and long-term outcomes of living-donor liver transplantation with inferior vena cava replacement using atriocaval synthetic interposition graft for Budd-Chiari syndrome. Ann Surg. 2019;269(4):e43-e45. doi:10.1097/SLA.0000000000002847
    CrossRef - PubMed
  25. Fukuda A, Ogura Y, Kanazawa H, et al. Living donor liver transplantation for Budd-Chiari syndrome with hepatic inferior vena cava obstruction after open pericardial procedures. Surg Today. 2013;43(10):1180-1184. doi:10.1007/s00595-012-0440-1
    CrossRef - PubMed
  26. Liu C, Hsia CY, Loong CC, et al. A technique of diamond-shape venoplasty to reconstruct the hepatic venous outflow in living donor liver transplantation for a case of Budd-Chiari syndrome. Pediatr Transplant. 2009;13(1):35-38. doi:10.1111/j.1399-3046.2008.01059.x
    CrossRef - PubMed
  27. Lee SG. A complete treatment of adult living donor liver transplantation: a review of surgical technique and current challenges to expand indication of patients. Am J Transplant. 2015;15(1):17-38. doi:10.1111/ajt.12907
    CrossRef - PubMed
  28. Majno PE, Toso C, Berney T. Cutting the Gordian Knot of Living-donor Liver Transplantation for Budd-Chiari Syndrome. Ann Surg. 2019;269(4):e46. doi:10.1097/SLA.0000000000003212
    CrossRef - PubMed
  29. Zhang W, Wang QZ, Chen XW, et al. Budd-Chiari syndrome in China: A 30-year retrospective study on survival from a single center. World J Gastroenterol. 2018;24(10):1134-1143. doi:10.3748/wjg.v24.i10.1134
    CrossRef - PubMed


Volume : 18
Issue : 7
Pages : 796 - 802
DOI : 10.6002/ect.2020.0331


PDF VIEW [257] KB.

From the 1General Surgery Department, the 2Pediatric Surgery Department, the 3General and Transplant Surgery, the 4Hepatology, Gastroenterology, and Hepatobiliary/Transplant Unit, the 5Hepatobiliary and Transplant Surgery, Jordan Hospital, Amman, Jordan
Acknowledgements: The authors have not received any funding or grants in support of the presented research or for the preparation of this work and have no declarations of potential conflicts of interest. All authors have given their final approval of the submitted version. Data sharing is not applicable to this article, since datasets were neither generated nor analyzed for the case series.
Corresponding author: Mikal Obed, Hepatology, Gastroenterology and Hepatobiliary/Transplant Unit, Jordan Hospital, Amman, Jordan
Phone: +962 6 5608030
E-mail: mikal.obed@stud.mh-hannover.de