Kaposi sarcoma is one of the most common malignancies seen during the posttransplant period, and it usually manifests in its cutaneous form. Renal transplant involvement is rare, whereas renal transplant parenchymal involvement causing trans-plant dysfunction is exceptionally rare. We report a case of visceral Kaposi sarcoma that led to renal transplant failure due to neoplastic infiltration of the renal allograft.
Key words : Kidney transplant, Malignancy, Renal transplant failure
Introduction
Allograft dysfunction is a frequent complication of renal transplant, and it can potentially lead to graft loss. Common intrinsic renal causes of late allograft dysfunction include acute rejection, acute tubular necrosis, interstitial nephritis, calcineurin toxicity, and recurrence of primary renal disease. Uncommonly, graft dysfunction can result from posttransplant malignancies localized near the allograft. Although this has been well documented in cases of posttransplant lymphoproliferative disorders,1 the literature on Kaposi sarcoma is only scant.
Case Report
A 60-year-old African male renal transplant patient registered for follow-up at our transplant center in June 2014, 6 weeks after undergoing a living unrelated renal transplant abroad. Medical details of the donor and induction therapy were not available, but the patient was maintained on triple immunosuppression composed of prednisolone, tacrolimus, and mycophenolate mofetil. Serum creatinine level was 101 μmol/L. He received cytomegalovirus (CMV) prophylaxis for 3 months with valganciclovir and pneumocystis pneumonia prophylaxis for 6 months with trimethoprim-sulfamethoxazole. Nine months after the transplant, his serum creatinine level was 110 μmol/L, and his immunosuppression consisted of prednisolone 5 mg once daily, mycophenolate mofetil 1 g twice daily, and tacrolimus 3 mg twice daily. Ultrasonography and Doppler studies were normal; the renal allograft measured 10.4 cm × 6 cm × 5.4 cm (approximate volume of 180 mL).
Twelve months posttransplant, after a 3-month visit to his home country, the patient was admitted with anorexia, weight loss, and reduced urine output. There was no history of fever or night sweats. Systemic inquiry was unrevealing. The patient was compliant with his immunosuppressive medication and had not used any over-the-counter drugs. On examination, he was afebrile and euvolemic with a blood pressure of 128/68 mm Hg. Accessible lymph nodes were not palpable, and there was no organomegaly. The transplanted kidney was not tender. Laboratory studies revealed hemoglobin level of 9.6 g/dL, white cell count of 4.9 × 109/L, platelet count of 250 × 109/L, serum creatinine level of 586 μmol/L, sodium level of 139 mmol/L, potassium level of 4.2 mmol/L, chloride level of 106 mmol/L, and bicarbonate level of 14 mmol/L. Urine examination showed microscopic hematuria and protein-to-creatinine ratio of 165 mg/mmol. Tacrolimus trough level was 8.0 nmol/L. Abdominal ultrasonography revealed echogenic, diffusely enlarged transplanted kidney measuring 12.3 cm × 8.2 cm × 6.9 cm (approximate volume 363 mL). Corticomedullary differentiation was reduced; there was no hydronephrosis. Doppler studies showed patent renal transplant artery and vein. Intriguingly, multiple rounded hypoechoic and hyperechoic lesions were seen in the liver. Chest radiography showed bilateral small pleural effusions.
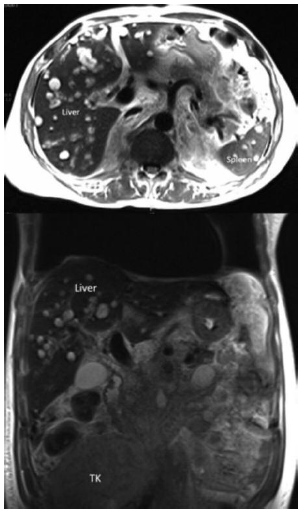
Renal function continued to deteriorate during the following week, requiring initiation of dialysis therapy. Blood and urine and pleural cultures were negative for bacteria, acid-fast bacilli, and fungi. Anti-human herpes virus 8 (HHV-8) antibody was positive, but serologic tests for CMV, BK virus, hepatitis B and C viruses, and human immuno-deficiency virus were negative. A noncontrast magnetic resonance image (MRI) of the abdomen showed a “bulky” transplanted kidney and multiple well-defined lesions of variable sizes in the liver and spleen (Figure 1).
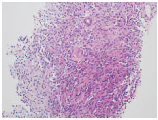
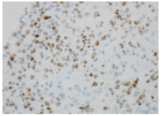
A biopsy of the transplanted kidney was conducted to elucidate the cause of transplant dysfunction. Two cores were taken from 2 separate areas. Histopathology showed neoplastic infiltration with proliferating spindle cells interspersed with vascular channels (Figure 2). Immunoperoxidase staining was positive for vascular marker CD31 and HHV-8 (Figure 3). A diagnosis of Kaposi sarcoma was rendered given the morphologic pattern and the immunohistochemical profile of a vascular neoplasm along with HHV-8 positivity. Epithelial markers (including AE1/AE3, MNF116, and epithelial membrane antigen) were negative in the neoplastic cells, eliminating the possibility of an epithelial neoplasm (eg, renal cell carcinoma). In addition, immunostaining tests for desmin, smooth muscle actin, S100, and HMB-45 were negative, thus excluding mesenchymal tumors (eg, angiomyolipoma). Light microscopy of the scant nonneoplastic cortical tissue showed 2 normal glomeruli without any evidence
of immune complex deposits. Although a mild lymphocytic interstitial infiltrate was present, there was no tubulitis, intimal arteritis, or peritubular capillaritis. C4d staining in the peritubular capillaries was negative. Hematopoietic markers including CD45, CD20, CD3, and CD5 showed a benign pattern, ruling out posttransplant lymphoproliferative disorders. No granulomas or viral inclusions were identified; viral markers for SV40 and Epstein-Barr virus were negative. Biopsy specimens of the hepatic lesions were obtained, and their histologic findings were also consistent with Kaposi sarcoma. Gastroscopy and colonoscopy did not reveal any lesions of Kaposi sarcoma.
