Begin typing your search above and press return to search.
Volume: 18 Issue: 5 October 2020

FULL TEXT

ARTICLE
Liver and Kidney Transplant During a 6-Month Period in the COVID-19 Pandemic: A Single-Center Experience

Objectives: With the declaration of COVID-19 as a pandemic, many studies have indicated that elective surgeries should be postponed. However, post­ponement of transplants may cause diseases to get worse and increase the number in wait lists. We believe that, with precautions, transplant does not pose a risk during pandemic. Here, we aimed to evaluate our transplant results, which we safely performed during a 6-month pandemic period.

Materials and Methods: Until September 2020, 3140 kidney and 667 liver transplants have been performed in our centers. We evaluated 38 kidney transplants and 9 liver transplants procedures performed during the pandemic (March 1 to September 2, 2020). Recipient and donor candidates were screened for COVID-19 with polymerase chain reaction and thoracic computed tomography. All recipients had routine immuno­suppressive protocol. During hospitalization at our COVID-19-free transplant facility, we restricted the interactions during multidisciplinary rounds.

Results: During the pandemic, 38 kidney transplants with an average length of hospital stay of 8.1 days were performed. Mean serum creatinine values of recipients were 0.91, 0.86, and 0.74 mg/dL on postoperative days 7, 30, and 90, respectively. During the pandemic, 9 living donor liver transplants (1 adult, 8 pediatric) were performed with an average length of hospital stay of 17.1 days. Mean serum total bilirubin levels were 0.9, 0.5, and 0.4 mg/dL on postoperative days 7, 30, and 90, respectively. Mean serum aspartate aminotransferase levels were 38.1, 28.3, and 22.3 U/L on postoperative days 7, 30, and 90, respectively. All recipients and donors were successfully discharged. Only 1 liver recipient died (on day 55 after discharge as a result of oxalosis-induced heart failure).

Conclusions: According to our results, when precautions are taken, transplant does not pose a risk to patients during the pandemic period. We attribute the safety and success shown to our newly developed protocol in response to the COVID-19 pandemic.


Key words : Donor selection, Organ transplants, Transplant recipients

Introduction

Coronavirus disease (COVID-19), the disease caused by the severe acute respiratory syndrome coronavirus 2 (SARS-CoV-2), first appeared on December 31, 2019 in Wuhan, China, and spread to the rest of the world in a short time. According to recent reports of the World Health Organization, the mortality rate of COVID-19 is 5.48%.1 Previous studies have reported that mortality rate increases in patients > 65 years old, patients with comorbidity, and immunosuppressed patients.2,3 On the other hand, no increased risk has been reported for solid-organ transplant recipients versus the general population.4,5 Therefore, postponing solid-organ transplants can lead to an increase in the wait list periods and progression of malignant diseases. It is recommended that liver transplants (LT) and kidney transplants (KT) should not be postponed but should proceed, facilitated by new protocols to ensure success.2,6 In the present study, we evaluated results of LT and KT procedures performed in our centers during the COVID-19 pandemic period.

Materials and Methods

The first living-related KT in Turkey was performed by our team on November 3, 1975. We performed the first deceased-related kidney transplant in Turkey on October 10, 1978.7 Our team performed the first successful deceased donor LT in Turkey, the Middle East, and North Africa on December 8, 1988. Also, on March 15, 1990, our team performed the first pediatric segmental living-related LT in Turkey, the Middle and Near East, and Europe.8-10 On April 24, 1990, our team performed a living-related LT on an adult, which was the first in the world.10,11 In addition, on May 16, 1992, our team performed the first combined LT-KT from a living-related donor, which was the first operation of its kind anywhere in the world.12,13 Between November 1975 and September 2020, we performed 3140 KT procedures. In addition, between December 1988 and September 2020, we performed 667 LT procedures in our centers. Between March 1, 2020, and September 2, 2020, during the pandemic period in our country, we performed 38 KTs and 9 LTs.

According to our donor selection criteria, all candidates were relatives (up to the fourth degree) or the spouse of the recipient and ≥ 18 years old. If these criteria were met, then the candidates were screened for COVID-19 with COVID-19 polymerase chain reaction (PCR) test and thorax computed tomography (CT). Until the PCR tests were completed, the candidates were isolated at home. If the COVID-19 PCR tests of the patients or their donor candidates were positive, then those transplant procedures were postponed for at least 3 months. After these procedures, if there was no suspicion of COVID-19, then the candidates were interviewed by the transplant surgeon about the details of the surgery, postoperative care, and complications. After this interview, all candidates were hospitalized in isolated COVID-free services, and medical evaluations commenced. The second round of COVID-19 PCR tests was performed 48 hours before the transplant. Medical evaluation was composed of physical and psychosocial evaluations, laboratory tests, radiology evaluation, assessment of general operational risk with consultation from appropriate departments, and pathology evaluation if necessary.

