Begin typing your search above and press return to search.
Volume: 11 Issue: 3 June 2013

FULL TEXT

ARTICLE
Outcomes of De Novo Allograft Diabetic Nephropathy in Renal Allograft Recipients

Objectives: Despite increased use of diabetogenic immunosuppressive drugs and increased incidence of new-onset diabetes after transplant in renal allograft recipients, there are few case studies on the subject of de novo allograft diabetic nephropathy and interstitial fibrosis/tubular atrophy without specific glomerular changes. We sought to study the outcomes of allograft diabetic nephropathy and interstitial fibrosis/tubular atrophy without specific glomerular changes in patients with new-onset diabetes after transplant.

Materials and Methods: We reviewed the case records of all new-onset diabetes after transplant patients who underwent graft biopsy for graft dysfunction from 1992 to 2010. We analyzed the clinical characteristics and outcomes of new-onset diabetes after transplant patients with de novo allograft diabetic nephropathy and interstitial fibrosis/tubular atrophy without specific glomerular changes.

Results: Of the 1989 recipients, 421 patients developed new-onset diabetes after transplant and 26 underwent graft biopsy. Of the 26 patients, 9 had histopathologic evidence of de novo allograft diabetic nephropathy, and 17 had interstitial fibrosis/tubular atrophy without specific glomerular changes. The mean duration from transplant to developing novo allograft diabetic nephropathy was 115.2 months (range, 33-192 mo), and from developing new-onset diabetes after transplant to allograft diabetic nephropathy, was 109.66 months (range, 27-188.4 mo). Of the 9 patients with de novo allograft diabetic nephropathy, 3 died (33.3%), 2 reached end-stage renal disease (22.2%), and 4 remained stable (44.4%). Of the 17 with interstitial fibrosis/tubular atrophy, 2 died (11.7%), 5 developed end-stage renal disease (29.4%), and 10 remained stable on triple immuno­suppression and insulin therapy during follow-up (58.8%).

Conclusions: De novo allograft diabetic nephropathy is a significant cause of graft and patient loss in renal allograft recipients who develop new-onset diabetes after transplant.


Key words : New-onset diabetes associated with transplant, Renal allograft, Diabetic nephropathy, Outcomes

Introduction

Diabetic nephropathy accounts for the 40% to 50% patients with end-stage renal disease (ESRD). Approximately 20% of diabetic ESRD patients subsequently undergo renal transplant.1 Chronic allograft dysfunction, death from cardiovascular causes and infection, and acute rejections are the leading causes of graft loss in diabetic renal allograft recipients.2 Chronic allograft dysfunction is usually caused by ongoing chronic rejection, calcineurin inhibitor toxicity, hypertension, and recurrent or de novo glomerulonephritis.3 Theoretically, 3 forms of allograft diabetic nephropathy (ADN) may appear, 1 that is transmitted with an affected allograft, another with recurrent allograft diabetic nephropathy in those diabetic ESRD patients who received an allograft from a nondiabetic normal individual, and third, a de novo allograft diabetic nephropathy in patients who did not have pretransplant diabetes and subsequently developed new-onset diabetes and allograft diabetic nephropathy.4 Only a few case studies of de novo ADN have been published.

Recurrent diabetic nephropathy in allografts was first described in type 1 diabetes mellitus patients by Mauer and associates in 1976,5 and the first case of de novo diabetic nephropathy was highlighted by Gimenez and associates in 1986.6 There is paucity of data on natural history and clinical course of de novo ADN in patients with new-onset diabetes after transplant (NODAT). The proteinuria, hypertension, and azotemia in these patients are mistaken with the diagnosis of chronic allograft nephropathy (CAN) because only few graft kidney biopsies are performed to establish the diagnosis.

Hence, we report the pretransplant and posttransplant clinical characteristics, biopsy findings, and outcomes of 9 cases of de novo allograft diabetic nephropathy—the largest number in 1 study published to date—and compare it with the clinical characteristics and outcomes of those patients of NODAT with interstitial fibrosis and tubular atrophy (IF/TA) without specific glomerular pathology.

