Objectives: Wharton jelly mesenchymal stem cells are good candidates for application in different aspects of regenerative medicine, and their long-time banking is important. In this study, the effects of trehalose, ascorbic acid, and Y-27632 on proliferation and survival rate of these cells after cryopreservation were investigated.
Materials and Methods: Mesenchymal stem cells were isolated from human umbilical cord Wharton jelly and frozen using a slow-rate cooling process. Different concentrations of trehalose (35, 75, and 125 mM), ascorbic acid (0.06, 0.125, 0.25, and 0.5 mM), and Y-27632 (10 µM) were used to treat culture medium and/or to supplement freezing medium. Assessment of cell viability after thawing was performed using Trypan blue staining, and MTT assay was performed to measure the cell proliferation rate.
Results: We observed significantly increased postthaw viability, increased cell proliferation, and decreased doubling time of cells when 75 mM trehalose, 0.25 and 0.5 mM ascorbic acid, and 10 mM Y-27632 were used. In addition, increased viability, proliferation, and attachment were observed after 24 hours of pretreatment with these cryoprotective agents and when they were added to conventional freezing medium.
Conclusions: The use of different cryoprotective agents in culture and freezing media could be useful for long-term storage of Wharton jelly mesenchymal stem cells.
Key words : Cryoprotective agents, Regenerative medicine, Stem cells
Introduction
Wharton jelly-derived human mesenchymal stem cells (WJ-MSCs) can be easily isolated and processed compared with embryonic stem cells and bone marrow-derived MSCs.1 These cells are capable of differentiating to osteogenic, chondrogenic, and adipogenic cells and also to other germ cell layers.1,2 Wharton jelly-derived human mesenchymal stem cells also have other advantages. They have a high proliferation capability, do not induce teratomas after transplantation,1 and can be cultivated in their undifferentiated state.2 Major possible application areas for human stem cells (hSCs) include (1) basic scientific research, (2) pharmacology, (3) tissue engineering, and (4) regenerative medicine.2,3 Mesenchymal stem cells have shown promise in these fields, and their long-time banking has become an important area of research for their future application.4,5
As a consequence of cryopreservation and during the freezing and thawing processes, many hSCs are lost.4 Therefore, a primary area of hSCs research is long-term cryopreservation in an effective, efficient, and reliable way and in a way to cryopreserve a sufficient number.2 For cryopreservation, 2 important problems should be resolved during the freezing and thawing processes: cryopreservation-induced apoptosis and rate of cell cooling. Cryopreservation-induced apoptosis occurs as a result of false cleavage of apoptotic proteins during the freezing and thawing processes; this could be prevented by addition of protease inhibitors to the freezing medium.4 Cooling the cell at a controlled rate can avoid intracellular and extracellular ice, which can cause rupture of the cell membrane and dehydration of the cells, respectively. This complication could be mitigated by addition of cryoprotective agents to the freezing medium.5
Trehalose is a nonreducing, nontoxic disaccharide of glucose found at large concentrations in many types of organisms that are able to tolerate and survive complete dehydration.5-9 This sugar may protect cells in 2 ways.9,10 First, according to “the water replacement hypothesis,” it has been shown that trehalose possesses a special ability to protect the cell membrane by stabilizing the interaction with lipids in the membrane. It also has a protective function for labile proteins by their stabilization during freezing and thawing processes.6,7 Second, according to vitrification processes, loss of water within cells results in both deceleration of molecular mobility and high levels of molecular packing. The production of an admixture of proteins, sugars, and other solutes is significantly stable during storage until water becomes available.6,9
These capabilities make trehalose an outstanding nonpermeable cryoprotectant that can be used alone or in combination with other materials (like dimethyl sulfoxide [DMSO]) for cryopreservation of hSCs.8,9 Trehalose works synergistically with DMSO as a cryoprotective agent.8 Trehalose is more efficient when available on both sides of the cell membrane.9
Ascorbic acid is a potent radical scavenger and has an antioxidant capacity, which protects the cells against detrimental effects of reactive oxygen species (ROS), including superoxide and hydrogen peroxide.11,12 When hSCs are subjected to stress factors, including freezing and thawing, or pH fluctuations, mitochondria start producing ROS, resulting in a series of consequences, including peroxidation of lipids, cell membrane disruption, and finally cell death.12 It has been shown that ascorbic acid recovers inactive vitamin E, diminishes ROS-induced DNA destruction, and decreases lipid peroxidation.13 The benefits of ascorbic acid make it a good candidate as a cryoprotectant for use in combination with other cryoprotective agents in the cryomedium.