In cases of deceased donor LT and KT, the donor candidate was screened for COVID-19 with a COVID-19 PCR test and thorax CT. At the end of these procedures, if there was no suspicion of COVID-19, then we proceeded with organ procurement. Also, the deceased donor recipient candidates were screened for COVID-19 as were the living donor recipients.

For LT, in the early post-operative period, both the donor and recipient were treated in a COVID-19-free transplant intensive care unit (ICU). For KT, both donors and recipients were treated after surgery in a COVID-19-free transplant facility. All recipients were given a routine immunosuppressive protocol (tacrolimus, mycophenolate mofetil, and steroids). During this period, we conducted surgical transplant rounds with the minimum number of personnel, and we limited the number of encounters with team members who entered a patient’s room for patient examinations. Face masks were compulsory for everyone in the hospital. Also, we did not allow visitors to enter the ICU, except for mothers of pediatric recipients; before each visit by a mother, a standard body temperature check was performed, and hand-washing was required and enforced. On the second day, the donor was routinely transferred to a COVID-19-free transplant facility. The clinical status that was reported for each recipient was based on time of transfer to the facility.

During the service period at the COVID-19-free transplant facility, we restricted the degree of interaction during multidisciplinary rounds of dietary, pharmacy, social work, and care coordination staff. Visitors were not allowed to visit the service facilities except for mothers of pediatric recipients. We performed daily evaluations of the recipients, including physical, radiological, and laboratory tests. To screen for nosocomial infections, donors and recipients were routinely tested with a COVID-19 PCR test before discharge.

Ethics approval was received from the Başkent University Medical and Health Sciences Research Committee on February 6, 2020, with project number KA20/318 (Ministry of Health Approval Date: April 8, 2020).

Results

During the pandemic period, we successfully performed 38 KTs and 9 LTs. Two of 38 KT patients received kidneys from deceased donors, and the other 36 patients were recipients of living donors. There were 27 recipients who were male (71%). Three of the 36 recipients were children (4, 14, and 16 years old). The mean age of adult kidney recipients was 40.6 years (range, 18-61 years). Two KTs were two-way paired kidney procedures, and their donors were the patients’ spouses. All other kidney donors were relatives of their recipients (11 were spouses, 8 were siblings, 5 were mothers, 5 were fathers, 2 were aunts, 1 was a son, 1 was a cousin, and 1 was a nephew). Except for 1 donor candidate, for all of the other recipients and donors, the COVID-19 PCR tests were negative. The donor candidate whose COVID-19 PCR test result was positive was transferred to a COVID-19 treatment center.

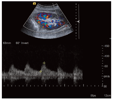
The cause of chronic kidney disease (CKD) in 9 of 38 kidney recipients was hypertension. The other etiologies were vesicoureteral reflux (n = 5), type 2 diabetes mellitus (n = 4), unknown (n = 3), polycystic kidney disease (n = 2), focal segmental glomerulosclerosis (n = 2), membranoproliferative glomerulonephritis (n = 2), nephronophthisis (n = 2), cystinosis (n = 2), and other (gout, oxalosis, nephrotic syndrome, Fabry disease, immunoglobulin A nephropathy, drug-induced nephrotoxicity, neuro­genic bladder) (n = 6). All recipients were treated in a COVID-19 transplant facility after transplant surgery. Doppler ultrasonography was performed on kidney recipients on days 3 and 5 after transplant surgery, and all results were completely normal (Figure 1). The average length of hospital stay was 8.1 days (range, 3-18 days) (Table 1). Mean serum creatinine values of the KT recipients were 0.91 mg/dL at post-operative day 7, 0.86 mg/dL at day 30, and 0.74 mg/dL at day 90 (Figure 2). Mean glomerular filtration rates were 77.2 mL/min/1.73 m2 at post-operative day 7, 82.4 mL/min/1.73 m2 at day 30, and 88 mL/min/1.73 m2 at day 90 (Figure 3). All KT recipients were discharged successfully with normal kidney functions.

The mean age of the kidney donors was 44.4 years (range, 18-61 years). The average length of hospital stay of donors was 3.4 days (range, 1-8 days). Characteristics of kidney donors are summarized in Table 2. All living kidney donors were discharged without problems. All PCR tests performed before discharge were negative.

