Parvovirus B-19 (B-19) can lead to various clinical scenarios in renal transplant recipients. Here, we report a B-19 microepidemic that occurred between January and March 2007, involving renal transplant recipients from a single center in Tabriz, Iran. We observed 6 patients in whom there was a temporal association between active B-19 infection and thrombotic microangiopathy and intrarenal small- and medium-sized vessel vasculitis. Patients typically presented with deteriorating renal allograft function and anemia, and laboratory findings revealed thrombotic microangiopathy. Ultimately, extensive endothelial injury and renal allograft vasculitis that mimicked a vascular rejection ensued. In conclusion, B-19–related thrombotic microangiopathy may precede allograft vasculitis in renal transplant recipients. A high index of suspicion is required for early diagnosis and treatment of B-19 infection. To the best of our knowledge, this series represents the first report of B-19–related renal allograft vasculitis in the English literature.
Key words : Parvovirus B-19, Renal allograft, Transplant, Thrombotic microangiopathy, Vasculitis
Introduction
Human parvovirus B-19 (B-19) is a common infection worldwide with a wide spectrum of clinical manifestations including erythremia infectiosum, arthralgia, arthritis, and transient aplastic anemia in immunocompetent individuals. However, it can evolve into a chronic, persistent infection in immunocompromised patients (1). This infection is a well-known cause of postrenal transplant aplastic anemia. Involvement of other hemopoietic cell lines with resultant leucopenia and thrombocytopenia is not uncommon. Glomerulopathy and proteinuria also have been reported as a part of the B-19 clinical syndrome in renal transplant recipients (2). In renal transplant recipients, impaired immunity limits the ability to produce neutralizing antibodies, which leads to a persistent infection (3). Given the high prevalence of B-19 seropositivity in the general population and the increased susceptibility of immunocompromised patients, B-19 infection may occur in renal transplant recipients (1).
Here, we describe the features of a B-19 microepidemic in renal transplant recipients from a single center in Tabriz, Iran. In this series, we discuss the characteristics of 6 renal transplant recipients who presented with an acute B-19 infection, severe pancytopenia, and various degrees of allograft dysfunction. A summary of these patients is given in Table 1. Renal allograft histology revealed the presence of thrombotic microangiopathy and intrarenal small- and medium-sized vessel vasculitis. To our knowledge, this is the first report of renal allograft vasculitis secondary to B-19 infection to appear in the English literature.
Case series
From January to March 2007, 6 renal allograft recipients were identified with acute B-19 infection from a transplant follow-up population of approximately 100 patients at a single kidney transplant center in Tabriz, Iran.
Case 1
A 34-year-old woman was admitted because of fever and generalized weakness. She had received a living-unrelated renal allograft 2 months earlier. Her immunosuppressive regimen was cyclosporine, mycophenolate mofetil, and prednisolone. On admission, a physical examination revealed a blood pressure of 110/90 mm Hg and a body temperature of 39ºC. Laboratory results were hemoglobin, 85 g/L; white blood cell count, 10.5 ×
109/L; platelet count, 89 × 109/L; serum creatinine level, 265.2 µmol/L; blood sugar, 13.9 mmol/L; lactic dehydrogenase, 761 U/L (normal range, 225-500 U/L); sodium, 135 mmol/L; and potassium, 3.5 mmol/L. Her blood cyclosporine level was 386 ng/mL. Her 24-hour urine protein level was 0.85 g/day. A peripheral blood smear showed frequent helmet cells. The results of a renal Doppler ultrasound examination were unremarkable. A renal allograft biopsy was done, and histopathologic analysis of the biopsy specimens showed thickening of glomerular capillary walls and formation of fibrin thrombi within the capillary lumens, consistent with thrombotic microangiopathy. Mild mesangial expansion also was noted. The renal tubules and interstitium appeared to be normal. Bone marrow aspiration and biopsy were done and showed erythroid immaturity and large pronormoblasts. The myeloid line was otherwise normal. Results of serologic studies using ELISA kits (DRG Instruments GmbH, Germany), as previously described (4), were positive for the B-19 IgM antibody and negative for cytomegalovirus. The status of the donor's B-19 serology was unknown. The patient had not obtained a transfusion after the transplant.
