Pancreatic neuroendocrine tumors are a rare type of tumor with malignant potential, characterized by slow-growth, frequent hepatic metastatic lesions that usually stay contained within the liver. In patients with unresectable liver metastatic pancreatic neuroendocrine tumors, liver transplant is the only treatment available. Insulinomas are the most common pancreatic neuroendocrine tumors, and 5% to 10% of insulinomas are malignant. We herein report a case of a living-donor liver transplant with distal pancreatectomy for a patient with hepatic metastatic pancreatic insulinoma with a 13-year postoperative survival.
Key words : Insulin, Pancreatic neuroendocrine tumors, Transcatheter arterial embolization
Introduction
Pancreatic neuroendocrine tumors (pNETs) are one subgroup of gastroenteropancreatic neuroendocrine tumors. These are rare neoplasms and are usually slow growing. Pancreatic neuroendocrine tumors are categorized into functional and nonfunctional tumors, which are characterized by their clinical manifestations. Gastrinomas and insulinomas are the most common functional pNETs. These tumors occur with an incidence of 1 to 1.5 per 100,000/year.1 Approximately 87% of insulinomas are benign2; however, liver metastasis is a sign of malignancy that can be found in approximately 10% of insulinomas.2,3 The first orthotopic liver transplant (LT) for liver metastases associated with endocrine tumors was first reported in 1989.4 After that, LT for unresectable pNETs with liver metastases has been described in various reports.4-11 Although several criteria have been proposed, the indication and criteria for LT in those with pNETs are still unclear.12 In addition, reports on outcomes of LT for metastatic insulinoma have been sporadic and generally discuss neuroendocrine tumors.4-11 Complex pancreatic resection has been performed prior to, in combination with, and after LT for pNETs. However, reports on the feasibility of pancreas resection with LT are limited.7 We herein report on a patient who survived 13 years following distal pancreatectomy in combination with living-donor liver transplant (LDLT) for a hepatic metastatic insulinoma that was treated with chemoembolization.
Case Report
A 27-year-old Japanese woman presented with a headache, atonic seizure, and hypoglycemia. The initial laboratory evaluation revealed a blood glucose level of 35 mg/dL and immunoreactive insulin of 13 μU/ml (reference range, 1.7-10.4 μU/ml).
Enhanced computed tomography showed a solitary tumor, 1 cm in diameter, in the pancreatic body. Computed tomography arterioportography showed multiple nodules in the liver. She underwent arterial stimulation venous sampling at the confluence of the hepatic veins and was diagnosed with an insulinoma that metastasized to the liver.
In the gastrointestinal department of the previous institution, she had been treated for hepatic metastasis with zinostatin stimalamer-transcatheter arterial embolization (SMANCS-TAE) 2 times in a 1-month interval.13 After transcatheter arterial embolization (TAE), the patient started to receive a somatostatin analogue for maintenance therapy. She showed gradual deterioration of liver function following the second SMANCS-TAE.
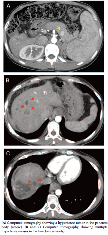
Pathological findings of liver biopsy revealed drug-induced cholangitis and periductal fibrosis 1 year after the SMANCS-TAE. Three years after the embolization, she developed liver failure. Contrast-enhanced computed tomography showed portal vein thrombosis, liver necrosis, and abscess formation in addition to development of a pancreatic insulinoma (Figure 1).
Magnetic resonance imaging showed cystic lesions suggesting biloma; however, metastasis could not be ruled out (Figure 2). She underwent endoscopic variceal ligation for bleeding prophylaxis caused by esophageal varices 3.1 years following SMANCS-TAE. The laboratory evaluation indicated liver failure with an increased total bilirubin level of 4.1 mg/dL, direct bilirubin level of 2.9 mg/dL, and platelet count of 63 000/μL. Liver transplant was indicated for hepatic failure, and the patient was referred to the department of transplantation at the Kumamoto University Hospital.
The preoperative pathological diagnosis regarding the hepatic cystic tumors was not available. However, there was no extrahepatic lesion identified by imaging studies except for the original pancreatic tumor. Although the hepatic nodules had malignant potential, LT was considered as the most curative procedure if combined with resection of the original tumor.
