Objectives: The deficit of organs for renal transplant is a global issue. The United Kingdom Hospital Episode Statistics indicates there that were 8168 nephrectomies undertaken in 2014. Furthermore, according to the British Association of Urological Surgeons 2014 nephrectomy report, 71.8% of patients undergoing a nephrectomy had creatinine levels of less than 120 IU/L and roughly 20% had the procedure for benign and functional causes.
Materials and Methods: We report a prospective case series from March 2014 to March 2016 involving 6 patients showing 3 successful transplants performed following 3 native nephrectomies.
Results: All recipients had normal creatinine levels with good function at 12 months, and all nephrectomy patients, in addition to maintaining normal renal function, had definitive resolution of symptoms.
The main limitation of this series was the small sample size.
Conclusions: There is no doubt that all should be done to save native organ function, and all salvage procedures and psychological testing must be robust before considering this route. However, within the group that proceeds to nephrectomy, some cases may have the potential to generate a new pool of donor organs suitable for transplant, helping to tackle the organ deficit in renal transplantation.
Key words : Autotransplantation, Creatinine, Nephrectomy, Renal transplantation
Introduction
The global deficit between donors and patients awaiting transplant continues to drive research to expand the donor organ pool. When suitable organs are identified, it is essential that they are optimized and utilized in the best possible way when being considered for renal transplant.1
The Hospital Episode Statistics report indicated that there were 8168 nephrectomies undertaken across the United Kingdom in 2014.2 Nephrectomy is often combined with renal autotransplant in the hope of preserving renal function for conditions where symptoms are combined with normal tests and kidney function. These include controversial conditions such as loin pain hematuria syndrome (LPHS) or chronic pain following renal stones, where psychological assessments must be rigorous prior to any surgical intervention.3
Despite efforts to preserve native function, the British Association of Urological Surgeons 2014 nephrectomy report showed that 71.8% of patients undergoing an elective nephrectomy had creatinine levels of less than 120 IU/L and 20% of these nephrectomy patients had the procedure for benign causes, such as stone disease. A further 5% were defined as nonrecorded or other benign causes.4,5
There is no doubt that all should be done to preserve native renal function; however, within this group, we believe that there is a small cohort of patients who ultimately undergo nephrectomy as a finite cure to end an exhaustive list of interventions to treat chronic pain, repeated obstruction, or persistent symptoms. These patients do not choose autotransplant and thus in some cases could be considered as renal donors. For benign or functional disease, there is often little abnormality with kidney function that can be identified or the problem may be confined to the ureter. However, despite options such as denervation, autotransplant, or Boari flaps, some patients have persistent issues that drive their decision toward nephrectomy, following rigorous medical and psychological assessment.6,7
It is important to make clear that we are not advocating comfort nephrectomies or coercing patients, as all should be done to preserve function of native organs, with autotransplant offered where appropriate. However, if a situation progresses to nephrectomy without autotransplant for benign or functional disease and deemed suitable, this presents an underutilized resource that is not routinely used for transplant and is currently discarded for routine pathology assessment after removal.
Legally, when a patient requests and warrants a nephrectomy for therapeutic reasons, they may choose to donate that kidney to a patient awaiting a transplant if they do not wish to have an autotransplant. This has been described previously as nondirected domino donation and has the potential to initiate transplant chains or can be donated to allow a single transplant.7
Importantly, this decision does not need human tissue authority approval. At the Kidney Advisory Group in May 2011, it was agreed that such kidneys should be allocated locally. This was due to the action being uncommon and having potentially higher risks than conventional living donations for both the donor and recipient if there is underlying pathology. There is no guarantee that the organs removed for nephrectomy are suitable once removed. However, as we have identified, there remains a proportion of organs that are healthy and have suitable function to allow successful transplant. All recipients considered for such a procedure are appropriately counselled and are made aware of any potential additional risks during consent, following standard transplant procedures.7,8
This case series highlights a small but unrecognized pool of potential renal donors who can be incorporated within transplant units. Our study aims to highlight the safety, ethical, and psychological challenges faced in light of this potential donor pool. We also want to promote the importance of preserving native function before potential transplant is considered. In cases that proceed, we hope this series illustrates the importance of good team work between transplant and urological units.