Treatment with intravenous immunoglobulin (400 mg/kg/day) was started and continued for 5 days. Within 1 week, the patient’s platelet count increased to 150 × 109/L, and the patient was discharged in a favorable clinical condition. After discharge, the immunosuppressive therapy with standard triple regimen was continued. A 3-month follow-up, her serum creatinine level was 132.6 µmol/L and her platelet count was 237 × 109/L. The proteinuria had resolved. Her hemoglobin level was 106 g/L, and her white blood cell count was 11.4 × 109/L.
Case 2
A 48-year-old woman was admitted with deteriorating allograft function 2 months after receiving a living-unrelated renal transplant. A physical examination revealed a blood pressure of 120/70 mm Hg and a body temperature of 37ºC. Laboratory findings were serum creatinine, 265 µmol/L; white blood cell count, 1.8 ×
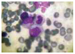
109/L; hemoglobin, 89 g/L; platelet count, 146 × 109/L; lactic dehydrogenase, 800 U/L; aspartate transaminase, 14 U/L; and alanine transaminase, 15 U/L. Her cyclosporine blood level was 225 ng/mL. Because of leucopenia, mycophenolate mofetil was discontinued. The peripheral blood smear revealed frequent helmet cells and schistocytes. A renal allograft biopsy specimen was obtained, which showed thickening of the capillary walls and formation of fibrin thrombi within the capillary lumens, consistent with thrombotic microangiopathy. Bone marrow aspiration and biopsy disclosed erythroid immaturity and the presence of large pronormoblasts
(Figure 1). The myeloid lineage was normal. Results of serologic studies were positive for B-19 IgM and negative for cytomegalovirus. Treatment with intravenous immunoglobulin (400 mg/kg/day for 5 days) was planned. One week later, the patient’s serum creatinine and serum lactic dehydrogenase levels dropped to 194.5 µmol/L and 348 U/L, respectively. Her hemoglobin level became 100 g/L. The patient was discharged in favorable condition. Following discharge, immunosuppressive therapy with standard triple regimen was continued. At 1 month after discharge, her serum creatinine level was 203 µmol/L, her hemoglobin level was 105 g/L, and her white blood cell count was 3 ×
109/L. A second course of intravenous immunoglobulin (400 mg/kg/day for 5 days) was administered. On a follow-up 5 months afterward, she was in a good clinical condition. Her serum creatinine level was 159.1 µmol/L.
Case 3
A 29-year-old female renal transplant recipient was admitted for renal allograft dysfunction, proteinuria, and anemia. She had received a living-unrelated renal allograft 2 years earlier and had had stable allograft function thereafter. The patient recalled a history of a recent cold. On admission, her blood pressure was 120/70 mm Hg and her body temperature was 37ºC. Laboratory findings were serum creatinine, 221 µmol/L; hemoglobin, 60 g/L; platelet count, 123 ×
109/L; white blood cell count, 2.9 × 109/L; and lactic dehydrogenase, 781 U/L. Her urine protein level was 0.68 g/day. Helmet cells were found on the peripheral blood smear. Examination of the allograft biopsy specimens revealed thickening of the capillary walls and fibrin thrombi formation, consistent with thrombotic microangiopathy. The results of serologic studies were positive for B-19 IgM and IgG antibodies and negative for cytomegalovirus. The patient was treated with intravenous immunoglobulin (400 mg/kg/day) for 5 days and was discharged on day 12 of admission. A standard triple immunosuppressive regimen was administered. At 2-week follow-up, her hemoglobin level was 108 g/L, her platelet count was 222 ×
109/L, and her white blood cell count was 8.9 × 109/L. Her serum creatinine level decreased to 150.3 µmol/L and proteinuria resolved at 3 months. The allograft function was stable, and she had no recurrence of thrombotic microangiopathy at 3 months after discharge.
