Concomitant infections, which are common in patients who have received an organ transplant, must be diagnosed and treated early to prevent high mortality rates. We describe a case of concomitant Cytomegalovirus infection and Aspergillus pneumonia in a heart transplant patient who received pulsed steroids as therapy for rejection, and we describe the successful treatment of that coinfection with ganciclovir and voriconazole.
Key words : Opportunistic infections, Heart transplantation, Galactomannan antigen
Solid organ transplant is used with increasing frequency as a treatment for end-stage organ failure. However, posttransplant immunosuppressive therapy increases the incidence of opportunistic infections and morbidity (1-3). Cytomegalovirus (CMV) infection, which is a common complication after cardiac transplant, affects 10% to 30% of patients who have undergone that procedure (4, 5). Although CMV rarely develops as a primary infection, reactivation of a previous CMV infection, or the development of a superinfection, often occur in transplant patients. It has been shown that CMV can lead to the development of bacterial and fungal superinfections by triggering cellular immunosuppression in solid organ transplant patients with a history of CMV infection (6, 7). However, concomitant CMV infection and Aspergillus pneumonia have rarely been documented (8). We report the successful treatment of that coinfection in a patient who had received an orthotopic heart transplant as treatment for dilated cardiomyopathy.
Case Presentation
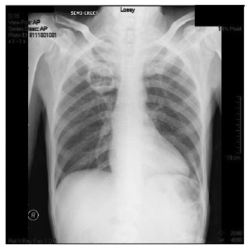
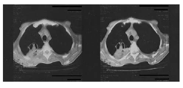
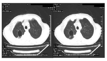
Signs of acute rejection were observed during the third posttransplant month in a 47-year-old man who, at our institution in September 2007, received an orthotopic heart transplant as treatment for dilated cardiomyopathy. This patient’s laboratory test results were seronegative for CMV during the pretransplant period, but the CMV serologic status of the donor was unknown. The patient was treated with cyclosporine (15 mg/kg) and mycophenolate mofetil (2 × 1.5 g) and received prophylaxis against CMV (intravenously administered ganciclovir (2 × 5 mg/kg induction treatment for 2 weeks and 2 × 2.5 mg/kg maintenance treatment) for 1 month and oral valganciclovir (2 × 450 mg) for 2 months as a standard posttransplant regimen. To treat rejection, he received pulsed steroids, a few days after which dyspnea, cough, purulent sputum, and a fever of 38.5ºC developed. The patient was diagnosed as having pneumonia, and treatment with ceftriaxone (1 × 2 g intravenously administered) was initiated. That initial treatment was replaced with piperacillin-tazobactam (4 × 4.5 g intravenously administered) anti¬biotic therapy because tachycardia (102 beats/min), tachypnea (22 breaths/min), and fever persisted, and the patient’s orientation and ability to cooperate deteriorated. The results of biochemical testing revealed the following values: white blood cell count, 5.1 × 109/L; hemoglobin value, 8.3 mmol/L; platelet count, 14 × 109/L; aspartate transaminase, 74 U/L; alanine transaminase, 46 U/L; alkaline phosphatase, 2972 U/L; γ-glutamyltransferase, 803 U/L; L-lactate dehydrogenase, 2177 U/L; total bilirubin, 61.1 µmol/L; and direct bilirubin, 44.3 µmol/L. Treatment with ganciclovir 2 × 5 mg/kg was added to the regimen because the patient exhibited bicytopenia; elevated liver enzymes; cerebral symptoms; and the following values: CMV pp65 antigen, > 8 antigen-positive cells/2 × 105 peripheral blood leucocytes; and CMV real-time polymerase chain reaction results, 31 245 copies/mL, all of which indicated CMV infection. Bronchoscopy was not performed because of the patient’s severe thrombocytopenia, and the histopathologic findings did not confirm CMV pneumonia. Extended spectrum beta-lactamase–producing Klebsiella pneumoniae was grown in the sputum culture, and piperacillin-tazobactam was replaced with carbapenem Meropenem (3 × 1 g intravenously administered). Despite treatment with ganciclovir and the meropenem, the patient required increasing support with oxygen and exhibited progressive dyspnea. A posteroanterior radiograph of the chest revealed pulmonary infiltration and a cavitary lesion in the superior lobe of the right lung (Figure 1). A thoracic computed tomographic scan showed bilateral nodular lesions with a halo sign, consolidated areas, and a cavitation (23 × 19 mm) in