Materials and Methods

We reviewed the case records of all ESRD patients who received live-related renal transplants at our institute from January 1992, to December 2010. All patients with ESRD consequent upon diabetic nephropathy and those with a history of diabetes before renal transplant were excluded from the study. The case records of the renal allograft recipients who developed NODAT were retrieved. The details of histopathologic findings of the patients with NODAT who underwent renal allograft biopsy were obtained. The histopathologic details were evaluated independently by 2 renal histopathologists. The patients were categorized into 2 groups: group 1 (de novo ADN those patients of NODAT who had definite histopathologic evidences of diabetic nephropathy), and group 2 (those patients with NODAT with significant changes of interstitial fibrosis/tubular atrophy [IF/TA] without any specific glomerular pathology). The demographic profiles, native kidney disease, donor information, immunosuppressive regimen, duration of transplant, onset of NODAT, baseline serum creatinine, urine protein levels, indication of graft biopsy, and histopathologic changes in both groups were noted and compared. The outcomes of patients regarding graft loss and patient death also were compared between the groups.

Diagnostic criteria for new-onset diabetes after transplant and de novo allograft diabetic nephropathy
The criteria for diagnosing NODAT was diabetic symptoms with randomized plasma blood glucose ≥ 11.1 mmol/L (200 mg/dL) or fasting plasma glucose (after at least 8 hours fast) ≥ 7.0 mmol/L(126 mg/dL). De novo ADN was defined as development of histologic evidence of diabetic nephropathy in a transplanted kidney in patients who had developed NODAT.

Histopathologic examination of graft renal biopsy
All biopsies were 3-μm thick and stained with hematoxylin and eosin, periodic acid-Schiff, periodic acid methenamine silver, and Masson’s trichrome stains. Kidney biopsies were separately received in saline for immunofluorescence and also evaluated for immunoglobulin IgG, IgM, IgA, complements C3 and C4d. Biopsies were evaluated for mesangial expansion, thickening of glomerular capillary basement membrane, nodular lesions, arteriolar hyalinosis, glomerulosclerosis, tubular atrophy, and interstitial fibrosis.

The diagnosis of diabetic nephropathy on histopathologic examination was considered if there were a presence of diffuse increase in mesangial matrix, exudative lesionlike fibrin caps and capsular drops, efferent arteriolar changes, and/or nodular glomerulosclerosis (KW lesion). The histopathologic diagnosis of CAN was made based on the presence of IF/TA and absence of any specific glomerular pathology.

Statistical analyses
Data are expressed as means ± standard deviation. Statistical analyses were performed with SPSS software (SPSS: An IBM Company, version 13.0, IBM Corporation, Armonk, NY, USA).

Results

During the study period, 1989 ESRD patients received a live-related renal allograft at our institute. Of them, 421patients (21.2%) developed NODAT. Of the 421 patients with NODAT, 26 (6.2%) underwent a graft kidney biopsy for indication of graft dysfunction and/or proteinuria. Of these 26 patients, 9 patients (34.6%) had biopsy-proven de novo ADN, and the remaining 17 patients (65.4%) had significant IF/TA without any specific glomerular changes. The indication of graft biopsy in these patients were chronic allograft dysfunction with increased proteinuria and graft dysfunction except in 1 patient (case 3) who also had diabetic retinopathy on optic fundus examination and clinical suspicion of ADN as well. The clinical profiles and biochemical characteristics of patients of both groups are shown in Table 1. The native kidney disease in patients who developed de novo ADN was chronic glomerulonephritis (n=4), adult polycystic kidney disease (n=2), chronic interstitial nephritis (n=2), and pauci-immune crescentic glomerulonephritis (c-ANCA positive) (n=1). All 9 cases received a live-donor transplant, 7 had 4/8 HLA mismatches (haploidentical) with 1 of the parents or siblings as a kidney donor, whereas 2 had 8/8 HLA mismatches with 1 of the spousal donors.

Of the 17 patients with IF/TA, the native kidney disease was chronic glomerulonephritis (n=8), chronic interstitial nephritis (n=6), adult polycystic kidney disease (n=1), and pauci-immune crescentic glomerulonephritis (n=2). Of these 17 patients with IF/TA, 11 had 4/8 HLA mismatches (haploidentical), with the donor being either one of the parents or siblings, and 6 had 8/8 HLA mismatch with donor being one of the spouses.