Mycophenolate and tacrolimus were withdrawn. Prednisolone was continued, and sirolimus was added to prevent acute graft rejection. During the next 2 months, his general condition improved and he gained 4 kg of weight. Follow-up ultrasonography 3 months later showed complete resolution of hepatic lesions. Subsequent ultrasonography and MRI studies over the next 6 months confirmed complete resolution of Kaposi sarcoma lesions in the liver and spleen and progressive decreases in size and volume of kidney allograft (Figure 4). Despite radiologic regression of Kaposi sarcoma, renal transplant function did not recover. Repeat renal biopsy was not performed. Immunosuppression was gradually tapered off, and no signs of graft intolerance syndrome were seen. Sixteen months after the diagnosis of Kaposi sarcoma, the patient is in complete remission, although he is dependent on dialysis.
Discussion
This case adds to the limited body of literature on renal transplant dysfunction secondary to infiltration with Kaposi sarcoma. Clinical presentation with weight loss associated with enlargement of renal allograft and focal visceral lesions raised the possibility of malignant disease. Renal transplant and liver biopsies provided immunohistologic confirmation of Kaposi sarcoma, whereas other causes of transplant dysfunction and potential coexisting conditions including lymphomas, CMV infection, fungal infection, and tuberculosis were ruled out.
Posttransplant Kaposi sarcoma reflects a complex interplay of viral infection, genetic predisposition, and impaired immune surveillance in transplant patients. Our patient had several risk factors associated with Kaposi sarcoma, including male sex, African descent, and HHV-8 antibody positivity. The time interval between transplant and diagnosis of Kaposi sarcoma was 12 months, which conforms to previous regional observations.2
Kaposi sarcoma is most frequently encountered in cutaneous or gastrointestinal forms; visceral disease in the absence of skin and gastrointestinal lesions is unusual, seen in only 10% of cases of posttransplant Kaposi sarcoma.3,4 Renal transplant dysfunction due to Kaposi sarcoma has been reported only sporadically. Yang and associates and Rha and associates described cases of Kaposi sarcoma involving the bladder and transplant ureter, resulting in urinary tract obstruction with consequent graft dysfunction.5,6 Transurethral resection of the lesions in both cases led to improvement in renal transplant function. Although Kaposi sarcoma infiltration has been documented in patients who underwent a postmortem autopsy but had subclinical disease during their lifetimes,4 transplant dysfunction attributable to renal parenchymal infiltration by Kaposi sarcoma is an extremely rare phenomenon. We found only 1 report in the English literature where neoplastic parenchymal invasion contributed to renal transplant dysfunction.7 However, unlike our case, the nonneoplastic renal tissue showed evidence of chronic allograft nephropathy, sug-gesting an additional cause of graft dysfunction. Malignant infiltration of the renal allograft in our patient was diffuse and extensive enough to cause renal dysfunction. This was evidenced by MRI scan, which demonstrated diffuse enlargement of the transplanted kidney, and the transplant biopsies taken from 2 separate anatomic areas, which revealed extensive replacement of normal renal parenchyma by sarcomatous tissue. Simultaneous involvement of the transplant kidney with Kaposi sarcoma and non-Hodgkin lymphoma8 or Kaposi sarcoma and tuberculosis9 has been described in the literature. However, we did not find any histopathologic features of any coexisting diseases in our patient. Furthermore, the available normal renal tissue (albeit scant) in the biopsy cores did not reveal any glomerular, tubular, interstitial, or vascular pathology to account for transplant dysfunction. Hence, we believe that Kaposi sarcoma was the sole cause of renal transplant impairment in our patient.
Despite the clinical and radiologic evidence of resolution of Kaposi sarcoma, the patient never regained renal function. Because a repeat renal transplant biopsy was not performed, it is difficult to say whether nonrecovery of renal function was a result of permanent damage to the renal architecture by Kaposi sarcoma or acute rejection triggered by reduced immunosuppression, which is a well-described phenomenon,10,11 or both.
In conclusion, parenchymal infiltration by Kaposi sarcoma should be considered in the differential diagnosis of renal transplant dysfunction, particularly in high-risk transplant patients.
References:

Volume : 17
Issue : 4
Pages : 554 - 557
DOI : 10.6002/ect.2017.0052
From the 1Hamad Medical Corporation and the 2Weill
Cornell Medicine-Qatar, Doha, Qatar
Acknowledgements: The authors have no sources of funding for this study
and have no conflicts of interest to declare.
Corresponding author: Muhammad Asim, Hamad Medical Corporation, Weill
Cornell Medicine-Qatar, Doha, Qatar
Phone: +974 55838342
E-mail: masim@hamad.qa;
mua2002@qatar-med.cornell.edu
Figure 1. Abdominal Magnetic Resonance Image Showing Multiple Kaposi Sarcoma Lesions in Liver and Spleen and “Bulky” Transplanted Kidney (TK)
Figure 2. Kidney Transplant Biopsy With Hematoxylin and Eosin Staining (×100) Showing Infiltrating Spindle Cells With Vascular Channels
Figure 3. Kidney Transplant Biopsy Showing Positive Immunohistochemical Staining (×400) for Human Herpes Virus 8
Figure 4. Follow-Up Abdominal Magnetic Resonance Image Showing Complete Resolution of Kaposi Sarcoma Lesions in Liver and Spleen and Decrease in Size of Transplanted Kidney (TK)