We report the case of a middle-aged man who died from multiorgan failure 3 weeks after orthotopic liver transplant for fulminant hepatic failure, associated with a rare, often fatal, hematologic condition that usually presents in childhood. We discuss the importance of its diagnosis, treatment, and implications for liver transplant.
Key words : Histiocytes, Splenomegaly, Pancytopenia, Fulminant hepatic failure, Shistosomiasis
Case Report
A 44-year-old Filipino man who had immigrated to the United Kingdom 3 years previously, was admitted to our liver transplant unit with fulminant hepatic failure after a 1-week history of epigastric pain, nausea, breathlessness, cough, fever, and dark urine. His only significant medical history was suspected shingles 6 months before presentation, and there was no family history suggestive of significant liver disease.
He was an electrical engineer, had a moderate alcohol intake, did not smoke, or use illicit drugs or over-the-counter medications. He was initially alert, apyrexial, tachycardic, normotensive, with marked jaundice and splenomegaly, but without lymphadenopathy, ascites, or asterixis. He was pancytopenic (hemoglobin 13.4 g/dL, white cell count 2.35 × 109/L, neutrophil count 0.78 × 109/L, lymphocytes 1.09 × 109/L, and platelets 36 × 109/L) with anisocytosis and echinocytosis but without any red cell fragments, hemolysis, or blasts cells. Routine test results for plasma electrolytes and renal function were normal, but serum lactate was 13.4 mmol/L. Liver function was abnormal with an alkaline phosphatase level of 184 U/L, alanine transaminase 4096 U/L, aspartate transaminase 2407 U/L, bilirubin 298 mmol/L, albumin 35 g/L, prothrombin time 80.5 seconds, international normalized ratio 7.6, and fibrinogen 0.9 g/L. A computed tomography scan revealed basal lung atelectasis, an echogenic liver and massive splenomegaly (with several poorly enhancing lesions), and no varices or lymphadenopathy (except for an enlarged subcarinal lymph node). The results of an acute viral, autoimmune, toxic, and metabolic liver screen were negative, except for a ferritin level of > 20 000 mcg/L and an increased beta-2 microglobulin level of 9 mg/L. The results of blood, stool, and sputum cultures were negative (including acid-fast bacilli). Results of tests for human immunodeficiency virus (antibodies 1 and 2) and Leptospira IgM were negative. He was started on a standard treatment regimen for acute liver failure that included antibiotic therapy for “methicillin-resistant staphylococcus aureus” after positive nasal and groin swabs.
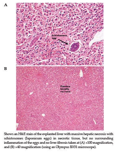
As an infiltrative condition was suspected, a transjugular liver biopsy was performed (on day 1) that revealed massive hepatic necrosis with schistosomes (Japonicum eggs) in necrotic tissue but without surrounding inflammatory reaction to the eggs and no liver fibrosis (Figures 1A and B). Because splenomegaly may result from schistosomiasis, a decision was made to treat this. However, on day 2 before initiation of praziquantel, he quickly progressed to grade 3 encephalopathy (arterial ammonia, 212 mmol/L) with acute kidney injury (creatinine, 166 mmol/L), requiring multiorgan support in the intensive care unit (ICP 11 mm Hg; computed tomography of the head was normal). He was urgently listed for a liver transplant; Mayo End-Stage Liver Disease score of 38 and a United Kingdom Model for End-Stage Liver Disease of 63.
On day 4 after presentation, he underwent a deceased-donor liver transplant and splenectomy. He was subsequently treated for schistosomiasis and mild herpes simplex virus reactivation (IV acyclovir, 5 mg/kg TDS). The results of his liver function tests remained elevated and continued to deteriorate, despite normal hepatic vasculature on Doppler ultrasound (day 1, and later on day 6 after liver transplant). Histology from the explanted liver revealed panacinar liver cell necrosis, mild portal tract inflammation, and numerous schistosomes, many of which appeared viable, with no surrounding inflammation. There was no significant fibrosis, nor was there any evidence of endothelitis, cholestasis, liver-cell siderosis, copper-associated protein, or alpha-1-antitrypsin material. The results of immunohistochemistry study were negative for cytomegalovirus, Epstein-Barr virus, herpes simples virus 1 and 2, and adenovirus. Histology from the spleen revealed heavy reactive T-cell infiltrates and prominent erythrophagocytosis, with no evidence of malignancy, and a resected lymph node demonstrating only sinus histiocytosis. Despite the splenectomy, he had persistent pancytopenia, so that a hematology consultation was sought; however, a bone marrow biopsy was not done. On day 10 after the liver transplant, a transjugular liver biopsy was performed for worsening liver function test results that demonstrated hepatitis with parenchymal lymphohistiocytic clusters and hepatocyte apoptosis in the graft.
