Begin typing your search above and press return to search.
Volume: 5 Issue: 2 December 2007

FULL TEXT

Unusual Presentation of Recurrent Hepatocellular Carcinoma as Obstructive Jaundice 15 Years after Liver Transplant

Hepatocellular carcinoma recurrence is a known limitation of liver transplant. Recurrence rates have been reported in 10% to 60% of patients within an average of 1 to 2 years following liver transplant. We report a case of recurrent hepatocellular carcinoma 15 years after orthotopic liver transplant, presenting initially as obstructive bile duct compression as detected by cholangiogram. Laparotomy revealed hepatocellular carcinoma invading the common bile duct without any mass in the liver parenchyma. The main focus of the case is the endoscopic retrograde cholangiopancreatography image, which is unique in the setting of liver disease following liver transplant.


Key words : ERCP, HCC, Transplantation

Hepatocellular carcinoma recurrence is a known limitation of liver transplant. Recurrence rates have been reported in 10% to 60% of patients within an average of 1 to 2 years following liver transplant (1). Jaundice can occur in 5% to 44% of patients with hepatocellular carcinoma prior to liver transplant during the late stages of the disease process (2). However, obstructive jaundice is reported in only 1% to 12% of patients with hepatocellular carcinoma (3).

Endoscopic retrograde cholangiopancreatography is crucial to the evaluation of jaundice following liver transplant. We report a case of recurrent hepatocellular carcinoma 15 years after orthotopic liver transplant, presenting initially as obstructive bile duct compression as detected by cholangiogram(Figures 1 and 2). Laparotomy revealed hepatocellular carcinoma invading the common bile duct.

Case Report

A 77-year-old white man with history of liver transplant 15 years earlier for hepatitis C virus was evaluated for jaundice. A review of the explanted liver pathology report revealed incidental small hepatocellular carcinoma as a 4-mm mass. The patient’s posttransplant course had been unremarkable except for episodes of acute cellular rejection during the early posttransplant period. For the subsequent 12 years, he had been stable. Interferon treatment was prescribed to prevent recurrent infection of hepatitis C virus, but treatment was not well tolerated owing to thrombocytopenia and leucopenia.

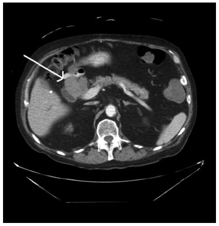
The physical examination was unremarkable except for icteric sclera. The patient’s laboratory values were as follows: total bilirubin level, 220.642 µmol/L (normal range, 5.0-21.0 µmol/L); alkaline phosphatase, 19.305 µkat/L (normal range, 0.5-2.0 µkat/L); aspartate aminotransferase, 5.318 µkat/L (normal range, 0.17-0.51 µkat/L); alanine aminotransferase, 6.296 µkat/L (normal range, 0.17-0.68 µkat/L); gamma-glutamyltransferase, 4.334 µkat/L (normal range, 0.03-0.51 µkat/L); and alpha fetoprotein, 36.8 µg/mL (normal range, 0-20 µg/mL). The results of a complete blood count were within normal limits. Computed tomography scanning revealed a 5.2 × 5.7 cm mass abutting the pancreas head (Figure 3). Endoscopic retrograde cholangiopancreatography showed an obstruction by the compressing mass at the level of the midportion of the common bile duct. This endoscopic retrograde cholangiopancreatography picture may have represented intraluminal invasion of the mass with no effect on the pancreatic duct (Figures 1 and 2). Fine-needle aspiration biopsy of the mass revealed malignant cells.

During laparotomy, a mass was found in the retropancreatic and paraduodenal regions, which invaded the bile duct. Following resection of the mass, continuity of the bile system was established via a Roux-en-Y hepaticojejunostomy. The patient’s postoperative course was uneventful. Final histology revealed hepatocellular carcinoma invading the common bile duct. An intraoperative liver biopsy specimen showed no evidence of cirrhosis. At 1-year follow-up, there was no clinical or radiologic evidence of hepatocellular carcinoma; the patient’s alpha fetoprotein level was < 4.8 ng/mL.

Discussion

Although there have been previously reported cases in the literature, what is unique about the current case is the recurrence of hepatocellular carcinoma 15 years after liver transplant, causing obstructive jaundice in the absence of any mass effect in the liver parenchyma (1, 3, 4, 5). Another perspective of this case is its emphasis on the endoscopic retrograde cholangiopancreatography images that easily could have been misinterpreted initially as “bile duct stone disease.” Also, in the absence of mass effect in the liver parenchyma, a stone-related pathology was the initial diagnostic approach.

There is a broad spectrum of treatment options for cases like this. They range from balloon dilatation and stent application as palliation to major hepatic and extrahepatic biliary resection (which are recommended for better survival in patients with hepatocellular carcinoma) (5,6). In this reported case, extrahepatic bile duct resection along with resection of the mass was performed; continuity was established by a Roux-en-Y hepaticojejunostomy. Cellular level studies for absolute differentiation of de novo versus recurrent hepatocellular carcinoma was beyond the scope of our reporting purposes.

We would like to emphasize that hepatocellular carcinoma can reoccur years after orthotopic liver transplant and can present as obstructive jaundice by invading the extrahepatic bile duct without any mass effect in the liver parenchyma. Clinicians should be alert for this fact while evaluating obstructive jaundice in patients with a history of liver transplant due to hepatitis C virus.


References:

  1. Schreibman IR, Bejarano P, Martinez EJ, Regev A. Very late recurrence of hepatocellular carcinoma after liver transplantation: case report and literature review. Transplant Proc. 2006;38(9):3140-3143.
  2. Lai EC, Lau WY. Hepatocellular carcinoma presenting with obstructive jaundice. ANZ J Surg. 2006;76(7):631-636.
  3. Qin LX, Tang ZY. Hepatocellular carcinoma with obstructive jaundice: diagnosis, treatment and prognosis. World J Gastroenterol. 2003;9(3):385-391.
  4. Leong JW, Ho JM, Ng HS, Raj JP. Early hepatocellular carcinoma presenting with biliary ductal invasion--a case report. Ann Acad Med Singapore. 2000;29(1):101-104.
  5. Wang HJ, Kim JH, Kim JH, Kim WH, Kim MW. Hepatocellular carcinoma with tumor thrombi in the bile duct. Hepatogastroenterology. 1999;46(28):2495-2499.
  6. Lau W, Leung K, Leung TW, et al. A logical approach to hepatocellular carcinoma presenting with jaundice. Ann Surg. 1997;225(3):281-285.


Volume : 5
Issue : 2
Pages : 713 - 715


PDF VIEW [116] KB.

From the Nazih Zuhdi Transplant Institute, Integris BaptistMedical Center, Oklahoma City, OK
Address reprint requests to: A. Gurakar, Integris Baptist Medical Center, Nazih Zuhdi Transplant Institute, 3300 Northwest Expressway Oklahoma City, OK 73112
Phone: +1-405-949 3349
Fax: +1-405-945 5467
E-mail: a.gurakar@integris-health.com