T-cell posttransplant lymphoproliferative disorders after solid-organ transplant are rare and may be clinically aggressive. A 3-year-old boy had liver transplant from his grandfather because of hepatoblastoma. The immunosuppressive regimen was based on tacrolimus and prednisolone. At 22 months after transplant (age, 5 years), the patient presented to the hospital because of severe cough. Computed tomography scan of the chest showed a large left mediastinal mass (9 × 7.2 × 7 cm) and left pleural effusion. A Tru-Cut biopsy of the mediastinal mass showed diffuse infiltration with blast cells, and the diagnosis of T-cell acute lymphoblastic leukemia was made. Immunohistochemical examination of blasts showed strong and diffuse terminal deoxynucleotidyl transferase and CD3 antibody expression; Ki-67 proliferation index was > 95%, and tumor cells were negative for Epstein-Barr virus. Tacrolimus was stopped, sirolimus was started, and chemotherapy was given, but he died 2 months after diagnosis because of chemotherapy-induced sepsis. Monomorphic T-cell posttransplant lympho-proliferative disorder with features of acute lymphoblastic leukemia and lymphoblastic lymphoma is rare after liver transplant.
Key words : Hepatic failure, Hepatoblastoma, Lymphoma, Posttransplant lymphoproliferative disorder
Introduction
Posttransplant lymphoproliferative disorder is a major life-threatening complication of immuno-suppressive drug therapy after solid-organ or hematopoietic stem cell transplant. In the 2008 World Health Organization classification, posttransplant lymphoproliferative disorders are considered early (plasmacytic and infectious mononucleosislike lesions), polymorphic, monomorphic, and classic Hodgkin types.
Most posttransplant lymphoproliferative disorders are Epstein-Barr virus-associated lesions of B-cell origin; few have T-cell proliferation, and those with natural killer (NK) cell proliferation are rare.1-4 Approximately 33% monomorphic T- or NK-cell lymphomas are positive for Epstein-Barr virus. Epstein-Barr virus is associated with extranodal NK/T-cell lymphoma, nasal type lymphoma, and peripheral T-cell lymphoma (not otherwise specified). In contrast, T-cell acute lymphoblastic leukemia/-lymphoblastic lymphoma (T-ALL/T-LBL), T-cell large granular lymphocytic leukemia, and most hepato-splenic T-cell lymphomas are negative for Epstein-Barr virus.4
T-cell posttransplant lymphoproliferative disorders usually occur later (> 1 y after organ transplant) and are clinically more aggressive than B-cell posttrans-plant lymphoproliferative disorders.4 Mono-morphic T-cell posttransplant lympho-proliferative disorder is uncommon in children, and literature review showed only 19 pediatric T-cell posttransplant lympho-proliferative disorders that have been reported.5,6
We treated a patient who had a rare T-ALL/T-LBL after liver transplant.
Case Report
A 3-year-old boy had liver transplant from his grandfather because of hepatoblastoma (mixed epithelial and mesenchymal type). The immuno-suppressive regimen was based on tacrolimus and prednisolone. Follow-up before 22 months after surgery showed neither liver allograft failure nor rejection. Polymerase chain reaction assay was negative for Epstein-Barr virus.
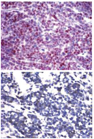
At 22 months after transplant (age, 5 years), the patient presented to the hospital because of severe cough. Computed tomography scan of the chest showed a large left mediastinal mass (9 × 7.2 × 7 cm) and left pleural effusion. A Tru-Cut needle biopsy of the mediastinal mass showed diffuse infiltration with blast cells, and the diagnosis of T-ALL was made (Figure 1). Immunohistochemical examination of blasts showed strong and diffuse terminal deoxynucleotidyl transferase and CD3 antibody expression (Figure 2). The Ki-67 proliferation index of tumor cells was > 95%. Epstein-Barr encoding region in situ hybridization method showed that tumor cells were negative for Epstein-Barr virus. Cytopathologic examination of pleural fluid showed no leukemia. Flow cytometry of cerebrospinal fluid was normal. Histopathologic examination of bone marrow showed no blast infiltration.