The demographic profiles of the patients with ADN and IF/TA are shown in Table 1. Of the 9 patients with ADN, 4 had been on an immunosuppression regimen consisting of prednisolone, azathioprine, and cyclosporine; 2 had been on prednisolone, mycophenolate mofetil, and tacrolimus; and 3 were on an immunosuppressive regimen consisting of prednisolone and azathioprine per changes in their immunosuppressive regimen over the years in the transplant program. All patients with CAN were on triple immunosuppressive regimen; 13 had been on prednisolone, azathioprine, and cyclosporine; and 4 had been on prednisolone, mycophenolate mofetil, and tacrolimus. The mean duration from transplant to development of NODAT was 5.54 ± 2.58 months in the group with ADN, compared with 5.88 ± 1.8 months in the group with IF/TA. All the patients were managed with insulin for NODAT with goal of maintaining the Hb A1c level at 7%.

In the group with ADN, a mean duration from transplant to ADN developing NODAT was 115.2 months (range, 33 to 192 mo), and from developing NODAT to ADN was 109.66 months (range, 27 to 188.4 mo) (Table 2). The serum creatinine levels at the time of graft biopsy ranged from 141.44 to 318.24 μmol/L, with at least 30% rise in serum creatinine from the baseline values, and the mean 24-hour urine protein at the time of biopsy was 4.9 g (range, 0.288 to 16.8 g). Two of these patients (cases 2 and 7) had earlier acute rejection episodes (3 and 144 mo from transplant).

Histopathologic changes in de novo allograft diabetic nephropathy and new-onset diabetes after transplant patients with interstitial fibrosis/tubular atrophy without specific glomerular changes
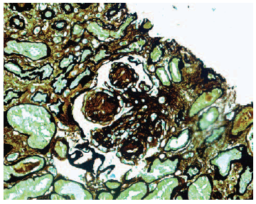
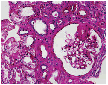
Histopathology of the graft showed diffuse glomerular mesangial expansion along with variable increase in mesangial cellularity and thickening of glomerular capillary basement membrane in all 9 patients, accompanied by nodular glomerulosclerosis (KW lesion) (Figure 1, case 2) in 5 patients (cases 1 to 5). Exudative hyaline deposits of variable intensity were present in the glomerular capillary walls in all cases. In addition, arteriolar hyalinosis was present in all 9 cases (Figure 2, case 8). There was mild interstitial fibrosis and tubular atrophy in 7 cases (< 25%) (cases 2, 4-7, 9), moderate interstitial fibrosis and tubular atrophy in 2 cases (> 25% and < 50%) (cases 3 and 8), and no tubulointerstitial changes in 1 case (case 1). The percentage of globally sclerosed glomeruli ranged from 0% to 78%. One of the cases (case 7) had associated features of transplant glomerulopathy and peritubular capillaritis. Immunofluorescence was performed in 8 of these patients. Only 1 patient (case 7) had associated chronic antibody-mediated rejection and had shown C4d positivity on immunofluorescence study. Six of the cases showed IgM 2+ to 3+ mesangial deposits accompanied by C3 deposits 3+ in 1 case. Immunoglobulin G, IgA, and C3 were negative in remaining cases.

The mean duration from transplant to biopsy diagnosis of IF/TA was 55.23 months (range, 14 to 151 mo). On histopathologic examination, there were no specific glomerular changes; however, the range of globally sclerosed glomeruli was 10% to 70%. Interstitial fibrosis/tubular atrophy was mild in 11 cases, moderate in 5 cases, and severe in 1 case. Hyalinosis was present only in 3 patients. None of the 17 cases showed significant deposition of immunoglobulin or complements on immuno­fluorescence examination.

