Introduction
Orthotopic liver transplantation is the most effective treatment for end-stage liver diseases in adults and children; however, the lack of convenient donors is the main restrictive factor existing in this particular area. The paucity of infant and child donors remains a worldwide problem, especially in developing countries where the number of adult cadavers is also very limited. The desperate search for organ sources has led surgeons to transplant a portion of the liver from an adult into a child, and this approach has been accepted by some centers [4, 6, 9].
It is well known that as little as a quarter of a whole liver can be sufficient for an adult to survive with normal liver functions. This has been proven through the numerous experiences and during liver resections from benign and malignant conditions and transplantations of reduced-size livers performed in various centers [1, 2, 3, 4, 8, 10]. This fact makes it possible to transplant the left lobe of a living donor’s liver to the recipient.
When the first successful orthotopic liver transplantation was performed by our team at our hospital in Turkey [5], a lot of chronic liver disease patients were referred to us for transplantation. Unfortunately, the second cadaver donor was only available 1 year later. During this time, we realized that approximately 50% of the patients (both children and adults) on our list had died. It was this unfortunate consequence that led to our decision to perform living-related, partial liver transplantations in both children and adults.
Case Reports
Case 1
A child with biliary atresia was referred to us at the age of 7.5 months for assessment of a possible liver transplantation. The child was jaundiced at birth, and, at the age of 6 weeks, a Kasai portoenterostomy was performed at another hospital. No improvement occurred in the jaundice, and recurrent cholangitis and anemia continued.
At the time of referral, the child weighed 6.4 kg and had a temperature of 37.5°C, jaundice, and moderate hepatosplenomegaly. Laboratory examinations revealed the following data: hemoglobin, 9.5 g/dL; white blood cells (WBC), 8000 mm; alkaline phosphatase (ALP), 450 U; serum glutamic oxaloacetic transaminase (SGOT), 90 U; serum glutamic pyruvic transaminase (SGPT), 40 U; total bilirubin, 8.0 mg; direct bilirubin, 6.0 mg; total protein, 6.0 g; albumin, 3.0 g; and prothrombin time, 18 minutes [1,2].
The child was prepared for cadaver liver transplantation and required blood transfusions and antibiotic therapy with good enteral feeding. He was discharged with some clinical improvement and put on the waiting list for a blood group A liver. Approximately 1 month later, the child was admitted with anemia (hemoglobin 7.0 g/dL) and a more-advanced hyperbilirubinemia (total bilirubin, 9.2 mg; direct bilirubin, 6.0 mg). It was during this time that the parents were informed about living-related partial liver donations. The mother, a 31-year-old woman with blood group A, volunteered to be the donor. Human leukocyte antigen (HLA) typing showed haploidentity, with the crossmatch being negative. The hematologic, biochemical, and urological analyses and the scintigraphic, radiologic, and tomographic evaluations of the donor showed no abnormality. Angiographic evaluation showed the recipient and donor hepatic and left hepatic arteries to be suitable (Figure la, b).
After psychological consultation and at the beginning of the 10th month, a mother-to-child segmental liver transplantation was performed. Donor laparotomy was done with a bilateral subcostal incision with xiphoid extension. The liver was mobilized, the left hepatic vein, left hepatic artery, and left portal vein were skeletized, and the left hepatic duct divided. With the use of the dissection and ligation technique, the left lateral lobe was detached from the main part, leaving the left portal vein, left hepatic artery, and left hepatic vein intact.
The recipient hepatectomy was performed in a separate operating room, leaving intact the retrohepatic inferior vena cava. Just before the recipient hepatectomy, the donor’s left lateral lobe was removed and the portal vein and hepatic artery perfused with cold University of Wisconsin (UW) solution. Following the recipient hepatectomy, the left hepatic vein in the allograft was anastomosed end-to-side to the recipient’s inferior vena cava with a 4-0 continuous Prolene suture. The recipient’s portal vein was anastomosed end-to-end to the left portal vein with a 6-0 Prolene suture. The recipient’s hepatic artery was anastomosed to the donor’s left hepatic artery with an interposition vein graft (inferior mesenteric vein) with a 7-0 Prolene suture. The total ischemic time was 4 hours 20 minutes. Following the arterial anastomosis, the transplanted liver started to function. Subsequently, the left hepatic duct was anastomosed end-to-side to the jejunal Roux-en-Y loop with 6-0 interrupted Vicryl sutures. After securing hemostasis, both the donor and the recipient abdomens were closed in planes by placing one drain for each patient. The donor received 3 U blood, and the recipient received 6 U during the procedures.