Case 4
A 32-year-old female renal transplant recipient was admitted because of anemia and allograft pain and dysfunction. She had received a living-unrelated kidney transplant 1 year earlier. The immunosuppressive regimen was standard triple therapy. Three months earlier, the patient had been treated for a biopsy-proven chronic allograft rejection; at that time, intravenous methylprednisolone pulse therapy, 750 mg/day for 3 days had been given. However, her renal allograft functioning progressively deteriorated, and hemodialysis was begun 2 months later. On admission, a physical examination revealed a blood pressure of 140/100 mm Hg and a body temperature of 37ºC. The patient appeared ill. On palpation, the renal allograft was enlarged and tender. Laboratory findings were a hemoglobin level of 49 g/L, a white blood cell count of 3.4 ×
109/L, a serum creatinine value of 442 µmol/L, and platelet count of 132 ×
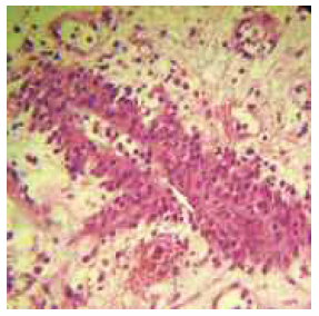
109/L. Serum complement C3 and C4 levels were 0.95 g/L (normal range, 0.90-1.80 g/L) and 0.13 g/L (normal, 0.10-0.40 g/L). The CH50 level was 0.75 g/L (normal, 0.70-1.50 g/L). Because of severe allograft pain and tenderness, a nephrectomy was done 8 days after the current admission. Gross examination of the kidney disclosed numerous cortical infarcts with dark areas of thrombosis and necrosis. Renal histopathological examination revealed a prominent necrosis, arterial wall inflammatory infiltration, fibrointimal proliferation, and thrombosis of arcuate and interlobular arteries, consistent with intrarenal vasculitis
(Figures 2 and 3). Intense interstitial infiltration with lymphocytes and plasma cells was noted. The results of serologic studies were positive for B-19 IgM antibody and negative for cytomegalovirus. The perinuclear and cytoplasmic antineutrophil cytoplasmic antibodies were negative. Antinuclear antibody titer was 0.85 IU/mL (normal < 1 IU/mL). Antiphospholipid IgM and IgG antibodies were 2 and 4 U/mL, respectively (normal < 10 U/mL). Anticardiolipin IgM and IgG antibodies were 0.5 and 0.5 U/mL, respectively (normal < 0.9 U/mL). A review of previous renal allograft biopsy obtained 3 months earlier revealed thickening of glomerular capillary and intraluminal thrombi formation consistent with thrombotic microangiopathy. Certainly, this means that the initial pathologic conclusion of chronic rejection was a misdiagnosis.
The patient was then placed on hemodialysis (3 times per week) and was discharged. A course of intravenous immunoglobulin (400 mg/kg/day for 5 days) was administered 1 week after discharge. At 3-month follow-up, her general condition was good.
Case 5
A 24-year-old woman was admitted for lower abdominal pain and anemia. She had received a living-unrelated renal transplant 2 years earlier. Two months before the current admission, she had become anemic, and the allograft function had declined. A renal biopsy had been done at that time, and a diagnosis of acute rejection had been made; she was given methylprednisolone pulse therapy. However, her renal allograft function deteriorated further, and she was placed on continuous ambulatory peritoneal dialysis. On admission, physical examination revealed a blood pressure of 120/80 mm Hg and a body temperature of 37ºC. The renal allograft was tender and hard on palpation. The laboratory findings were a hemoglobin level of 50 g/L, a serum creatinine level of 884 µmol/L, a platelet count of 196 ×
109/L, a white blood cell count of 7 × 109/L, and a serum ferritin level of 1798 pmol/L (normal range, 27-674 pmol/L). An ultrasound examination disclosed an enlarged kidney allograft with increased parenchymal echogenicity and corticomedullary dedifferentiation.