Generally, hSCs are split into small aggregates or single cells during cryopreservation.14 These processes make hSCs susceptible to apoptosis and subject to voluminous cell death after complete segregation, decreasing the efficiency of cloning.14,15 This apoptosis may be related to RhoA guanosine triphosphate signaling pathways.15 In addition, a number of studies have reported that a selective Rho-associated coiled-coil kinase (ROCK) inhibitor, Y-27632, can increase cell survival rate by diminishing negative effects of segregation-induced apoptosis, which in turn increases the efficiency of cloning.4,14-16 These data have shown the potential use of Y-27632 as a supplement for freezing/thawing medium.
In this study, we investigated different concentrations of trehalose, ascorbic acid, and Y-27632 as cryoprotective agents on proliferation and survival rate of WJ-MSCs after cryopreservation.
Materials and Methods
Mesenchymal stem cell preparation
Fresh human umbilical cord samples were aseptically collected from cesarean
section delivery, which was done in the obstetrics department of Hafez Hospital
affiliated with the Shiraz University of Medical Sciences. This study was
approved by the ethics committee of Shiraz University of Medical Sciences.
Written informed consent was signed by the parents for cell preparation from the
umbilical cords.
Umbilical cord Wharton jelly samples were processed on the day of sample collection. Mesenchymal stem cells were derived as described previously.1,17 Briefly, in aseptic conditions, samples were diced into pieces of about 0.5 to 1 mm2. These pieces were transferred to 10-cm cell culture plates and allowed to attach. Fresh high-glucose Dulbecco’s modified Eagle’s medium (H-DMEM), supplemented with 10% fetal bovine serum (FBS) and 1% Pen-Strep (GIBCO, Berlin, Germany), was added to the plates, which were then transferred into a 37°C incubator containing 5% CO2 and saturated humidity atmosphere. Media were changed every 3 days. Cell passaging was conducted until 70% to 80% confluency was reached, with cell harvesting conducted with use of 0.05% trypsin-ethylenediaminetetraacetic acid (GIBCO).
Immunophenotyping by flow cytometry
Cell phenotypes were assessed with CD90-fluorescein isothiocyanate (FITC),
CD45-FITC, CD44-FITC, CD34-FITC, and CD105-FITC (BioLegend, San Diego, CA, USA).
Cells were also treated with appropriate isotype control antibodies. Stained
cells were analyzed using FACSCalibur flow cytometer (Becton Dickinson, Franklin
Lakes, NJ, USA), as described previously.1,17,18
Study groups
To assess the effects of different concentrations of the cryoprotective agents
trehalose (35, 75, and 125 mM), ascorbic acid (0.06, 0.125, 0.25, and 0.5 mM),
and
Y-27632 (10 μM) on proliferation and survival of
WJ-MSCs, we formed 4 study groups. (1) Cells in the control group did not
receive any cryoprotective agents before and during the freezing. (2) Cells in
experimental group A had the above-mentioned materials added to the culture
medium and were then treated with cryoprotective agents 24 hours before
cryopreservation. (3) Cells in experimental group B had the above-mentioned
materials added to the freezing medium and were then cryoprotected with
cryoprotective agent supplementation. (4) Cells in experimental group C were
treated with cryoprotective agents 24 hours before cryopreservation (added to
culture medium) and also cryoprotected (added to freezing medium) with
cryoprotective agent supplementation. The initial viability of cells was also
recorded immediately after trypsinization as a control. For each experimental
group, there were 3 replicate readings.