Materials and Methods
In 2014, 3 patients with ongoing symptoms underwent nephrectomies for benign or functional disease. All preservation and salvage interventions, including denervation and autotransplant, were offered. All patients were independently psychologically reviewed and were not coerced.
Separate clinical teams with regard to the potential nephrectomies and potential donations were involved to avoid conflict and ethical issues. All decision making was patient centered, and patients were given full autonomy. Only after all salvage procedures had been exhausted, urologists contacted the living-donor transplant team who made direct contact with patients to discuss donation after nephrectomy. Once donor consent was received, an appropriate local recipient was identified. It is noteworthy to mention that several other identified patients who underwent nephrectomy chose not to donate.
Each donor had an extensive work-up with the living-donor transplant team at the Oxford Transplant Center, where a number of medical and psychological tests were performed.9 Written informed consent was taken to allow donation. Standard tissue typing techniques were used to identify 3 local recipients on our wait list. There were no ABO incompatible transplants, and recipients were chosen based on clinical need, match compatibility, and time on the wait list.
Donation was anonymous per legal guidelines for altruistic donation. Allocation of organs was kept local to allow close follow-up as per the National Health Service Blood and Transplant recommendations. Before informed consent was received, all donors and recipients were counselled and informed of risks associated with directed domino transplant. Recipients were also made aware of the associated pathology of the organs being offered and the organ history. All legal and ethical considerations were met in accordance with guidelines outlined by the National Health Service Blood and Transplant, which were identical to those in the living related donation program.10
Urological investigations for potential donors were reviewed prior to any potential nephrectomy and included appropriate imaging (computed tomography and ultrasonography), blood testing, and histologic kidney biopsies (confirming benign disease, having good glomerular appearance, and having no active sinister pathology). Functional tests were also performed using mercaptoacetyltriglycine (MAG3) nuclear medicine scans, which confirmed good function.
Donors underwent native laparoscopic nephrectomy as an elective urological procedure, where symptomatic kidneys were removed without damage or acute complications to donor. Once kidneys were explanted following nephrectomy, further visual and functional assessments were made through hypothermic perfusion after procurement by the transplant team to confirm that the organs were surgically suitable for human transplant before implantation.
Transplant teams then prepared the organ according to standard transplant workbench procedures to allow for hemostasis during revascularization and to ensure appropriate preparation for vascular and ureteric anastomoses, making the kidney ready for transplant.
Surgery was performed sequentially rather than in parallel, in which patients were managed by both the urology and transplant teams using a multidisciplinary approach. Explanted kidneys were then successfully transplanted into the 3 recipients using standard techniques, with JJ stents placed to bridge the ureteric anastomosis in addition to placement of a urinary catheter. All patients had appropriate postoperative recovery periods in hospital; all had primary function with no immediate or 30-day complications based on the Clavien-Dindo classification. All patients were followed for 1 year (for the purpose of this study) in addition to their routine follow-up intervals. There were no episodes of rejection noted.
The clinical and research activities reported are consistent with the Principles of the Declaration of Istanbul as outlined in the “Declaration of Istanbul on Organ Trafficking and Transplant Tourism.”
Results
Donor 1
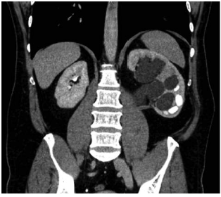
A 49-year-old white male, with long-standing pelviureteric junction obstruction
(PUJ), underwent a pyeloplasty in 1999. When the PUJ reoccurred, he underwent a
second procedure, which also eventually failed despite a metallic stent being
placed across the PUJ. This stent eventually calcified and became obstructed,
leaving him with a permanent nephrostomy tube (Figure 1). Renal autotransplant
was discussed, with potential of a Boari flap to save the organ and native
function. However the patient decided he wanted a nephrectomy due to
insurmountable pain despite optimal pain management and the indwelling
nephrostomy. Donor 1 received a full psychological assessment through an
external third party and was deemed to have capacity to proceed with
nephrectomy. The MAG3 renogram showed a 52:48 split function between kidneys.
