The incidence of vascular complications after renal transplant as reported varies from 3.5% to 14%. Pseudoaneurysm formation at the site of the anastomosis is a rare complication, and only a few cases have been reported. There also were only a few reports of "true" mycotic aneurysms of the renal allograft artery. We present 2 patients with true mycotic aneurysmal formation of the renal allograft artery after a renal transplant. Both patients presented with fever and increasing serum creatinine levels. Cultures from aneurysm tissue samples have grown Aspergillus flavus. Both patients were subjected to an allograft nephrectomy, and amphotericin was given.
Key words : Aspergillus flavus, Aneurysm, Anastomotic site, Renal transplant, Magnetic resonance angiography
Introduction
The incidence of vascular complications after a renal transplant varies from 3.5% to 14% and accounts for 1.7% to 4.4% of all transplants.1 Less frequent (0.8%-2%) is vascularthrombosis or bleeding from the anastomotic site (0.3%).1
We present patients with true mycotic aneurysm formation of the renal allograft artery after renal transplant. A mycotic aneurysm is a localized, irreversible arterial dilatation owing to destruction of the vessel wall by infection. A mycotic aneurysm can develop either when a new aneurysm is produced by infection of the arterial wall, or when a pre-existing aneurysm becomes infected secondarily. The majority of mycotic aneurysms are caused by bacteria, despite the name (which was coined by Osler to denote an appearance like “fresh fungus vegetations”).2 A true mycotic aneurysm reveals growth of a fungus in the aneurysmal tissues. On the other hand, a pseudoaneurysm is a hematoma that forms from a leaking aperture in an artery. The hematoma forms outside the arterial wall, so the surrounding tissues contain it. It must continue to communicate with the artery to be considered a pseudoaneurysm. This must be distinguished from a true aneurysm, which is a localized dilatation of an artery including all layers of the wall.
Case Reports
Patient 1
A 46-year-old man underwent a deceased-donor renal transplant for end-stage
renal disease owing to hypertension. He received basiliximab, 2 doses of 20 mg
each, and methylprednisolone 15 mg/kg/d for the first 3 days of renal
transplant, followed by prednisolone 20 mg/d, mycophenolate mofetil 1.0 g twice
a day, and cyclosporine 8 mg/kg/d in 2 divided doses. The anastomosis of the
right internal iliac and renal allograft artery was end-to-side. A protocol
renal allograft biopsy on day 4 revealed acute tubular necrosis. Afterwards,
neither a renal biopsy ultrasonogram nor monthly ultrasonograms showed
abnormalities. The creatinine level reached 123.76 µmol/L on 22nd day after the
renal transplant. Five months after the renal transplant, his creatinine was
within the normal range, until he presented with fever, chills, rigor, and a dry
cough of 5 days’ duration. He also complained of a decrease in urine output
lasting 1 day that deteriorated to anuria. At that admission, he was taking
prednisolone 12.5 mg/d, cyclosporine 3 mg/kg/d, and mycophenolate mofetil 1.0 g
twice a day. His blood pressure was 140/90 mm Hg, his pulse was 110 bpm, and the
results of a systemic examination were unremarkable. There was no bruit over his
allograft. The results of his laboratory examinations are reported in Table 1.
A renal allograft artery angiogram was done on day 3 after admission. It showed an aneurysm at the anastomotic site of right internal iliac artery and renal artery of the allograft and occlusion of renal allograft artery at the anastomotic site. He was started on amphotericin B and piperacillin-tazobactam. He also began hemodialysis via a right internal jugular catheter. He had a graft nephrectomy. An aneurysmectomy was performed, and the defect in the right internal iliac artery was closed by a saphenous vein graft. The results of a culture of the aneurysm showed the growth of Aspergillus flavus, and histopathology of the nephrectomy specimen showed no viable tissue. No fungus was identified in the allograft on special stains. The patient was given amphotericin up to a cumulative dosage of 3.0 g. He has been on regular maintenance hemodialysis with us for the past 3 years.
Patient 2
A 42-year-old man received a spousal renal transplant from his wife as the donor
for end-stage renal disease owing to renal calculus disease. He received
basiliximab, methylprednisolone, followed by prednisolone, mycophenolate mofetil,
and cyclosporine (same as that of the first patient). The anastomosis of the
right internal iliac and renal allograft artery was end-to-side. His creatinine
value reduced to 106.08 mmol/L within a week. Within 3 weeks of the transplant,
he presented with complaints of dysuria, 1 episode of hematuria, fever, chills,
rigor, cough with expectoration, and breathlessness of 1 day’s duration. His
blood pressure was 130/80 mm Hg, his pulse was 100 bpm, and the results of a
systemic examination were unremarkable. There was no bruit over the allograft.