Cryopreservation and thawing of Wharton jelly mesenchymal stem cells
Cryopreservation medium consisted of 90% FBS, 10% DMSO, and the cryoprotectants.
Concentrations of cryoprotectants included 35, 75, and 125 mM trehalose
(Sigma-Aldrich, St. Louis, MO, USA); 0.06, 0.125, 0.25, and 0.5 mM ascorbic acid
(Sigma-Aldrich); and 10 μM Y-27632 (Sigma-Aldrich).
The cells were harvested with 0.05% trypsin-ethylenediaminetetraacetic acid and suspended at 1 × 106 cells/mL in chilled sterile freezing medium as described above, and 3 × 105 cells were poured into 2-mL cryovials. Cryovials were put into a Mr. Frosty freezing container (Thermo Fisher Scientific, Rockford, IL, USA) containing isopropyl alcohol, which allowed a cooling rate of 1°C/min when stored at -80°C. Finally, after 24 hours of freezing, the cryovials were transferred from -80°C to -196°C in liquid nitrogen for 30 days.
Postthaw viability of cryopreserved cells and estimation of doubling time with
Trypan blue exclusion assay
After 30 days of cryopreservation, cell suspensions from each cryovial were
rapidly thawed at 37°C in water bath and quickly suspended in 10 mL of
H-DMEM (GIBCO) supplemented with 10% FBS (GIBCO) and 1% penicillin-streptomycin.
The cell suspension was centrifuged at 1500 revolutions/min for 5 minutes and
resuspended in H-DMEM supplemented with 10% FBS and 1% antibiotics.
Assessment of postthaw cell viability (recovery rate) was performed with Trypan blue staining (Sigma, St. Louis, MO, USA). For estimation of viable cells, cells were counted immediately after thawing; to estimate doubling time of cells, we cultured 5 × 104 cells and counted them after 2 days.
MTT assay to determine cell proliferation after replating of frozen-thawed
mesenchymal stem cells
To measure cell proliferation, we used the MTT
(3-[4,5-dimethylthiazol-2-yl]-2,5-diphenyltetrazolium bromide) (Sigma) assay.
Cryopreserved cells were thawed and rapidly subjected to MTT assay. For this, 2
× 104 cells were cultured in each well of 96-well Nunc plates (Sigma-Aldrich)
and incubated at 37°C in a 5% CO2 atmosphere for 3 days.
Cells were then washed with phosphate-buffered
saline to remove unattached cells. Next, 10 μL of 0.005 g/mL of MTT solution
were added to each well and incubated for 2 to 4 hours at 37°C. Plates were then
centrifuged for 10 minutes at 1800 revolutions/min, the supernatant was
discarded, and the plates were dried. Finally, to dissolve the nonsoluble
formazan, we added 100 μL of DMSO to each well, and the absorbance was measured
spectrophotometrically at 580 nm with the use of the Stat Fax 4200 microplate
reader (Awareness Technology, Palm City, FL, USA)
Statistical analyses
All experiments were repeated 3 times, and data are shown as means and standard
deviation. The independent t test was used for evaluation of data, and P values
less than 0.05 were considered statistically significant. Statistical analyses
were performed with SPSS software (SPSS: An IBM Company, version 19.0, IBM
Corporation, Armonk, NY, USA).
Results
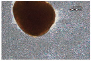
Morphology and immunophenotype features of Wharton jelly mesenchymal stem cells
The initial growth of WJ-MSCs consisted of adherent spindle-shaped cells (Figure
1) that became confluent after an average of 21 days. Flow cytometry analyses
showed that WJ-MSCs were positive for CD90 markers and negative for CD45, CD105,
and CD34. The expression of markers was not changed after freezing (Figure 2).