Outcomes of patients with de novo allograft diabetic nephropathy and new-onset diabetes after transplant patients with interstitial fibrosis/tubular atrophy without specific glomerular changes
Of the 9 patients with de novo ADN, 3 died (33.3%). All patients died of coronary artery disease and subsequent myocardial infarction (cases 2, 7, and 9), 1 patient (case 7) after only 1 month, another (case 2) after 10 months, and the third (case 9) after 54 months of the diagnosis of diabetic nephropathy. One of these patients had accompanying diabetic retinopathy (case 7). Of the 9 with de novo ADN, 2 patients (22.2%) developed ESRD and became dialysis dependent, 1 patient (case 8) after 2 months, and another (case 3) after 13 months of having a diagnosis of diabetic nephropathy. However, the remaining 4 patients (cases 1, 4-6) remained stable on triple immunosuppression and insulin therapy for the diabetes.

The mean follow-up from transplant was 60.88 months (range, 18 to 156 mo) in group of patients with IF/TA without glomerular changes. Of the 17 patients with IF/TA, only 2 died (11.7%). The cause of death in both of these patients was coronary artery disease. Five of the 17 patients (29.4%) with IF/TA developed ESRD, and the remaining 10 patients (58.8%) had stable graft function on triple immunosuppression and insulin therapy.

Discussion

In this study, we observed that of patients with NODAT who had been biopsied for chronic renal allograft dysfunction, 9/26 (34.6%) had de novo allograft nephropathy, and 17/26 (65.4%) had IF/TA without specific glomerular changes.
Only 1 of the patients in the ADN group had accompanying chronic antibody-mediated rejection. Diffuse/nodular glomerulosclerosis and exudative lesions were present in all 9 cases of ADN, while none of the cases of IF/TA group had any specific glomerular changes. Interstitial fibrosis/tubular atrophy of different grades as per Banff’s classification were seen in all 17 cases in the IF/TA group.7 The overlap of some histologic changes between and IF/TA was expected, and all cases of ADN showed some degree of IF/TA; however, none of the cases of IF/TA group had any specific glomerular changes. Afferent/efferent arteriolar hyalinosis was seen in all cases of the ADN group, while only 3 out of 17 cases had these changes in the IF/TA group.

Also, we saw that the outcome of the patients with de novo ADN was poor compared with patients within the IF/TA group. Of the 9 patients with ADN, without IF/TA, 3 died (33.3%) and 2 patients (22.2%) had ESRD. Of the 17 patients with IF/TA, 2 died (11.7%) and 5 (29.4%) attained ESRD during
follow-up. This suggests that de novo ADN is as injurious to the kidneys as diabetic nephropathy in the native kidneys of diabetic patients. The mean duration of development of NODAT in our study cohort was 5.5 months after renal transplant (range, 2.5 to 11 mo after renal transplant), and the mean duration for developing diabetic nephropathy after the onset of NODAT was 109.6 months (range, 27 to 188.4 mo).

Early development of diabetic nephropathy in 2 patients (patients 6 and 9; Table 2) within 3 years of NODAT was an unexpected finding. This contrasts other reported data where the average time to onset of ADN was approximately 10 years. However, Wojciechowski and associates8 also reported a case series of 3 patients who developed clinical and histologic de novo ADN within 2 years of the diagnosis of NODAT despite good glycemic control. It is possible that the metabolic milieu of allograft recipients warrants tighter glycemic control. The allograft also is susceptible to hyperfiltration injury, which may accelerate diabetic lesions even at normal glucose levels. Development of ADN at different times after NODAT, also warrants examining the genetic susceptibility to development of de novo ADN.

Current immunosuppression includes medications that are diabetogenic and place nondiabetic transplant recipients at risk for developing NODAT and subsequent de novo ADN in the allograft. A prior study from our institute showed the incidence of NODAT in pre-1995 was 4.6% and post-1995 was 10.3%, which was due to the changeover from the dual immunosuppressive regimen comprising prednisolone and azathioprine, to cyclosporine-based triple immunosuppressant.9 The rise in prevalence of NODAT could be because of the change over to a tacrolimus-based immuno­suppression regimen. The incidence of NODAT has increased with the switchover to tacrolimus-based regimen worldwide. However, the exact incidence of de novo ADN is not known because only few such cases undergo graft biopsy.