the superior lobe of the right lung (Figure 2). Coinfection with Aspergillus was suggested by the thoracic computed tomographic findings, and a galactomannan antigen index of 2.3 supported that diagnosis. Blood samples for serum galactomannan antigen levels were obtained 6 hours after the last administration (and just before the next administration) of the piperacillin-tazobactam infusion to prevent possible false-positive results. The patient was diagnosed as having probable invasive pulmonary aspergillosis and received parenteral voriconazole (a 2 × 6 mg/kg loading dose followed by a 2 × 4 mg/kg maintenance dose). His dyspnea, fever, and biochemical parameters were within normal limits at follow-up. Treatment with the meropenem was discontinued after 2 weeks and ganciclovir therapy was terminated after 4 weeks as the test results for CMV pp65 antigen and the CMV real-time polymerase chain reaction became negative. At the follow-up examination, the patient’s galactomannan levels had also decreased (Figure 3), and a control thoracic computed tomographic scan revealed the decreased dimensions of the nodules and cavity, the regression of parenchymal consolidation, and the resolution of the air-crescent sign in the cavitation (Figure 4). The radiologic findings are shown in Figure 2. The patient’s antifungal treatment was changed to oral voriconazole (2 × 200 mg), which was continued until all abnormal radiologic findings had resolved.
Discussion
Previous studies have reported that in the absence of preventive therapy, 30% to 75% of patients who received a solid organ transplant were infected with CMV and that CMV disease developed in 8% to 30% of those individuals (9-12). Risk factors for CMV infection include having received an organ from a CMV-seropositive donor (Donor+/recipient- patients are at substantially greater risk for CMV infection than are Donor+/recipient+ patients) or a deceased donor, having undergone treatment for acute rejection, and age older than 55 years (13). Because patients who have received a transplant are treated with immunosuppressive agents, CMV disease can result from the reactivation of a latent endogenous infection. It is known that CMV remains latent in leucocytes, which are the major reservoir for CMV. Cytomegalovirus disease can also be acquired from the environment, by transfusion, or from the donor organ (14).
In this new era of clinical treatment in which immunosuppressive therapy after a solid organ transplant is the standard regimen, prolonged prophylaxis with antiviral therapy after solid organ transplant may prevent late-onset CMV disease and improve long-term patient and graft survival (15). Cytomegalovirus pneumonia should be suspected in symptomatic patients whose chest radiographs are abnormal and who demonstrate increased CMV pp65 antigenemia. By exerting an immunomodulatory effect, CMV increases both immunosuppression and the risk of opportunistic infections (16, 17). Cytomegalovirus infection also increases susceptibility to invasive fungal infection in the lungs by producing an immunologic shift toward the T helper cell 2 response (18).
Invasive Aspergillus infection is a complication of solid organ transplant that usually develops during the first 12 months after transplant and is associated with a high mortality rate (1). The usual time of onset of invasive aspergillosis is 36 to 52 days after transplant, and almost 75% of the cases of that disease develop within the first 90 days after transplant (3). The onset of invasive aspergillosis has been shown to be significantly delayed by the initiation of routine ganciclovir prophylaxis for CMV infection (19). Reoperation, CMV disease, posttransplant hemodialysis, and an episode of invasive aspergillosis in the heart transplant unit 2 months before or after the patient’s transplant surgery have been shown to be independent risk factors for invasive aspergillosis in heart transplant recipients (20). The reported incidence of invasive pulmonary aspergillosis after renal transplant was 2.2% in a study by Schelenz and Goldsmith (21), and in an investigation by Brown and colleagues, the mortality rate in such patients ranged from 70% to 100% (22). Singh and Paterson showed that in patients who had received a heart transplant, the incidence of invasive pulmonary aspergillosis ranged from 3.3% to 14% (3), and in a study by Montoya and colleagues, the mortality rate in such patients ranged from 53% to 78% (19).