Twelve days after the liver transplant, he was treated for mild cytomegalovirus reactivation (3197 copies/mL) with valganciclovir (900 mg/d). Owing to declining liver function, a transjugular liver biopsy was performed 17 days after the liver transplant that showed acute hepatitis with areas of confluent necrosis (Figure 2). On day 19 after liver transplant, he was readmitted to the intensive care unit owing to failing graft function and persistent pancytopenia. A bone marrow aspirate and biopsy (Figures 3A and B, and Figure 4) showed most of the marrow space was packed by erythrophagocytic histiocytes, with a few scattered lymphocytes, consistent with a diagnosis of hemophagocytic lymphohistiocytosis (HLH). Staining results were later negative for cytomegalovirus, herpes simplex virus 1 and 2, BK virus, Epstein-Barr virus, adenovirus, mycobacterial, and fungal organisms. The hematologist-oncologists immediately started etoposide, dexamethasone and cyclosporine chemotherapy as per the HLH-2004 protocol guidelines.1 However, the patient died 24 days after presentation (20 days after liver transplant) before control of his disease with chemotherapy or other potential avenues of therapy could take hold.
Discussion
Hemophagocytic lymphohistiocytosis is a rare condition (1.2:10 000) with children under age 2 years presenting predominantly. The disorder is characterized by atypically activated histiocytes, that are normally involved in phagocytosis, tissue repair, iron storage, and antigen formation.2 The histiocytes damage multiple organs, especially bone marrow, by engulfing blood components (though this is not pathognomonic for HLH as it may occur with blood transfusions and hemolytic anemias). This triggers a marked proinflammatory (eg, natural killer and T-cell) response,2 causing tissue necrosis and ultimately, organ failure. In the liver, hepatitis predominates with portal and pericentral distribution of the lymphocytic infiltrate and proliferation of mature histiocytes with hemophagocytosis—a hallmark of the condition. Cholestasis and bile duct damage may be seen with some lymphocytic infiltrates, but also may occur as a result of local cytokine-mediated epithelial damage (endothelitis).2, 3 Although hepatic manifestations are identified in most cases of HLH, its presentation as fulminant hepatic failure are rare and usually stem from an underlying trigger factor (eg, virus) precipitating HLH. In fact, there has been only 1 report of a pediatric series in which HLH might have directly caused fulminant hepatic failure itself owing to an associated hepatic cytokine storm,4 though this is contentious. Where liver transplant has been performed, this has been only in children and outcomes have been poor.5
In adults, HLH occurs primarily secondary to a specific underlying medical condition or environmental trigger (Table 1), such as exogenous agents (eg, viral infections like Epstein-Barr virus), endogenous agents (eg, tissue damage, metabolic products), rheumatic disease (eg, collagen-vascular disease, macrophage activation syndrome), or malignancy (eg, T-cell lymphoma).5 In childhood (in which most cases occur within the first 2 years of life), presentation is caused by an autosomal form of recessive "familial" HLH (Table 1). This involves several mutation subtypes (eg, familial HLH-2, perforin gene, familial HLH-3, Munc12-4, and syntaxin 11),6, 7 often associated with consanguinity. Late-onset cases of de novo familial HLH may occasionally occur in children with no previously affected family members with a recessive gene (as a genetic-environmental interaction predisposes them to overt HLH) triggered by a secondary insult. Although differentiating familial from secondary HLH may be difficult, it is nonetheless important because primary HLH is usually fatal without a bone marrow transplant. In our patient, there was no clear evidence for primary HLH, but classic precipitants for secondary HLH were not identified because there was no evidence of EBV, malignancy, lymphoma, rheumatic disease, or HIV.
Hemophagocytic lymphohistiocytosis requires 5 of 8 of the following features for diagnosis: fever, hepatosplenomegaly, cytopenias, hypertriglyceridemia and/or hypofibrinogenemia, tissue evidence of hemophagocytosis, low or absent activity of natural killer cells, hyperferritinemia, and elevated plasma interleukin-2 receptor.3 A tissue diagnosis of either bone marrow, liver, spleen, lymph node, and skin may prove diagnostic, and genetic studies help differentiate familial from secondary HLH. In this case, there was no evidence of impaired natural killer cell function, increased plasma IL-2, or macrophage activity on further study, and triglyceride levels could not be measured as the sample was too icteric. However, although more than 5 diagnostic features of HLH were noted at presentation, fever, hyperferritinemia, and hypofibrinogenemia are all found in fulminant hepatic failure, and cytopenias may be associated with some viral causes.
