We report a case of paratransplant hernia, a rare surgical complication of a renal transplant. It is caused by entrapment of the bowel through a defect in the peritoneum, which lines on the transplanted kidney. Careful dissection and meticulous surgical technique during transplant, closing any peritoneal defect, regardless of size, can avoid this complication. The prognosis depends on clinical suspicion, prompt diagnosis, and early surgical intervention. If strangulation occurs, the associated mortality is high.
Introduction
Paratransplant hernia, first described in 1978 by Kyriakides and associates,1 is a rare but potentially fatal surgical complication of a renal transplant.1-3 The cause is related to a defect in the peritoneum (the lining on the transplant kidney) causing an entrapment of the small bowel. The pathogenetic mechanism is related to an iatrogenic injury of the peritoneum during dissection of the extraperitoneal space to accommodate the kidney, or during closure, when 1 or more stitches can tear the peritoneum.
Case Report
A 29-year-old man presented with a 2-day history of abdominal pain and vomiting. His medical history was significant for aggressive focal and segmental glomerulosclerosis diagnosed in childhood. He received his first deceased-donor kidney transplant at 13 years of age, which failed after 12 years, because of chronic allograft nephropathy. The patient then underwent a second deceased-donor kidney transplant 2 weeks before the current admission. That procedure was uneventful, and the patient was discharged home 10 days after surgery.
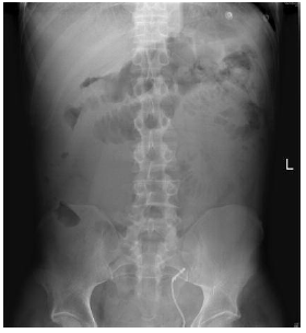
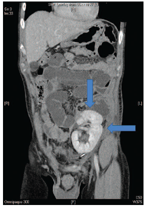
Initially, he was treated with nil by mouth, intravenous fluid, and antimicrobial agents; however, overnight his symptoms worsened with increased pain, abdominal distention, and decreased bowel sounds. An abdominal radiograph showed dilatation of the small bowel, suggestive of an obstruction (Figure 1). An axial computed tomographic scan of the abdomen showed distention of the small bowel with a transition point in the left lower quadrant above the transplanted kidney (Figure 2). The patient underwent an exploratory laparotomy, reduction of the small bowel loop (which was distended but still viable), entrapped through a defect in the peritoneum covering the transplanted kidney (Figure 3). He did not require a bowel resection, and the peritoneal defect was closed with absorbable sutures. His recovery was uneventful.
Discussion
Our case describes the classic presentation of a paratransplant hernia with symptoms of small bowel obstruction. After abdominal surgery, the proposed strategy for patients with symptoms of a small bowel obstruction is nonoperative management unless clear signs of ischemia are present.4 Such a treatment cannot be recommended in the transplant setting, and mostly when a paratransplant hernia is suspected; first, because immunosuppressive therapy (ie, large doses of a steroid) can mask early signs of peritonitis; second, because the peritoneal breach (causing paratransplant hernia) is usually small and strangulation is more likely; and third, because the reported mortality associated with bowel necrosis in immunosuppressed patients is almost 80%.5
A computed tomography scan is the method of choice for diagnosing an intestinal obstruction, and it can accurately indicate if there is a herniated intestinal loop around the transplant kidney.6,7 Once the diagnosis is established, early surgical intervention is warranted. Therefore, considering paratransplant hernia a surgical emergency, surgery achieves good results. Careful dissection and meticulous technique during transplant, closing any peritoneal defect (regardless of size) is mandatory.
References:

Volume : 13
Issue : 4
Pages : 363 - 364
DOI : 10.6002/ect.2014.0027
From the Imperial College Healthcare Trust, Renal and Transplant Unit,
Hammersmith Hospital, London, W12 OHS, United Kingdom
Acknowledgements: The paper is not based on a previous communication to
society or meeting. The authors have no conflicts of interest to disclose, and
there was no funding for this study. The authors wish to thank Andrea Petracca
(from the Department of Life, Health and Environmental Sciences, University of
L’Aquila, L’Aquila, Italy) for his technical assistance.
Corresponding author: Prof. Nadey Hakim, Imperial College Healthcare NHS
Trust, Fourth Floor, Hammersmith House, Hammersmith Hospital, London, W12 OHS,
United Kingdom
Phone: +44 (0) 744 533 1474
Fax: +44 (0) 20 3313 5169
E-mail:
pierpaolodicocco@gmail.com
Figure 1. Abdominal Radiography Showing Dilatation of the Small Bowel
Figure 2. Computed Tomography Scan of the Abdomen Showed Small Bowel Obstruction With a Transition Point (Vertical Arrow) in the Left Lower Quadrant Above the Transplanted Kidney (Horizontal Arrow)
Figure 3. Exploratory Laparotomy Resulting in a Reduction of a Small Bowel Loop (Right Side), Entrapped Through a Small Defect (2 cm) in the Peritoneum (Arrow) Covering the Transplanted Kidney