Differentiation of Wharton jelly mesenchymal stem cells to adipocytes and
osteocytes
After differentiation to adipogenic and osteogenic lineages, the presence of
lipid vacuoles was confirmed by Oil Red O, and calcium deposition was detected
with Alizarin red. We observed no differences in osteogenic and lipogenic
differentiation before and after freezing with freezing media (Figure 3).
Postthaw viability and cell proliferation
We observed a significant increase in postthaw viability when 75 mM trehalose (P
= .048) and when 0.25 and 0.5 mM ascorbic acid (P = .027 and .001, respectively)
were used (Figure 4). We also recorded a significant decrease in doubling time
of cells with addition of 75 mM trehalose (P = .026), 125 mM trehalose (P =
.008), 0.25 mM ascorbic acid (P = .008), and 0.5 mM ascorbic acid (P = .011).
These results are in agreement with increased viability of the cells (Figure 5
and Table 1).
The MTT assay showed an increase in cell proliferation when 75 and 125 mM trehalose (P = .026 and .032, respectively) and 0.25 and 0.5 mM ascorbic acid (P = .016 and 0.005, respectively) were added (Figure 6 and Table 1).
Although addition of 10 mM Y-27632 resulted in a great decrease in doubling time and increased proliferation of cells compared with the control group, only viability after thawing was significantly increased (P = .025). In addition, among all experimental concentrations of trehalose, ascorbic acid, and Y-27632, we observed increased viability between groups A (P = .012) and C (P = .018). Increased proliferation was also observed between groups A (P = .018) and C (P = .020). Moreover, we observed significantly decreased doubling time between group A (P = .039) and group C (P = .002). Finally, microscopic investigations indicated increased attachment of cells in groups A and C over other groups (Figure 7 and Table 1).
Discussion
Cell cryopreservation is recognized as the storage of living cells at ultra-low temperatures, generally at the temperature of liquid nitrogen (-196°C).19 At this temperature, all cellular processes of cryopreserved cells are stopped. Therefore, cell materials can be saved theoretically for an unlimited period of time.1,20 Advanced cryopreservation methods permit long-time banking of living cells for a variety of possible clinical applications.8,21 Also, it is noteworthy that there are still no ideal methods for hSC cryopreservation that would permit their widespread application in clinics and research.22 To achieve a highly efficient cryopreservation technique, a numbers of key factors must be optimized. The more important factors for successful cryopreservation are cryoprotective agents and treatment before cell culturing, cooling and rewarming rates, and the physiologic status of cell material and growth recovery conditions.20
Trehalose has been used previously as a cryoprotective agent in cryopreservation formulation.6,8 Wu and associates showed that addition of trehalose to cryopreservation media can improve the efficiency of cryopreservation of human embryonic stem cells from 15% to 48%.2,22 In addition, Campbell and Brockbank concluded that 24-hour treatment of cells with 0.2 M trehalose followed by addition of 0.2 to 0.4 M trehalose to cryopreservation media can result in 87% recovery of cells after thawing.9 In our study, we investigated different concentrations of trehalose, with results showing that 75 mM was optimal for cryopreservation of human WJ-MSCs. Addition of trehalose to pretreatment media alone resulted in increased recovery rate, and this increase was even better than the use of trehalose alone in the freezing media. Although addition of trehalose to freezing media resulted in a slightly increased recovery rate, this recovery was not statistically significant. When trehalose was added to both the pretreatment and freezing media, results were similar to its addition to pretreatment medium only.
Ascorbic acid in cryopreservation serves as a highly efficient antioxidant and is also a potent scavenger of ROS, which are toxic for cryopreserved cells.23 Limaye concluded that addition of 80 μg/mL ascorbic acid to the freezing media can almost double the cell recovery rate,24 whereas Lane and associates showed that addition of 0.1 mM ascorbic acid to the cryopreservation media can improve the recovery rate of embryos and reduce the H2O2 level in embryos after thawing.25 When we added 0.25 to 0.5 mM of ascorbic acid, we increased the recovery rate of cells by up to 93%. Our results also revealed that pretreatment of cells with ascorbic acid is more important for cryopreservation, with addition of ascorbic acid to the freezing media having no effect on the recovery rate after cryopreservation.