In addition, a raised beta-2 microglobulin (a component of the MHC class 1 molecule) is compatible with a diagnosis of HLH (as well as lymphoma and leukemia). However, it also has been reported with massive hemorrhagic hepatic necrosis, reflecting a heightened state of immune-mediated hepatic inflammatory responses observed in fulminant hepatic failure.8 Moreover, although hyperferritinemia is a hallmark of HLH, it rarely aids in diagnosis or allowing differentiation from significant acute liver injury,9 especially hemochromatosis-induced fulminant hepatic failure in pediatric cases.5 This is because ferritin is secreted by activated macrophages, which are abundant in acute hepatitis, correlating with worsening serum alanine aminotransferase activity.9 In other liver conditions like hemochromatosis, high ferritin levels occur not only from increased release from damaged cells, but also from altered homeostasis.10 Furthermore, as an acute phase reactant, ferritin can be elevated in inflammatory disorders and many other conditions.
Epstein-Barr virus infection is a known cause of secondary HLH,11 which is likely related to high NK-cell infectivity.12 In this case, at presentation, Epstein-Barr virus DNA was initially negative, but by day 17 after liver transplant, although Epstein-Barr virus DNA was positive, it was detected at only low and almost insignificant levels (904 IU/mL) not requiring treatment. Liver necropsy showed no evidence of hepatic stellate macrophage activation by Epstein-Barr virus-infected T/NK cells or associated apoptosis (via the Fas-ligand pathway). Despite 2 initial, low-positive HSV type-1 DNA levels by PCR, with a third negative, in the context of positive HSV type 1 and type 2 antibodies (that take up to 4 weeks to develop), there was clearly no primary HSV infection. The cytomegalovirus levels 10 days after transplant were not high enough to cause the deterioration in the liver function tests. As such, these virology results reflect his immunodeficient state whether independent of, or secondary to, HLH.
Schistosomiasis was an unlikely cause of the splenomegaly given the absence of portal hypertension on clinical assessment, and limited local tissue reaction histologically. Even in its acute form (Katayama syndrome), it is not associated with fulminant hepatic failure. However, HLH rarely can be triggered by parasitic infections (eg, leishmaniasis).13 In retrospect, the lack of histologic inflammatory reaction to the schistosome eggs was probably due to an underlying immune deficiency (nature unknown), which would further support that schistosomiasis was not the trigger for HLH.
Secondary HLH usually resolves spontaneously, or on treating the triggering factor, but has a poor prognosis in adults over 30 years old.3 Chemoimmunotherapy is often essential to suppress the cytokine overproduction (HLH-2004 protocol guidelines: 8 weeks of etoposide, dexamethasone and cyclosporine) with either ongoing therapy, or second-line chemotherapy (eg, cyclophosphamide, hydroxydaunorubicin, vincristine, prednisolone). A potentially curative bone marrow transplant, is realistically only a consideration for primary HLH, and unlikely to effect secondary HLH,1 where the principle of treatment is to target the precipitating trigger for HLH. In our patient with presumed non-A, non-E–induced fulminant hepatic failure, a liver transplant was a sensible treatment option as it may have served to remove the triggering hepatitic agent.
In conclusion, we describe a 44-year-old man who had a liver transplant for fulminant hepatic failure owing to presumed non-A, non-E infective agent and secondary HLH. To our knowledge, this is the first adult transplanted with secondary HLH. Acquired-HLH often presents late or may be misdiagnosed owing to a variety of nonspecific symptoms, including often hepatologic ones. Early recognition of HLH necessitating immediate specialist referral for chemoimmunotherapy and identification and treatment of the secondary trigger are therefore paramount. In our patient, it is possible that a more prompt diagnosis of HLH by an earlier bone marrow biopsy could have influenced the outcome, as earlier chemotherapy may have affected after liver transplant recovery. However, it probably would not have altered the decision to transplant in the fulminant phase, as removing the necrosed liver may have removed the trigger for HLH. However, in most cases of fulminant hepatic failure associated with secondary HLH the prognosis remains poor despite a specialist’s intervention.
References:

Volume : 10
Issue : 5
Pages : 508 - 512
DOI : 10.6002/ect.2011.0204
From The 1Royal Free Sheila Sherlock Liver Centre, the
3Department of Hematology,
and the 4Department of Cellular Pathology, The Royal Free Hospital, London; and
2Department of Hepatology and Gastroenterology, Basildon & Thurrock University
Hospitals NHS Foundation Trust Nethermayne Basildon Essex, United Kingdom
Acknowledgements: No funding was received in the preparation of this manuscript.
The authors have nothing to disclose.
Corresponding author: Professor Andrew. K Burroughs, The Royal Free Sheila
Sherlock Liver Centre, The Royal Free Hospital, London, United Kingdom
Phone: +44 20 779 4050
Fax: +44 20 7472 6226
E-mail: andrew.burroughs@nhs.net
Figure 1A and B. H&E Stain of the Explanted Liver
Figure 2. H&E Stain of the Biopsy
Figure 3A and B. Bone Marrow Aspirate
Figure 4 Bone Marrow Trephine Bone Marrow
Table 1. Pathogenic Factors Involved in Development of HLH