Aspergillus pneumonia has been shown to be the pulmonary complication associated with the highest mortality rate in patients who have received a cardiac transplant (23). In a study by Cisneros and colleagues, the mortality rate in such patients with Aspergillus pneumonia was 62% (24). In an 18-year surveillance study of heart transplant recipients, the mortality rate of invasive pulmonary aspergillosis was 36% (25). In another investigation, the most commonly isolated aspergillus species in patients with liver and kidney transplants was Aspergillus fumigatus (22). Because patients with CMV-associated pneumonia are susceptible to fungal pneumonia, invasive pulmonary aspergillosis progresses rapidly and is associated with high mortality rates. For those reasons, clinicians must remain vigilant in detecting infections that coexist with CMV infection to ensure early diagnosis and timely treatment.
Aspergillus pneumonia usually presents as cavitary or diffuse bilateral pulmonary disease (26), and the most common radiologic findings in such cases are multiple pulmonary nodules and masses (27). It has been reported that the pulmonary nodules that develop during posttransplant months 1 to 3 are frequently associated with pulmonary Aspergillus infection (28, 29). The identification of the circulating galactomannan antigen of Aspergillus species via enzyme-linked immunosorbent assay has been shown to have a sensitivity of 50% to 90% and a specificity of 81% to 90% in the diagnosis of Aspergillus infection (30). Although amphotericin B is the first-line drug of choice for the treatment of pulmonary fungal infections, some authors suggest that voriconazole is superior to amphotericin B in patients with suspected aspergillosis (31, 32).
According to criteria for the diagnosis of invasive fungal infections published by the European Organization for Research and Treatment of Cancer/Invasive Fungal Infections Cooperative Group and the National Institute of Allergy and Infectious Diseases Mycoses Study Group, radiologic findings and test results that are positive for galactomannan antigenemia are indicative of probable pulmonary aspergillosis (33). In the patient described in this report, no clinical or radiologic response occurred despite intravenous ganciclovir treatment. The diagnosis of pulmonary aspergillosis was based on the findings from the computed tomographic study of the patient’s thorax and on his galactomannan-antigen-positive test results. Treatment with intra-venous voriconazole was successful in resolving that disease.
In conclusion, concomitant infection with CMV and Aspergillus is a rare complication in patients who have received a heart transplant. Radiographically confirmed clinical worsening of CMV infection that occurs despite treatment with intravenous ganciclovir should alert the physician to the presence of a superinfection. In such patients, further examination should be performed immediately, and second-line chemotherapy, including antifungal treatment, should be initiated.
References:

Volume : 7
Issue : 3
Pages : 168 - 172
From the
1Marmara University Medical School, Infectious Disease and Clinical
Microbiology Department, Istanbul, Turkey,
2Kartal Kosuyolu Heart Education and
Research Hospital, Cardiology Department, Istanbul, Turkey
Address reprint requests to: Kursat Tigen MD, Kartal Koþuyolu Yüksek Ýhtisas
Eðitim ve Araþtýrma Hastanesi, Denizer Cad. Cevizli, Kartal, Ýstanbul, Türkiye
Phone: +90 533 722 32 21
E-mail: mktigen@yahoo.com
Figure 1. A posteroanterior chest radiograph demonstrating pulmonary infiltration and a cavitary lesion in the superior lobe of the right lung.
Figure 2. A thoracic computed tomographic scan reveals bilateral nodular lesions with a halo sign, consolidated areas, and a cavitation in the superior lobe of the right lung.
Figure 3. The patient’s serum galactomannan antigen levels at follow-up.
Figure 4. A thoracic computed tomographic scan showing the posttreatment decreased dimensions of the nodules and cavity, the regression of parenchymal consolidation, and the resolution of the aircrescent sign in the cavitation.