The risk of active tuberculosis is high in solid-organ recipients. We evaluated the clinical presentation of tuberculosis. Pulmonary locations were the most frequent, and extrapulmonary locations were rarely seen. Among extrapulmonary sites, intracranial tuberculosis is rare, with a few case reports reported in the literature.
We report a case of 27-year-old man, who received deceased-donor liver transplant due to hepatitis B virus-related chronic liver failure. One month after the liver transplant, neurologic symptoms developed, then he had attacks of tonic-clonic convulsions. Cerebral stereotactic needle biopsy of left temporal lobe was performed. Histo-pathologically gliosis, rare lymphocyte infiltration, and epithelioid histiocytes were seen. Histochemical staining by Ziehl–Neelsen stain noted acid-fast resistant bacillus. The case was diagnosed as granulomatous inflammation which led to tuber-culosis. In addition to antituberculosis therapy, he was given antiviral therapy for prophylaxis. During therapy, reactivation of hepatitis B virus was noted, and the recurrent diseases of hepatitis B virus-related viral hepatitis was diagnosed on serial biopsies. Ten months after transplant, he died from liver failure.
Tuberculosis is a serious opportunistic infection in transplant recipients. The incidence of Mycobacterium tuberculosis infection in organ transplant recipients worldwide ranges from 0.35% to 15%. In nonrenal transplant, rejection within 6 months before the onset of tuberculosis and type of primary immunosuppressive regimen were predictors of tuberculosis infection occurring 12 months after transplant. The diagnosis and effective management of tuberculosis after transplant warnings recognition of the epidemiologic and clinical characteristics of tuberculosis in transplant recipients.
Key words : Liver transplant, Cerebral tuberculosis, Cerebral needle biopsy
Introduction
Tuberculosis is a major public health problem that causes morbidity and mortality worldwide. The risk of active tuberculosis is high in solid-organ recipients. The frequency of active tuberculosis is 20 to 74 times higher in solid-organ transplant recipients than that of the normal population. The prevalence of active tuberculosis disease among solid-organ transplant recipients in most developed countries is determined to be between 1.2% and 6.4%, while the prevalence of active tuberculosis disease among solid-organ transplant recipients in endemic areas has been reported to be up to 15%.1,2
Generally, the clinical presentation of tuberculosis is dominated in the pulmonary system. Approx-imately 10% to 20% of extrapulmonary involvement is in central nervous system. The central nervous system shows meningitis, cerebritis, tuberculomas, or tubercular abscesses.3,4 In addition to tubercular abscesses, intracranial tuberculomas can be observed in immunosuppressive patients. In this study, we discuss intracranial involvement of tuberculosis with findings such as convulsions.
Case Report
A 27-year-old man who had been referred to an emergency service with asthenia, icterus, and intumescence around the abdomen was positive for Hbs antigen. A liver biopsy was done to the patient, and the biopsy revealed cirrhosis secondary to HBV hepatitis. On follow-up, esophageal varices, hypersplenism, thrombocytopenia, acid, and hepatic encephalopathy developed 1 year after liver biopsy. The patient underwent an orthotopic liver transplant from a deceased-donor. Immunosuppression was accomplished with cyclosporine and prednisolone.
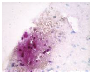
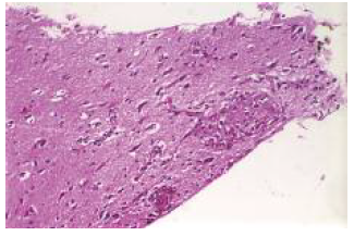
Two months after the liver transplant, the patient developed right foot weakness and confusion. The findings were considered to be secondary to the metabolic encephalopathy, and the patient was intubated, going into hypoxia and generalized tonic-clonic convulsions. A cranial computed tomography scan of patient revealed hypodense areas in the left sylvian fissure and right posteroparietal region. In addition, multiple spotted, contrast-enhancing lesion was noted in both hemispheres and in the brain stem on magnetic resonance imaging. Reactive gliosis and a focus of granuloma, composed of epithelioid histiocytes and lymphocytes, were observed on brain biopsy. Acid-fast–resistant bacillus also was seen in the biopsy specimen, which was taken through the left temporal region (Figures 1 and 2). The patient was diagnosed with cerebral tuberculum, and antituberculosis therapy was started. Neither blood nor cerebrospinal fluid culture were positive at the time of the biopsy. On follow-up, although patient was taking prophylactic antiviral therapy, hepatitis B virus reactivation in the liver was seen, and the liver function tests such as aspartate amino-transferase and alanine aminotransferase were increased. A liver allograft biopsy revealed a severe hepatocellular injury secondary to hepatitis B virus reactivation.