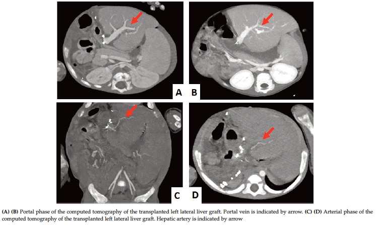
Eight of 9 LT recipients were children. All LTs were from living-related donors. Six of the recipients were male, and 3 of them were female. The most common indication for LT was biliary atresia (n = 4). The other etiologies were progressive familial intrahepatic cholestasis (n = 2), oxalosis (n = 1), tyrosinemia + hepatocellular carcinoma (HCC) (n = 1), and hepatitis B + HCC (n = 1). The mean age of children was 22 months (range, 3-96 months), and the adult recipient was 57 years old. The average weight of the recipients was 10.2 kg (range, 5-19 kg). The adult recipient’s weight was 74 kg. Demographics and clinical characteristics of LT recipients are summarized in Table 3. Five of the LT donors were mothers of recipients, 1 was a father, 1 was an uncle, 1 was an aunt, and 1 was a son. Seven of 8 liver grafts were left lateral segments, and 1 was a right segment. Abdominal CTs were performed on LT recipients on day 7 after surgery, and all results were normal (Figure 4). Mean serum total bilirubin values of the LT recipients were 0.9 mg/dL at post-operative day 7, 0.5 mg/dL at day 30, and 0.4 mg/dL at day 90 (Figure 5). Mean serum aspartate aminotransferase values of LT recipients were 38.1 U/L at postoperative day 7, 28.3 U/L at day 30, and 22.3 U/L at day 90 (Figure 6). The mean serum alanine aminotransferase values of recipients were 31.1 U/L at postoperative day 7, 23.7 U/L at day 30, and 15.2 U/L at day 90 (Figure 7). The average length of stay in the ICU was 3.4 days (range, 1-8 days). The average length of hospital stay was 17.1 days (range, 6-36 days). All LT recipients were discharged successfully. Only 1 liver recipient died (a pediatric patient), which was a result of oxalosis-induced heart failure 55 days after LT. He was discharged on day 26 after LT. Sixteen days after discharge, he returned to the hospital with heart failure and died on day 13 after admission.

Mean age of liver donors was 29.7 years (range, 21-52 years). The average length of hospital stay was 4.3 days (range, 3-6 days) (Table 4). All liver donors were discharged without problems. All PCR tests performed before discharge were negative.

Discussion

According to our results, when some precautions are taken, transplant does not pose a risk to patients during the pandemic period.

With the declaration of COVID-19 as a pandemic, many studies have been published on the measures that must be taken by health care providers and institutes and policies that must be followed. Recent studies have indicated that hospitalizations should be reduced and elective surgeries should be postponed as much as possible.14-16 However, the same is not the case for solid-organ transplants. Postponement of transplant surgery increases the risk of deterioration in the patient’s condition; in addition, postponement may lead to an increase in the patient wait list.17 We previously reported that there was no increased risk for COVID-19 disease in KT recipients and patients with CKD.4 In agreement, the vast majority of recent studies have recommend­ed that transplant operations be continued, despite an ongoing pandemic.5,18,19 In our transplant centers, we have performed 9 LTs and 38 KTs, the safety and success of which we attribute to our newly developed protocol in response to the COVID-19 pandemic.

Because of its interaction with Sars-CoV-2, the liver is an organ that may be greatly affected by COVID-19 infection,2 which may lead to deterioration for patients with chronic liver disease and COVID-19 infection. Patients with cirrhosis, especially those with a high Model for End-Stage Liver Disease score, are at risk for decompensation during the wait list period. The relationship between HCC and COVID-19 is not fully known.2,20 However, progression of HCC may occur in patients with HCC whose LT is postponed. In our LT patients, 4 had biliary atresia, 2 had progressive familial intrahepatic cholestasis, 1 had oxalosis, 1 had hepatitis B virus + HCC, and 1 had tyrosinemia + HCC. During the pandemic period, we discharged all patients successfully, as a result of our new Baskent University protocol that we applied during the treatment process for all patients undergoing LT. Only one LT recipient died, which was the result of heart failure 55 days after LT.

The association between CKD and COVID-19 is not clearly known. The mortality rate of COVID-19 in patients with CKD is between 3.7% and 3.9%.18 Although some studies in the literature have suggested that KT should be terminated during the COVID-19 pandemic, overall, most studies have stated that KT can be continued under certain precautions.18,21-23 In addition, after KT, patients no longer need hemodialysis, which allows them to adapt to social isolation more easily. At our Baskent University transplant centers, all patients who received KTs during the study period were discharged without problems, and none needed hemodialysis.