Postoperative immunosuppression consisted of triple drug therapy, namely 2 mg/kg/day azathioprine administered intravenously, with 2.5 mg/kg/day prednisolone and 3 mg/kg/day cyclosporine also administered intravenously. The early postoperative day was uneventful. The child began to recover. Unfortunately, on the third postoperative day, cerebral edema developed, and the liver functions began to show signs of deterioration as well. Therapy with OKT3 2.5 mg/day was started and continued for 5 days. After some improvement of liver functions, progressive deterioration began again, and a hepatic angiogram was performed; this revealed the graft artery and portal vein to be patent (Figure 2a, b). Following severe cerebral edema, the patient became unresponsive to medical treatment. Progressive deterioration of brain and liver functions led to the eventual death of the child on the 14th postoperative day. The postoperative course of the donor was uneventful. A slight elevation of the bilirubin (total, 4.2 mg; direct 3.0 mg) occurred during the first 48 hours, but returned to normal within a couple of days (Table 1), and she was ready to be discharged on the seventh postoperative day. Three months after surgery, she became pregnant and is still doing well.
Case 2
A 20-year-old male with cirrhosis due to chronic active hepatitis was referred to us on January 10, 1990, for liver transplantation. Three years before this, he was jaundiced and hospitalized at another hospital with a biopsy revealing chronic active hepatitis. When admitted to our hospital, he was jaundiced with marked splenomegaly.
Liver function tests were disturbing (ALP, 160 U; SGOT, 20 U; SGPT, 15 U; total protein, 5.2 g; albumin, 2.2 g; total bilirubin, 5.2 mg; direct bilirubin, 2.2 mg; prothrombin time, 24 min) [1, 2]. The esophagogram showed obvious varices (4/6). Numerous albumin infusions were required. The blood group was A Rh (4), and the patient was put on our waiting list. His hepatic functions tended to worsen. Unfortunately, no cadaver donor was available during the patient’s hospitalization period of over 3 months. The parents were then informed about living-related partial liver donations. The father volunteered and was found to be a suitable donor.
During the preoperative period, complete clinical, laboratory, and radiologic examinations were done for both the donor and the recipient. Radiologic and angiographic evaluations of the recipient showed that the portal system and hepatic arterial system were patent (Figure 3). Donor hepatic arteriography and endoscopic retrograde cholangiography showed the left hepatic branches to lie in correct anatomical positions (Figures 4, 5). HL A- A, -B, and -DR typing showed one haplotype matching. After the crossmatch, which resulted as negative, a segmental liver transplantation from the living donor was performed on April 29, 1999. The technique of the donor and recipient operations was about the same as in case 1, with the exception of the stabilization of the transplanted liver, which was provided by pulling the tissue expander in the right subdiaphragmatic area. During left lateral segmentectomy of the donor, no blood was used for the donor operation; however, 4 units of blood were transfused to the recipient.
The early postoperative period passed without any problem for the recipient. Triple immunosuppressive therapy consisted of 1 mg/kg/day prednisolone, 2 mg/kg/day azathioprine, and 3 mg/kg/day of cyclosporine administered intravenously. On the third postoperative day, the recipient was orally fed. However, the stability of the serum bilirubin levels tended to increase. Hepatic angiography and portal venography were performed postoperatively. Both vessels were found to be open (Figures 6, 7), and antirejection therapy with OKT3 was started on the sixth postoperative day. Unfortunately, the patient died on the 12th postoperative day from cerebral hemorrhage.
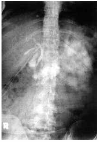
The early postoperative course of the donor was also uneventful. The bilirubin level showed an early rise of up to a total of 11.0 mg and returned to normal after 4 weeks (Table 2). A bile leakage from the cut surface of the liver was detected on the 10th postoperative day, and the bile collection at the left lobe pouch was drained with a percutaneously placed pigtail catheter and, at the same time, a T-tube cholangiography was performed, which showed normal drainage (Figure 7). The bile leakage healed spontaneously without any other access, and, 3 months later, the donor’s condition became completely normal. The liver scan taken during this period (Figure 8) showed a normal hepatotomized liver. At present, the donor is doing very well and working.