Deceased-donor LT registration for special indications was not possible in Japan because of the limited number of donations overall. However, the patient eventually underwent LDLT and distal pancreatectomy with splenectomy 3.5 years from the time of SMANCS-TAE. The donor was the patient’s mother, who was 57 years old and had an identical blood type. The graft weight of the donated left lobe was 420 g (graft-recipient weight ratio, 1.0%). The recipient’s portal trunk showing evidence of thrombosis was resected and replaced with a segment of splenic vein harvested from the resected distal pancreas because there was no invasion to this area.
Although the explanted native liver showed cirrhosis, coagulation necrosis, abscess formation, and intrahepatic lithiasis, it did not have malignant insulinoma cells according to the meticulous pathological examination.
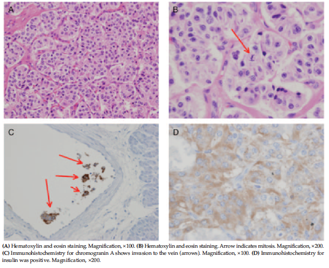
The resected pancreas included a tumor 7.0 × 9.0 mm at the pancreatic body, as shown in the pretransplant enhanced computed tomography (Figure 1). The tumor was pathologically diagnosed as a neuroendocrine tumor and stained positive for insulin and chromogranin A. Histological features were compatible with an insulinoma (Figure 3). No metastatic lesions were seen in the peripancreatic tissue, lymph nodes, or splenic hilar lymph nodes. The mitotic rate was less than 2 per 10 high-power fields, and the Ki-67 index of the tumor was less than 2%. Therefore, the histological grade was G1 according to the World Health Organization 2017 neuroendocrine tumor grading system.14
The patient was prescribed standard immunosuppression with tacrolimus and corticosteroids; however, she developed a cytomegalovirus infection on postoperative day 29, which was successfully treated by intravenous ganciclovir. Octreotide was discontinued after the LT, and she was discharged on postoperative day 61. She has been followed up after discharge at the Kumamoto University Hospital and our institution and has been doing well for 13 years without any signs of recurrence.
Discussion
An effective treatment strategy for patients with insulinomas and associated liver metastasis still has not been fully established.2,3 Malignant insulinomas are usually slow growing,2,3 and surgical resection is the only radical treatment option for this tumor.2-11 Patients with insulinomas and associated liver metastasis who are not candidates for hepatectomies have been treated with LT.4-11 There are more than 100 case reports of LT performed for patients with liver metastasis from insulinomas.4-11
The patient in our report was treated with TAE. Although the explanted liver suggested that the therapeutic effect of TAE was actually sufficient, the treatment induced liver failure. Therefore, LT was necessary in this patient. If conservative treatment could control hypoglycemia, then it would be one of the options. However, as shown in this patient, deterioration in quality of life and illness may progress during conservative treatment. Radical surgical treatment should not be ruled out throughout the treatment process. Although TAE can be regarded as one type of palliative treatment, it should be avoided if subsequent liver failure is expected. In that case, primary LT with resection of the original tumor is the main option for a cure. A salvage LT might be another option as in our case.
Although enucleation of the tumor is a common treatment for solitary insulinoma,2,3 we chose distal pancreatectomy to improve curability. Because of portal vein thrombosis, the patient needed a vein graft for portal vein reconstruction, and it is difficult to procure a vein graft for LDLT. Because we performed a distal pancreatectomy this time, we were able to use a segment of the splenic vein as an interposition graft for portal vein reconstruction.
Although the patient in our report has been doing well without any signs of recurrence 13 years after LDLT, Ortiz and colleagues reported a patient who had recurrence of a carcinoid tumor 16 years after LT.11 Therefore, the patient still requires careful follow-up.
In conclusion, this example of a patient who demonstrated long-term survival suggests that we should choose primary LT with resection of the original tumor as a treatment method compared with TAE that can local control for the insulinoma patients with multiple liver metastasis from the first.
References:

Volume : 19
Issue : 1
Pages : 88 - 91
DOI : 10.6002/ect.2020.0126
From the Department of Surgery, Kumamoto Rosai Hospital, Yatsushiro, Kumamoto,
Japan
Acknowledgements: The authors have no sources of funding for this study and have
no conflicts of interest to declare.
Corresponding author: Yuki Ohya, Department of Surgery, Kumamoto Rosai Hospital,
1670 Takehara-machi, Yatsusiro, Kumamoto 8668533, Japan
E-mail: pedsurg-oya@kumamotoh.johas.go.jp
Figure 1. Abdominal Enhanced Computed Tomography Findings
Figure 2. Abdominal Magnetic Resonance Imaging Findings (a)
Figure 3. Pathological Findings