Tacrolimus was stopped and sirolimus was started. The patient received chemotherapy (prednisolone, vincristine, etoposide, adriamycin, cyclophosphamide, and intrathecal methotrexate) but he died 2 months after diagnosis because of chemotherapy-induced sepsis.
Discussion
The present patient had T-cell posttransplant lymphoproliferative disorder, a rare disease that typically occurs after kidney transplant.4 Literature review showed 7 previous patients who had T-ALL after solid organ transplant (Table 1).7-12 There is ambiguity about the pathogenesis of T-cell posttransplant lymphoproliferative disorder, and there are no accepted diagnostic criteria. Therefore, this condition is rarely reported and inconsistently characterized. Most reported descriptions of T- and NK-cell posttransplant lymphoproliferative disorder (100 to 200 cases) were single case reports, and few reports included > 3 patients.4-6,10,13
A higher incidence of posttransplant lympho-proliferative disorder may occur in children than adults because children typically are seronegative for Epstein-Barr virus.12 Most posttransplant lymphoproliferative disorders in children after liver transplant are Epstein-Barr virus-associated B-cell disorders, and T-cell posttransplant lympho-proliferative disorder is very rare in pediatric solid- organ transplant recipients.6
The present patient may be the youngest reported patient who had T-ALL after solid-organ transplant and had the shortest time from transplant to diagnosis of T-ALL (Table 1). Patients who had this condition typically were negative for Epstein-Barr virus (Table 1). In 2 previous patients, there was limited information about the tumor phenotype, transplanted organ type, and clinical features.10 Immunosuppressive therapy may be a possible risk factor for the development of T-ALL.
T-cell posttransplant lymphoproliferative disorder usually requires intensive chemotherapy and radiation therapy.13 In T-cell posttransplant lymphoproliferative disorder, favorable prognostic factors include T-cell large granular lymphocytic leukemia, young age, and the combination of chemotherapy/radiation therapy and reduced immunosuppression; poor prognosis is associated with hepatosplenic T-cell lymphoma subtype or involvement of bone marrow, central nervous system, or the graft.14 The prognosis for T-cell posttransplant lymphoproliferative disorder usually is poor; however, the prognosis for T-ALL occurring after transplant is unknown because of the lack of well-documented cases.
The present case highlights the challenge of classifying rare neoplasms that may occur in recipients of solid-organ transplant and may not be typical of posttransplant lymphoproliferative disorder. Early definitive diagnosis is important for successful treatment of this aggressive disease. Further research may improve the understanding of the pathogenetic mechanisms in T/NK-cell posttransplant lymphoproliferative disorders.
References:

Volume : 12
Issue : 1
Pages : 139 - 141
DOI : 10.6002/ect.25Liver.P29
From the Departments of 1Pathology and 2Transplantation
Surgery, Başkent University, Faculty of Medicine, Ankara, Turkey
Acknowledgements: This paper was presented as a poster at the 25th Liver
Transplantation Congress, The Turkish Transplantation Society, Ankara, Turkey,
December 4 to 6, 2013. The authors have no conflicts of interest to disclose. No
funding was received for this study.
Corresponding author: Eylem Akar Özkan, MD, Department of Pathology,
Başkent University, 79 Sokak, No. 7/4, Bahcelievler, Ankara 06490, Turkey
Phone: + 90 312 212 6591
Fax: + 90 312 212 7572
E-mail: eylemakarmd@gmail.com
Figure 1. Tru-Cut Biopsy of Mediastinal Mass At 22 Months After Liver Transplant
Figure 2. Immunohistochemistry of Biopsy From Mediastinal Mass
Table 1. Reported Patients Who Had T-cell Monomorphic Posttransplant Lymphoproliferative Disorder After Solid Organ Transplant*