Several studies on immunosuppressed solid-organ transplant recipients have reported a higher risk for COVID-19 in this population,24-26 which have led to postponed transplant activities. On the other hand, Aslan and associates reported that no relationship has been demonstrated between immunosup­pressive therapy and COVID-19 mortality.27 Also, Seminari and associates reported that immunosup­pressive therapy may have a protective effect against COVID-19 by reducing the cytokine storm.28 Boettler and colleagues advocated in their study that immunosuppressive treatment should not be reduced routinely.19 Moreover, in an evaluation from Akdur and colleagues of 538 LT and KT recipients, rates of organ transplant recipients affected by COVID-19 did not differ from rates in the normal population.5 In the LT and KT procedures performed during the pandemic period at our center, we gave our patients routine immunosuppressive treatment and did not make any reduction in treatment.

In conclusion, postponement of LT and KT procedures during a pandemic period may cause the existing diseases of the patients to get worse and may also cause an increase in the number of patients on wait lists. Our results showed that LTs and KTs were performed with high success rates during the current pandemic by excluding patients who tested positive for COVID-19 infection and by carefully preparing patients before surgery and having careful evaluations during the follow-up period.


References:

  1. WHO Coronavirus Disease (COVID-19) Dashboard. Updated September 9, 2020. https://covid19.who.int/

  2. Fix OK, Hameed B, Fontana RJ, et al. Clinical Best Practice Advice for Hepatology and Liver Transplant Providers During the COVID-19 Pandemic: AASLD Expert Panel Consensus Statement. Hepatology. 2020;72(1):287-304. doi:10.1002/hep.31281
    CrossRef - PubMed
  3. McIntosh K, Hirsch MS, Bloom A. Coronavirus disease 2019 (COVID-19): Epidemiology, virology, and prevention. UpToDate. Topic 126981, version 108.0. Updated August 27, 2020.
  4. Haberal M. COVID-19 update. Exp Clin Transplant. 2020;18(2):139-140. doi:10.6002/ect.2020.000e
    CrossRef - PubMed
  5. Akdur A, Karakaya E, Ayvazoglu Soy EH, et al. Coronavirus disease (COVID-19) in kidney and liver transplant patients: a single-center experience. Exp Clin Transplant. 2020;18(3):270-274. doi:10.6002/ect.2020.0193
    CrossRef - PubMed
  6. López V, Vázquez T, Alonso-Titos J, et al. Recommendations on management of the SARS-CoV-2 coronavirus pandemic (Covid-19) in kidney transplant patients. Nefrologia. 2020;40(3):265-271. doi:10.1016/j.nefro.2020.03.002
    CrossRef - PubMed
  7. Haberal M. Development of transplantation in Turkey. Transplant Proc. 2001;33(7-8):3027-3029. doi:10.1016/s0041-1345(01)02298-9
    CrossRef - PubMed
  8. Haberal M, Gülay H, Büyükpamukçu N, et al. Liver transplantation in Turkey. Transplant Proc. 1991;23(5):2563-2565.
  9. Haberal M, Tokyay R, Telatar H, et al. Living related and cadaver donor liver transplantation. Transplant Proc. 1992;24(5):1967-1969.
  10. Haberal M, Telatar H, Bilgin N, et al. Living related liver transplantation in an adult and a child. Exp Clin Transplant. 2008;6(2):95-100.
    PubMed
  11. Haberal M, Abbasoğlu O, Büyükpamukçu N, Bilgin N, Telatar H, Besim A. Segmental living related donor liver transplantation in childhood. Transplant Proc. 1993;25(3):2200-2202.
    PubMed
  12. Haberal M, Abbasoğlu O, Büyükpamukçu N, et al. Combined liver-kidney transplantation from a living-related donor. Transplant Proc. 1993;25(3):2211-2213.
    PubMed
  13. Haberal M, Moray G, Ayvazoğlu Soy E H, et al. Transplantation and legislation in Turkey. Exp Clin Transplant. 2020;18(Suppl 2):6-15. doi:10.6002/ect.rlgnsymp2020.L2
    CrossRef - PubMed
  14. Coccolini F, Perrone G, Chiarugi M, et al. Surgery in COVID-19 patients: operational directives. World J Emerg Surg.2020;15(1):25. doi:10.1186/s13017-020-00307-2
    CrossRef - PubMed
  15. Al-Balas M, Al-Balas HI, Al-Balas H. Surgery during the COVID-19 pandemic: A comprehensive overview and perioperative care. Am J Surg. 2020;219(6):903-906. doi:10.1016/j.amjsurg.2020.04.018
    CrossRef - PubMed
  16. Coimbra R, Edwards S, Kurihara H, et al. European Society of Trauma and Emergency Surgery (ESTES) recommendations for trauma and emergency surgery preparation during times of COVID-19 infection. Eur J Trauma Emerg Surg. 2020;46(3):505–510. doi:10.1007/s00068-020-01364-7
    CrossRef - PubMed