Discussion
The first living-donor partial liver transplantation in a child was performed by Raia et al. (6) and, immediately after this, Strong et al. (9) and Broelsch et al. (4) accomplished the next living-related partial liver transplantations. These 3 research groups later individually studied and discussed the controversial points concerning the topic of transplantation, and after thorough discussions and in-depth studies, a technique for this type of transplantation evolved. Through this series of experiences, this type of transplantation has been shown to be highly successful, since living-donor partial transplantations can be performed in children without causing severe complications and risk factors in donors. Therefore, through this procedure, not only are people able to save the lives of end-stage chronic disease patients through donating their kidney, but we are also able to save the lives of chronic liver disease patients by donating a part of their liver.
Extended right hepatic lobectomy and hepatic trisegmentectomy procedures have proven to be capable of prolonging the lives of adults by providing appropriate liver function (10). Through this procedure, it occurred to us that chronic end-stage liver disease adult patients would have a chance of survival if a partial liver transplantation were performed as well.
Obtaining cadaveric organs has long been a problem throughout the world and still continues to be one today, to the extent that, since our hospital began liver transplantations within the last 2 years, only 7 cadaveric organs could be obtained and 6 of these were used for liver transplantations. Unfortunately, approximately 50% of the other patients on the waiting list for liver transplantation died during their term of waiting for a liver. Approximately 100 liver transplantations are required per year at our hospital.
Summary
Due to the severe shortage of liver cadavers, 2 segmental living-related liver transplantations were performed. One of these transplantations was performed in a 10-month-old boy with biliary atresia, and the other was performed in a 20-year-old male adult with cirrhosis due to chronic active hepatitis.
In the case of the 10-month-old boy, the mother was the donor for the segmental living-related liver transplantation, and the operations in both the donor and the recipient were uneventful. However, unfortunately, the recipient showed signs of cerebral edema and deteriorating liver functions on the third postoperative day. On the 14th postoperative day, the child died of severe cerebral edema. The child’s mother, the donor, underwent an uneventful postoperative term and was discharged from our hospital on the seventh postoperative day. She became pregnant 3 months later and is still doing well.
In the case of the 20-year-old male adult, the father was the donor. The operations in both the donor and the recipient, including the early postoperative stage were uneventful. Unfortunately, the 20-year-old recipient died on the 12th postoperative day due to cerebral hemorrhage, the donor (father) underwent an uneventful early postoperative term. At present, the donor is doing very well and leading a normal life.
Our experiences show that the left lateral segmentectomy is a safe procedure for living-related liver donors; however, meticulous surgical technique is necessary. Through our in-depth studies, it has become apparent that segmental living-related liver transplantation may be used for the treatment of chronic liver disease in children as well as in adult patients.
* Original copyright: Haberal M, Telatar H, Bilgin N, et al. Medical risk and benefit in non-renal donors: living-related liver transplantation in an adult and a child. In: Land W, Dosseter JB, eds. Organ Replacement Therapy: Ethics, Justice and Commerce. Berlin, Heidelberg: Springer-Verlag; 1991:83-92.
References:

Volume : 6
Issue : 2
Pages : 95 - 100
From the Turkish Transplantation and Burn Foundation Hospital Fevzi Cakmak Cad., 10. Sk., No: 45, 06490 Bahcelievler, Ankara, Turkey
Acknowledgements: Printed with kind permission of Springer Science+Business Media.
Address reprint requests to: Mehmet Haberal, MD, FACS, FICS (Hon) President, Baskent University, 1. Cadde, No: 77, Bahceliever 06490, Ankara, Turkey
Phone: +90 312 212 7393
Fax: +90 312 215 0835
E-mail: rektorluk@baskent-ank.edu.tr
Figure 1. Normal hepatic angiograms for (a) the recipient and (b) donor.
Figure 2. (a) Postoperative graft arteriogram showing a patent graft artery. Arrow shows inferior mesenteric vein graft. (b) Superior mesenteric arteriogramdemonstrating patent graft portal vein.
Table 1. Preoperative and postoperative results of liver function tests in donor to 10-month-old male child.
Figure 3. Recipient hepatic angiogram showing normal anatomical structure.
Figure 4. Donor hepatic angiogramshowing normal arterial structure.
Figure 5. Endoscopic retrograde cholangiogram showing normal bile systemin the donor.
Figure 6. (A) Graft hepatic arteriogram showing patent arterial circulation. Arrow shows interior mesenteric vein graft. (B) Superior mesenteric arteriogram demonstrating patent portal vein. Dotted line area shows portal vein.
Table 2. Preoperative and postoperative results of liver function tests in donor to 20-year-old male adult.
Figure 7. T-tube cholangiogram showing normal drainage, but no bile leakage.
Figure 8. Liver scan image showing normal hepatectomized liver.