Preoperative creatinine level was 86 IU/L, and estimated glomerular filtration
rate (eGFR) was 81 mL/min/1.73m2. An open elective nephrectomy was then
performed after again obtaining confirmation that the patient did not want to
have the organ autotransplanted. The patient was symptom free at 3 weeks
postsurgery, with no more pain and able to return to work. He maintained good
renal function and had no surgical complications. His 1-year eGFR postsurgery
was 70 mL/min/1.73 m2 with baseline creatinine of 95 IU/L, urea level of 7.8
mg/L, and hemoglobin level of 140 g/L.11
Recipient 1
A 60-year-old Iranian female patient, with background of renal tuberculosis
diagnosed in 1995 and end-stage renal failure (ESRF) due to immunoglobulin A
(IgA) nephropathy, was identified. Her comorbidities included hypothyroidism
and hay fever. Her dry weight was recorded as 68 kg, with body mass index (BMI)
of 25.8 kg/m2. The patient was receiving hemodialysis via arteriovenous fistula
(AVF) 3 times per week and had a baseline creatinine level of
480 IU/L. She had a 1-1-0 HLA mismatch, with no donor-specific antibodies
detected. The blood crossmatch was negative, and viral polymerase chain
reaction (PCR) testing showed preoperative cytomegalovirus (CMV) and
Epstein-Barr virus (EBV) positivity in both the donor and recipient. Elective
transplant was successful, with the ureter distal to the PUJ being removed;
however, because there was sufficient length to allow normal ureter-bladder
anastomosis, there was no need for pyelovesicostomy. Her results at 1-year
posttransplant revealed a baseline creatinine level of 80 IU/L, eGFR of 59
mL/min/1.73 m2, urea of 8.8 mg/L, and hemoglobin of 141 g/L.
Donor 2
A 42-year-old white male was referred with chronic LPHS following renal stones
some years earlier. At time of assessment, no stones, hydronephrosis, or
ureteric abnormalities were seen on computed tomography scan. Donor 2 had normal
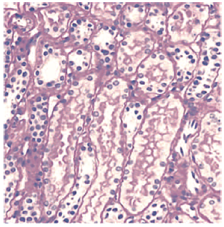
blood tests, and renal biopsy showed no organic cause for the pain (Figure 2).
Laparoscopic denervation had previously been performed and had provided
temporary benefit; however, the pain had returned in the absence of an organic
cause.
The patient was unable to control pain despite opiates and neuropathic analgesia; medical history also noted that the patient had taken methadone regularly and had a history of drug addiction. Despite full assessment from the pain team and escalation of treatment and support for his addiction, the pain became a persistent issue. He was offered autotransplant but refused and opted for a native nephrectomy, following a full medical and psychiatric assessment. The MAG3 renogram showed a 50:50 split, and baseline creatinine level was 68 IU/L. Laparoscopic removal of the organ was uneventful, and he was symptom free within 7 days postsurgery. His 1-year eGFR was 69 mL/min/1.73 m2, baseline creatinine was 89 IU/L, urea level was 6.1 mg/dL, and hemoglobin level was 139 g/L. He also no longer required treatment for drug addiction.
Recipient 2
A 49-year-old white female with ESRF due to IgA nephropathy was matched. Her dry
weight was 70 kg, and BMI was 26.6 kg/m2. Comorbidities included sleep apnea,
fibromyalgia, asthma, and a left brachial cyst excised in 1992. The patient had
been on hemodialysis for 1 year via AVF after a number of years on peritoneal
dialysis. Baseline creatinine level was recorded as 476 IU/L. She had a 1-1-0
HLA mismatch, with no donor-specific antibodies. The blood crossmatch was
negative, and viral PCR testing showed preoperative CMV and EBV positivity in
both the donor and recipient. Elective transplant was successful, with 1-year
eGFR of 47 mL/min/1.73m2, baseline creatinine of 91 IU/L, urea of 6.2 mg/dL, and
hemoglobin of 137 g/L. There were no noted complications with surgery or
episodes of rejection.
Donor 3
A 42-year-old white female with persistent pain and recurrent urinary tract
infections (UTIs) had originally developed renal stones and ureteric stricture
several years before she had proceeded to renal autotransplant in 2007 as a
final attempt to salvage the kidney. This was successful for a number of years,
but she continued to develop multidrug-resistant UTIs and pain over the
autotransplant, presumably due to peritoneal inflammation from a low-grade
ongoing pyelonephritis. Despite appropriate medical treatment and treatment
escalations, there was a persistence of pain, despite normal blood markers, and
computed tomography scan showed no inflammation. The MAG3 renogram showed
function of 45% of the autotransplanted kidney, and baseline creatinine was 78
IU/L. After a full medical and psychiatric assessment, the patient decided to
have the autotransplant removed, which successfully resolved her symptoms. Her
1-year postsurgery eGFR was 79 mL/min/1.73 m2, with baseline creatinine of 97
mg/dL and hemoglobin level of 129 g/L.