The use of Y-27632 during cryopreservation allows the banking of large amounts of hSCs with a high yield of colony recovery after thawing, with scant differentiation rates.14 Heng showed that addition of 5 μM Y-27632 to the freezing media improved the recovery rate from 39.8% to 48% with the least morphologic change.4 Martin-Ibanez and associates concluded that pretreatment and freezing with 10 μM Y-27632 can increase cell survival from 30% to 56%, increase colony formation, and facilitate storage of human embryonic stem cells.14 In our study, although pretreatment with 10 μM Y-27632 improved cell recovery after freezing from 60% to 70%, this improvement was not significant, with its addition to the freezing medium resulting in a slight improvement from 70% to 73.33%. The overall effect of addition of Y-27632 in both pretreatment and freezing media resulted in a statistically significant enhancement in the efficiency of freezing and indicated its beneficial effect for cryopreservation.
We found that 24-hour pretreatment with these cryoprotectants (75 mM trehalose, 0.25-0.5 mM ascorbic acid, or 10 mM Y-27632), followed by addition of them to freezing media, is an efficient method for cryopreservation of WJ-MSCs and potentially can be applied to other cell types. This method can improve the traditional cryopreservation method and can significantly increase the recovery rate of cryopreserved cells. In addition, our data support the protective nature of trehalose, ascorbic acid, and Y-27632 against freezing injuries. A combination treatment with the optimum concentrations of these 3 cryoprotectants, as a cocktail solution, and comparisons with postthaw characterization of stemness and in vitro differentiation potential are future recommendations.
References:

Volume : 18
Issue : 4
Pages : 505 - 511
DOI : 10.6002/ect.2017.0101
From the 1Islamic Azad University, Arsanjan Branch, Shiraz, Iran; the
2Transplant Research Center, Shiraz Institute for Stem Cell and Regenerative
Medicine, Shiraz University of Medical Science, Shiraz, Iran; the 3Jahrom
Branch, Young Researchers and Elit Club, Islamic Azad University, Jahrom, Iran;
and the 4Orthopedic Department, Shiraz University of Medical Science, Shiraz,
Iran
Acknowledgements: This project was supported by the Transplant Research Center
affiliated with the Shiraz University of Medical Science. All authors have no
conflicts of interest to declare. The present article was extracted from the MsC
thesis in Embryology and Development of Sulmaz Kamalifar.
Corresponding author: Negar Azarpira, Transplant Research Center, Shiraz
Institute for Stem Cell and Regenerative Medicine, Mohammad Rasoolallah Research
Tower, Khalili Street, Shiraz, Iran
Phone: +98713 647 3954
E-mail: negarazarpira@yahoo.com
Figure 1. Initial Growth of Mesenchymal Stem Cells From the Umbilical Cord Wharton Jelly Explant (×100)
Figure 2. Flow Cytometry Results of Wharton Jelly Mesenchymal Stem Cells
Figure 3. Adipogenic and Osteogenic Differentiation of Wharton Jelly Mesenchymal Stem Cells Before (Left) and After (Right) Freezing
Figure 4. Postthaw Cell Viability (Recovery Rate) of Frozen-Thawed Mesenchymal Stem Cells Under Different Treatment Conditions
Figure 5. Doubling Time of Mesenchymal Stem Cells After Replating
Figure 6. Cell Proliferation After Replating of Frozen-Thawed Mesenchymal Stem Cells
Figure 7. Better Attachment of Wharton Jelly Mesenchymal Stem Cells in Groups A and C (×100) (Left) Compared With Group B (Right)
Table 1. Recovery Rate, Doubling Time, and MTT Assay of Wharton Jelly Mesenchymal Stem Cells After Cryopreservation