New-onset diabetes after transplant was first described by Starzl in a liver transplant recipient in 1964 and is considered as a secondary type of diabetes mellitus.10,11 The reported incidence of NODAT ranges from 3% to 50%, and the causes are attributed to the use of immunosuppressive drugs (cyclosporine, tacrolimus, and corticosteroids), and family history of hypertension.12-14 Such a varying incidence of NODAT, previously known as posttransplant diabetes mellitus, is attributed to difficulty in diagnosis and identification of risk factors associated with its development.15 New-onset diabetes after transplant, which is thought to be secondary to use of immunosuppressive drugs used in allograft recipients, is equally injurious to the kidneys as the diabetes in native kidneys. The prognosis of diabetic nephropathy is variable. Histologic reversal of diabetic nephropathy changes can be seen when the kidney is transplanted into a nondiabetic individual from a diabetic individual with diabetic nephropathy changes.16 However, the recurrence of allograft diabetic nephropathy can occur after 8 years of transplant in almost 100% of transplanted diabetic patients, and is associated with increased risk of graft failure.16-18 These events suggest the role of metabolic abnormalities in the pathogenesis of diabetic nephropathy.

There are no in-depth studies available regarding the natural course of progression of the ADN in patients with NODAT. Schwarz and associates19 reported a patient of NODAT who developed nodular sclerosis 24 years after transplant, and Sharma and associates20 reported a single patient with NODAT who developed diabetic nephropathy 12 years after transplant. The reported interval between transplant to the development of de novo diabetic nephropathy ranges from 1 to 24 years.19-22 Bhalla and associates have reported 7 cases of de novo diabetic nephropathy and compared them with 9 cases of recurrent diabetic nephropathy. In their study, mean duration for the development of recurrent and de novo ADN were 6.68 ± 3.86 years and 9.93 ± 3.07 years. They also concluded that de novo and recurrent diabetic nephropathy occur with almost similar frequency in renal allograft recipients.14

Diabetic nephropathy is being increasingly recognized as an important cause of ESRD in renal allograft recipients. Salifu and associates described development of ESRD in allografts with diabetic nephropathy. In their case series, 2 cases of recurrent and 1 case of de novo diabetic nephropathy developed ESRD 11,12, and 14 years after transplant.22 Two of the cases included in present study developed ESRD 15 and 17 years after transplant. Both of these cases had native kidney disease of adult polycystic kidney disease before transplant.

Histopathologic progression of diabetic nephropathy in a renal allograft may be identical to the course observed in type 1 diabetics who develop native diabetic nephropathy. Thickening of the glomerular capillary basement membrane and mesangial volume expansion reported to occur about 2 to 10 years after transplant.23-27 Our cohorts of patients also have developed morphologic changes of diabetic nephropathy after a mean duration of 115.2 months (range, 33 to 192 mo).

There is an impending risk of development of NODAT, and subsequently, ADN, with increasing use of diabetogenic immunosuppressive drugs for renal transplant.14 It is important to do a graft kidney biopsy to establish early diagnosis of de novo ADN in patients with NODAT who develop allograft dysfunction in the absence of clinical evidence of diabetic nephropathy, particularly in absence of diabetic retinopathy, and therefore, clinically masquerading as CAN. Only 1 of 9 patients of ADN had diabetic retinopathy in present study.

The higher death of 3/9 patients (33.3%) with de novo ADN owing to cardiovascular complications, and only 2/17 patients (11.8%) with IF/TA, although not significant, suggests greater microvascular or macrovascular complications and poorer outcomes in patients with ADN compared with patients with IF/TA.

El-Zoghby and associates28 reported that the causes of IF/TA can be identified in 80% cases with a meticulous search for responsible factors. In our cases, only 1 patient had previous rejection. There were not any histologic changes suggestive of polyoma virus nephropathy, and typical striped fibrosis indicating chronic calcineurin inhibitor toxicity; however, it is possible that some patients may have this toxicity. There was no history suggestive of recurrent pyelonephritis and ureteric stenosis in these patients. Diabetes, per se, also may cause this IF/TA-like changes; however, these patients did not have any specific glomerular changes. In the same study, El-Zoghby and associates also reported that idiopathic IF/TA may be observed in 20% of cases.28

The limitation of this study is that all patients with NODAT were not biopsied because a graft biopsy was not indicated clinically. However, despite the limited number of biopsies in these series, it is the largest series of de novo ADN and first study to comparing de novo ADN with IF/TA without specific changes in patients with NODAT.