Recipient 3
A 66-year-old Asian female patient was matched; this recipient had ESRF due to
chronic pyelonephritis secondary to tuberculosis. Her dry weight was
59.1 kg, and BMI was 23.5 kg/m2. Comorbidities included previous appendectomy,
asthma, and non-ST elevated myocardial infarction. The patient had previous
peritoneal dialysis and was now on hemodialysis for 1 year via AVF. Her baseline
creatinine was 501 IU/L. A 1-1-1 HLA mismatch was identified, with no
donor-specific antibodies detected. The blood crossmatch was negative, and viral
PCR testing showed preoperative CMV and EBV positivity in both the donor and
recipient. There was obvious concern that the recipient could also develop UTIs;
therefore, a pyelovesicostomy was performed, removing the entire ureter thought
to be the cause of the problem. Elective transplant was successful, with 1-year
eGFR of 51 mL/min/1.73 m2, baseline creatinine of 111 IU/L, urea of 7 mg/dL, and
hemoglobin level of 114 g/L. There was no reoccurrence of UTIs, no early
complications, and no episodes of rejection observed.
Discussion
Hardy12 successfully performed the first renal autotransplant in 1963. Since that time, when native kidneys are being considered for potential nephrectomy for benign reasons, renal autotransplant is considered first as an effort to preserve renal function.12 The technique is particularly attractive for a variety of vascular lesions affecting the aorta and renal artery as well as renal artery stenosis.
Renal autotransplant also allows for a direct anastomosis of the renal pelvis to the bladder, using a Boari flap. Therefore, it can be used in cases of ureteral damage or long ureteral lesions such as iatrogenic ureteral injuries, ureteral strictures, ureteral tumors, ureteral tuberculosis, failed urinary diversions, and retroperitoneal fibrosis. The procedure can also be used to facilitate stone passage in patients with complex nephrolithiasis and help patients who have proven and symptomatic LPHS.13 In some patients with solitary kidney neoplasia, renal autotransplant with extracorporeal surgery is also a useful technique.14
A Japanese series of 10 patients by Ogawa and associates highlighted restored kidney transplant using kidneys from unrelated donors with small renal tumors. Tumors were resected after nephrectomies, with kidneys deemed suitable for carefully selected high-risk recipients. Their data showed good organ function at 58 months of follow-up, with no reoccurrence. The investigators suggested that avoiding cancer transmission using fair recipient selection, close follow-up, and a well-organized tracking system provided an effective option.15
The best available treatment for patients with small renal tumors remains nephron-sparing tumor excision or ablation rather than total excision or donation.16 However, in cases where it does not proceed to nephrectomy, there is now an emerging advocacy for the use of kidneys with existing tumors, which may be rendered tumor free after surgical excision and reconstruction. This practice is based on reliable data that renal tumors < 3 cm in diameter behave with minimal malignant potential and likelihood of transmission to the immunosuppressed recipient.17
Despite the success of autotransplant, some patients chose not to have this procedure. In addition, even when the procedure is technically successful, some patients have not had a symptomatic difference and wish to have the kidney removed. This case series highlights this small but important cohort of patients, which, although minor, provides a new potential resource of kidneys that can be successfully transplanted into patients with renal failure.