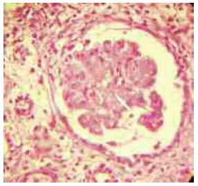
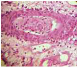
Because of intolerable allograft pain and tenderness, a nephrectomy was done. Areas of infarction and thromboses were found on gross examination of the allograft (Figure 4). The pathology study revealed prominent vasculitis of the interlobar and arcuate arteries (Figure 5). The main renal artery wall also showed intense inflammatory infiltrate and foci of fibrinoid necrosis (Figure 6). Focal and segmental glomerulosclerosis and necrosis also were noted (Figure 7). These findings were consistent with small- and medium-seized vasculitis. Results of serologic studies were positive for B-19 IgM antibody and negative for cytomegalovirus. The results of tests for perinuclear and cytoplasmic antinuclear cytoplasmic antibodies were negative. Antiphospholipid IgM and IgG antibodies were 5 and 7 U/mL, respectively (normal < 10 U/mL). Anticardiolipin IgM and IgG antibodies were 0.5 and 0.3 U/mL, respectively (normal < 0.9 U/mL). Bone marrow aspiration and biopsy disclosed erythroid immaturity with large pronormoblast and prominent nuclear inclusion bodies. Serum complement levels were within the normal level. A review of the previous renal allograft biopsy obtained 2 months earlier revealed thickening of the glomerular capillary wall, intraluminal thrombi formation, and reduplication of the glomerular basement membrane consistent with thrombotic microangiopathy. After allograft nephrectomy, the patient’s general condition improved, and she was placed on continuous ambulatory peritoneal dialysis. A course of intravenous immunoglobulin (200 mg/kg/day for 5 days) was administered. At 3-month follow-up, her hemoglobin level was 70 g/L, her white blood cell count was 8 × 109/L, and the platelet count was 220 × 109/L. She was receiving recombinant human erythropoietin.
Case 6
A 28-year-old man was admitted for severe anemia. He had received a living-unrelated renal transplant 4 years earlier and was on a standard triple immunosuppressive regimen. Four months before the current admission, he had developed a febrile illness and since then, the allograft function had deteriorated, and he had pancytopenia. Owing to the presence of leucopenia at that time, the mycophenolate mofetil was discontinued, and treatment with cyclosporine and prednisolone was continued. The patient refused to have an allograft biopsy done. However, owing to the suspicion of acute rejection, intravenous methylprednisolone pulse therapy was given. The patient also received recombinant erythropoietin for his anemia. Finally, 2 months before the current admission, hemodialysis was begun.
On current admission, a physical examination revealed a blood pressure of 130/70 mm Hg and a body temperature of 37°C. Laboratory findings were a hemoglobin level of 40 g/L, a white blood cell count of 7.7 × 109/L, a platelet count of 211 × 109/L, a serum ferritin level of more than 800 ng/mL, a serum creatinine level of 884 µmol/L, a total iron binding capacity of 37.6 µmol/L (normal range, 37.6-68 µmol/L), and a serum iron level of 3.4 µmol/L (normal range, 8.9-29.5 µmol/L). Bone marrow aspiration and biopsy disclosed erythroid hypoplasia with normal myeloid and megakaryocytic lineage. Results of serologic studies were positive for the B-19 IgM antibody. Tests for perinuclear and cytoplasmic antinuclear cytoplasmic antibodies and antinuclear antibody were negative. Serum complement levels were within their normal limits. The patient received a blood transfusion. Intravenous immunoglobulin (400 mg/kg/day for 5 days) also was administered. His general condition progressively improved. Two months after his discharge from the hospital, his hemoglobin level was 90 g/L, his white blood cell count was 9.5 × 109/L, and his platelet count was 165 × 109/L. He continued on hemodialysis (3 times per week).
Discussion
This series describes 6 renal transplant recipients with severe anemia, with or without thrombocytopenia or leucopenia, with varying degrees of renal allograft dysfunction. These findings had a temporal association with active B-19 infection. The results of pathology studies of the renal allograft in 2 patients revealed small- and medium-sized intrarenal vessel vasculitis and thromboses. Because interstitial infiltration resembling acute interstitial nephritis may be seen in renal vasculitis (5), intense lymphoplasma cell infiltration in the interstitial tissue also was compatible with vasculitis. Infections with cytomegalovirus and hepatitis C, varicella zoster, and Epstein-Barr viruses have long been postulated as the potential trigger of vasculitis (6). Moreover, B-19 infection has been implicated in the pathogenesis of polyarteritis nodosa, Kawasaki disease, Wegener’s granulomatosis, Henoch-Schönlein purpura, and temporal arteritis (7-13). Parvovirus B-19–related cerebral vasculitis also has been reported in renal transplant recipients (6, 14).