De novo ADN is an important cause of graft loss in renal allograft recipients who develop NODAT. Patients with NODAT can develop microvascular and macrovascular complications similar to diabetic individuals. Renal allograft recipient should be monitored for development of NODAT and subsequently de novo ADN. Graft kidney biopsy could be an essential for establishing nearly diagnosis of de novo ADN.


References:

  1. USRDS 2002 Annual Data Report. United States Renal Data System Web site. http://www.usrds.org/atlas02.aspx. Accessed November 1, 2012.
  2. Koselj M, Rott T, Koselj MK, Hvala A, Arnol M, Kandus A. De novo diabetic nephropathy on renal allografts. Transplant Proc. 2003;35(8):2919-2921.
    CrossRef - PubMed
  3.  Briganti EM, Russ GR, McNeil JJ, Atkins RC, Chadban SJ. Risk of renal allograft loss from recurrent glomerulonephritis. N Eng J Med. 2002;347(2):103-109.
    CrossRef - PubMed
  4. Chapman JR, O'Connell PJ, Nankivell BJ. Chronic renal allograft dysfunction. J Am Soc Nephrol. 2005;16(10):3015-3026.
    CrossRef - PubMed
  5. Mauer SM, Barbosa J, Vernier RL, et al. Development of diabetic vascular lesions in normal kidneys transplanted into patients with diabetes mellitus. N Engl J Med. 1976;295(17):916-920.
    CrossRef - PubMed
  6. Gimenez LF, Watson AJ, Burrow CR, Olson JL, Klassen DK, Cooke CR. De novo diabetic nephropathy with functional impairment in a renal allograft. Am J Nephrol. 1986;6(5):378-381.
    CrossRef - PubMed
  7. Solez K, Colvin RB, Racusen LC, et al. Banff 07 classification of renal allograft pathology: updates and future directions. Am J Transplant. 2008;8(4):753-760. doi: 10.1111/j.1600-6143.2008.02159.x.
    CrossRef - PubMed
  8. Wojciechowski D, Onozato ML, Gonin J. Rapid onset of diabetic nephropathy in three renal allograft despite normoglycemia. Clin Nephrol. 2009;71(6):719-724.
    PubMed
  9. Sharma RK, Prakash R, Jeloka T, et al. Posttransplant diabetes mellitus in renal transplant recipients-a single-center experience. Transplant Proc. 2003;35(1):266-267.
    CrossRef - PubMed
  10. Starzl TE. Experiences in Renal Transplantation. Philadelphia, PA: WB Saunders; 1964.
  11. Pham PT, Pham PC, Lipshutz GS, Wilkinson AH. New onset diabetes mellitus after solid organ transplantation. Endocrinol Metab Clin North Am. 2007;36(4):873-890; vii.
    CrossRef - PubMed
  12. Kasiske BL, Snyder JJ, Gilbertson D, Matas AJ. Diabetes mellitus after kidney transplantation in the United States. Am J Transplant. 2003;3(2):178-185.
    CrossRef - PubMed
  13. Ruvalcaba-Limón E, Cantú-de-León D, León-Rodríguez E, et al. The first Mexican consensus of endometrial cancer. Grupo de Investigación en Cáncer de Ovario y Tumores Ginecológicos de México [in Spanish]. Rev Invest Clin. 2010;62(6):583, 585-605.
    PubMed
  14. Bhalla V, Nast CC, Stollenwerk N, et al. Recurrent and de novo diabetic nephropathy in renal allografts. Transplantation. 2003;75(1):66-71.
    CrossRef - PubMed
  15. Chadban S. New-onset diabetes after transplantation--should it be a factor in choosing an immunosuppressant regimen for kidney transplant recipients. Nephrol Dial Transplant. 2008;23(6):1816-1818. doi: 10.1093/ndt/gfn052.
    CrossRef - PubMed