Loin pain hematuria syndrome is a rare and somewhat controversial disease and remains a diagnosis of exclusion, with an estimated prevalence of 0.012%. It was first reported in 1967 in 3 female patients with recurrent attacks of severe flank pain and intermittent macroscopic hematuria. Demographic data on cases are limited, but it is thought to predominantly affect young, white women, who also are one of the highest donating groups with regard to organ donation.18,19 The most prominent clinical features include periods of severe or intermittent loin pain accompanied by either microscopic or gross hematuria, which can present unilaterally or bilaterally.19 It is believed that microvascular abnormalities may be the underlying cause of LPHS, stimulating hypersensitivity and spasm. However, renal biopsies from patients with LPHS rarely reveal significant pathology, suggesting a strong psychosomatic component, and thus the syndrome preserves renal function.18
Treatment begins with analgesics, with appropriate escalation and invasive options, including renal denervation and autotransplant. Nephrectomy is reserved as the ultimate option. The indications are rare but do exist; as shown with this series, these organs should be considered for transplant, rather than being discarded.19
Altruistic kidney donation from living donors is a rapidly growing practice in the United Kingdom and elsewhere. In 2007 and 2008, 6 individuals donated a kidney; however, rates have increased dramatically, with over 100 people having donated in this way in the United Kingdom in 2015.20 From January 2012, altruistic donors in the United Kingdom have been able choose to donate into the paired/pooled schemes instead of directly into the national transplant wait list, creating altruistic donor chains. These donated kidneys are matched to a recipient in the paired/pooled scheme, and, in turn, the donor registered with that recipient donates to another recipient, propagating the chain. The chain ends when the last donor donates to a recipient on the national transplant wait list. The minimum number of transplant procedures achieved from a single altruistic donation is 2, but there is no maximum.20,21
As a concept, using kidneys taken from nephrectomies to initiate chains is appealing because it allows a larger benefit to be seen. However, altruistic donor kidneys used in chain initiation are disease free; since the first recipient in the chain has a donor identified, it is also important that an equivalent quality organ be used, which is not the case in this series, limiting the widespread benefit of including these organs in the donor pool and rather directing them to carefully selected local recipients.
Further key questions from this study include the need to identify what organs resulting from functional nephrectomies performed across the United Kingdom are suitable for use in transplant procedures. In addition, another important consideration is to identify the degree of renal dysfunction, the exact underlying pathology, and function split, as compensation from contralateral kidneys may create a misleading picture as they do not have a 50:50 split when measured with a MAG3 renogram.
There are no quantitative data on how many potential transplant kidneys are being discarded through standard urology-based nephrectomies in any country. From our own experience, 187 nephrectomies were performed at our institution in 2014 and 2015, with 3 kidneys identified during this period as suitable and safe for transplant to donors who had passed medical and psychiatric assessment and had exhausted escalation of native preservation. A further number of organs have been identified in 2016 and 2017 as potentially suitable but are yet to be transplanted. Using this model to predict the total number of kidneys that could be used and extrapolating this finding to other units in the United Kingdom could potentially yield up to 50 additional renal transplants annually based on the national number of 8168 nephrectomies performed. However, appropriate treatment and optimization of native renal function must be ensured for these donors and selection of patients needs to done carefully to ensure nephrectomies are appropriately being performed.
Conclusions
Optimizing use and suitable allocation of kidneys for renal transplant remain as challenges. However, through raised awareness and effective teamwork between urology and transplant groups, there is potential to generate a new and significant pool of appropriate donor organs. This new pool may help to tackle the organ deficit, and we would encourage urological teams who are involved with nephrectomies to work with those who have an interest in transplant to consider this option, in the occasional cases where this may be suitable.
Additionally and more importantly, although there is no doubt that functional nephrectomies for benign disease exist in all countries, the practice needs to be carefully monitored to prevent unnecessary nephrectomies and to ensure problems are tackled with a repair and salvage ethos. We cannot stress the importance of doing everything possible to preserve native function before this possible option of a transplant resource is considered.
For cases such as LPHS, for which the psychological component can be easily abused, a strict policy of a third-party assessment, akin to a living donor advocate, should participate in all decision making.
References:

Volume : 16
Issue : 5
Pages : 515 - 521
DOI : 10.6002/ect.2018.0158
From the Nuffield Department of Surgical Science, Oxford Transplant Unit,
University of Oxford, Oxford University Hospitals NHS Foundation Trust, Oxford,
United Kingdom
Acknowledgements: The authors have no sources of funding for this study and have
no conflicts of interest to declare.
Corresponding author: Shamik Dholakia, Nuffield Department of Surgical Science,
Oxford Transplant Unit, University of Oxford, Oxford University Hospitals NHS
Foundation Trust, Oxford, UK
Phone: +44 779 5570117
E-mail: sham.dholakia@nhs.net
Figure 1. Pelviureteric Junction Obstruction in Donor 1
Figure 2. Loin Pain Hematuria Syndrome Normal Biopsy Result From Donor 2