The elevated serum lactic dehydrogenase, thrombocytopenia, microangiopathic hemolytic anemia, and renal histologic findings in 3 patients were compatible with thrombotic microangiopathy. Renal biopsy-proven thrombotic microangiopathy also was found preceding vasculitis in 2 patients. The association between B-19 and thrombotic microangiopathy has been described previously (3). It is postulated that B-19 infects endothelial cells by binding to the P antigen receptor, which is common between erythrocytes and endothelial cells (15, 16). This virus can persist in immunocompromised patients for several months and even years (1), and with its tropism to the endothelial cells may cause significant endothelial damage over time leading to thrombotic microangiopathy and vasculitis. In the present series, vasculitis was limited to the allograft kidney.
In the present series, with a misdiagnosis of acute or chronic rejection, some patients received aggressive immunosuppression, which potentially could have aggravated the course of B-19 infection. Proteinuria due to chronic B-19 infection has been described in renal transplant recipients (17), and this was observed in 2 patients in the series. Following intravenous immunoglobulin therapy, proteinuria resolved in these patients. Parvovirus B-19 also may infect renal epithelial cells and initiate allograft de novo glomerulopathy leading to focal and segmental glomerulosclerosis (18-20). One patient in this series had pathologic evidence of allograft focal and segmental glomerulosclerosis as well as intrarenal vasculitis.
Bone marrow findings of hypoplasia and dysplasia in the erythroid lineage and the presence of giant pronormoblast in the present series may be related to B-19 infection. The pretransplant status of B-19 serology in donors and recipients was not determined in this series. Cytomegalovirus and hepatitis C virus have been implicated in the pathogenesis of thrombotic microangiopathy (21). None of our patients had serologic evidence of these infections. Our patients showed a favorable response by attenuating immunosuppression after initiation of intravenous immunoglobulin. Other viruses, particularly influenza A, human immunodeficiency virus, and human herpesvirus 6 have been reported to trigger thrombotic microangiopathy after renal transplant (21). De novo thrombotic microangiopathy also accounts for 1% to 20% of postrenal transplant thrombotic microangiopathy (22). Usually, calcineurin inhibitors and vascular rejection are responsible for these cases (23). It has been shown that cyclosporine withdrawal in the early stages of thrombotic microangiopathy is associated with improved renal allograft function (24). In conclusion, infection with B-19 is underdiagnosed in renal transplant recipients. This infection may be the cause of thrombotic microangiopathy and allograft vasculitis (mimicking a vascular rejection) in these patients.
References:

Volume : 6
Issue : 2
Pages : 137 - 143
From the 1Tuberculosis and Lung Disease Research Center, Tabriz University of Medical Sciences, Tabriz, Iran, the 2Department of Nephrology, Tabriz University of Medical Sciences, Tabriz, Iran, the 3Department of Cell Biology/Surgery, University of Alabama at Birmingham, AL, USA, and the 4Department of Renal Medicine, Addenbrooke's Hospital, Cambridge, UK
Address reprint requests to: Mohammadali M. Shoja, MD, Postal Code: 51738-47661, Amir Kabir Ave., Kar Pisheh Crossing, Tabriz, Iran
Phone: +98 411 4438523
E-mail: shoja.m@gmail.com
Table 1. A summary of patients in this series.
Figure 1. Three giant pronormoblasts are visible in the bone marrow aspirates (× 100).
Figure 2. Intrarenal small-seized vessel vasculitis, arterial wall inflammatory infiltration, and fibrointimal proliferation. The intima is thickened and contains elongated cells (hematoxylin and eosin × 40).
Figure 3.Organized thrombiwithin the intrarenal arteries (hematoxylin and eosin × 40).
Figure 4. The gross appearance of nephrectomized allograft showing dark areas of thrombosis and necrosis.
Figure 5. Acute arteritis with polymorphonuclear infiltration of the arcuate artery (hematoxylin and eosin × 40).
Figure 6. Inflammatory cells infiltrated the main renal artery wall (hematoxylin and eosin × 10).
Figure 7. Eosinophilic necrotic areaswithin the glomerular tuft (fibrinoid necrosis) and glomerulosclerosis due to focal and segmental necrotizing glomerulonephritis and vasculitis (hematoxylin and eosin × 40).