  16. Abouna GM, Al-Adnani MS, Kremer GD, Kumar SA, Daddah SK, Kusma G. Reversal of diabetic nephropathy in human cadaveric kidneys after transplantation into non-diabetic recipients. Lancet. 1983;2(8362):1274-1276.
    CrossRef - PubMed
  17. Hariharan S. Long-term kidney transplant survival. Am J Kidney Dis. 2001;38(6 suppl 6):S44-S50.
    CrossRef - PubMed
  18. Hariharan S, Smith RD, Viero R, First MR. Diabetic nephropathy after renal transplantation. Clinical and pathologic features. Transplantation. 1996;62(5):632-635.
    CrossRef - PubMed
  19. Schwarz A, Krause PH, Offermann G, Keller F. Recurrent and de novo renal disease after kidney transplantation with or without cyclosporine A. Am J Kidney Dis. 1991;17(5):524-531.
    PubMed
  20. Sharma UK, Jha V, Gupta KL, Joshi K, Sakhuja V. De novo diabetic glomerulosclerosis in a renal allograft recipient. Am J Kidney Dis. 1994;23(4):597-599.
    PubMed
  21. Miles AM, Sumrani N, Horowitz R, et al. Diabetes mellitus after renal transplantation: as deleterious as non-transplant-associated diabetes? Transplantation. 1998;65(3):380-384.
    CrossRef - PubMed
  22. Salifu MO, Nicastri AD, Markell MS, Ghali H, Sommer BG, Friedman EA. Allograft diabetic nephropathy may progress to end-stage renal disease. Pediatr Transplant. 2004;8(4):351-356.
    CrossRef - PubMed
  23. Bohman SO, Wilczek H, Tydén G, Jaremko G, Lundgren G, Groth CG. Recurrent diabetic nephropathy in renal allografts placed in diabetic patients and protective effect of simultaneous pancreatic transplantation. Transplant Proc. 1987;19(1 Pt 3):2290-2293.
    PubMed
  24. Mauer SM, Goetz FC, McHugh LE, et al. Long-term study of normal kidneys transplanted into patients with type I diabetes. Diabetes. 1989;38(4):516-523.
    CrossRef - PubMed
  25. Osterby R, Nyberg G, Hedman L, Karlberg I, Persson H, Svalander C. Kidney transplantation in type 1 (insulin-dependent) diabetic patients. Early glomerulopathy. Diabetologia. 1991;34(9):668-674.
    CrossRef - PubMed
  26. Wilczek HE, Jaremko G, Tydén G, Groth CG. Evolution of diabetic nephropathy in kidney grafts. Evidence that a simultaneously transplanted pancreas exerts a protective effect. Transplantation. 1995;59(1):51-57.
    CrossRef - PubMed http://www.ncbi.nlm.nih.gov/pubmed/7839428
  27. Doud R, Lee DB, Waisman J, Bergstein JM. Development of a lesion resembling diabetic nephropathy in a renal homograft. Arch Intern Med. 1977;137(7):945-947.
    CrossRef - PubMed
  28. El-Zoghby ZM, Stegall MD, Lager DJ, et al. Identifying specific causes of kidney allograft loss. Am J Transplant. 2009;9(3):527-535.doi: 10.1111/j.1600-6143.2008.02519.x.
    CrossRef - PubMed


Volume : 11
Issue : 3
Pages : 215 - 221
DOI : 10.6002/ect.2012.0193


PDF VIEW [496] KB.

From the 1Department of Nephrology and 2Department of Pathology, Sanjay Gandhi Postgraduate Institute of Medical Sciences, Lucknow, Pin, India, 226014
Acknowledgements: The author states that he has no conflicts of interest to declare, and that he received no funding for this study.
Corresponding author: Narayan Prasad, Additional Professor, Department of Nephrology, Sanjay Gandhi Postgraduate Institute of Medical Sciences, Lucknow, Pin, India, 226014
Phone: +91 522 266 8606
Fax: +91 522 266 8017
E-mail: narayan.nephro@gmail.com ; narayan@sgpgi.ac.in