  17. Haberal M. Deceased Organ Donation and Transplantation. Exp Clin Transplant. 2020;18(Suppl 2):1-5. doi:10.6002/ect.rlgnsymp2020.L1
    CrossRef - PubMed
  18. López V, Vázquez T, Alonso-Titos J, et al. [Recommendations for the management of the SARS-CoV-2 (Covid-19) coronavirus pandemic in kidney transplant patients.] Nefrologia. 2020;40(3)265-271. doi:10.1016/j.nefro.2020.03.002
    CrossRef - PubMed
  19. Boettler T, Newsome PN, Mondelli MU, et al. Care of patients with liver disease during the COVID-19 pandemic: EASL-ESCMID position paper. JHEP Rep. 2020;2(3):100113. doi:10.1016/j.jhepr.2020.100113
    CrossRef - PubMed
  20. Rich NE, John BV, Parikh ND, et al. Hepatocellular carcinoma demonstrates heterogeneous growth patterns in a multi-center cohort of patients with cirrhosis. Hepatology. Published online February 4, 2020. doi:10.1002/hep.31159
    CrossRef - PubMed
  21. Akalin E, Azzi Y, Bartash R, et al. Covid-19 and kidney transplantation. N Engl J Med. 2020;382(25):2475-2477. doi:10.1056/NEJMc2011117
    CrossRef - PubMed
  22. Coates PT, Wong G, Drueke T, Rovin B, Ronco P. Early experience with COVID-19 in kidney transplantation. Kidney Int. 2020;97(6):1074-1075. doi:10.1016/j.kint.2020.04.001
    CrossRef - PubMed
  23. Vistoli F, Furian L, Maggiore U, et al. COVID-19 and kidney transplantation: an Italian survey and consensus. J Nephrol. 2020;33(4):667-680. doi:10.1007/s40620-020-00755-8
    CrossRef - PubMed
  24. Manuel O, Estabrook M; American Society of Transplantation Infectious Diseases Community of Practice. RNA respiratory viral infections in solid organ transplant recipients: Guidelines from the American Society of Transplantation Infectious Diseases Community of Practice. Clin Transplant. 2019;33(9):e13511. doi:10.1111/ctr.13511
    CrossRef - PubMed
  25. Columbia University Kidney Transplant Program. Early description of Coronavirus 2019 disease in kidney transplant recipients in New York. J Am Soc Nephrol. 2020;31(6):1150-1156. doi:10.1681/asn.2020030375
    CrossRef - PubMed
  26. Huang J, Lin H, Wu Y, et al. COVID-19 in posttransplant patients-report of 2 cases. Am J Transplant. 2020;20(7):1879-1881. doi:10.1111/ajt.15896
    CrossRef - PubMed
  27. Arslan H, Musabak U, Ayvazoglu Soy EH, et al. Incidence and immunologic analysis of coronavirus disease (COVID-19) in hemodialysis patients: a single-center experience. Exp Clin Transplant. 2020;18(3):275-283. doi:10.6002/ect.2020.0194
    CrossRef - PubMed
  28. Seminari E, Colaneri M, Sambo M, et al. SARS Cov-2 infection in a renal-transplanted patient: a case report. Am J Transplant. 2020;20(7):1882-1884. doi:10.1111/ajt.15902
    CrossRef - PubMed


Volume : 18
Issue : 5
Pages : 564 - 571
DOI : 10.6002/ect.2020.0388


PDF VIEW [1585] KB.

From the 1Department of General Surgery, Baskent University Faculty of Medicine, Division of Transplantation, Ankara, Turkey; the 2Department of Reanimation and Anesthesia, Baskent University Faculty of Medicine, Ankara, Turkey; the 3Department of Nephrology, Baskent University Faculty of Medicine, Ankara, Turkey; and the 4Department of Radiology, Baskent University Faculty of Medicine, Ankara, Turkey
Acknowledgements: The authors have not received any funding or grants in support of the presented research or for the preparation of this work and have no further declarations of potential conflicts of interest. The data that support the findings of this study are available from the corresponding author by reasonable request.
Corresponding author: Mehmet Haberal, Baskent University, Department of General Surgery, Yukarı Bahçelievler, Mareşal Fevzi Çakmak St. No:45, 06490 Çankaya/Ankara
Phone: +90 312 2127393
E-mail: rectorate@baskent.edu.tr