Nine months after antituberculosis therapy, the granulomatous lesion in the cranium disappeared. During follow-up, continuation of hepatitis B surface antigen positivity and severe hepatitis B virus activation was observed in sequential liver allograft biopsies. Finally, patient died from liver failure 10 months after antituberculosis therapy.
Conclusions
In this case, we have tried to assess a rare cerebral tuberculosis cases occurring after liver transplant and the effect of a chronic infection such as tuberculosis on the development of liver allograft failure due to the reactivation of HBV.
The incidence and prevalence of tuberculosis in solid-organ transplant recipients varies from 1.2% to 15% in published reports.2,5 Because most studies are retrospective, the exact annual incidence is unknown and probably affected by local prevalence of tuberculosis. In a prospective cohort study from Spain, and a retrospective cohort study from Korea, among 2144 solid-organ transplant recipients, the incidence of tuberculosis has been reported as 512 cases per 100 000 patients and 372 cases per 100 000 patients.2,5,6
The clinical statement of the disease in organ transplant recipients varies from the normal population and the one-third to one-fifth of all active cases of tuberculosis occurring after transplant are disseminated and/or found in extrapulmonary localization. In contrary, this frequency in normal population is only 15%.1,7
Two-thirds of reported cases of active tuberculosis in transplant recipients in the first year after transplant. The median time of the development is reported at 9 months.2,7,8 In our case, cerebral tuber-culosis was noted 6 months after the liver transplant.
Although solid-organ transplant recipients are considered to have a higher risk of tuberculosis, few risk factors have been clearly defined that lead to development of active tuberculosis after transplant. Possible risk factors include older age, high rejection episodes, and type of immunosuppressive regimen (tacrolimus, sirolimus, and T-cell depleting antibodies), positive tuberculin skin test, radiologic evidence of previous untreated tuberculosis, and coinfections such as hepatitis C infection, cytomegalovirus, and fungal infections.4
The possible risk factors that can induce development of cerebral tuberculosis in our case is the presence of hepatitis B infection and cyclosporine therapy. Although most of reported studies emphasize that the risk of tacrolimus in the development or reactivation of tuberculosis is much higher than cyclosporine, there are similar studies that state that cyclosporine has higher effect on development of tuberculosis. This subject is controversial and requires more studies to make a definitive judgement. In conclusion, we must always be aware of systemic infections such as tuberculosis in transplanted patients when the clinical presentation is atypical like in our patient.
References:

Volume : 12
Issue : 1
Pages : 117 - 119
DOI : 10.6002/ect.25Liver.P18
From the Departments of 1Pathology and 2General Surgery, Başkent University,
School of Medicine, Ankara, Turkey
Acknowledgements: The authors have no conflicts of interest to declare, and
there was no support for this study.
Corresponding author: M. Zeyneb Tunca, MD, Başkent University, School of
Medicine, Department of Pathology, 79. Sokak 7/4 Bahçelievler, 06490, Ankara,
Turkey
Phone: +90 312 212 6591 ext: 2141
Fax: +90 312 212 7592
E-mail: zeyneperen83@hotmail.com
Figure 1. Gliosis and Granuloma Are Seen on Hematoxylin and Eosin (Magnification ×20)
Figure 2. Acid-fast–Resistant Bacillus Ziehl–Neelsen Stain (Magnification ×60)