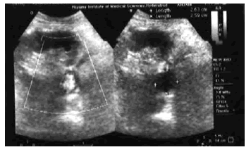
On admission, he was on prednisolone 20 mg/d, mycophenolate mofetil 1.0 g twice daily, and cyclosporine 8 mg/kg/d. The results of his laboratory investigations are reported in Table 1. As the Doppler of renal allograft artery suggested aneurysm (Figure 1), a magnetic resonance angiography was performed. It revealed a saccular aneurysm 2.5 × 2.0 cm with fundus directed inferior of main renal artery of allograft kidney (Figure 2). Upon exploration, the aneurysm was found at the anastomotic site encroaching on the renal hilum. An aneurysmectomy and nephrectomy were done to repair the defect in right internal iliac artery. The results of cultures of his tissue samples from the aneurysm showed Aspergillus flavus, and the nephrectomy specimen showed diffuse cortical necrosis. No fungus was identified in the allograft by use of special stains. He began imipenem and amphotericin B. He was given amphotericin B to a cumulative dosage of 2.7 g. He has been on regular maintenance hemodialysis with us for the past 18 months.
Discussion
Pseudoaneurysm formation at the site of the anastomosis is a rare complication, and only a few cases have been reported.1 True pseudoaneurysms at the donor renal, external iliac artery anastomosis usually result in high rates of transplant nephrectomy.3 There have been only a few reports4-7 of true mycotic aneurysms of the renal allograft artery (Table 2). It is a result of faulty surgical technique, kinking of the renal artery, instrumental injury during perfusion, dissection of the vasa vasorum, and immunologic mechanisms.1 Table 3 shows reported patients5, 8-10 with true mycotic pseudoaneurysms.
In addition, there are reports of ruptured anastomotic sites6 and renal allograft artery ruptures.5, 11 In these patients, the fungus was demonstrated in the tissue samples of the arterial rupture site. Presence of an aneurysm, was not demonstrated. There is a report of a 4.5-cm mycotic aneurysm of the transplant artery that was treated with empirical antifungal therapy, as the patient, 4 months earlier, had Candida growth in her blood cultures.12 In another report, a renal graft artery ruptured secondary to extensive perirenal candida infection including a fungus ball in the urinary tract.13
The source of fungus in the reported patients was perfusion fluid5, 7 and the allograft.11 The source of fungus for the aneurysm in the first patient was obviously from a pulmonary infection. In the second patient, as he presented within 3 weeks of a renal transplant, the source might have been from surgical contamination. Another end-stage renal disease patient who underwent continuous ambulatory peritoneal dialysis catheter insertion in the same operating theater, and on the same operation table, also had aspergillus peritonitis postoperatively.
The presentations of mycotic aneurysms in these patients included fever,5, 6, 9 abdominal and low back ache,4, 6, 9 and a pulsatile mass. Oliguria and hypotension also have been reported.4-6 In another report,10 two patients presented with abdominal pain and hypotension after passing stool. An abdominal bruit was not reported in true mycotic aneurysms, but it was a feature of nonmycotic transplant renal artery aneurysm.14
Different diagnostic tools, like color flow Doppler, Duplex Doppler, multislice computed topography angiography, magnetic resonance angiography, and conventional angiography help diagnose aneurysms of anastomosis.14 Recent reports advocate that symptomatic true or pseudoaneurysms, large size (> 2.5 cm), presence of infection, progressive enlargement, and impending rupture are indications for repair.2, 15, 16 Open surgical repair, endovascular repair, and ultrasound-guided percutaneous thrombin injection are the reported treatment options for managing extrarenal true or pseudoaneurysms complicating renal transplant.14
References:

Volume : 10
Issue : 4
Pages : 398 - 402
DOI : 10.6002/ect.2011.0190
From the Departments of 1Urology and Nephrology,
2Pathology, and 3Cardiology, Nizam’s Institute of Medical Sciences, Punjagutta, Hyderabad-082, India
Corresponding author: Rapur Ram, Associate Professor, Nephrology, Nizam’s
Institute of Medical Sciences, Punjagutta, Hyderabad-082, India
Phone: +91 984 824 6364
E-mail: ram_5_1999@yahoo.com
Table 1. Investigations of the Patients
Figure 1. Doppler of Renal Allograft Artery (Patient 2): Anechoic Saccular Out Pouching
Figure 2. Magnetic Resonance Angiography (Patient 2): Saccular Aneurysm of Main Renal Artery of Allograft Kidney
Table 2. True Mycotic Aneurysm
Table 3. True Mycotic Pseudoaneurysms